Revision 6

#38662

Store at -20C

CST Logo
Orders:

877-616-CELL (2355)

[email protected]

Support:

877-678-TECH (8324)

3 Trask Lane | Danvers | Massachusetts | 01923 | USA

For Research Use Only. Not for Use in Diagnostic Procedures.

Applications:
W, IF-IC, FC-FP

Reactivity:
M

Sensitivity:
Endogenous

MW (kDa):
78

Source/Isotype:
Rabbit IgG

UniProt ID:
#Q60855

Entrez-Gene Id:
19766

Product Usage Information

Application Dilution
Western Blotting 1:1000
Immunofluorescence (Immunocytochemistry) 1:400 - 1:800
Flow Cytometry (Fixed/Permeabilized) 1:400 - 1:1600

Storage

Supplied in 10 mM sodium HEPES (pH 7.5), 150 mM NaCl, 100 µg/ml BSA, 50% glycerol and less than 0.02% sodium azide. Store at –20°C. Do not aliquot the antibody.

For a carrier free (BSA and azide free) version of this product see product #33527.

Specificity/Sensitivity

Phospho-RIP (Ser321) (E9K2A) Rabbit Monoclonal Antibody recognizes endogenous levels of mouse RIP protein only when phosphorylated at Ser321.

Source / Purification

Monoclonal antibody is produced by immunizing animals with a synthetic phosphopeptide corresponding to residues surrounding Ser321 of mouse RIP protein.

Background

The receptor-interacting protein (RIP) family of serine-threonine kinases (RIP, RIP2, RIP3, and RIP4) are important regulators of cellular stress that trigger pro-survival and inflammatory responses through the activation of NF-κB, as well as pro-apoptotic pathways (1). In addition to the kinase domain, RIP contains a death domain responsible for interaction with the death domain receptor Fas and recruitment to TNF-R1 through interaction with TRADD (2,3). RIP-deficient cells show a failure in TNF-mediated NF-κB activation, making the cells more sensitive to apoptosis (4,5). RIP also interacts with TNF-receptor-associated factors (TRAFs) and can recruit IKKs to the TNF-R1 signaling complex via interaction with NEMO, leading to IκB phosphorylation and degradation (6,7). Overexpression of RIP induces both NF-κB activation and apoptosis (2,3). Caspase-8-dependent cleavage of the RIP death domain can trigger the apoptotic activity of RIP (8).
Necroptosis, a regulated pathway for necrotic cell death, is triggered by a number of inflammatory signals, including cytokines in the tumor necrosis factor (TNF) family, pathogen sensors such as toll-like receptors (TLRs), and ischemic injury (9,10). The process is negatively regulated by caspases and is initiated through a complex containing the RIP and RIP3 kinases, typically referred to as the necrosome. Necroptosis is inhibited by a small molecule inhibitor of RIP, necrostatin-1 (Nec-1) (11). Research studies show that necroptosis contributes to a number of pathological conditions, and Nec-1 has been shown to provide neuroprotection in models such as ischemic brain injury (12). RIP is phosphorylated at several sites within the kinase domain that are sensitive to Nec-1, including Ser14, Ser15, Ser161, and Ser166 (13).

RIP is also phosphorylated at Ser321(mouse)/Ser320(human) by MAPKAPK-2 (MK-2) and TAK1 in response to inflammatory signals such as TNF-α and LPS (14-17). Phosphorylation at this site suppresses RIP mediated apoptosis by inhibiting its interaction with FADD and caspase-8 (14-17).

Species Reactivity

Species reactivity is determined by testing in at least one approved application (e.g., western blot).

Western Blot Buffer

IMPORTANT: For western blots, incubate membrane with diluted primary antibody in 5% w/v nonfat dry milk, 1X TBS, 0.1% Tween® 20 at 4°C with gentle shaking, overnight.

Applications Key

W: Western Blotting IF-IC: Immunofluorescence (Immunocytochemistry) FC-FP: Flow Cytometry (Fixed/Permeabilized)

Cross-Reactivity Key

M: Mouse

Trademarks and Patents

Cell Signaling Technology is a trademark of Cell Signaling Technology, Inc.

Alexa Fluor is a registered trademark of Life Technologies Corporation.

All other trademarks are the property of their respective owners. Visit cellsignal.com/trademarks for more information.

Limited Uses

Except as otherwise expressly agreed in a writing signed by a legally authorized representative of CST, the following terms apply to Products provided by CST, its affiliates or its distributors. Any Customer's terms and conditions that are in addition to, or different from, those contained herein, unless separately accepted in writing by a legally authorized representative of CST, are rejected and are of no force or effect.

Products are labeled with For Research Use Only or a similar labeling statement and have not been approved, cleared, or licensed by the FDA or other regulatory foreign or domestic entity, for any purpose. Customer shall not use any Product for any diagnostic or therapeutic purpose, or otherwise in any manner that conflicts with its labeling statement. Products sold or licensed by CST are provided for Customer as the end-user and solely for research and development uses. Any use of Product for diagnostic, prophylactic or therapeutic purposes, or any purchase of Product for resale (alone or as a component) or other commercial purpose, requires a separate license from CST. Customer shall (a) not sell, license, loan, donate or otherwise transfer or make available any Product to any third party, whether alone or in combination with other materials, or use the Products to manufacture any commercial products, (b) not copy, modify, reverse engineer, decompile, disassemble or otherwise attempt to discover the underlying structure or technology of the Products, or use the Products for the purpose of developing any products or services that would compete with CST products or services, (c) not alter or remove from the Products any trademarks, trade names, logos, patent or copyright notices or markings, (d) use the Products solely in accordance with CST Product Terms of Sale and any applicable documentation, and (e) comply with any license, terms of service or similar agreement with respect to any third party products or services used by Customer in connection with the Products.

