Revision 3

#65390

Store at -20C

Phospho-p53 Antibody Sampler Kit

1 Kit

(8 x 20 microliters)

CST Logo
Orders:

877-616-CELL (2355)

[email protected]

Support:

877-678-TECH (8324)

3 Trask Lane | Danvers | Massachusetts | 01923 | USA

For Research Use Only. Not for Use in Diagnostic Procedures.

Product Includes Product # Quantity Mol. Wt Isotype/Source
Phospho-p53 (Ser6) Antibody928520 µl53 kDaRabbit
Phospho-p53 (Ser9) Antibody928820 µl53 kDaRabbit
Phospho-p53 (Ser15) (16G8) Mouse Monoclonal Antibody928620 µl53 kDaMouse IgG1
Phospho-p53 (Ser20) Antibody928720 µl53 kDaRabbit
Phospho-p53 (Ser46) Antibody252120 µl53 kDaRabbit
Phospho-p53 (Thr81) Antibody267620 µl53 kDaRabbit
Phospho-p53 (Ser392) Antibody928120 µl53 kDaRabbit
p53 (7F5) Rabbit Monoclonal Antibody252720 µl53 kDaRabbit IgG
Anti-rabbit IgG, HRP-linked Antibody7074100 µlGoat

Please visit cellsignal.com for individual component applications, species cross-reactivity, dilutions, protocols, and additional product information.

Description

The Phospho-p53 Antibody Sampler Kit provides a fast and economical means of evaluating multiple phosphorylation sites of p53 protein. The kit includes enough antibodies to perform two western blot experiments with each primary antibody.

Storage

Supplied in 10 mM sodium HEPES (pH 7.5), 150 mM NaCl, 100 µg/ml BSA, 50% glycerol and less than 0.02% sodium azide. Store at –20°C. Do not aliquot the antibodies.

Background

The p53 tumor suppressor protein plays a major role in cellular response to DNA damage and other genomic aberrations. Activation of p53 can lead to either cell cycle arrest and DNA repair or apoptosis (1). p53 is phosphorylated at multiple sites in vivo and by several different protein kinases in vitro (2,3). DNA damage induces phosphorylation of p53 at Ser15 and Ser20 and leads to a reduced interaction between p53 and its negative regulator, the oncoprotein MDM2 (4). MDM2 inhibits p53 accumulation by targeting it for ubiquitination and proteasomal degradation (5,6). p53 can be phosphorylated by ATM, ATR, and DNA-PK at Ser15 and Ser37. Phosphorylation impairs the ability of MDM2 to bind p53, promoting both the accumulation and activation of p53 in response to DNA damage (4,7). Chk2 and Chk1 can phosphorylate p53 at Ser20, enhancing its tetramerization, stability, and activity (8,9). p53 is phosphorylated at Ser392 in vivo (10,11) and by CAK in vitro (11). Phosphorylation of p53 at Ser392 is increased in human tumors (12) and has been reported to influence the growth suppressor function, DNA binding, and transcriptional activation of p53 (10,13,14). p53 is phosphorylated at Ser6 and Ser9 by CK1δ and CK1ε both in vitro and in vivo (13,15). Phosphorylation of p53 at Ser46 regulates the ability of p53 to induce apoptosis (16). Acetylation of p53 is mediated by p300 and CBP acetyltransferases. Inhibition of deacetylation suppressing MDM2 from recruiting HDAC1 complex by p19 (ARF) stabilizes p53. Acetylation appears to play a positive role in the accumulation of p53 protein in stress response (17). Following DNA damage, human p53 becomes acetylated at Lys382 (Lys379 in mouse) in vivo to enhance p53-DNA binding (18). Deacetylation of p53 occurs through interaction with the SIRT1 protein, a deacetylase that may be involved in cellular aging and the DNA damage response (19).

Trademarks and Patents

Cell Signaling Technology is a trademark of Cell Signaling Technology, Inc.

U.S. Patent No. 7,429,487, foreign equivalents, and child patents deriving therefrom.

All other trademarks are the property of their respective owners. Visit cellsignal.com/trademarks for more information.

Limited Uses

Except as otherwise expressly agreed in a writing signed by a legally authorized representative of CST, the following terms apply to Products provided by CST, its affiliates or its distributors. Any Customer's terms and conditions that are in addition to, or different from, those contained herein, unless separately accepted in writing by a legally authorized representative of CST, are rejected and are of no force or effect.

