Revision 3

#39786

Store at -20C

CST Logo
Orders:

877-616-CELL (2355)

[email protected]

Support:

877-678-TECH (8324)

3 Trask Lane | Danvers | Massachusetts | 01923 | USA

For Research Use Only. Not for Use in Diagnostic Procedures.

Applications:
W, IF-IC

Reactivity:
H M R

Sensitivity:
Endogenous

MW (kDa):
62

Source/Isotype:
Rabbit IgG

UniProt ID:
#Q13501

Entrez-Gene Id:
8878

Product Usage Information

Application Dilution
Western Blotting 1:1000
Immunofluorescence (Immunocytochemistry) 1:50 - 1:200

Storage

Supplied in 10 mM sodium HEPES (pH 7.5), 150 mM NaCl, 100 µg/ml BSA, 50% glycerol and less than 0.02% sodium azide. Store at –20°C. Do not aliquot the antibody.

Specificity/Sensitivity

Phospho-SQSTM1/p62 (Ser403) (D8D6T) Rabbit Monoclonal Antibody recognizes endogenous levels of SQSTM1/p62 protein only when phosphorylated at Ser403.

Source / Purification

Monoclonal antibody is produced by immunizing animals with a synthetic phospho-peptide corresponding to residues surrounding Ser403 of human SQSTM1/p62 protein.

Background

Sequestosome 1 (SQSTM1, p62) is a ubiquitin binding protein involved in cell signaling, oxidative stress, and autophagy (1-4). It was first identified as a protein that binds to the SH2 domain of p56Lck (5) and independently found to interact with PKCζ (6,7). SQSTM1 was subsequently found to interact with ubiquitin, providing a scaffold for several signaling proteins and triggering degradation of proteins through the proteasome or lysosome (8). Interaction between SQSTM1 and TRAF6 leads to the K63-linked polyubiquitination of TRAF6 and subsequent activation of the NF-κB pathway (9). Protein aggregates formed by SQSTM1 can be degraded by the autophagosome (4,10,11). SQSTM1 binds autophagosomal membrane protein LC3/Atg8, bringing SQSTM1-containing protein aggregates to the autophagosome (12). Lysosomal degradation of autophagosomes leads to a decrease in SQSTM1 levels during autophagy; conversely, autophagy inhibitors stabilize SQSTM1 levels. Studies have demonstrated a link between SQSTM1 and oxidative stress. SQSTM1 interacts with KEAP1, which is a cytoplasmic inhibitor of NRF2, a key transcription factor involved in cellular responses to oxidative stress (3). Thus, accumulation of SQSTM1 can lead to an increase in NRF2 activity.
Phosphorylation of SQSTM1 at Ser403 increases its affinity for polyubquitinated chains, resulting in enhanced autophagic clearance (13,14). This site has been reported to be phosphorylated by casein kinase 2 (CK2), as well as by the innate immunity regulator TBK-1.

Species Reactivity

Species reactivity is determined by testing in at least one approved application (e.g., western blot).

Western Blot Buffer

IMPORTANT: For western blots, incubate membrane with diluted primary antibody in 5% w/v BSA, 1X TBS, 0.1% Tween® 20 at 4°C with gentle shaking, overnight.

Applications Key

W: Western Blotting IF-IC: Immunofluorescence (Immunocytochemistry)

Cross-Reactivity Key

H: Human M: Mouse R: Rat

Trademarks and Patents

Cell Signaling Technology is a trademark of Cell Signaling Technology, Inc.

All other trademarks are the property of their respective owners. Visit cellsignal.com/trademarks for more information.

Limited Uses

Except as otherwise expressly agreed in a writing signed by a legally authorized representative of CST, the following terms apply to Products provided by CST, its affiliates or its distributors. Any Customer's terms and conditions that are in addition to, or different from, those contained herein, unless separately accepted in writing by a legally authorized representative of CST, are rejected and are of no force or effect.

Products are labeled with For Research Use Only or a similar labeling statement and have not been approved, cleared, or licensed by the FDA or other regulatory foreign or domestic entity, for any purpose. Customer shall not use any Product for any diagnostic or therapeutic purpose, or otherwise in any manner that conflicts with its labeling statement. Products sold or licensed by CST are provided for Customer as the end-user and solely for research and development uses. Any use of Product for diagnostic, prophylactic or therapeutic purposes, or any purchase of Product for resale (alone or as a component) or other commercial purpose, requires a separate license from CST. Customer shall (a) not sell, license, loan, donate or otherwise transfer or make available any Product to any third party, whether alone or in combination with other materials, or use the Products to manufacture any commercial products, (b) not copy, modify, reverse engineer, decompile, disassemble or otherwise attempt to discover the underlying structure or technology of the Products, or use the Products for the purpose of developing any products or services that would compete with CST products or services, (c) not alter or remove from the Products any trademarks, trade names, logos, patent or copyright notices or markings, (d) use the Products solely in accordance with CST Product Terms of Sale and any applicable documentation, and (e) comply with any license, terms of service or similar agreement with respect to any third party products or services used by Customer in connection with the Products.

