Revision 2

#27254

Store at -20C

CST Logo
Orders:

877-616-CELL (2355)

[email protected]

Support:

877-678-TECH (8324)

3 Trask Lane | Danvers | Massachusetts | 01923 | USA

For Research Use Only. Not for Use in Diagnostic Procedures.

Applications:
W, FC-FP

Reactivity:
H M R

Sensitivity:
Endogenous

MW (kDa):
72

Source/Isotype:
Rabbit IgG

UniProt ID:
#Q9Y3Z3

Entrez-Gene Id:
25939

Product Usage Information

This product is the carrier free version of product #89930. All data were generated using the same antibody clone in the standard formulation which contains BSA and glycerol.

This formulation is ideal for use with technologies requiring specialized or custom antibody labeling, including fluorophores, metals, lanthanides, and oligonucleotides. It is not recommended for ChIP, ChIP-seq, CUT&RUN or CUT&Tag assays. If you require a carrier free formulation for chromatin profiling, please contact us. Optimal dilutions/concentrations should be determined by the end user.

BSA and Azide Free antibodies are quality control tested by size exclusion chromatography (SEC) to determine antibody integrity.

Formulation

Supplied in 1X PBS (10 mM Na2HPO4, 3 mM KCl, 2 mM KH2PO4, and 140 mM NaCl (pH 7.8)). BSA and Azide Free.

For standard formulation of this product see product #89930

Storage

Store at -20°C. This product will freeze at -20°C so it is recommended to aliquot into single-use vials to avoid multiple freeze/thaw cycles. A slight precipitate may be present and can be dissolved by gently vortexing. This will not interfere with antibody performance.

Specificity/Sensitivity

Phospho-SAMHD1 (Thr592) (D7O2M) Rabbit Monoclonal Antibody (BSA and Azide Free) recognizes endogenous levels of SAMDH1 protein only when phosphorylated at Thr592.

Source / Purification

Monoclonal antibody is produced by immunizing animals with a synthetic peptide corresponding to residues surrounding Thr592 of human SAMHD1 protein.

Background

SAM domain and HD domain-containing protein 1 (SAMHD1) is a negative regulator of the cell-intrinsic innate immune response (1). Research studies have identified mutations in SAMHD1 as a cause of Aicardi-Goutieres syndrome, an autoimmune disease characterized by elevated production of interferon-α and symptoms resembling congenital viral infection (1). SAMHD1 was identified as the restriction factor that renders most myeloid cells refractory to human immunodeficiency virus (HIV) infection (2-4). Expression of the viral protein Vpx in refractory cells targets SAMHD1 for ubiquitin-mediated degradation and relieves HIV restriction. SAMHD1 prevents autoimmunity and HIV infection by hydrolyzing intracellular deoxynucleoside triphosphates (dNTPs), thereby limiting inappropriate immune activation by self nucleic acid and inhibiting reverse transcription of the HIV genome (4-6).
Phosphorylation of Thr592 by cyclin A2/CDK1 was identified as a regulatory mechanism that controls SAMHD1 activity (7,8). SAMHD1 is phosphorylated in proliferating cells, which inhibits its ability to block HIV infection. In resting cells or in cells treated with PMA (TPA) or IFN-α, SAMHD1 phosphorylation is decreased and cells are refractory to HIV infection (7,8).

Species Reactivity

Species reactivity is determined by testing in at least one approved application (e.g., western blot).

Applications Key

W: Western Blotting FC-FP: Flow Cytometry (Fixed/Permeabilized)

Cross-Reactivity Key

H: Human M: Mouse R: Rat

Trademarks and Patents

Cell Signaling Technology is a trademark of Cell Signaling Technology, Inc.

All other trademarks are the property of their respective owners. Visit cellsignal.com/trademarks for more information.

Limited Uses

Except as otherwise expressly agreed in a writing signed by a legally authorized representative of CST, the following terms apply to Products provided by CST, its affiliates or its distributors. Any Customer's terms and conditions that are in addition to, or different from, those contained herein, unless separately accepted in writing by a legally authorized representative of CST, are rejected and are of no force or effect.