Products are labeled with For Research Use Only or a similar labeling statement and have not been approved, cleared, or licensed by the FDA or other regulatory foreign or domestic entity, for any purpose. Customer shall not use any Product for any diagnostic or therapeutic purpose, or otherwise in any manner that conflicts with its labeling statement. Products sold or licensed by CST are provided for Customer as the end-user and solely for research and development uses. Any use of Product for diagnostic, prophylactic or therapeutic purposes, or any purchase of Product for resale (alone or as a component) or other commercial purpose, requires a separate license from CST. Customer shall (a) not sell, license, loan, donate or otherwise transfer or make available any Product to any third party, whether alone or in combination with other materials, or use the Products to manufacture any commercial products, (b) not copy, modify, reverse engineer, decompile, disassemble or otherwise attempt to discover the underlying structure or technology of the Products, or use the Products for the purpose of developing any products or services that would compete with CST products or services, (c) not alter or remove from the Products any trademarks, trade names, logos, patent or copyright notices or markings, (d) use the Products solely in accordance with CST Product Terms of Sale and any applicable documentation, and (e) comply with any license, terms of service or similar agreement with respect to any third party products or services used by Customer in connection with the Products.

Orders: 877-616-CELL (2355) [email protected] Support: 877-678-TECH (8324) [email protected] Web: cellsignal.com
For Research Use Only. Not for Use in Diagnostic Procedures.

Revision 3

Cell Signaling Technology Logo
Western blot analysis of extracts from MCF-7 cells treated with etoposide for the indicated times, using Phospho-p53 (Ser46) Antibody.
undefined Image 1: Phospho-p53 Antibody Sampler Kit
Western blot analysis of extracts from 293 and COS cells, using p53 (7F5) Rabbit mAb.
undefined Image 2: Phospho-p53 Antibody Sampler Kit
Western blot analysis of extracts from HT29 cells, untreated, nocodazole-treated (50 ng/ml, 24h) or UV-treated (50mJ/cm2, 1hr), using Phospho-p53 (Thr81) Antibody (upper), p53 (1C12) Mouse mAb #2524 (middle), or Phospho-SAPK/JNK(T183/Y185) (98F2) Rabbit mAb #4671 (lower).
undefined Image 3: Phospho-p53 Antibody Sampler Kit
Orders: 877-616-CELL (2355) [email protected] Support: 877-678-TECH (8324) [email protected] Web: cellsignal.com
For Research Use Only. Not for Use in Diagnostic Procedures.

Revision 3

Cell Signaling Technology Logo
After the primary antibody is bound to the target protein, a complex with HRP-linked secondary antibody is formed. The LumiGLO® is added and emits light during enzyme catalyzed decomposition.
undefined Image 4: Phospho-p53 Antibody Sampler Kit
Western blot analysis of increasing amounts of a p53 fusion protein, untreated or phosphorylated by CKII, using Phospho-p53 (Ser392) Antibody (upper) or p53 Antibody #9282 (lower).
undefined Image 5: Phospho-p53 Antibody Sampler Kit
Western blot analysis of extracts from COS cells treated with UV or MMS for the indicated times, using Phospho-p53 (Ser6) Antibody (upper) or p53 Antibody #9282 (lower).
undefined Image 6: Phospho-p53 Antibody Sampler Kit
Orders: 877-616-CELL (2355) [email protected] Support: 877-678-TECH (8324) [email protected] Web: cellsignal.com
For Research Use Only. Not for Use in Diagnostic Procedures.

Revision 3

Cell Signaling Technology Logo
Western blot analysis of extracts from HT29 cells, untreated or UV-treated (100 mJ/cm2, 1 hr), using Phospho-p53 (Ser15) (16G8) Mouse mAb (upper) or p53 (DO-7) Mouse mAb #48818 (lower).
undefined Image 7: Phospho-p53 Antibody Sampler Kit
Western blot analysis of extracts from COS cells treated with UV or MMS for the indicated times, using Phospho-p53 (Ser20) Antibody (upper) or p53 Antibody #9282 (lower).
undefined Image 8: Phospho-p53 Antibody Sampler Kit
Western blot analysis of extracts from COS cells treated with UV or MMS for the indicated times, using Phospho-p53 (Ser9) Antibody (upper) or p53 Antibody #9282 (lower).
undefined Image 9: Phospho-p53 Antibody Sampler Kit
Orders: 877-616-CELL (2355) [email protected] Support: 877-678-TECH (8324) [email protected] Web: cellsignal.com
For Research Use Only. Not for Use in Diagnostic Procedures.

