Revision 1

#10190

Store at -20C

CST Logo
Orders:

877-616-CELL (2355)

[email protected]

Support:

877-678-TECH (8324)

3 Trask Lane | Danvers | Massachusetts | 01923 | USA

For Research Use Only. Not for Use in Diagnostic Procedures.

Applications:
W, IHC-Bond, IHC-P, FC-FP

Reactivity:
H M

Sensitivity:
Endogenous

MW (kDa):
76

Source/Isotype:
Rabbit IgG

UniProt ID:
#Q13094

Entrez-Gene Id:
3937

Product Usage Information

This product is the carrier-free version of product #76384. All data were generated using the same antibody clone in the standard formulation which contains BSA and glycerol.

This formulation is ideal for use with technologies requiring specialized or custom antibody labeling, including fluorophores, metals, lanthanides, and oligonucleotides. It is not recommended for ChIP, ChIP-seq, CUT&RUN, or CUT&Tag assays. If you require a carrier-free formulation for chromatin profiling, please contact us. Optimal dilutions/concentrations should be determined by the end user.

BSA and Azide Free antibodies are quality control tested by size exclusion chromatography (SEC) to determine antibody integrity.

Formulation

Supplied in 1X PBS (10 mM Na2HPO4, 3 mM KCl, 2 mM KH2PO4, and 140 mM NaCl (pH 7.8)). BSA and Azide Free.

For standard formulation of this product see product #76384.

Storage

Store at -20°C. This product will freeze at -20°C so it is recommended to aliquot into single-use vials to avoid multiple freeze/thaw cycles. A slight precipitate may be present and can be dissolved by gently vortexing. This will not interfere with antibody performance.

Specificity/Sensitivity

Phospho-SLP-76 (Ser376) (E3G9U) Rabbit Monoclonal Antibody (BSA and Azide Free) recognizes endogenous levels of SLP-76 protein only when phosphorylated at Ser376. Non-specific staining was observed in human stomach crypts by immunohistochemistry. Clone E3G9U is more sensitive by flow cytometry than clone D7S1K.

Source / Purification

Monoclonal antibody is produced by immunizing animals with a synthetic peptide corresponding to residues surrounding Ser376 of human SLP-76 protein.

Background

SH2 domain-containing leukocyte protein of 76 kDa (SLP-76) is a hematopoietic adaptor protein that is important in multiple biochemical signaling pathways and necessary for T cell development and activation (1). ZAP-70 phosphorylates SLP-76 and LAT as a result of TCR ligation. SLP-76 has amino-terminal tyrosine residues followed by a proline-rich domain and a carboxy-terminal SH2 domain. Phosphorylation of Tyr113 and Tyr128 result in recruitment of the GEF Vav and the adaptor protein Nck (2). TCR ligation also leads to phosphorylation of Tyr145, which mediates an association between SLP-76 and Itk, which is accomplished in part via the proline-rich domain of SLP-76 and the SH3 domain of Itk (3). Furthermore, the proline-rich domain of SLP-76 binds to the SH3 domains of Grb2-like adaptor Gads (3,4). In resting cells, SLP-76 is predominantly in the cytosol. Upon TCR ligation, SLP-76 translocates to the plasma membrane and promotes the assembly of a multi-protein signaling complex that includes Vav, Nck, Itk, and PLCγ1 (1). The expression of SLP-76 is tightly regulated; the protein is detected at very early stages of thymocyte development, increases as thymocyte maturation progresses, and is reduced as cells mature to CD4+ CD8+ double-positive thymocytes (5).

Following TCR ligation, SLP-76 is phosphorylated at Ser376 by the hematopoietic progenitor kinase 1 (HPK1) (6,7). This phosphorylation induces interaction with 14-3-3ε, which leads to the disassembly of TCR signaling complexes and downregulation of TCR signaling (6-8).

Species Reactivity

Species reactivity is determined by testing in at least one approved application (e.g., western blot).

Applications Key

W: Western Blotting IHC-Bond: IHC Leica Bond IHC-P: Immunohistochemistry (Paraffin) FC-FP: Flow Cytometry (Fixed/Permeabilized)

Cross-Reactivity Key

H: Human M: Mouse

Trademarks and Patents

Cell Signaling Technology is a trademark of Cell Signaling Technology, Inc.