Orders: 877-616-CELL (2355) [email protected] Support: 877-678-TECH (8324) [email protected] Web: cellsignal.com
For Research Use Only. Not for Use in Diagnostic Procedures.

Revision 6

Cell Signaling Technology Logo
Western blot analysis of extracts from C2C12 cells, untreated (-) or treated with Mouse Tumor Necrosis Factor-α (mTNF-α) #5178 (20 ng/ml; indicated times), using Phospho-RIP (Ser321) (E9K2A) Rabbit mAb (upper), total RIP (D94C12) XP® Rabbit mAb #3493 (middle), or GAPDH (D16H11) XP® Rabbit mAb #5174 (lower).
Western Blotting Image 1: Phospho-RIP (Ser321) (E9K2A) Rabbit Monoclonal Antibody
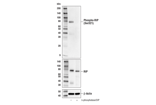
Western blot analysis of extracts from C2C12 cells treated with Mouse Tumor Necrosis Factor-α (mTNF-α) #5178 (20 ng/ml, 5 min) followed by treatment with (+) or without (-) Lambda Phosphatase (λ-phosphatase) and Calf Intestinal Phosphatase (CIP) as indicated, using Phospho-RIP (Ser321) (E9K2A) Rabbit mAb (upper), total RIP (D94C12) XP® Rabbit mAb #3493 (middle), or β-Actin (D6A8) Rabbit mAb #8457 (lower).
Western Blotting Image 2: Phospho-RIP (Ser321) (E9K2A) Rabbit Monoclonal Antibody
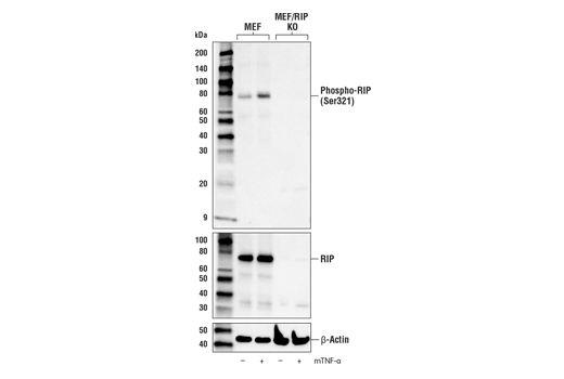
Western blot analysis of extracts from MEF or MEF/RIP KO cells, untreated (-) or treated with Mouse Tumor Necrosis Factor-α (mTNF-α) #5178 (20 ng/ml, 5 min; +), using Phospho-RIP (Ser321) (E9K2A) Rabbit mAb (upper), total RIP (D94C12) XP® Rabbit mAb #3493 (middle), or β-Actin (D6A8) Rabbit mAb #8457 (lower). MEF/RIP KO cells were kindly provided by Dr. Junying Yuan, Harvard Medical School, Boston, MA.
Western Blotting Image 3: Phospho-RIP (Ser321) (E9K2A) Rabbit Monoclonal Antibody
Orders: 877-616-CELL (2355) [email protected] Support: 877-678-TECH (8324) [email protected] Web: cellsignal.com
For Research Use Only. Not for Use in Diagnostic Procedures.

Revision 6

Cell Signaling Technology Logo
Confocal immunofluorescent analysis of RIP wild-type MEF cells, either untreated (first column), treated with Mouse Tumor Necrosis Factor-α (mTNF-α) #5178 (20 ng/ml, 5 min; second column), or treated with mTNF-α and post-processed with λ-phosphatase (third column) to verify phospho-specificity. Lack of staining in mTNF-α treated RIP knockout MEF cells (fourth column) confirms target specificity. Cells were stained with Phospho-RIP (Ser321) (E9K2A) Rabbit mAb (green) and DyLight™ 554 Phalloidin #13054 (red) before mounting in ProLong® Gold Antifade Reagent with DAPI #8961 (blue).
Immunofluorescence Image 1: Phospho-RIP (Ser321) (E9K2A) Rabbit Monoclonal Antibody
Flow cytometric analysis of MEF cells, wild-type (green) or RIP knockout (blue), treated with Mouse Tumor Necrosis Factor-α (mTNF-α) #5178 (20 ng/mL, 5 min), using Phospho-RIP (Ser321) (E9K2A) Rabbit mAb (solid lines) or a concentration-matched Rabbit (DA1E) mAb IgG XP® Isotype Control #3900 (dashed lines). Anti-rabbit IgG (H+L), F(ab')2 Fragment (Alexa Fluor® 488 Conjugate) #4412 was used as a secondary antibody.
Flow Cytometry Image 1: Phospho-RIP (Ser321) (E9K2A) Rabbit Monoclonal Antibody
Orders: 877-616-CELL (2355) [email protected] Support: 877-678-TECH (8324) [email protected] Web: cellsignal.com
For Research Use Only. Not for Use in Diagnostic Procedures.