Revision 6

#76384

Store at -20C

CST Logo
Orders:

877-616-CELL (2355)

[email protected]

Support:

877-678-TECH (8324)

3 Trask Lane | Danvers | Massachusetts | 01923 | USA

For Research Use Only. Not for Use in Diagnostic Procedures.

Applications:
W, W-S, IP, IHC-Bond, IHC-P, FC-FP

Reactivity:
H M

Sensitivity:
Endogenous

MW (kDa):
76

Source/Isotype:
Rabbit IgG

UniProt ID:
#Q13094

Entrez-Gene Id:
3937

Product Usage Information

Application Dilution
Western Blotting 1:1000
Simple Western™ 1:50 - 1:250
Immunoprecipitation 1:50
IHC Leica Bond 1:200 - 1:800
Immunohistochemistry (Paraffin) 1:200 - 1:800
Flow Cytometry (Fixed/Permeabilized) 1:100 - 1:400

Storage

Supplied in 10 mM sodium HEPES (pH 7.5), 150 mM NaCl, 100 µg/ml BSA, 50% glycerol and less than 0.02% sodium azide. Store at –20°C. Do not aliquot the antibody.

For a carrier-free (BSA and azide free) version of this product see product #10190.

Specificity/Sensitivity

Phospho-SLP-76 (Ser376) (E3G9U) Rabbit Monoclonal Antibody recognizes endogenous levels of SLP-76 protein only when phosphorylated at Ser376. Non-specific staining was observed in human stomach crypts by immunohistochemistry. Clone E3G9U is more sensitive by flow cytometry than clone D7S1K.

Source / Purification

Monoclonal antibody is produced by immunizing animals with a synthetic peptide corresponding to residues surrounding Ser376 of human SLP-76 protein.

Background

SH2 domain-containing leukocyte protein of 76 kDa (SLP-76) is a hematopoietic adaptor protein that is important in multiple biochemical signaling pathways and necessary for T cell development and activation (1). ZAP-70 phosphorylates SLP-76 and LAT as a result of TCR ligation. SLP-76 has amino-terminal tyrosine residues followed by a proline-rich domain and a carboxy-terminal SH2 domain. Phosphorylation of Tyr113 and Tyr128 result in recruitment of the GEF Vav and the adaptor protein Nck (2). TCR ligation also leads to phosphorylation of Tyr145, which mediates an association between SLP-76 and Itk, which is accomplished in part via the proline-rich domain of SLP-76 and the SH3 domain of Itk (3). Furthermore, the proline-rich domain of SLP-76 binds to the SH3 domains of Grb2-like adaptor Gads (3,4). In resting cells, SLP-76 is predominantly in the cytosol. Upon TCR ligation, SLP-76 translocates to the plasma membrane and promotes the assembly of a multi-protein signaling complex that includes Vav, Nck, Itk, and PLCγ1 (1). The expression of SLP-76 is tightly regulated; the protein is detected at very early stages of thymocyte development, increases as thymocyte maturation progresses, and is reduced as cells mature to CD4+ CD8+ double-positive thymocytes (5).

Following TCR ligation, SLP-76 is phosphorylated at Ser376 by the hematopoietic progenitor kinase 1 (HPK1) (6,7). This phosphorylation induces interaction with 14-3-3ε, which leads to the disassembly of TCR signaling complexes and downregulation of TCR signaling (6-8).

Species Reactivity

Species reactivity is determined by testing in at least one approved application (e.g., western blot).

Western Blot Buffer

IMPORTANT: For western blots, incubate membrane with diluted primary antibody in 5% w/v BSA, 1X TBS, 0.1% Tween® 20 at 4°C with gentle shaking, overnight.

Applications Key

W: Western Blotting W-S: Simple Western™ IP: Immunoprecipitation IHC-Bond: IHC Leica Bond IHC-P: Immunohistochemistry (Paraffin) FC-FP: Flow Cytometry (Fixed/Permeabilized)

Cross-Reactivity Key

H: Human M: Mouse

Trademarks and Patents

Cell Signaling Technology is a trademark of Cell Signaling Technology, Inc.

Alexa Fluor is a registered trademark of Life Technologies Corporation.

