Revision 1

#89146

Store at -20C

CST Logo
Orders:

877-616-CELL (2355)

[email protected]

Support:

877-678-TECH (8324)

3 Trask Lane | Danvers | Massachusetts | 01923 | USA

For Research Use Only. Not for Use in Diagnostic Procedures.

Applications:
W, IP

Reactivity:
H M R

Sensitivity:
Endogenous

MW (kDa):
150

Source/Isotype:
Rabbit IgG

UniProt ID:
#Q8N122

Entrez-Gene Id:
57521

Product Usage Information

Application Dilution
Western Blotting 1:1000
Immunoprecipitation 1:50

Storage

Supplied in 10 mM sodium HEPES (pH 7.5), 150 mM NaCl, 100 µg/ml BSA, 50% glycerol and less than 0.02% sodium azide. Store at –20°C. Do not aliquot the antibody.

Specificity/Sensitivity

Phospho-Raptor (Ser792) (E4V6C) Rabbit Monoclonal Antibody recognizes endogenous levels of raptor protein only when phosphorylated at Ser792.

Source / Purification

Monoclonal antibody is produced by immunizing animals with a synthetic phosphopeptide corresponding to residues surrounding Ser792 of human raptor protein.

Background

The regulatory associated protein of mTOR (Raptor) was identified as an mTOR binding partner that mediates mTOR signaling to downstream targets (1,2). Raptor binds to mTOR substrates, including 4E-BP1 and p70 S6 kinase, through their TOR signaling (TOS) motifs and is required for mTOR-mediated phosphorylation of these substrates (3,4). Binding of the FKBP12-rapamycin complex to mTOR inhibits the mTOR-raptor interaction, suggesting a mechanism for rapamycin's specific inhibition of mTOR signaling (5). This mTOR-raptor interaction and its regulation by nutrients and/or rapamycin is dependent on a protein called GβL (6). GβL is also part of the rapamycin-insensitive complex between mTOR and rictor (rapamycin-insensitive companion of mTOR), and may mediate rictor-mTOR signaling to downstream targets including PKCα (7). Furthermore, the rictor-mTOR complex has been identified as the previously elusive PDK2 responsible for the phosphorylation of Akt/PKB on Ser473, facilitating phosphorylation of Akt/PKB on Thr308 by PDK1 and required for the full activation of Akt/PKB (8).

Recently raptor has been identified as a direct substrate of the AMP-activated protein kinase (AMPK) (9). AMPK phosphorylates raptor on Ser722/Ser792 (9). This phosphorylation is essential for inhibition of the raptor-containing mTOR complex 1 (mTORC1) and induces cell cycle arrest when cells are stressed for energy (9). These findings suggest that raptor is a critical switch that correlates cell cycle progression with energy status.

Species Reactivity

Species reactivity is determined by testing in at least one approved application (e.g., western blot).

Western Blot Buffer

IMPORTANT: For western blots, incubate membrane with diluted primary antibody in 5% w/v BSA, 1X TBS, 0.1% Tween® 20 at 4°C with gentle shaking, overnight.

Applications Key

W: Western Blotting IP: Immunoprecipitation

Cross-Reactivity Key

H: Human M: Mouse R: Rat

Trademarks and Patents

Cell Signaling Technology is a trademark of Cell Signaling Technology, Inc.

All other trademarks are the property of their respective owners. Visit cellsignal.com/trademarks for more information.

Limited Uses

Except as otherwise expressly agreed in a writing signed by a legally authorized representative of CST, the following terms apply to Products provided by CST, its affiliates or its distributors. Any Customer's terms and conditions that are in addition to, or different from, those contained herein, unless separately accepted in writing by a legally authorized representative of CST, are rejected and are of no force or effect.

Products are labeled with For Research Use Only or a similar labeling statement and have not been approved, cleared, or licensed by the FDA or other regulatory foreign or domestic entity, for any purpose. Customer shall not use any Product for any diagnostic or therapeutic purpose, or otherwise in any manner that conflicts with its labeling statement. Products sold or licensed by CST are provided for Customer as the end-user and solely for research and development uses. Any use of Product for diagnostic, prophylactic or therapeutic purposes, or any purchase of Product for resale (alone or as a component) or other commercial purpose, requires a separate license from CST. Customer shall (a) not sell, license, loan, donate or otherwise transfer or make available any Product to any third party, whether alone or in combination with other materials, or use the Products to manufacture any commercial products, (b) not copy, modify, reverse engineer, decompile, disassemble or otherwise attempt to discover the underlying structure or technology of the Products, or use the Products for the purpose of developing any products or services that would compete with CST products or services, (c) not alter or remove from the Products any trademarks, trade names, logos, patent or copyright notices or markings, (d) use the Products solely in accordance with CST Product Terms of Sale and any applicable documentation, and (e) comply with any license, terms of service or similar agreement with respect to any third party products or services used by Customer in connection with the Products.

Orders: 877-616-CELL (2355) [email protected] Support: 877-678-TECH (8324) [email protected] Web: cellsignal.com
For Research Use Only. Not for Use in Diagnostic Procedures.

Revision 1

Cell Signaling Technology Logo
Western blot analysis of extracts from PANC-1 cells, vehicle-treated (-) or treated (+) with combinations of the following treatments as indicated: carbonyl cyanide m-chlorophenylhydrazone (CCCP) (100 μM, 2 hr) and λ phosphatase/calf intestinal alkaline phosphatase (CIP), using Phospho-Raptor (Ser792) (E4V6C) Rabbit mAb (upper) or Raptor (24C12) Rabbit mAb #2280 (lower).
Western Blotting Image 1: Phospho-Raptor (Ser792) (E4V6C) Rabbit Monoclonal Antibody
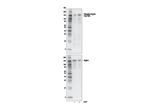
Western blot analysis of extracts from C2C12 cells, vehicle-treated (-) or treated with carbonyl cyanide m-chlorophenylhydrazone (CCCP) (10 μg/mL, 30 min; +), using Phospho-Raptor (Ser792) (E4V6C) Rabbit mAb (upper) or Raptor (24C12) Rabbit mAb #2280 (lower).
Western Blotting Image 2: Phospho-Raptor (Ser792) (E4V6C) Rabbit Monoclonal Antibody
Immunoprecipitation of phospho-raptor protein from PANC-1 extracts treated with carbonyl cyanide m-chlorophenylhydrazone (CCCP) (100 μM, 2 hr). Lane 1 is 10% input, lane 2 is Rabbit (DA1E) mAb IgG XP® Isotype Control #3900, and lane 3 is Phospho-Raptor (Ser792) (E4V6C) Rabbit mAb. Western blot analysis was performed using Phospho-Raptor (Ser792) (E4V6C) Rabbit mAb. Mouse Anti-rabbit IgG (Conformation Specific) (L27A9) mAb (HRP Conjugate) #5127 was used as the secondary antibody.
Immunoprecipitation Image 1: Phospho-Raptor (Ser792) (E4V6C) Rabbit Monoclonal Antibody
Orders: 877-616-CELL (2355) [email protected] Support: 877-678-TECH (8324) [email protected] Web: cellsignal.com
For Research Use Only. Not for Use in Diagnostic Procedures.