Products are labeled with For Research Use Only or a similar labeling statement and have not been approved, cleared, or licensed by the FDA or other regulatory foreign or domestic entity, for any purpose. Customer shall not use any Product for any diagnostic or therapeutic purpose, or otherwise in any manner that conflicts with its labeling statement. Products sold or licensed by CST are provided for Customer as the end-user and solely for research and development uses. Any use of Product for diagnostic, prophylactic or therapeutic purposes, or any purchase of Product for resale (alone or as a component) or other commercial purpose, requires a separate license from CST. Customer shall (a) not sell, license, loan, donate or otherwise transfer or make available any Product to any third party, whether alone or in combination with other materials, or use the Products to manufacture any commercial products, (b) not copy, modify, reverse engineer, decompile, disassemble or otherwise attempt to discover the underlying structure or technology of the Products, or use the Products for the purpose of developing any products or services that would compete with CST products or services, (c) not alter or remove from the Products any trademarks, trade names, logos, patent or copyright notices or markings, (d) use the Products solely in accordance with CST Product Terms of Sale and any applicable documentation, and (e) comply with any license, terms of service or similar agreement with respect to any third party products or services used by Customer in connection with the Products.

Orders: 877-616-CELL (2355) [email protected] Support: 877-678-TECH (8324) [email protected] Web: cellsignal.com
For Research Use Only. Not for Use in Diagnostic Procedures.

Revision 2

Cell Signaling Technology Logo
Western blot analysis of extracts from THP-1 cells, untreated (-) or treated with calf intestinal phosphatase (CIP) plus λ phosphatase (+), using Phospho-SAMHD1 (Thr592) (D7O2M) (upper) or SAMHD1 Antibody (lower). Data were generated using the standard formulation of this product.
Western Blotting Image 1: Phospho-SAMHD1 (Thr592) (D7O2M) Rabbit Monoclonal Antibody (BSA and Azide Free)
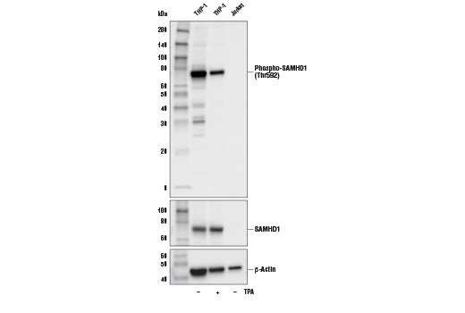
Western blot analysis of extracts from Jurkat and THP-1 cells, untreated (-) or treated with TPA (12-O-Tetradecanoylphorbol-13-Acetate) #4174 (80 nM, 16 hr; +), using Phospho-SAMHD1 (Thr592) (D7O2M) Rabbit mAb (upper), SAMHD1 Antibody (middle), or β-Actin (D6A8) Rabbit mAb #8457 (lower). Data were generated using the standard formulation of this product.
Western Blotting Image 2: Phospho-SAMHD1 (Thr592) (D7O2M) Rabbit Monoclonal Antibody (BSA and Azide Free)
Flow cytometric analysis of THP-1 cells, treated with TPA (80 nM, 16 hr; red) or untreated (green), using Phospho-SAMHD1 (Thr592) (D7O2M) Rabbit mAb (solid lines) or concentration-matched Rabbit (DA1E) mAb IgG XP® Isotype Control #3900 (dashed lines). Anti-rabbit IgG (H+L), F(ab')2 Fragment (Alexa Fluor® 488 Conjugate) #4412 was used as a secondary antibody. Data were generated using the standard formulation of this product.
Flow Cytometry Image 1: Phospho-SAMHD1 (Thr592) (D7O2M) Rabbit Monoclonal Antibody (BSA and Azide Free)
Orders: 877-616-CELL (2355) [email protected] Support: 877-678-TECH (8324) [email protected] Web: cellsignal.com
For Research Use Only. Not for Use in Diagnostic Procedures.

Revision 2

Cell Signaling Technology Logo
Flow cytometric analysis of Jurkat cells (blue) and THP-1 cells (green) using Phospho-SAMHD1 (Thr592) (D7O2M) Rabbit mAb (solid lines) or a concentration-matched Rabbit (DA1E) mAb IgG XP® Isotype Control #3900 (dashed lines). Anti-rabbit IgG (H+L), F(ab')2 Fragment (Alexa Fluor® 488 Conjugate) #4412 was used as a secondary antibody. Data were generated using the standard formulation of this product.
Flow Cytometry Image 2: Phospho-SAMHD1 (Thr592) (D7O2M) Rabbit Monoclonal Antibody (BSA and Azide Free)
Orders: 877-616-CELL (2355) [email protected] Support: 877-678-TECH (8324) [email protected] Web: cellsignal.com
For Research Use Only. Not for Use in Diagnostic Procedures.