Revision 1

#31304

Store at -20C

CST Logo
Orders:

877-616-CELL (2355)

[email protected]

Support:

877-678-TECH (8324)

3 Trask Lane | Danvers | Massachusetts | 01923 | USA

For Research Use Only. Not for Use in Diagnostic Procedures.

Applications:
W, IP

Reactivity:
H M

Sensitivity:
Endogenous

MW (kDa):
75

Source/Isotype:
Rabbit IgG

UniProt ID:
#Q96CV9

Entrez-Gene Id:
10133

Product Usage Information

Application Dilution
Western Blotting 1:1000
Immunoprecipitation 1:100

Storage

Supplied in 10 mM sodium HEPES (pH 7.5), 150 mM NaCl, 100 µg/ml BSA, 50% glycerol and less than 0.02% sodium azide. Store at –20°C. Do not aliquot the antibody.

Specificity/Sensitivity

Phospho-Optineurin (Ser177) (E8L9I) Rabbit Monoclonal Antibody recognizes endogenous levels of optineurin protein only when phosphorylated at Ser177.

Source / Purification

Monoclonal antibody is produced by immunizing animals with a synthetic phospho-peptide corresponding to residues surrounding Ser177 of human optineurin protein.

Background

Optineurin is a signaling protein involved in maintenance of the Golgi complex, membrane trafficking, NF-κB, and interferon signaling. Mutations in the gene encoding optineurin have been associated with human diseases including glaucoma, Paget disease of bone, and amyotrophic lateral sclerosis (ALS) (1-2). Optineurin is thought to contribute to these pathologies through regulation of inflammatory signaling, autophagy, and mitophagy (1, 3). The NF-κB-activating kinase/TANK-binding kinase 1 (NAK/TBK1) phosphorylates optineurin at serine 177, regulating optineurin’s role in autophagy and mitophagy (4-6). The tumor suppressor HACE1 ubiquitylates optineurin, promoting the interaction of optineurin with the autophagy receptor p62/SQSTM1 (7).
Phosphorylation of optineurin at serine 177 by TBK1 enhances binding to LC3 and promotes autophagic clearance (8). Additional studies also suggest that serine 177 is phosphorylated during mitosis by PLK1 (9). In addition to serine 177, TBK1 also phosphorylates optineurin at serine 473 and 513, which can enhance its binding to ubiquitin chains and promote mitophagy (5,6).

Species Reactivity

Species reactivity is determined by testing in at least one approved application (e.g., western blot).

Western Blot Buffer

IMPORTANT: For western blots, incubate membrane with diluted primary antibody in 5% w/v nonfat dry milk, 1X TBS, 0.1% Tween® 20 at 4°C with gentle shaking, overnight.

Applications Key

W: Western Blotting IP: Immunoprecipitation

Cross-Reactivity Key

H: Human M: Mouse

Trademarks and Patents

Cell Signaling Technology is a trademark of Cell Signaling Technology, Inc.

All other trademarks are the property of their respective owners. Visit cellsignal.com/trademarks for more information.

Limited Uses

Except as otherwise expressly agreed in a writing signed by a legally authorized representative of CST, the following terms apply to Products provided by CST, its affiliates or its distributors. Any Customer's terms and conditions that are in addition to, or different from, those contained herein, unless separately accepted in writing by a legally authorized representative of CST, are rejected and are of no force or effect.

Products are labeled with For Research Use Only or a similar labeling statement and have not been approved, cleared, or licensed by the FDA or other regulatory foreign or domestic entity, for any purpose. Customer shall not use any Product for any diagnostic or therapeutic purpose, or otherwise in any manner that conflicts with its labeling statement. Products sold or licensed by CST are provided for Customer as the end-user and solely for research and development uses. Any use of Product for diagnostic, prophylactic or therapeutic purposes, or any purchase of Product for resale (alone or as a component) or other commercial purpose, requires a separate license from CST. Customer shall (a) not sell, license, loan, donate or otherwise transfer or make available any Product to any third party, whether alone or in combination with other materials, or use the Products to manufacture any commercial products, (b) not copy, modify, reverse engineer, decompile, disassemble or otherwise attempt to discover the underlying structure or technology of the Products, or use the Products for the purpose of developing any products or services that would compete with CST products or services, (c) not alter or remove from the Products any trademarks, trade names, logos, patent or copyright notices or markings, (d) use the Products solely in accordance with CST Product Terms of Sale and any applicable documentation, and (e) comply with any license, terms of service or similar agreement with respect to any third party products or services used by Customer in connection with the Products.

