Revision 1

#2581

Store at -20C

CST Logo
Orders:

877-616-CELL (2355)

[email protected]

Support:

877-678-TECH (8324)

3 Trask Lane | Danvers | Massachusetts | 01923 | USA

For Research Use Only. Not for Use in Diagnostic Procedures.

Applications:
W, IHC-P

Reactivity:
H M R Mk

Sensitivity:
Endogenous

MW (kDa):
38

Source/Isotype:
Rabbit

UniProt ID:
#P62136

Entrez-Gene Id:
5499

Product Usage Information

Application Dilution
Western Blotting 1:1000
Immunohistochemistry (Paraffin) 1:50

Storage

Supplied in 10 mM sodium HEPES (pH 7.5), 150 mM NaCl, 100 µg/ml BSA and 50% glycerol. Store at –20°C. Do not aliquot the antibody.

Specificity/Sensitivity

Phospho-PP1 alpha (Thr320) Antibody detects PP1α only when phosphorylated at Thr320. This antibody may cross-react with the phosphorylated δ or γ isoforms of PP1.

Source / Purification

Polyclonal antibodies are produced by immunizing animals with a synthetic phosphopeptide corresponding to residues surrounding Thr320 of human PP1α. Antibodies are purified by protein A and peptide affinity chromatography.

Background

Type 1 protein phosphatase (PP1), a serine/threonine phosphatase, is highly conserved in eukaryotic cells. Four isoforms of PP1 have been characterized: PP1α, PP1δ, PP1γ1 and PP1γ2 (1). Involvement in cell cycle regulation is one of the biological functions of PP1 (1). It has been illustrated that PP1 dephosphorylates Rb and cdc25 during mitosis (2,3). A cell cycle-dependent phosphorylation at Thr320 of PP1α by cdc2 kinase inhibits PP1α activity (4).

Species Reactivity

Species reactivity is determined by testing in at least one approved application (e.g., western blot).

Western Blot Buffer

IMPORTANT: For western blots, incubate membrane with diluted primary antibody in 5% w/v BSA, 1X TBS, 0.1% Tween® 20 at 4°C with gentle shaking, overnight.

Applications Key

W: Western Blotting IHC-P: Immunohistochemistry (Paraffin)

Cross-Reactivity Key

H: Human M: Mouse R: Rat Mk: Monkey

Trademarks and Patents

Cell Signaling Technology is a trademark of Cell Signaling Technology, Inc.

All other trademarks are the property of their respective owners. Visit cellsignal.com/trademarks for more information.

Limited Uses

Except as otherwise expressly agreed in a writing signed by a legally authorized representative of CST, the following terms apply to Products provided by CST, its affiliates or its distributors. Any Customer's terms and conditions that are in addition to, or different from, those contained herein, unless separately accepted in writing by a legally authorized representative of CST, are rejected and are of no force or effect.

Products are labeled with For Research Use Only or a similar labeling statement and have not been approved, cleared, or licensed by the FDA or other regulatory foreign or domestic entity, for any purpose. Customer shall not use any Product for any diagnostic or therapeutic purpose, or otherwise in any manner that conflicts with its labeling statement. Products sold or licensed by CST are provided for Customer as the end-user and solely for research and development uses. Any use of Product for diagnostic, prophylactic or therapeutic purposes, or any purchase of Product for resale (alone or as a component) or other commercial purpose, requires a separate license from CST. Customer shall (a) not sell, license, loan, donate or otherwise transfer or make available any Product to any third party, whether alone or in combination with other materials, or use the Products to manufacture any commercial products, (b) not copy, modify, reverse engineer, decompile, disassemble or otherwise attempt to discover the underlying structure or technology of the Products, or use the Products for the purpose of developing any products or services that would compete with CST products or services, (c) not alter or remove from the Products any trademarks, trade names, logos, patent or copyright notices or markings, (d) use the Products solely in accordance with CST Product Terms of Sale and any applicable documentation, and (e) comply with any license, terms of service or similar agreement with respect to any third party products or services used by Customer in connection with the Products.

Orders: 877-616-CELL (2355) [email protected] Support: 877-678-TECH (8324) [email protected] Web: cellsignal.com
For Research Use Only. Not for Use in Diagnostic Procedures.

Revision 1

Cell Signaling Technology Logo
Western blot analysis of Recombinant PP1α, incubated with or without cdc2 protein kinase in the presence of ATP and kinase assay buffer at 30ºC for 30 minutes, using Phospho-PP1α (Thr320) Antibody (upper) or control PP1α Antibody #2582 (lower).
Western Blotting Image 1: Phospho-PP1 alpha (Thr320) Antibody
Western blot analysis of extracts from HeLa cells, asynchronous (lane 1), G2/M (lane 2) or released from G2/M for 6 hours (lane 3), using Phospho-PP1α (Thr320) Antibody (upper) or PP1α Antibody #2582 (lower).
Western Blotting Image 2: Phospho-PP1 alpha (Thr320) Antibody
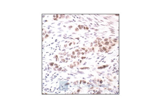
Immunohistochemical analysis of paraffin-embedded human breast carcinoma, showing nuclear localization, using Phospho-PP1α (Thr320) Antibody.
Immunohistochemistry Image 1: Phospho-PP1 alpha (Thr320) Antibody
Orders: 877-616-CELL (2355) [email protected] Support: 877-678-TECH (8324) [email protected] Web: cellsignal.com
For Research Use Only. Not for Use in Diagnostic Procedures.