Revision 3

#41359

Store at -20C

CST Logo
Orders:

877-616-CELL (2355)

[email protected]

Support:

877-678-TECH (8324)

3 Trask Lane | Danvers | Massachusetts | 01923 | USA

For Research Use Only. Not for Use in Diagnostic Procedures.

Applications:
W, IHC-P, IF-F, IF-IC, FC-FP, ELISA

Reactivity:
H M R Mk

Sensitivity:
Endogenous

MW (kDa):
110

Source/Isotype:
Rabbit IgG

UniProt ID:
#P06400

Entrez-Gene Id:
5925

Product Usage Information

This product is the carrier free version of product #8516. All data were generated using the same antibody clone in the standard formulation which contains BSA and glycerol.

This formulation is ideal for use with technologies requiring specialized or custom antibody labeling, including fluorophores, metals, lanthanides, and oligonucleotides. It is not recommended for ChIP, ChIP-seq, CUT&RUN, or CUT&Tag assays. If you require a carrier free formulation for chromatin profiling, please contact us. Optimal dilutions/concentrations should be determined by the end user.

BSA and Azide Free antibodies are quality control tested by size exclusion chromatography (SEC) to determine antibody integrity.

Formulation

Supplied in 1X PBS (10 mM Na2HPO4, 3 mM KCl, 2 mM KH2PO4, and 140 mM NaCl (pH 7.8)). BSA and Azide Free.

For standard formulation of this product see product #8516.

Storage

Store at -20°C. This product will freeze at -20°C so it is recommended to aliquot into single-use vials to avoid multiple freeze/thaw cycles. A slight precipitate may be present and can be dissolved by gently vortexing. This will not interfere with antibody performance.

Specificity/Sensitivity

Phospho-Rb (Ser807/811) (D20B12) Rabbit Monoclonal Antibody (BSA and Azide Free) recognizes endogenous levels of Rb protein only when phosphorylated at Ser807, Ser811, or at both sites. This antibody does not cross-react with Rb phosphorylated at Ser608.

Source / Purification

Monoclonal antibody is produced by immunizing animals with a synthetic peptide corresponding to residues surrounding Ser807/811 of human Rb protein.

Background

The retinoblastoma tumor suppressor protein Rb regulates cell proliferation by controlling progression through the restriction point within the G1-phase of the cell cycle (1). Rb has three functionally distinct binding domains and interacts with critical regulatory proteins including the E2F family of transcription factors, c-Abl tyrosine kinase, and proteins with a conserved LXCXE motif (2-4). Cell cycle-dependent phosphorylation by a CDK inhibits Rb target binding and allows cell cycle progression (5). Rb inactivation and subsequent cell cycle progression likely requires an initial phosphorylation by cyclin D-CDK4/6 followed by cyclin E-CDK2 phosphorylation (6). Specificity of different CDK/cyclin complexes has been observed in vitro (6-8) and cyclin D1 is required for Ser780 phosphorylation in vivo (9).

Species Reactivity

Species reactivity is determined by testing in at least one approved application (e.g., western blot).

Applications Key

W: Western Blotting IHC-P: Immunohistochemistry (Paraffin) IF-F: Immunofluorescence (Frozen) IF-IC: Immunofluorescence (Immunocytochemistry) FC-FP: Flow Cytometry (Fixed/Permeabilized) ELISA: ELISA

Cross-Reactivity Key

H: Human M: Mouse R: Rat Mk: Monkey

Trademarks and Patents

Cell Signaling Technology is a trademark of Cell Signaling Technology, Inc.

Alexa Fluor is a registered trademark of Life Technologies Corporation.

All other trademarks are the property of their respective owners. Visit cellsignal.com/trademarks for more information.

Limited Uses

Except as otherwise expressly agreed in a writing signed by a legally authorized representative of CST, the following terms apply to Products provided by CST, its affiliates or its distributors. Any Customer's terms and conditions that are in addition to, or different from, those contained herein, unless separately accepted in writing by a legally authorized representative of CST, are rejected and are of no force or effect.

Products are labeled with For Research Use Only or a similar labeling statement and have not been approved, cleared, or licensed by the FDA or other regulatory foreign or domestic entity, for any purpose. Customer shall not use any Product for any diagnostic or therapeutic purpose, or otherwise in any manner that conflicts with its labeling statement. Products sold or licensed by CST are provided for Customer as the end-user and solely for research and development uses. Any use of Product for diagnostic, prophylactic or therapeutic purposes, or any purchase of Product for resale (alone or as a component) or other commercial purpose, requires a separate license from CST. Customer shall (a) not sell, license, loan, donate or otherwise transfer or make available any Product to any third party, whether alone or in combination with other materials, or use the Products to manufacture any commercial products, (b) not copy, modify, reverse engineer, decompile, disassemble or otherwise attempt to discover the underlying structure or technology of the Products, or use the Products for the purpose of developing any products or services that would compete with CST products or services, (c) not alter or remove from the Products any trademarks, trade names, logos, patent or copyright notices or markings, (d) use the Products solely in accordance with CST Product Terms of Sale and any applicable documentation, and (e) comply with any license, terms of service or similar agreement with respect to any third party products or services used by Customer in connection with the Products.

Orders: 877-616-CELL (2355) [email protected] Support: 877-678-TECH (8324) [email protected] Web: cellsignal.com
For Research Use Only. Not for Use in Diagnostic Procedures.