Orders: 877-616-CELL (2355) [email protected] Support: 877-678-TECH (8324) [email protected] Web: cellsignal.com
For Research Use Only. Not for Use in Diagnostic Procedures.

Revision 1

Cell Signaling Technology Logo
Western blot analysis of extracts from 293T cells, mock transfected (-) or transfected with constructs expressing Myc/DDK-tagged human optineurin protein (hOptineurin-Myc/DDK; +) and GST-tagged human IKK-ε protein (hIKK-ε-GST; +) as indicated, using Phospho-Optineurin (Ser177) (E8L9I) Rabbit mAb (upper) or β-Actin (D6A8) Rabbit mAb #8457 (lower).
Western Blotting Image 1: Phospho-Optineurin (Ser177) (E8L9I) Rabbit Monoclonal Antibody
Western blot analysis of extracts from C2C12 cells, untreated (-) or treated with carbonyl cyanide 3-chlorophenylhydrazone (CCCP; 100 μM, 2 hr; +), using Phospho-Optineurin (Ser177) (E8L9I) Rabbit mAb (upper) or β-Actin (D6A8) Rabbit mAb #8457 (lower).
Western Blotting Image 2: Phospho-Optineurin (Ser177) (E8L9I) Rabbit Monoclonal Antibody
Western blot analysis of extracts from HDLM-2 cells treated with carbonyl cyanide 3-chlorophenylhydrazone (CCCP; 100 μM, 2 hr) with lysates that were untreated (-) or treated with λ-phosphatase and calf intestinal phosphatase (λ-phosphatase/CIP; +), using Phospho-Optineurin (Ser177) (E8L9I) Rabbit mAb (upper) or Optineurin (D2L8S) Rabbit mAb #58981 (lower).
Western Blotting Image 3: Phospho-Optineurin (Ser177) (E8L9I) Rabbit Monoclonal Antibody
Orders: 877-616-CELL (2355) [email protected] Support: 877-678-TECH (8324) [email protected] Web: cellsignal.com
For Research Use Only. Not for Use in Diagnostic Procedures.

Revision 1

Cell Signaling Technology Logo
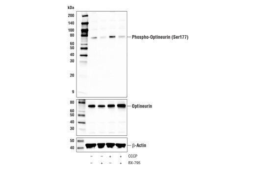
Western blot analysis of extracts from Capan-2 cells, untreated (-) or treated with carbonyl cyanide 3-chlorophenylhydrazone (CCCP; 100 μM, 2 hr; +) and/or BX-795 (1 μM, 2 hr; +) as indicated, using Phospho-Optineurin (Ser177) (E8L9I) Rabbit mAb (upper), Optineurin (D2L8S) Rabbit mAb #58981 (middle), or β-Actin (D6A8) Rabbit mAb #8457 (lower).
Western Blotting Image 4: Phospho-Optineurin (Ser177) (E8L9I) Rabbit Monoclonal Antibody
Immunoprecipitation of phospho-optineurin (Ser177) protein from HDLM-2 cells treated with carbonyl cyanide 3-chlorophenylhydrazone (CCCP; 100 μM, 2 hr). Lane 1 is 10% input, lane 2 is Rabbit (DA1E) mAb IgG XP® Isotype Control #3900, and lane 3 is Phospho-Optineurin (Ser177) (E8L9I) Rabbit mAb. Western blot analysis was performed using Phospho-Optineurin (Ser177) (E8L9I) Rabbit mAb. Anti-rabbit IgG, HRP-linked Antibody #7074 was used as a secondary antibody.
Immunoprecipitation Image 1: Phospho-Optineurin (Ser177) (E8L9I) Rabbit Monoclonal Antibody
Orders: 877-616-CELL (2355) [email protected] Support: 877-678-TECH (8324) [email protected] Web: cellsignal.com
For Research Use Only. Not for Use in Diagnostic Procedures.