Orders: 877-616-CELL (2355) [email protected] Support: 877-678-TECH (8324) [email protected] Web: cellsignal.com
For Research Use Only. Not for Use in Diagnostic Procedures.

Revision 3

Cell Signaling Technology Logo
Western blot analysis of extracts from 293T cells, mock transfected (-) or transfected with constructs expressing GFP-tagged human SQSTM1/p62 (hSQSTM1/p62-GFP; +) and human GST-tagged IKK-ε (hIKK-ε-GST; +) as indicated, using Phospho-SQSTM1/p62 (Ser403) (D8D6T) Rabbit mAb (upper) or β-Actin (D6A8) Rabbit mAb #8457 (lower).
Western Blotting Image 1: Phospho-SQSTM1/p62 (Ser403) (D8D6T) Rabbit Monoclonal Antibody
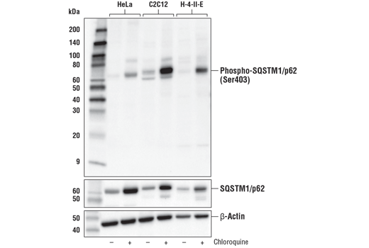
Western blot analysis of extracts from HeLa, C2C12, and H-4-II-E cells, untreated (-) or treated with Chloroquine #14774 (50 μM, overnight; +), using Phospho-SQSTM1/p62 (Ser403) (D8D6T) Rabbit mAb (upper), total SQSTM1/p62 (D1Q5S) Rabbit mAb #39749 (middle), or β-Actin (D6A8) Rabbit mAb #8457 (lower).
Western Blotting Image 2: Phospho-SQSTM1/p62 (Ser403) (D8D6T) Rabbit Monoclonal Antibody
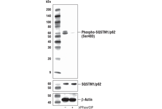
Western blot analysis of STF-66247-treated 786-O cell extracts, that were either untreated (-) or treated with Lambda Phosphatase plus Calf Intestinal Phosphatse ( λPPase/CIP; +), using Phospho-SQSTM1/p62 (Ser403) (D8D6T) Rabbit mAb (upper), total SQSTM1/p62 (D5L7G) Mouse mAb #88588 (middle), or β-Actin (D6A8) Rabbit mAb #8457 (lower).
Western Blotting Image 3: Phospho-SQSTM1/p62 (Ser403) (D8D6T) Rabbit Monoclonal Antibody
Orders: 877-616-CELL (2355) [email protected] Support: 877-678-TECH (8324) [email protected] Web: cellsignal.com
For Research Use Only. Not for Use in Diagnostic Procedures.

Revision 3

Cell Signaling Technology Logo
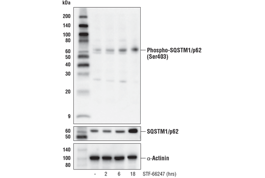
Western blot analysis of extracts from 786-O cells, untreated (-) or treated with STF-66247 (1 μM, indicated times), using Phospho-SQSTM1/p62 (Ser403) (D8D6T) Rabbit mAb (upper), total SQSTM1 (D5L7G) Mouse mAb #88588 (middle), or α-Actinin (D6F6) XP® Rabbit mAb #6487 (lower).
Western Blotting Image 4: Phospho-SQSTM1/p62 (Ser403) (D8D6T) Rabbit Monoclonal Antibody
Confocal immunofluorescent analysis of 786-O cells, untreated (left) or treated with STF-66247 (1 μM, 18 hr; right), using Phospho-SQSTM1/p62 (Ser403) (D8D6T) Rabbit mAb (green). Actin filaments were labeled with DyLight™ 554 Phalloidin #13054 (red). Blue pseudocolor = DRAQ5® #4084 (fluorescent DNA dye).
Immunofluorescence Image 1: Phospho-SQSTM1/p62 (Ser403) (D8D6T) Rabbit Monoclonal Antibody
Orders: 877-616-CELL (2355) [email protected] Support: 877-678-TECH (8324) [email protected] Web: cellsignal.com
For Research Use Only. Not for Use in Diagnostic Procedures.