Revision 4

#4631

Store at -20C

CST Logo
Orders:

877-616-CELL (2355)

[email protected]

Support:

877-678-TECH (8324)

3 Trask Lane | Danvers | Massachusetts | 01923 | USA

For Research Use Only. Not for Use in Diagnostic Procedures.

Applications:
W, IHC-P, IF-IC

Reactivity:
H M R Mk Dm

Sensitivity:
Endogenous

MW (kDa):
43

Source/Isotype:
Rabbit IgG

UniProt ID:
#Q16539, #O15264, #P53778, #Q15759

Entrez-Gene Id:
1432, 5603, 6300, 5600

Product Usage Information

Application Dilution
Western Blotting 1:1000
Immunohistochemistry (Paraffin) 1:50 - 1:200
Immunofluorescence (Immunocytochemistry) 1:100

Storage

Supplied in 10 mM sodium HEPES (pH 7.5), 150 mM NaCl, 100 µg/ml BSA, 50% glycerol and less than 0.02% sodium azide. Store at –20°C. Do not aliquot the antibody.

Specificity/Sensitivity

Phospho-p38 MAPK (Thr180/Tyr182) (12F8) Rabbit Monoclonal Antibody detects endogenous levels of p38 MAPK only when dually phosphorylated at threonine 180 and tyrosine182. This antibody will also react with p38 singly phosphorlyated at Thr180. This antibody does not cross-react with the phosphorylated forms of either p42/44 MAPK or SAPK/JNK.

Species predicted to react based on 100% sequence homology

Hamster, Mink, Zebrafish, Horse

Source / Purification

Monoclonal antibody is produced by immunizing animals with a synthetic phosphopeptide corresponding to residues surrounding Thr180/Tyr182 of human p38 MAPK.

Background

p38 MAP kinase (MAPK), also called RK (1) or CSBP (2), is the mammalian orthologue of the yeast HOG kinase that participates in a signaling cascade controlling cellular responses to cytokines and stress (1-4). Four isoforms of p38 MAPK, p38α, β, γ (also known as Erk6 or SAPK3), and δ (also known as SAPK4) have been identified. Similar to the SAPK/JNK pathway, p38 MAPK is activated by a variety of cellular stresses, including osmotic shock, inflammatory cytokines, lipopolysaccharide (LPS), UV light, and growth factors (1-5). MKK3, MKK6, and SEK activate p38 MAPK by phosphorylation at Thr180 and Tyr182. Activated p38 MAPK has been shown to phosphorylate and activate MAPKAP kinase 2 (3) and to phosphorylate the transcription factors ATF-2 (5), Max (6), and MEF2 (5-8). SB203580 (4-(4-fluorophenyl)-2-(4-methylsulfinylphenyl)-5-(4-pyridyl)-imidazole) is a selective inhibitor of p38 MAPK. This compound inhibits the activation of MAPKAPK-2 by p38 MAPK and subsequent phosphorylation of HSP27 (9). SB203580 inhibits p38 MAPK catalytic activity by binding to the ATP-binding pocket, but does not inhibit phosphorylation of p38 MAPK by upstream kinases (10).

Species Reactivity

Species reactivity is determined by testing in at least one approved application (e.g., western blot).

Western Blot Buffer

IMPORTANT: For western blots, incubate membrane with diluted primary antibody in 5% w/v BSA, 1X TBS, 0.1% Tween® 20 at 4°C with gentle shaking, overnight.

Applications Key

W: Western Blotting IHC-P: Immunohistochemistry (Paraffin) IF-IC: Immunofluorescence (Immunocytochemistry)

Cross-Reactivity Key

H: Human M: Mouse R: Rat Mk: Monkey Dm: D. melanogaster

Trademarks and Patents

Cell Signaling Technology is a trademark of Cell Signaling Technology, Inc.

All other trademarks are the property of their respective owners. Visit cellsignal.com/trademarks for more information.

Limited Uses

Except as otherwise expressly agreed in a writing signed by a legally authorized representative of CST, the following terms apply to Products provided by CST, its affiliates or its distributors. Any Customer's terms and conditions that are in addition to, or different from, those contained herein, unless separately accepted in writing by a legally authorized representative of CST, are rejected and are of no force or effect.