Revision 3

Cell Signaling Technology Logo
Western blot analysis of extracts from MCF7 cells, untreated (-) or treated with calf intestinal phosphatase (CIP) and λ phosphatase (+), using Phospho-Rb (Ser807/811) (D20B12) XP® Rabbit mAb (upper) or Rb (4H1) Mouse mAb #9309 (lower). Data were generated using the standard formulation of this product.
Western Blotting Image 1: Phospho-Rb (Ser807/811) (D20B12) Rabbit Monoclonal Antibody (BSA and Azide Free)
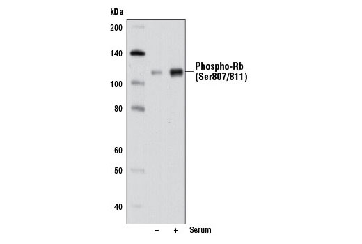
Western blot analysis of extracts from WI-38 cells, serum-starved for 3 days (-) or serum-starved for 3 days followed by treatment with 10% serum for 2 days (+), using Phospho-Rb (Ser807/811) (D20B12) XP® Rabbit mAb. Data were generated using the standard formulation of this product.
Western Blotting Image 2: Phospho-Rb (Ser807/811) (D20B12) Rabbit Monoclonal Antibody (BSA and Azide Free)
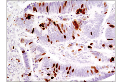
Immunohistochemical analysis of paraffin-embedded human colon carcinoma using Phospho-Rb (Ser807/811) (D20B12) XP® Rabbit mAb. Data were generated using the standard formulation of this product.
Immunohistochemistry Image 1: Phospho-Rb (Ser807/811) (D20B12) Rabbit Monoclonal Antibody (BSA and Azide Free)
Orders: 877-616-CELL (2355) [email protected] Support: 877-678-TECH (8324) [email protected] Web: cellsignal.com
For Research Use Only. Not for Use in Diagnostic Procedures.

Revision 3

Cell Signaling Technology Logo
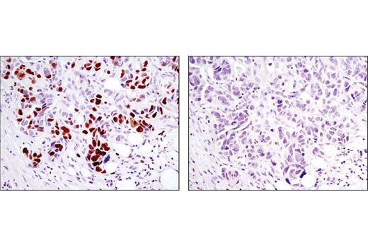
Immunohistochemical analysis of paraffin-embedded human ovarian serous adenocarcinoma using Phospho-Rb (Ser807/811) (D20B12) XP® Rabbit mAb in the presence of control peptide (left) or antigen-specific peptide (right). Data were generated using the standard formulation of this product.
Immunohistochemistry Image 2: Phospho-Rb (Ser807/811) (D20B12) Rabbit Monoclonal Antibody (BSA and Azide Free)
Immunohistochemical analysis of paraffin-embedded human lung carcinoma, control (left) or λ phosphatase-treated (right), using Phospho-Rb (Ser807/811) (D20B12) XP® Rabbit mAb. Data were generated using the standard formulation of this product.
Immunohistochemistry Image 3: Phospho-Rb (Ser807/811) (D20B12) Rabbit Monoclonal Antibody (BSA and Azide Free)
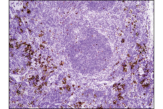
Immunohistochemical analysis of paraffin-embedded mouse spleen using Phospho-Rb (Ser807/811) (D20B12) XP® Rabbit mAb. Data were generated using the standard formulation of this product.
Immunohistochemistry Image 4: Phospho-Rb (Ser807/811) (D20B12) Rabbit Monoclonal Antibody (BSA and Azide Free)
Orders: 877-616-CELL (2355) [email protected] Support: 877-678-TECH (8324) [email protected] Web: cellsignal.com
For Research Use Only. Not for Use in Diagnostic Procedures.

Revision 3

Cell Signaling Technology Logo
Confocal immunofluorescent analysis of MCF7 (left) and BT-549 (right) cells, untreated (upper) or λ phosphatase-treated (lower) using Phospho-Rb (Ser807/Ser811) (D20B12) XP® Rabbit mAb (green). Actin filaments were labeled with DY-554 phalloidin (red). Blue pseudocolor = DRAQ5® #4084 (fluorescent DNA dye). Data were generated using the standard formulation of this product.
Immunofluorescence Image 1: Phospho-Rb (Ser807/811) (D20B12) Rabbit Monoclonal Antibody (BSA and Azide Free)
Flow cytometric analysis of Jurkat cells using Phospho-Rb (Ser807/811) (D20B12) XP® Rabbit mAb and Propidium Iodide (PI/RNase Staining Solution #4087 to measure DNA content. Anti-rabbit IgG (H+L), F(ab')2 Fragment (Alexa Fluor® 488 Conjugate) #4412 was used as a secondary antibody. Data were generated using the standard formulation of this product.
Flow Cytometry Image 1: Phospho-Rb (Ser807/811) (D20B12) Rabbit Monoclonal Antibody (BSA and Azide Free)
Data using Phospho-Rb (Ser807/811) Matched Antibody Pair #16175 are shown. The two antibodies function as a capture-target-detection sandwich (#61121 and #41359, respectively) to detect endogenous expression of protein in positive and negative controls.
ELISA Image 1: Phospho-Rb (Ser807/811) (D20B12) Rabbit Monoclonal Antibody (BSA and Azide Free)
Orders: 877-616-CELL (2355) [email protected] Support: 877-678-TECH (8324) [email protected] Web: cellsignal.com
For Research Use Only. Not for Use in Diagnostic Procedures.