All other trademarks are the property of their respective owners. Visit cellsignal.com/trademarks for more information.

Limited Uses

Except as otherwise expressly agreed in a writing signed by a legally authorized representative of CST, the following terms apply to Products provided by CST, its affiliates or its distributors. Any Customer's terms and conditions that are in addition to, or different from, those contained herein, unless separately accepted in writing by a legally authorized representative of CST, are rejected and are of no force or effect.

Products are labeled with For Research Use Only or a similar labeling statement and have not been approved, cleared, or licensed by the FDA or other regulatory foreign or domestic entity, for any purpose. Customer shall not use any Product for any diagnostic or therapeutic purpose, or otherwise in any manner that conflicts with its labeling statement. Products sold or licensed by CST are provided for Customer as the end-user and solely for research and development uses. Any use of Product for diagnostic, prophylactic or therapeutic purposes, or any purchase of Product for resale (alone or as a component) or other commercial purpose, requires a separate license from CST. Customer shall (a) not sell, license, loan, donate or otherwise transfer or make available any Product to any third party, whether alone or in combination with other materials, or use the Products to manufacture any commercial products, (b) not copy, modify, reverse engineer, decompile, disassemble or otherwise attempt to discover the underlying structure or technology of the Products, or use the Products for the purpose of developing any products or services that would compete with CST products or services, (c) not alter or remove from the Products any trademarks, trade names, logos, patent or copyright notices or markings, (d) use the Products solely in accordance with CST Product Terms of Sale and any applicable documentation, and (e) comply with any license, terms of service or similar agreement with respect to any third party products or services used by Customer in connection with the Products.

Orders: 877-616-CELL (2355) [email protected] Support: 877-678-TECH (8324) [email protected] Web: cellsignal.com
For Research Use Only. Not for Use in Diagnostic Procedures.

Revision 1

Cell Signaling Technology Logo
Western blot analysis of extracts from Jurkat cells, treated with isotype control (-) or treated with cross-linked anti-CD3 plus anti-CD28 (10 ug/mL each, 5 min; +), using Phospho-SLP-76 (Ser376) (E3G9U) XP® Rabbit mAb (upper), SLP-76 (D1R1A) Rabbit mAb #70896 (middle), or β-Actin (D6A8) Rabbit mAb #8457 (lower). Data were generated using the standard formulation of this product.
Western Blotting Image 1: Phospho-SLP-76 (Ser376) (E3G9U) Rabbit Monoclonal Antibody (BSA and Azide Free)
Western blot analysis of extracts from Jurkat, HeLa, and EL4 cells, untreated (-) or treated with H2O2 (11 mM, 1 min; +) using Phospho-SLP-76 (Ser376) (E3G9U) XP® Rabbit mAb (upper), SLP-76 (E4N7E) Rabbit mAb #25361 (middle), or β-Actin (D6A8) Rabbit mAb #8457 (lower). Data were generated using the standard formulation of this product.
Western Blotting Image 2: Phospho-SLP-76 (Ser376) (E3G9U) Rabbit Monoclonal Antibody (BSA and Azide Free)
Immunohistochemical analysis of paraffin-embedded mouse spleen using Phospho-SLP-76 (Ser376) (E3G9U) XP® Rabbit mAb performed on the Leica® BOND™ Rx. Data were generated using the standard formulation of this product.
Immunohistochemistry Image 1: Phospho-SLP-76 (Ser376) (E3G9U) Rabbit Monoclonal Antibody (BSA and Azide Free)
Orders: 877-616-CELL (2355) [email protected] Support: 877-678-TECH (8324) [email protected] Web: cellsignal.com
For Research Use Only. Not for Use in Diagnostic Procedures.