Revision 3

Cell Signaling Technology Logo
Immunoprecipitation of extracts from MCF-7 cells treated with etoposide under nondenaturing conditions, using Phospho-p53 (Ser46) Antibody, followed by Western blot analysis using a monoclonal p53 antibody.
undefined Image 10: Phospho-p53 Antibody Sampler Kit
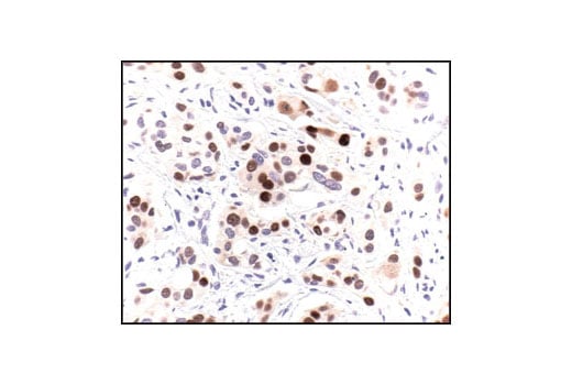
Immunohistochemical analysis of paraffin-embedded human breast carcinoma, using p53 (7F5) Rabbit mAb.
undefined Image 11: Phospho-p53 Antibody Sampler Kit
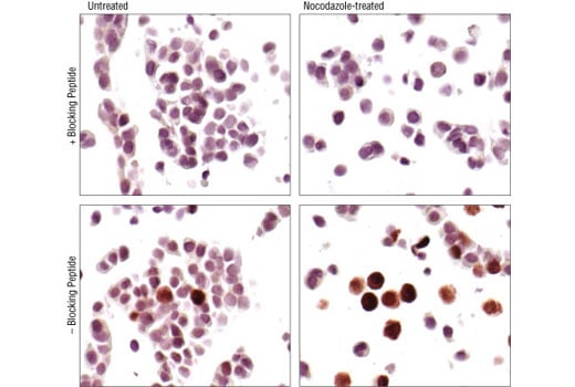
Immunohistochemical analysis of paraffin-embedded HT-29 cells, untreated (left) or nocodazole-treated (right), using Phospho-p53 (Thr81) Antibody in the presence of control peptide (lower) or antigen-specific peptide (upper).
undefined Image 12: Phospho-p53 Antibody Sampler Kit
Orders: 877-616-CELL (2355) [email protected] Support: 877-678-TECH (8324) [email protected] Web: cellsignal.com
For Research Use Only. Not for Use in Diagnostic Procedures.

Revision 3

Cell Signaling Technology Logo
Western blot analysis of extracts from Mv1Lu cells, untreated or hydroxyurea-treated (20 mM), using Phospho-p53 (Ser392) Antibody.
undefined Image 13: Phospho-p53 Antibody Sampler Kit
Western blot analysis of a p53 fusion protein, untreated or phosphorylated by CK1 or CK2, using Phospho-p53 (Ser6) Antibody (upper) or p53 Antibody #9282 (lower).
undefined Image 14: Phospho-p53 Antibody Sampler Kit
Western blot analysis of a p53 fusion protein, untreated or phosphorylated by CK1 or CK2, using Phospho-p53 (Ser9) Antibody (upper) or p53 Antibody #9282 (lower).
undefined Image 15: Phospho-p53 Antibody Sampler Kit
Orders: 877-616-CELL (2355) [email protected] Support: 877-678-TECH (8324) [email protected] Web: cellsignal.com
For Research Use Only. Not for Use in Diagnostic Procedures.

Revision 3

Cell Signaling Technology Logo
Confocal immunofluorescent analysis of MCF-7 cells, untreated (left) or etoposide-treated (right), using Phospho-p53 (Ser46) Antibody (green). Actin filaments have been labeled with DY-554 phalloidin (red).
undefined Image 16: Phospho-p53 Antibody Sampler Kit
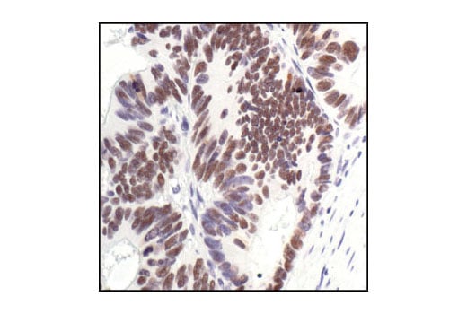
Immunohistochemical analysis of paraffin-embedded human colon carcinoma, using p53 (7F5) Rabbit mAb.
undefined Image 17: Phospho-p53 Antibody Sampler Kit
Confocal immunofluorescent analysis of HT-29 cells, untreated (left) or UV-treated (right), using Phospho-p53 (Ser15) (16G8) Mouse mAb (green). Actin filaments have been labeled with Alexa Fluor® 555 phalloidin (red).
undefined Image 18: Phospho-p53 Antibody Sampler Kit
Orders: 877-616-CELL (2355) [email protected] Support: 877-678-TECH (8324) [email protected] Web: cellsignal.com
For Research Use Only. Not for Use in Diagnostic Procedures.

