Revision 1

#9921

Store at -20C

Phospho-PKC Antibody Sampler Kit

1 Kit

(9 x 20 microliters)

CST Logo
Orders:

877-616-CELL (2355)

[email protected]

Support:

877-678-TECH (8324)

3 Trask Lane | Danvers | Massachusetts | 01923 | USA

For Research Use Only. Not for Use in Diagnostic Procedures.

Product Includes Product # Quantity Mol. Wt Isotype/Source
Phospho-PKD/PKC mu (Ser916) Antibody205120 µl115 kDaRabbit
PKD/PKC mu (D4J1N) Rabbit Monoclonal Antibody9003920 µl115 kDaRabbit IgG
Phospho-PKD/PKC mu (Ser744/748) Antibody205420 µl115 kDaRabbit
Phospho-PKC (pan) (beta II Ser660) Antibody937120 µl78, 80, 82, 85 kDaRabbit
Phospho-PKC alpha/beta II (Thr638/641) Antibody937520 µl80, 82 kDaRabbit
Phospho-PKC delta (Thr505) Antibody937420 µl78 kDaRabbit
Phospho-PKC delta/theta (Ser643/676) Antibody937620 µl78 kDaRabbit
Phospho-PKC theta (Thr538) Antibody937720 µl79 kDaRabbit
Phospho-PKC zeta (Thr410)/lambda (Thr412) Antibody937820 µl76 kDaRabbit
Anti-rabbit IgG, HRP-linked Antibody7074100 µlGoat

Please visit cellsignal.com for individual component applications, species cross-reactivity, dilutions, protocols, and additional product information.

Description

The Phospho-PKC Antibody Sampler Kit provides a fast and economical means of evaluating multiple PKC isoforms and their phosphorylation state. The kit contains enough primary and secondary antibodies to perform two Western blot experiments.

Storage

Supplied in 10 mM sodium HEPES (pH 7.5), 150 mM NaCl, 100 µg/ml BSA, 50% glycerol and less than 0.02% sodium azide. Store at –20°C. Do not aliquot the antibody.

Background

Activation of protein kinase C (PKC) is one of the earliest events in a cascade that controls a variety of cellular responses, including secretion, gene expression, proliferation, and muscle contraction (1,2). PKC isoforms belong to three groups based on calcium dependency and activators. Classical PKCs are calcium-dependent via their C2 domains and are activated by phosphatidylserine (PS), diacylglycerol (DAG), and phorbol esters (TPA, PMA) through their cysteine-rich C1 domains. Both novel and atypical PKCs are calcium-independent, but only novel PKCs are activated by PS, DAG, and phorbol esters (3-5). Members of these three PKC groups contain a pseudo-substrate or autoinhibitory domain that binds to substrate-binding sites in the catalytic domain to prevent activation in the absence of cofactors or activators. Control of PKC activity is regulated through three distinct phosphorylation events. Phosphorylation occurs in vivo at Thr500 in the activation loop, at Thr641 through autophosphorylation, and at the carboxy-terminal hydrophobic site Ser660 (2). Atypical PKC isoforms lack hydrophobic region phosphorylation, which correlates with the presence of glutamic acid rather than the serine or threonine residues found in more typical PKC isoforms. The enzyme PDK1 or a close relative is responsible for PKC activation. A recent addition to the PKC superfamily is PKCμ (PKD), which is regulated by DAG and TPA through its C1 domain. PKD is distinguished by the presence of a PH domain and by its unique substrate recognition and Golgi localization (6). PKC-related kinases (PRK) lack the C1 domain and do not respond to DAG or phorbol esters. Phosphatidylinositol lipids activate PRKs, and small Rho-family GTPases bind to the homology region 1 (HR1) to regulate PRK kinase activity (7).

Trademarks and Patents

Cell Signaling Technology is a trademark of Cell Signaling Technology, Inc.

All other trademarks are the property of their respective owners. Visit cellsignal.com/trademarks for more information.

Limited Uses

Except as otherwise expressly agreed in a writing signed by a legally authorized representative of CST, the following terms apply to Products provided by CST, its affiliates or its distributors. Any Customer's terms and conditions that are in addition to, or different from, those contained herein, unless separately accepted in writing by a legally authorized representative of CST, are rejected and are of no force or effect.