All other trademarks are the property of their respective owners. Visit cellsignal.com/trademarks for more information.

Limited Uses

Except as otherwise expressly agreed in a writing signed by a legally authorized representative of CST, the following terms apply to Products provided by CST, its affiliates or its distributors. Any Customer's terms and conditions that are in addition to, or different from, those contained herein, unless separately accepted in writing by a legally authorized representative of CST, are rejected and are of no force or effect.

Products are labeled with For Research Use Only or a similar labeling statement and have not been approved, cleared, or licensed by the FDA or other regulatory foreign or domestic entity, for any purpose. Customer shall not use any Product for any diagnostic or therapeutic purpose, or otherwise in any manner that conflicts with its labeling statement. Products sold or licensed by CST are provided for Customer as the end-user and solely for research and development uses. Any use of Product for diagnostic, prophylactic or therapeutic purposes, or any purchase of Product for resale (alone or as a component) or other commercial purpose, requires a separate license from CST. Customer shall (a) not sell, license, loan, donate or otherwise transfer or make available any Product to any third party, whether alone or in combination with other materials, or use the Products to manufacture any commercial products, (b) not copy, modify, reverse engineer, decompile, disassemble or otherwise attempt to discover the underlying structure or technology of the Products, or use the Products for the purpose of developing any products or services that would compete with CST products or services, (c) not alter or remove from the Products any trademarks, trade names, logos, patent or copyright notices or markings, (d) use the Products solely in accordance with CST Product Terms of Sale and any applicable documentation, and (e) comply with any license, terms of service or similar agreement with respect to any third party products or services used by Customer in connection with the Products.

Orders: 877-616-CELL (2355) [email protected] Support: 877-678-TECH (8324) [email protected] Web: cellsignal.com
For Research Use Only. Not for Use in Diagnostic Procedures.

Revision 6

Cell Signaling Technology Logo
Western blot analysis of extracts from Jurkat, HeLa, and EL4 cells, untreated (-) or treated with H2O2 (11 mM, 1 min; +), using Phospho-SLP-76 (Ser376) (E3G9U) XP® Rabbit mAb (upper), SLP-76 (E4N7E) Rabbit mAb #25361 (middle), or β-Actin (D6A8) Rabbit mAb #8457 (lower).
Western Blotting Image 1: Phospho-SLP-76 (Ser376) (E3G9U) Rabbit Monoclonal Antibody
Western blot analysis of extracts from Jurkat cells, treated with isotype control (-) or treated with cross-linked anti-CD3 plus anti-CD28 (10 ug/mL each, 5 min; +), using Phospho-SLP-76 (Ser376) (E3G9U) XP® Rabbit mAb (upper), SLP-76 (D1R1A) Rabbit mAb #70896 (middle), or β-Actin (D6A8) Rabbit mAb #8457 (lower).
Western Blotting Image 2: Phospho-SLP-76 (Ser376) (E3G9U) Rabbit Monoclonal Antibody
Simple Western™ analysis of lysates (0.1 mg/mL) from serum starved Jurkat cells treated with H2O2 (10mM, 2 min) using Phospho-SLP-76 (Ser376) (E3G9U) XP® Rabbit mAb #76384. The virtual lane view (left) shows the target band (as indicated) at 1:50 and 1:250 dilutions of primary antibody. The corresponding electropherogram view (right) plots chemiluminescence by molecular weight along the capillary at 1:50 (blue line) and 1:250 (green line) dilutions of primary antibody. This experiment was performed under reducing conditions on the Jess™ Simple Western instrument from ProteinSimple, a BioTechne brand, using the 12-230 kDa separation module.
Western Blotting Image 1: Phospho-SLP-76 (Ser376) (E3G9U) Rabbit Monoclonal Antibody
Orders: 877-616-CELL (2355) [email protected] Support: 877-678-TECH (8324) [email protected] Web: cellsignal.com
For Research Use Only. Not for Use in Diagnostic Procedures.

