Revision 1

#9601

Store at -20C

CST Logo
Orders:

877-616-CELL (2355)

[email protected]

Support:

877-678-TECH (8324)

3 Trask Lane | Danvers | Massachusetts | 01923 | USA

For Research Use Only. Not for Use in Diagnostic Procedures.

Applications:
W, IP, IHC-P, E-P

Reactivity:
All

Sensitivity:
Endogenous

Source/Isotype:
Rabbit

Product Usage Information

Application Dilution
Western Blotting 1:1000
Immunoprecipitation 1:50
Immunohistochemistry (Paraffin) 1:100
Peptide ELISA (DELFIA) 1:500

Storage

Supplied in 10 mM sodium HEPES (pH 7.5), 150 mM NaCl, 100 µg/ml BSA and 50% glycerol. Store at –20°C. Do not aliquot the antibody.

Specificity/Sensitivity

Phospho-(Ser) 14-3-3 Binding Motif Antibody binds peptides and proteins containing a motif composed of phospho-Ser with proline at the +2 position and arginine or lysine at the -3 position. Antibody binding is phospho-specific and largely independent of other surrounding amino acids. This antibody weakly cross-reacts with sequences containing phospho-Thr instead of phospho-Ser in this motif, and with sequences containing phospho-Ser surrounded by Phe at the +1 position and Arg/Lys at the -3 position. No cross-reactivity is observed with corresponding nonphosphorylated sequences or with other phospho-Thr/Ser/Tyr-containing motifs. By ELISA this antibody recognizes a wide range of peptides containing the 14-3-3 binding motif, and by 2D gel Western blot analysis it recognizes a large number of presumptive 14-3-3 binding proteins.

Source / Purification

Polyclonal antibodies are produced by immunizing animals with synthetic phospho-(Ser) 14-3-3-binding-motif containing peptides . Antibodies are purified by protein A and peptide affinity chromatography.

Background

The 14-3-3 proteins are a highly conserved family of proteins involved in the regulation of cell survival, apoptosis, proliferation and checkpoint control (1-5). Biological regulation by 14-3-3 is mediated through phosphorylation-dependent protein-protein interactions (6). Two different phospho-Ser-containing motifs are found within nearly all known 14-3-3 binding proteins (7). Motif 1 (Arg/Lys and Ser at positions -3 and -2, phospho-Ser at position 0, and Pro at position +2) is found in critical regulatory proteins including Bad, cdc25C, FKHRL1, PKC and c-Raf (5,7). Phospho-(Ser) 14-3-3 Binding Motif Polyclonal and (4E2) Monoclonal Antibodies provide powerful tools for the discovery and characterization of potential 14-3-3 binding proteins containing this motif and for high throughput drug discovery.

Species Reactivity

Species reactivity is determined by testing in at least one approved application (e.g., western blot).

Western Blot Buffer

IMPORTANT: For western blots, incubate membrane with diluted primary antibody in 5% w/v BSA, 1X TBS, 0.1% Tween® 20 at 4°C with gentle shaking, overnight.

Applications Key

W: Western Blotting IP: Immunoprecipitation IHC-P: Immunohistochemistry (Paraffin) E-P: Peptide ELISA (DELFIA)

Cross-Reactivity Key

All: All Species Expected

Trademarks and Patents

Cell Signaling Technology is a trademark of Cell Signaling Technology, Inc.

All other trademarks are the property of their respective owners. Visit cellsignal.com/trademarks for more information.

Limited Uses

Except as otherwise expressly agreed in a writing signed by a legally authorized representative of CST, the following terms apply to Products provided by CST, its affiliates or its distributors. Any Customer's terms and conditions that are in addition to, or different from, those contained herein, unless separately accepted in writing by a legally authorized representative of CST, are rejected and are of no force or effect.

Products are labeled with For Research Use Only or a similar labeling statement and have not been approved, cleared, or licensed by the FDA or other regulatory foreign or domestic entity, for any purpose. Customer shall not use any Product for any diagnostic or therapeutic purpose, or otherwise in any manner that conflicts with its labeling statement. Products sold or licensed by CST are provided for Customer as the end-user and solely for research and development uses. Any use of Product for diagnostic, prophylactic or therapeutic purposes, or any purchase of Product for resale (alone or as a component) or other commercial purpose, requires a separate license from CST. Customer shall (a) not sell, license, loan, donate or otherwise transfer or make available any Product to any third party, whether alone or in combination with other materials, or use the Products to manufacture any commercial products, (b) not copy, modify, reverse engineer, decompile, disassemble or otherwise attempt to discover the underlying structure or technology of the Products, or use the Products for the purpose of developing any products or services that would compete with CST products or services, (c) not alter or remove from the Products any trademarks, trade names, logos, patent or copyright notices or markings, (d) use the Products solely in accordance with CST Product Terms of Sale and any applicable documentation, and (e) comply with any license, terms of service or similar agreement with respect to any third party products or services used by Customer in connection with the Products.

Orders: 877-616-CELL (2355) [email protected] Support: 877-678-TECH (8324) [email protected] Web: cellsignal.com
For Research Use Only. Not for Use in Diagnostic Procedures.

Revision 1

Cell Signaling Technology Logo
Western blot analysis of extracts from 293 cells transfected with Bad or Bad Ser112 and/or Ser136 mutant fusion proteins, using Phospho-(Ser) 14-3-3 Binding Motif Antibody (top), Phospho-Bad (Ser136) Antibody #9295 (middle) or Phospho-Bad (Ser112) Antibody #9291 (bottom).
Western Blotting Image 1: Phospho-(Ser) 14-3-3 Binding Motif Antibody
Western blot analysis of extracts from Jurkat cells, untreated or calyculin A-treated (0.1 µM for 30 minutes), using Phospho-(Ser) 14-3-3 Binding Motif Antibody. Proteins were separated by 2-D electrophoresis prior to blotting.
Western Blotting Image 2: Phospho-(Ser) 14-3-3 Binding Motif Antibody
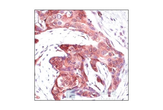
Immunohistochemical analysis of paraffin-embedded human breast carcinoma, showing staining of proteins containing phosphorylated 14-3-3 binding motifs, using Phospho-(Ser) 14-3-3 Binding Motif Antibody.
Immunohistochemistry Image 1: Phospho-(Ser) 14-3-3 Binding Motif Antibody
Orders: 877-616-CELL (2355) [email protected] Support: 877-678-TECH (8324) [email protected] Web: cellsignal.com
For Research Use Only. Not for Use in Diagnostic Procedures.

Revision 1

Cell Signaling Technology Logo
Phospho-(Ser) 14-3-3 Binding Motif Antibody ELISA Assay: Signal-to-noise ratio of phospho- versus nonphospho-14-3-3 binding motif peptides. (S* denotes phosphorylated serine.)
E Image 1: Phospho-(Ser) 14-3-3 Binding Motif Antibody
Orders: 877-616-CELL (2355) [email protected] Support: 877-678-TECH (8324) [email protected] Web: cellsignal.com
For Research Use Only. Not for Use in Diagnostic Procedures.