Revision 1

Cell Signaling Technology Logo
Immunohistochemical analysis of paraffin-embedded human colon adenocarcinoma using Phospho-SLP-76 (Ser376) (E3G9U) XP® Rabbit mAb performed on the Leica® BOND™ Rx. Data were generated using the standard formulation of this product.
Immunohistochemistry Image 2: Phospho-SLP-76 (Ser376) (E3G9U) Rabbit Monoclonal Antibody (BSA and Azide Free)
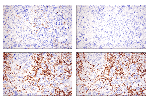
Immunohistochemical analysis of paraffin-embedded A20 syngeneic tumor using Phospho-SLP-76 (Ser376) (E3G9U) XP® Rabbit mAb performed on the Leica® BOND™ Rx. Data were generated using the standard formulation of this product.
Immunohistochemistry Image 3: Phospho-SLP-76 (Ser376) (E3G9U) Rabbit Monoclonal Antibody (BSA and Azide Free)
Immunohistochemical analysis of paraffin-embedded Renca syngeneic tumor using Phospho-SLP-76 (Ser376) (E3G9U) XP® Rabbit mAb performed on the Leica® BOND™ Rx. Data were generated using the standard formulation of this product.
Immunohistochemistry Image 4: Phospho-SLP-76 (Ser376) (E3G9U) Rabbit Monoclonal Antibody (BSA and Azide Free)
Orders: 877-616-CELL (2355) [email protected] Support: 877-678-TECH (8324) [email protected] Web: cellsignal.com
For Research Use Only. Not for Use in Diagnostic Procedures.

Revision 1

Cell Signaling Technology Logo
Immunohistochemical analysis of paraffin-embedded Jurkat cell pellets, untreated (left), or hydrogen peroxide-treated (middle), and HeLa cell pellet (right) using Phospho-SLP-76 (Ser376) (E3G9U) XP® Rabbit mAb. Data were generated using the standard formulation of this product.
Immunohistochemistry Image 1: Phospho-SLP-76 (Ser376) (E3G9U) Rabbit Monoclonal Antibody (BSA and Azide Free)
Immunohistochemical analysis of paraffin-embedded human tonsil using Phospho-SLP-76 (Ser376) (E3G9U) XP® Rabbit mAb. Data were generated using the standard formulation of this product.
Immunohistochemistry Image 2: Phospho-SLP-76 (Ser376) (E3G9U) Rabbit Monoclonal Antibody (BSA and Azide Free)
Immunohistochemical analysis of paraffin-embedded human ductal breast carcinoma, untreated (left) or lambda phosphatase treated (right), using Phospho-SLP-76 (Ser376) (E3G9U) XP® Rabbit mAb (top) or SLP-76 (D1R1A) Rabbit mAb #70896 (bottom). Lambda phosphatase treatment does not affect total SLP-76 signal intensity, as expected. Data were generated using the standard formulation of this product.
Immunohistochemistry Image 3: Phospho-SLP-76 (Ser376) (E3G9U) Rabbit Monoclonal Antibody (BSA and Azide Free)
Orders: 877-616-CELL (2355) [email protected] Support: 877-678-TECH (8324) [email protected] Web: cellsignal.com
For Research Use Only. Not for Use in Diagnostic Procedures.

Revision 1

Cell Signaling Technology Logo
Immunohistochemical analysis of paraffin-embedded human mucoepidermoid carcinoma of the larynx using Phospho-SLP-76 (Ser376) (E3G9U) XP® Rabbit mAb. Data were generated using the standard formulation of this product.
Immunohistochemistry Image 4: Phospho-SLP-76 (Ser376) (E3G9U) Rabbit Monoclonal Antibody (BSA and Azide Free)
Immunohistochemical analysis of paraffin-embedded human non-small cell lung carcinoma using Phospho-SLP-76 (Ser376) (E3G9U) XP® Rabbit mAb. Data were generated using the standard formulation of this product.
Immunohistochemistry Image 5: Phospho-SLP-76 (Ser376) (E3G9U) Rabbit Monoclonal Antibody (BSA and Azide Free)
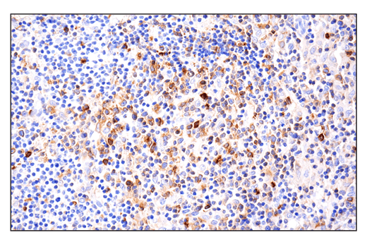
Immunohistochemical analysis of paraffin-embedded human lymphoma using Phospho-SLP-76 (Ser376) (E3G9U) XP® Rabbit mAb. Data were generated using the standard formulation of this product.
Immunohistochemistry Image 6: Phospho-SLP-76 (Ser376) (E3G9U) Rabbit Monoclonal Antibody (BSA and Azide Free)
Orders: 877-616-CELL (2355) [email protected] Support: 877-678-TECH (8324) [email protected] Web: cellsignal.com
For Research Use Only. Not for Use in Diagnostic Procedures.