Products are labeled with For Research Use Only or a similar labeling statement and have not been approved, cleared, or licensed by the FDA or other regulatory foreign or domestic entity, for any purpose. Customer shall not use any Product for any diagnostic or therapeutic purpose, or otherwise in any manner that conflicts with its labeling statement. Products sold or licensed by CST are provided for Customer as the end-user and solely for research and development uses. Any use of Product for diagnostic, prophylactic or therapeutic purposes, or any purchase of Product for resale (alone or as a component) or other commercial purpose, requires a separate license from CST. Customer shall (a) not sell, license, loan, donate or otherwise transfer or make available any Product to any third party, whether alone or in combination with other materials, or use the Products to manufacture any commercial products, (b) not copy, modify, reverse engineer, decompile, disassemble or otherwise attempt to discover the underlying structure or technology of the Products, or use the Products for the purpose of developing any products or services that would compete with CST products or services, (c) not alter or remove from the Products any trademarks, trade names, logos, patent or copyright notices or markings, (d) use the Products solely in accordance with CST Product Terms of Sale and any applicable documentation, and (e) comply with any license, terms of service or similar agreement with respect to any third party products or services used by Customer in connection with the Products.

Orders: 877-616-CELL (2355) [email protected] Support: 877-678-TECH (8324) [email protected] Web: cellsignal.com
For Research Use Only. Not for Use in Diagnostic Procedures.

Revision 4

Cell Signaling Technology Logo
Western blot analysis of extracts from Jurkat, NIH/3T3 and PC12 cells, untreated or treated as indicated, using Phospho-p38 MAPK (Thr180/Tyr182) (12F8) Rabbit mAb.
Western Blotting Image 1: Phospho-p38 MAPK (Thr180/Tyr182) (12F8) Rabbit Monoclonal Antibody
Immunohistochemistry of paraffin-embedded lung carcinoma, showing nuclear localization, using Phospho-p38 MAPK (Thr180/Tyr182) (12F8) Rabbit mAb.
Immunohistochemistry Image 1: Phospho-p38 MAPK (Thr180/Tyr182) (12F8) Rabbit Monoclonal Antibody
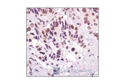
Immunohistochemistry of paraffin-embedded colon carcinoma, showing nuclear localization, using Phospho-p38 MAPK (Thr180/Tyr182) (12F8) Rabbit mAb.
Immunohistochemistry Image 2: Phospho-p38 MAPK (Thr180/Tyr182) (12F8) Rabbit Monoclonal Antibody
Orders: 877-616-CELL (2355) [email protected] Support: 877-678-TECH (8324) [email protected] Web: cellsignal.com
For Research Use Only. Not for Use in Diagnostic Procedures.

Revision 4

Cell Signaling Technology Logo
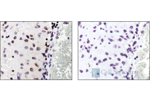
Immunohistochemistry of paraffin-embedded human glioblastoma, untreated (left) or CIP phosphatase-treated (right), using Phospho-p38 MAPK (Thr180/Tyr182) (12F8) Rabbit mAb.

Immunohistochemistry Image 3: Phospho-p38 MAPK (Thr180/Tyr182) (12F8) Rabbit Monoclonal Antibody
Immunohistochemistry of paraffin-embedded breast carcinoma, using Phospho-p38 MAPK (Thr180/Tyr182) (12F8) Rabbit mAb (left) or the same antibody preincubated with antigen phospho-peptide (right).
Immunohistochemistry Image 4: Phospho-p38 MAPK (Thr180/Tyr182) (12F8) Rabbit Monoclonal Antibody
Immunohistochemistry of paraffin-embedded NIH/3T3 cells, untreated (left) or anisomycin-treated (right), using Phospho-p38 MAPK (Thr180/Tyr182) (12F8) Rabbit mAb.
Immunohistochemistry Image 5: Phospho-p38 MAPK (Thr180/Tyr182) (12F8) Rabbit Monoclonal Antibody
Orders: 877-616-CELL (2355) [email protected] Support: 877-678-TECH (8324) [email protected] Web: cellsignal.com
For Research Use Only. Not for Use in Diagnostic Procedures.

Revision 4

Cell Signaling Technology Logo
Confocal immunofluorescent analysis of HeLa cells -/+ UV light, labeled with Phospho-p38 MAPK (green). Absence of staining in untreated cells (left) and nuclear localization in treated cells (right). Red = Actin filaments (phalloidin).
Immunofluorescence Image 1: Phospho-p38 MAPK (Thr180/Tyr182) (12F8) Rabbit Monoclonal Antibody
Orders: 877-616-CELL (2355) [email protected] Support: 877-678-TECH (8324) [email protected] Web: cellsignal.com
For Research Use Only. Not for Use in Diagnostic Procedures.