Products are labeled with For Research Use Only or a similar labeling statement and have not been approved, cleared, or licensed by the FDA or other regulatory foreign or domestic entity, for any purpose. Customer shall not use any Product for any diagnostic or therapeutic purpose, or otherwise in any manner that conflicts with its labeling statement. Products sold or licensed by CST are provided for Customer as the end-user and solely for research and development uses. Any use of Product for diagnostic, prophylactic or therapeutic purposes, or any purchase of Product for resale (alone or as a component) or other commercial purpose, requires a separate license from CST. Customer shall (a) not sell, license, loan, donate or otherwise transfer or make available any Product to any third party, whether alone or in combination with other materials, or use the Products to manufacture any commercial products, (b) not copy, modify, reverse engineer, decompile, disassemble or otherwise attempt to discover the underlying structure or technology of the Products, or use the Products for the purpose of developing any products or services that would compete with CST products or services, (c) not alter or remove from the Products any trademarks, trade names, logos, patent or copyright notices or markings, (d) use the Products solely in accordance with CST Product Terms of Sale and any applicable documentation, and (e) comply with any license, terms of service or similar agreement with respect to any third party products or services used by Customer in connection with the Products.

Orders: 877-616-CELL (2355) [email protected] Support: 877-678-TECH (8324) [email protected] Web: cellsignal.com
For Research Use Only. Not for Use in Diagnostic Procedures.

Revision 1

Cell Signaling Technology Logo
Western blot analysis of extracts from NIH/3T3 cells, untreated, PDGF-treated (50 ng/ml) or TPA-treated (0.2 µM), using Phospho-PKD/PKCµ (Ser916) Antibody (upper) or PKD/PKCµ Antibody (lower).
undefined Image 1: Phospho-PKC Antibody Sampler Kit
Western blot analysis of extracts from NIH/3T3 cells, untreated, PDGF-treated (50 ng/ml) or TPA-treated (0.2 µM), using Phospho-PKD/PKCµ (Ser744/748) Antibody (upper) or PKD/PKCµ Antibody (lower).
undefined Image 2: Phospho-PKC Antibody Sampler Kit
After the primary antibody is bound to the target protein, a complex with HRP-linked secondary antibody is formed. The LumiGLO® is added and emits light during enzyme catalyzed decomposition.
undefined Image 3: Phospho-PKC Antibody Sampler Kit
Orders: 877-616-CELL (2355) [email protected] Support: 877-678-TECH (8324) [email protected] Web: cellsignal.com
For Research Use Only. Not for Use in Diagnostic Procedures.

Revision 1

Cell Signaling Technology Logo
Western blot analysis of extracts from various cell lines using PKD/PKCμ (D4J1N) Rabbit mAb (upper) or β-Actin (D6A8) Rabbit mAb #8457 (lower).
undefined Image 4: Phospho-PKC Antibody Sampler Kit
Western blot analysis of Baculovirus expressed PKCβ and PKCβ Ser660/Ala mutant, using Phospho-PKC (pan) (βII Ser660) Antibody (upper) or control PKCβ antibody (lower).
undefined Image 5: Phospho-PKC Antibody Sampler Kit
Western blot analysis of extracts from U-937 cells, untreated or TPA treated (0.2 µM), using Phospho-PKCδ (Thr505) Antibody.
undefined Image 6: Phospho-PKC Antibody Sampler Kit
Orders: 877-616-CELL (2355) [email protected] Support: 877-678-TECH (8324) [email protected] Web: cellsignal.com
For Research Use Only. Not for Use in Diagnostic Procedures.

Revision 1

Cell Signaling Technology Logo
Western blot analysis of extracts from U-937 cells, untreated or TPA-treated (0.2 µM), using Phospho-PKCdelta/theta (Ser643/676) Antibody.
undefined Image 7: Phospho-PKC Antibody Sampler Kit
Western blot analysis of extracts from 293 cells, untreated (lane 1), TPA-treated (.2μM for 20 minutes) (lanes 2 & 3), and CIP/λ phosphatase treated (lane 3), using Phospho-PKCθ (Thr538) Antibody #9377, PKCθ Antibody and β-actin Antibody #4967.
undefined Image 8: Phospho-PKC Antibody Sampler Kit
Western blot analysis of extracts from 293 cells, untreated or EGF-treated (100 ng/ml) and purified PKCzeta, untreated or lambda phosphatase-treated, using Phospho-PKCζ (Thr410)/λ (Thr412) Antibody (upper) or PKCzeta antibody (lower).
undefined Image 9: Phospho-PKC Antibody Sampler Kit
Orders: 877-616-CELL (2355) [email protected] Support: 877-678-TECH (8324) [email protected] Web: cellsignal.com
For Research Use Only. Not for Use in Diagnostic Procedures.

