Revision 3

#55773

Store at -20C

CST Logo
Orders:

877-616-CELL (2355)

[email protected]

Support:

877-678-TECH (8324)

3 Trask Lane | Danvers | Massachusetts | 01923 | USA

For Research Use Only. Not for Use in Diagnostic Procedures.

Applications:
W, IHC-P, IF-IC, ELISA

Reactivity:
H R Mk

Sensitivity:
Endogenous

MW (kDa):
90

Source/Isotype:
Rabbit IgG

UniProt ID:
#Q15418

Entrez-Gene Id:
6195

Product Usage Information

This product is the carrier free version of product #8753. All data were generated using the same antibody clone in the standard formulation which contains BSA and glycerol.

This formulation is ideal for use with technologies requiring specialized or custom antibody labeling, including fluorophores, metals, lanthanides, and oligonucleotides. It is not recommended for ChIP, ChIP-seq, CUT&RUN, or CUT&Tag assays. If you require a carrier free formulation for chromatin profiling, please contact us. Optimal dilutions/concentrations should be determined by the end user.

BSA and Azide Free antibodies are quality control tested by size exclusion chromatography (SEC) to determine antibody integrity.

Formulation

Supplied in 1X PBS (10 mM Na2HPO4, 3 mM KCl, 2 mM KH2PO4, and 140 mM NaCl (pH 7.8)). BSA and Azide Free.

For standard formulation of this product see product #8753.

Storage

Store at -20°C. This product will freeze at -20°C so it is recommended to aliquot into single-use vials to avoid multiple freeze/thaw cycles. A slight precipitate may be present and can be dissolved by gently vortexing. This will not interfere with antibody performance.

Specificity/Sensitivity

Phospho-p90RSK (Thr359) (D1E9) Rabbit Monoclonal Antibody (BSA and Azide Free) recognizes endogenous levels of p90RSK1 protein when phosphorylated at Thr359. This antibody also detects p90RSK2 phosphorylated at Thr365 and p90RSK3 phosphorylated at Thr356. Phosphorylation of p90RSK isoforms at a proximal serine residue (Ser363 of p90RSK1, Ser369 of p90RSK2, and Ser360 of p90RSK3) does not affect the ability of this antibody to detect the phospho-Thr residue.

Source / Purification

Monoclonal antibody is produced by immunizing animals with a synthetic phosphopeptide corresponding to residues surrounding Thr356 of human p90RSK3 protein.

Background

The 90 kDa ribosomal S6 kinases (RSK1-4) are a family of widely expressed Ser/Thr kinases characterized by two nonidentical, functional kinase domains (1) and a carboxy-terminal docking site for extracellular signal-regulated kinases (ERKs) (2). Several sites both within and outside of the RSK kinase domain, including Ser380, Thr359, Ser363, and Thr573, are important for kinase activation (3). RSK1-3 are activated via coordinated phosphorylation by MAPKs, autophosphorylation, and phosphoinositide-3-OH kinase (PI3K) in response to many growth factors, polypeptide hormones, and neurotransmitters (3).

Upon mitogenic stimulation, p44/42 Erk1/2 and Erk5 MAP kinases cooperatively phosphorylate p90RSK at Thr573 (p90RSK1 numbering) located within the C-terminal kinase domain and at Thr359/Ser363 in the linker region between the two kinase domains (3). Phosphorylation at Thr573 within the activation loop of the p90RSK C-terminal kinase domain promotes activation and directs phosphorylation at Ser380 within the hydrophobic stretch of the linker region (4,5). When phosphorylated, Ser380 acts as a docking site for the constitutively active Ser/Thr kinase PDK1, which in turn phosphorylates p90RSK at Ser221 within the N-terminal kinase domain activation loop, resulting in full enzymatic activation of p90RSK (6). Antibodies against these phosphorylation sites are useful for understanding the kinetics and regulation of p90RSK activation.

For more information regarding the phospho-regulatory sites within each RSK isoform, including more information regarding the seminal studies demonstrating the complex phosphorylation cascades involved, please see the references herein and PhosphoSitePlus® (www.phosphosite.org).

Species Reactivity

Species reactivity is determined by testing in at least one approved application (e.g., western blot).

Applications Key

W: Western Blotting IHC-P: Immunohistochemistry (Paraffin) IF-IC: Immunofluorescence (Immunocytochemistry) ELISA: ELISA

Cross-Reactivity Key

H: Human R: Rat Mk: Monkey

Trademarks and Patents

Cell Signaling Technology is a trademark of Cell Signaling Technology, Inc.

PhosphoSitePlus is a registered trademark of Cell Signaling Technology, Inc.

SignalStain is a registered trademark of Cell Signaling Technology, Inc.

All other trademarks are the property of their respective owners. Visit cellsignal.com/trademarks for more information.

Limited Uses

Except as otherwise expressly agreed in a writing signed by a legally authorized representative of CST, the following terms apply to Products provided by CST, its affiliates or its distributors. Any Customer's terms and conditions that are in addition to, or different from, those contained herein, unless separately accepted in writing by a legally authorized representative of CST, are rejected and are of no force or effect.