Revision 3

Cell Signaling Technology Logo
Flow cytometric analysis of HT-29 cells, untreated (blue) or UV-treated (green), using Phospho-p53 (Ser46) Antibody.
undefined Image 19: Phospho-p53 Antibody Sampler Kit
Immunohistochemical analysis of paraffin-embedded HT-29 (left) and SaOs-2 (right) cells, using p53 (7F5) Rabbit mAb. Note the lack of staining in p53-negative SaOs-2 cells.
undefined Image 20: Phospho-p53 Antibody Sampler Kit
Confocal Immunofluorescent analysis of HT-29 cells using p53 (7F5) Rabbit mAb (green). Actin filaments have been labeled with DY-554 phalloidin (red).
undefined Image 21: Phospho-p53 Antibody Sampler Kit
Orders: 877-616-CELL (2355) [email protected] Support: 877-678-TECH (8324) [email protected] Web: cellsignal.com
For Research Use Only. Not for Use in Diagnostic Procedures.

Revision 3

Cell Signaling Technology Logo
Flow cytometric analysis of HT-29 cells using p53 (7F5) Rabbit mAb (solid line) compared to concentration-matched Rabbit (DA1E) mAb IgG XP® Isotype Control #3900 (dashed line). Anti-rabbit IgG (H+L), F(ab')2 Fragment (Alexa Fluor® 488 Conjugate) #4412 was used as a secondary antibody.
undefined Image 22: Phospho-p53 Antibody Sampler Kit
Chromatin immunoprecipitations were performed with cross-linked chromatin from HCT116 cells treated with UV (100 J/m2 followed by a 3 hour recovery) and either p53 (7F5) Rabbit mAb or Normal Rabbit IgG #2729 using SimpleChIP® Enzymatic Chromatin IP Kit (Magnetic Beads) #9003. The enriched DNA was quantified by real-time PCR using SimpleChIP® Human CDKN1A Promoter Primers #6449, human MDM2 intron 2 primers, and SimpleChIP® Human α Satellite Repeat Primers #4486. The amount of immunoprecipitated DNA in each sample is represented as signal relative to the total amount of input chromatin, which is equivalent to one.
undefined Image 23: Phospho-p53 Antibody Sampler Kit
Simple Western™ analysis of lysates (1 mg/mL) from COS-7 cells using p53 (7F5) Rabbit mAb #2527. The virtual lane view (left) shows the target band (as indicated) at 1:10 and 1:50 dilutions of primary antibody. The corresponding electropherogram view (right) plots chemiluminescence by molecular weight along the capillary at 1:10 (blue line) and 1:50 (green line) dilutions of primary antibody. This experiment was performed under reducing conditions on the Jess™ ​​​​​​​ Simple Western instrument from ProteinSimple, a BioTechne brand, using the 12-230 kDa separation module.
undefined Image 24: Phospho-p53 Antibody Sampler Kit
Orders: 877-616-CELL (2355) [email protected] Support: 877-678-TECH (8324) [email protected] Web: cellsignal.com
For Research Use Only. Not for Use in Diagnostic Procedures.

Revision 3

Cell Signaling Technology Logo
Flow cytometric analysis of HT-29 cells, untreated (blue) or treated with UV (100 mJ/cm2, 2hr recovery; green) using Phospho-p53 (Ser15) (16G8) Mouse mAb (solid lines) or concentration-matched Mouse (G3A1) mAb IgG1 Isotype Control #5415 (dashed lines). Anti-mouse IgG (H+L), F(ab')2 Fragment (Alexa Fluor® 488 Conjugate) #4408 was used as a secondary antibody.
undefined Image 25: Phospho-p53 Antibody Sampler Kit
Orders: 877-616-CELL (2355) [email protected] Support: 877-678-TECH (8324) [email protected] Web: cellsignal.com
For Research Use Only. Not for Use in Diagnostic Procedures.