Revision 6

Cell Signaling Technology Logo
Immunoprecipitation of Phospho-SLP-76 (Ser376) protein from Jurkat cell extracts treated with H2O2 (11 mM, 1 min). Lane 1 is 10% input, lane 2 is Rabbit (DA1E) mAb IgG XP® Isotype Control #3900, and lane 3 is Phospho-SLP-76 (Ser376) (E3G9U) XP® Rabbit mAb. Western blot analysis was performed using Phospho-SLP-76 (Ser376) (E3G9U) XP® Rabbit mAb. Mouse Anti-rabbit IgG (Conformation Specific) (L27A9) mAb (HRP Conjugate) #5127 was used as the secondary antibody.
Immunoprecipitation Image 1: Phospho-SLP-76 (Ser376) (E3G9U) Rabbit Monoclonal Antibody
Immunohistochemical analysis of paraffin-embedded Renca syngeneic tumor using Phospho-SLP-76 (Ser376) (E3G9U) XP® Rabbit mAb performed on the Leica® BOND™ Rx.
Immunohistochemistry Image 1: Phospho-SLP-76 (Ser376) (E3G9U) Rabbit Monoclonal Antibody
Immunohistochemical analysis of paraffin-embedded A20 syngeneic tumor using Phospho-SLP-76 (Ser376) (E3G9U) XP® Rabbit mAb performed on the Leica® BOND™ Rx.
Immunohistochemistry Image 2: Phospho-SLP-76 (Ser376) (E3G9U) Rabbit Monoclonal Antibody
Orders: 877-616-CELL (2355) [email protected] Support: 877-678-TECH (8324) [email protected] Web: cellsignal.com
For Research Use Only. Not for Use in Diagnostic Procedures.

Revision 6

Cell Signaling Technology Logo
Immunohistochemical analysis of paraffin-embedded human colon adenocarcinoma using Phospho-SLP-76 (Ser376) (E3G9U) XP® Rabbit mAb performed on the Leica® BOND™ Rx.
Immunohistochemistry Image 3: Phospho-SLP-76 (Ser376) (E3G9U) Rabbit Monoclonal Antibody
Immunohistochemical analysis of paraffin-embedded mouse spleen using Phospho-SLP-76 (Ser376) (E3G9U) XP® Rabbit mAb performed on the Leica® BOND™ Rx.
Immunohistochemistry Image 4: Phospho-SLP-76 (Ser376) (E3G9U) Rabbit Monoclonal Antibody
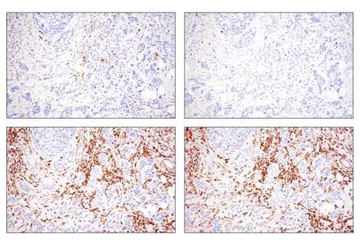
Immunohistochemical analysis of paraffin-embedded human ductal breast carcinoma, untreated (left) or lambda phosphatase treated (right), using Phospho-SLP-76 (Ser376) (E3G9U) XP® Rabbit mAb (top) or SLP-76 (D1R1A) Rabbit mAb #70896 (bottom). Lambda phosphatase treatment does not affect total SLP-76 signal intensity, as expected.
Immunohistochemistry Image 1: Phospho-SLP-76 (Ser376) (E3G9U) Rabbit Monoclonal Antibody
Orders: 877-616-CELL (2355) [email protected] Support: 877-678-TECH (8324) [email protected] Web: cellsignal.com
For Research Use Only. Not for Use in Diagnostic Procedures.

Revision 6

Cell Signaling Technology Logo
Immunohistochemical analysis of paraffin-embedded human non-small cell lung carcinoma using Phospho-SLP-76 (Ser376) (E3G9U) XP® Rabbit mAb.
Immunohistochemistry Image 2: Phospho-SLP-76 (Ser376) (E3G9U) Rabbit Monoclonal Antibody
Immunohistochemical analysis of paraffin-embedded human lymphoma using Phospho-SLP-76 (Ser376) (E3G9U) XP® Rabbit mAb.
Immunohistochemistry Image 3: Phospho-SLP-76 (Ser376) (E3G9U) Rabbit Monoclonal Antibody
Immunohistochemical analysis of paraffin-embedded human mucoepidermoid carcinoma of the larynx using Phospho-SLP-76 (Ser376) (E3G9U) XP® Rabbit mAb.
Immunohistochemistry Image 4: Phospho-SLP-76 (Ser376) (E3G9U) Rabbit Monoclonal Antibody
Orders: 877-616-CELL (2355) [email protected] Support: 877-678-TECH (8324) [email protected] Web: cellsignal.com
For Research Use Only. Not for Use in Diagnostic Procedures.