Revision 1

Cell Signaling Technology Logo
Flow cytometric analysis of human peripheral blood mononuclear cells, untreated (left column) or treated with cross-linked anti-CD3 plus anti-CD28 (10 μg/mL each, 15 min; right column), using Phospho-SLP-76 (Ser376) (E3G9U) XP® Rabbit mAb (top row) or concentration-matched Rabbit (DA1E) mAb IgG XP® Isotype Control #3900 (bottom row), and co-stained with CD3 (UCHT1) Mouse mAb (APC Conjugate) #19881. Anti-rabbit IgG (H+L), F(ab')2 Fragment (Alexa Fluor® 488 Conjugate) #4412 was used as a secondary antibody. Data were generated using the standard formulation of this product.
Flow Cytometry Image 1: Phospho-SLP-76 (Ser376) (E3G9U) Rabbit Monoclonal Antibody (BSA and Azide Free)
Flow cytometric analysis of EL4 cells, untreated (blue) or treated with Hydrogen Peroxide (11 mM, 1 min; green) using Phospho-SLP-76 (Ser376) (E3G9U) XP® Rabbit mAb (solid lines) or concentration-matched Rabbit (DA1E) mAb IgG XP® Isotype Control #3900 (dashed lines). Anti-rabbit IgG (H+L), F(ab')2 Fragment (Alexa Fluor® 488 Conjugate) #4412 was used as a secondary antibody. Data were generated using the standard formulation of this product.
Flow Cytometry Image 2: Phospho-SLP-76 (Ser376) (E3G9U) Rabbit Monoclonal Antibody (BSA and Azide Free)
Flow cytometric analysis of mouse splenocytes, untreated (left column) or treated with cross-linked anti-CD3 plus anti-CD28 (10 μg/mL each, 15 min; right column), using Phospho-SLP-76 (Ser376) (E3G9U) XP® Rabbit mAb (top row) or concentration-matched Rabbit (DA1E) mAb IgG XP® Isotype Control #3900 (bottom row), and co-stained with CD3 (17A2) Rat mAb (APC Conjugate) #24265. Anti-rabbit IgG (H+L), F(ab')2 Fragment (Alexa Fluor® 488 Conjugate) #4412 was used as a secondary antibody. Data were generated using the standard formulation of this product.
Flow Cytometry Image 3: Phospho-SLP-76 (Ser376) (E3G9U) Rabbit Monoclonal Antibody (BSA and Azide Free)
Orders: 877-616-CELL (2355) [email protected] Support: 877-678-TECH (8324) [email protected] Web: cellsignal.com
For Research Use Only. Not for Use in Diagnostic Procedures.

Revision 1

Cell Signaling Technology Logo
Flow cytometric analysis of Jurkat cells, untreated (blue) or treated with Hydrogen Peroxide (11 mM, 1 min; green) using Phospho-SLP-76 (Ser376) (E3G9U) XP® Rabbit mAb (solid lines) or concentration-matched Rabbit (DA1E) mAb IgG XP® Isotype Control #3900 (dashed lines). Anti-rabbit IgG (H+L), F(ab')2 Fragment (Alexa Fluor® 488 Conjugate) #4412 was used as a secondary antibody. Data were generated using the standard formulation of this product.
Flow Cytometry Image 4: Phospho-SLP-76 (Ser376) (E3G9U) Rabbit Monoclonal Antibody (BSA and Azide Free)
Orders: 877-616-CELL (2355) [email protected] Support: 877-678-TECH (8324) [email protected] Web: cellsignal.com
For Research Use Only. Not for Use in Diagnostic Procedures.