Revision 1

Cell Signaling Technology Logo
Simple Western™ analysis of lysates (0.1 mg/mL) from 3T3 cells treated with PDGF (100 ng/mL, 40 min) using Phospho-PKD/PKCμ (Ser744/748) Antibody #2054. The virtual lane view (left) shows the target band (as indicated) at 1:50 and 1:250 dilutions of primary antibody. The corresponding electropherogram view (right) plots chemiluminescence by molecular weight along the capillary at 1:50 (blue line) and 1:250 (green line) dilutions of primary antibody. This experiment was performed under reducing conditions on the Jess™ Simple Western instrument from ProteinSimple, a BioTechne brand, using the 12-230 kDa separation module.
undefined Image 10: Phospho-PKC Antibody Sampler Kit
Western blot analysis of extracts from TPA, Go6983 and/or Bisindolylmaleimide treated 293 cells, using Phospho-PKC (pan) (βII Ser660) Antibody.
undefined Image 11: Phospho-PKC Antibody Sampler Kit
Western blot analysis of extracts from Baculovirus-infected cells expressing PKC isoforms α, β, γ, δ or ε, using Phospho-PKCδ (Thr505) Antibody (upper) or control PKCα, β, γ, δ, ε antibodies (lower).
undefined Image 12: Phospho-PKC Antibody Sampler Kit
Orders: 877-616-CELL (2355) [email protected] Support: 877-678-TECH (8324) [email protected] Web: cellsignal.com
For Research Use Only. Not for Use in Diagnostic Procedures.

Revision 1

Cell Signaling Technology Logo
Western blot analysis of Baculovirus-expressed PKC isoforms alpha, beta, gamma, delta and epsilon, untreated or treated with lambda protein phosphatase, using Phospho-PKCalpha/beta II (Thr638/641) Antibody (upper) or PKCalpha, beta, gamma, delta, epsilon antibodies (lower).
undefined Image 13: Phospho-PKC Antibody Sampler Kit
Western blot analysis of Baculovirus expressed PKC isoforms alpha, beta, gamma, delta and epsilon, untreated or lambda protein phosphatase-treated, using Phospho-PKCdelta/theta (Ser643/676) Antibody (upper) or PKCalpha, -beta, -gamma, -delta and -epsilon antibodies (lower).
undefined Image 14: Phospho-PKC Antibody Sampler Kit
Western blot analysis of Baculovirus expressed PKC isoforms, using Phospho-PKC (pan) (βII Ser660) Antibody.
undefined Image 15: Phospho-PKC Antibody Sampler Kit
Orders: 877-616-CELL (2355) [email protected] Support: 877-678-TECH (8324) [email protected] Web: cellsignal.com
For Research Use Only. Not for Use in Diagnostic Procedures.

Revision 1

Cell Signaling Technology Logo
Western blot analysis of extracts from 293 cells, untreated, TPA treated (200 nM), or treated with TPA and CIP and λ phosphatases using Phospho-PKCα/βII (Thr638/641) Antibody or PKCα Antibody #2056.
undefined Image 16: Phospho-PKC Antibody Sampler Kit
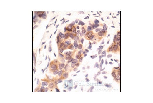
Immunohistochemical analysis of paraffin-embedded human breast carcinoma, using Phospho-PKCdelta/theta (Ser643/676) Antibody.
undefined Image 17: Phospho-PKC Antibody Sampler Kit
Immunohistochemical analysis of paraffin-embedded human lung carcinoma, using Phospho-PKCdelta/theta (Ser643/676). Antibody.
undefined Image 18: Phospho-PKC Antibody Sampler Kit
Orders: 877-616-CELL (2355) [email protected] Support: 877-678-TECH (8324) [email protected] Web: cellsignal.com
For Research Use Only. Not for Use in Diagnostic Procedures.

Revision 1

Cell Signaling Technology Logo
Immunoprecipitation of Phospho-PKD/PKCμ (Ser916) from NIH/3T3 cell extracts treated with PDGF-treated (50 ng/ml). Lane 1 is 10% input, lane 2 is Rabbit (DA1E) mAb IgG XP® Isotype Control #3900, and lane 3 is Phospho-PKD/PKCμ (Ser916) Antibody. Western blot analysis was performed using Phospho-PKD/PKCμ (Ser916) Antibody.
undefined Image 19: Phospho-PKC Antibody Sampler Kit
Simple Western™ analysis of lysates (1.0 mg/mL) from Jurkat cells using Phospho-PKCθ (Thr538) Antibody #9377. The virtual lane view (left) shows the target band (as indicated) at 1:50 and 1:250 dilutions of primary antibody. The corresponding electropherogram view (right) plots chemiluminescence by molecular weight along the capillary at 1:50 (blue line) and 1:250 (green line) dilutions of primary antibody. This experiment was performed under reducing conditions on the Jess™ Simple Western instrument from ProteinSimple, a BioTechne brand, using the 12-230 kDa separation module.
undefined Image 20: Phospho-PKC Antibody Sampler Kit
Orders: 877-616-CELL (2355) [email protected] Support: 877-678-TECH (8324) [email protected] Web: cellsignal.com
For Research Use Only. Not for Use in Diagnostic Procedures.