Revision 6

Cell Signaling Technology Logo
Immunohistochemical analysis of paraffin-embedded Jurkat cell pellets, untreated (left), or hydrogen peroxide-treated (center), and HeLa cell pellet (right) using Phospho-SLP-76 (Ser376) (E3G9U) XP® Rabbit mAb.
Immunohistochemistry Image 5: Phospho-SLP-76 (Ser376) (E3G9U) Rabbit Monoclonal Antibody
Immunohistochemical analysis of paraffin-embedded human tonsil using Phospho-SLP-76 (Ser376) (E3G9U) XP® Rabbit mAb.
Immunohistochemistry Image 6: Phospho-SLP-76 (Ser376) (E3G9U) Rabbit Monoclonal Antibody
Flow cytometric analysis of human peripheral blood mononuclear cells, untreated (left column) or treated with cross-linked anti-CD3 plus anti-CD28 (10 μg/ml each, 15 min; right column), using Phospho-SLP-76 (Ser376) (E3G9U) XP® Rabbit mAb (top row) or concentration-matched Rabbit (DA1E) mAb IgG XP® Isotype Control #3900 (bottom row), and co-stained with CD3 (UCHT1) Mouse mAb (APC Conjugate) #19881. Anti-rabbit IgG (H+L), F(ab')2 Fragment (Alexa Fluor® 488 Conjugate) #4412 was used as a secondary antibody.
Flow Cytometry Image 1: Phospho-SLP-76 (Ser376) (E3G9U) Rabbit Monoclonal Antibody
Orders: 877-616-CELL (2355) [email protected] Support: 877-678-TECH (8324) [email protected] Web: cellsignal.com
For Research Use Only. Not for Use in Diagnostic Procedures.

Revision 6

Cell Signaling Technology Logo
Flow cytometric analysis of EL4 cells, untreated (blue) or treated with Hydrogen Peroxide (11 mM, 1 min; green) using Phospho-SLP-76 (Ser376) (E3G9U) XP® Rabbit mAb (solid lines) or concentration-matched Rabbit (DA1E) mAb IgG XP® Isotype Control #3900 (dashed lines). Anti-rabbit IgG (H+L), F(ab')2 Fragment (Alexa Fluor® 488 Conjugate) #4412 was used as a secondary antibody.
Flow Cytometry Image 2: Phospho-SLP-76 (Ser376) (E3G9U) Rabbit Monoclonal Antibody
Flow cytometric analysis of mouse splenocytes, untreated (left column) or treated with cross-linked anti-CD3 plus anti-CD28 (10 μg/ml each, 15 min; right column), using Phospho-SLP-76 (Ser376) (E3G9U) XP® Rabbit mAb (top row) or concentration-matched Rabbit (DA1E) mAb IgG XP® Isotype Control #3900 (bottom row), and co-stained with CD3 (17A2) Rat mAb (APC Conjugate) #24265. Anti-rabbit IgG (H+L), F(ab')2 Fragment (Alexa Fluor® 488 Conjugate) #4412 was used as a secondary antibody.
Flow Cytometry Image 3: Phospho-SLP-76 (Ser376) (E3G9U) Rabbit Monoclonal Antibody
Flow cytometric analysis of Jurkat cells, untreated (blue) or treated with Hydrogen Peroxide (11mM, 1 min; green) using Phospho-SLP-76 (Ser376) (E3G9U) XP® Rabbit mAb (solid lines) or concentration-matched Rabbit (DA1E) mAb IgG XP® Isotype Control #3900 (dashed lines). Anti-rabbit IgG (H+L), F(ab')2 Fragment (Alexa Fluor® 488 Conjugate) #4412 was used as a secondary antibody.
Flow Cytometry Image 4: Phospho-SLP-76 (Ser376) (E3G9U) Rabbit Monoclonal Antibody
Orders: 877-616-CELL (2355) [email protected] Support: 877-678-TECH (8324) [email protected] Web: cellsignal.com
For Research Use Only. Not for Use in Diagnostic Procedures.