Products are labeled with For Research Use Only or a similar labeling statement and have not been approved, cleared, or licensed by the FDA or other regulatory foreign or domestic entity, for any purpose. Customer shall not use any Product for any diagnostic or therapeutic purpose, or otherwise in any manner that conflicts with its labeling statement. Products sold or licensed by CST are provided for Customer as the end-user and solely for research and development uses. Any use of Product for diagnostic, prophylactic or therapeutic purposes, or any purchase of Product for resale (alone or as a component) or other commercial purpose, requires a separate license from CST. Customer shall (a) not sell, license, loan, donate or otherwise transfer or make available any Product to any third party, whether alone or in combination with other materials, or use the Products to manufacture any commercial products, (b) not copy, modify, reverse engineer, decompile, disassemble or otherwise attempt to discover the underlying structure or technology of the Products, or use the Products for the purpose of developing any products or services that would compete with CST products or services, (c) not alter or remove from the Products any trademarks, trade names, logos, patent or copyright notices or markings, (d) use the Products solely in accordance with CST Product Terms of Sale and any applicable documentation, and (e) comply with any license, terms of service or similar agreement with respect to any third party products or services used by Customer in connection with the Products.

Orders: 877-616-CELL (2355) [email protected] Support: 877-678-TECH (8324) [email protected] Web: cellsignal.com
For Research Use Only. Not for Use in Diagnostic Procedures.

Revision 3

Cell Signaling Technology Logo
Western blot analysis of extracts from HeLa, COS-7, and A-431 cells, starved overnight and either untreated (-) or treated (+) with TPA #4174 (200 nM, 15 min) or Human Epidermal Growth Factor (hEGF) (100 ng/mL, 15 min), using Phospho-p90RSK (Thr359) (D1E9) Rabbit mAb. Data were generated using the standard formulation of this product.
Western Blotting Image 1: Phospho-p90RSK (Thr359) (D1E9) Rabbit Monoclonal Antibody (BSA and Azide Free)
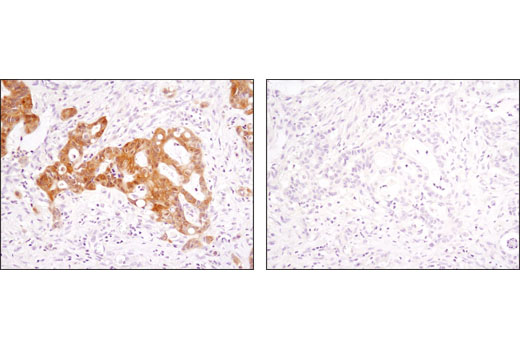
Immunohistochemical analysis of paraffin-embedded human ovarian carcinoma, control (left) or λ phosphatase-treated (right), using Phospho-p90RSK (Thr359) (D1E9) Rabbit mAb. Data were generated using the standard formulation of this product.
Immunohistochemistry Image 1: Phospho-p90RSK (Thr359) (D1E9) Rabbit Monoclonal Antibody (BSA and Azide Free)
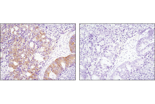
Immunohistochemical analysis of paraffin-embedded colon carcinoma using Phospho-p90RSK (Thr359) (D1E9) Rabbit mAb in the presence of control peptide (left) or antigen-specific peptide (right). Data were generated using the standard formulation of this product.
Immunohistochemistry Image 2: Phospho-p90RSK (Thr359) (D1E9) Rabbit Monoclonal Antibody (BSA and Azide Free)
Orders: 877-616-CELL (2355) [email protected] Support: 877-678-TECH (8324) [email protected] Web: cellsignal.com
For Research Use Only. Not for Use in Diagnostic Procedures.

Revision 3

Cell Signaling Technology Logo
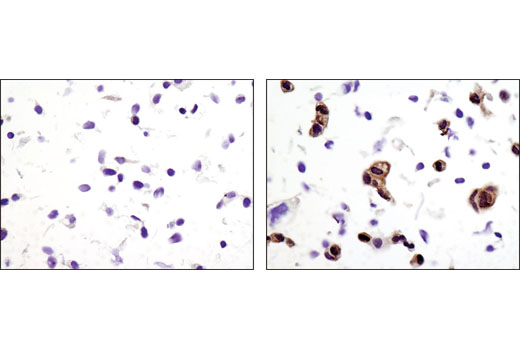
Immunohistochemical analysis of paraffin-embedded A-431 cell pellets, untreated (left) or treated with Human Epidermal Growth Factor (hEGF) (right), using Phospho-p90RSK (Thr359) (D1E9) Rabbit mAb. Data were generated using the standard formulation of this product.
Immunohistochemistry Image 3: Phospho-p90RSK (Thr359) (D1E9) Rabbit Monoclonal Antibody (BSA and Azide Free)
Confocal immunofluorescent analysis of A-431 cells, serum-starved (left), treated with Human Epidermal Growth Factor (hEGF) (100 ng/mL, 15 min; center), or treated with hEGF and λ phosphatase (right), using Phospho-p90RSK (Thr359) (D1E9) Rabbit mAb (green). Blue pseudocolor = DRAQ5® #4084 (fluorescent DNA dye). Data were generated using the standard formulation of this product.
Immunofluorescence Image 1: Phospho-p90RSK (Thr359) (D1E9) Rabbit Monoclonal Antibody (BSA and Azide Free)
Data using Phospho-p90RSK (Thr359) Matched Antibody Pair #47800 are shown. The two antibodies function as a capture-target-detection sandwich (#55773 and #80908, respectively) to detect endogenous protein expression in positive and negative controls.
ELISA Image 1: Phospho-p90RSK (Thr359) (D1E9) Rabbit Monoclonal Antibody (BSA and Azide Free)
Orders: 877-616-CELL (2355) [email protected] Support: 877-678-TECH (8324) [email protected] Web: cellsignal.com
For Research Use Only. Not for Use in Diagnostic Procedures.