Revision 4

#50804

Store at -20C

CST Logo
Orders:

877-616-CELL (2355)

[email protected]

Support:

877-678-TECH (8324)

3 Trask Lane | Danvers | Massachusetts | 01923 | USA

For Research Use Only. Not for Use in Diagnostic Procedures.

Applications:
W, IHC-P, IF-IC, FC-FP

Reactivity:
H

Sensitivity:
Endogenous

MW (kDa):
86

Source/Isotype:
Rabbit IgG

UniProt ID:
#P40763

Entrez-Gene Id:
6774

Product Usage Information

This product is the carrier free version of product #34911. All data were generated using the same antibody clone in the standard formulation which contains BSA and glycerol.

This formulation is ideal for use with technologies requiring specialized or custom antibody labeling, including fluorophores, metals, lanthanides, and oligonucleotides. It is not recommended for ChIP, ChIP-seq, CUT&RUN or CUT&Tag assays. If you require a carrier free formulation for chromatin profiling, please contact us. Optimal dilutions/concentrations should be determined by the end user.

BSA and Azide Free antibodies are quality control tested by size exclusion chromatography (SEC) to determine antibody integrity.

Formulation

Supplied in 1X PBS (10 mM Na2HPO4, 3 mM KCl, 2 mM KH2PO4, and 140 mM NaCl (pH 7.8)). BSA and Azide Free.

For standard formulation of this product see product #34911

Storage

Store at -20°C. This product will freeze at -20°C so it is recommended to aliquot into single-use vials to avoid multiple freeze/thaw cycles. A slight precipitate may be present and can be dissolved by gently vortexing. This will not interfere with antibody performance.

Specificity/Sensitivity

Phospho-Stat3 (Ser727) (D4X3C) Rabbit Monoclonal Antibody (BSA and Azide Free) is recognizes endogenous levels of Stat3 protein only when phosphorylated at Ser727.

Species predicted to react based on 100% sequence homology

Mouse, Rat

Source / Purification

Monoclonal antibody is produced by immunizing animals with a synthetic phospho-peptide corresponding to residues surrounding Ser727 of human Stat3 protein.

Background

The Stat3 transcription factor is an important signaling molecule for many cytokines and growth factor receptors (1) and is required for murine fetal development (2). Research studies have shown that Stat3 is constitutively activated in a number of human tumors (3,4) and possesses oncogenic potential (5) and anti-apoptotic activities (3). Stat3 is activated by phosphorylation at Tyr705, which induces dimerization, nuclear translocation, and DNA binding (6,7). Transcriptional activation seems to be regulated by phosphorylation at Ser727 through the MAPK or mTOR pathways (8,9). Stat3 isoform expression appears to reflect biological function as the relative expression levels of Stat3α (86 kDa) and Stat3β (79 kDa) depend on cell type, ligand exposure, or cell maturation stage (10). It is notable that Stat3β lacks the serine phosphorylation site within the carboxy-terminal transcriptional activation domain (8).

Species Reactivity

Species reactivity is determined by testing in at least one approved application (e.g., western blot).

Applications Key

W: Western Blotting IHC-P: Immunohistochemistry (Paraffin) IF-IC: Immunofluorescence (Immunocytochemistry) FC-FP: Flow Cytometry (Fixed/Permeabilized)

Cross-Reactivity Key

H: Human

Trademarks and Patents

Cell Signaling Technology is a trademark of Cell Signaling Technology, Inc.

Alexa Fluor is a registered trademark of Life Technologies Corporation.

All other trademarks are the property of their respective owners. Visit cellsignal.com/trademarks for more information.

Limited Uses

Except as otherwise expressly agreed in a writing signed by a legally authorized representative of CST, the following terms apply to Products provided by CST, its affiliates or its distributors. Any Customer's terms and conditions that are in addition to, or different from, those contained herein, unless separately accepted in writing by a legally authorized representative of CST, are rejected and are of no force or effect.

Products are labeled with For Research Use Only or a similar labeling statement and have not been approved, cleared, or licensed by the FDA or other regulatory foreign or domestic entity, for any purpose. Customer shall not use any Product for any diagnostic or therapeutic purpose, or otherwise in any manner that conflicts with its labeling statement. Products sold or licensed by CST are provided for Customer as the end-user and solely for research and development uses. Any use of Product for diagnostic, prophylactic or therapeutic purposes, or any purchase of Product for resale (alone or as a component) or other commercial purpose, requires a separate license from CST. Customer shall (a) not sell, license, loan, donate or otherwise transfer or make available any Product to any third party, whether alone or in combination with other materials, or use the Products to manufacture any commercial products, (b) not copy, modify, reverse engineer, decompile, disassemble or otherwise attempt to discover the underlying structure or technology of the Products, or use the Products for the purpose of developing any products or services that would compete with CST products or services, (c) not alter or remove from the Products any trademarks, trade names, logos, patent or copyright notices or markings, (d) use the Products solely in accordance with CST Product Terms of Sale and any applicable documentation, and (e) comply with any license, terms of service or similar agreement with respect to any third party products or services used by Customer in connection with the Products.

Orders: 877-616-CELL (2355) [email protected] Support: 877-678-TECH (8324) [email protected] Web: cellsignal.com
For Research Use Only. Not for Use in Diagnostic Procedures.

Revision 4

Cell Signaling Technology Logo
Western blot analysis of extracts from serum starved A431 cells, either untreated (–) or treated (+) as indicated: Human Epidermal Growth Factor (hEGF; 100 ng/mL, 30 min), or hEGF-treated and subsequently treated with calf intestinal phosphatase (CIP) and λ-phosphatase, using Phospho-Stat3 (Ser727) (D4X3C) Rabbit mAb #34911 (upper) or Stat3 (79D7) Rabbit mAb #4904 (lower). Data were generated using the standard formulation of this product.
Western Blotting Image 1: Phospho-Stat3 (Ser727) (D4X3C) Rabbit Monoclonal Antibody (BSA and Azide Free)
Immunohistochemical analysis of paraffin-embedded human urothelial carcinoma using Phospho-Stat3 (Ser727) (D4X3C) Rabbit mAb. Data were generated using the standard formulation of this product.
Immunohistochemistry Image 1: Phospho-Stat3 (Ser727) (D4X3C) Rabbit Monoclonal Antibody (BSA and Azide Free)
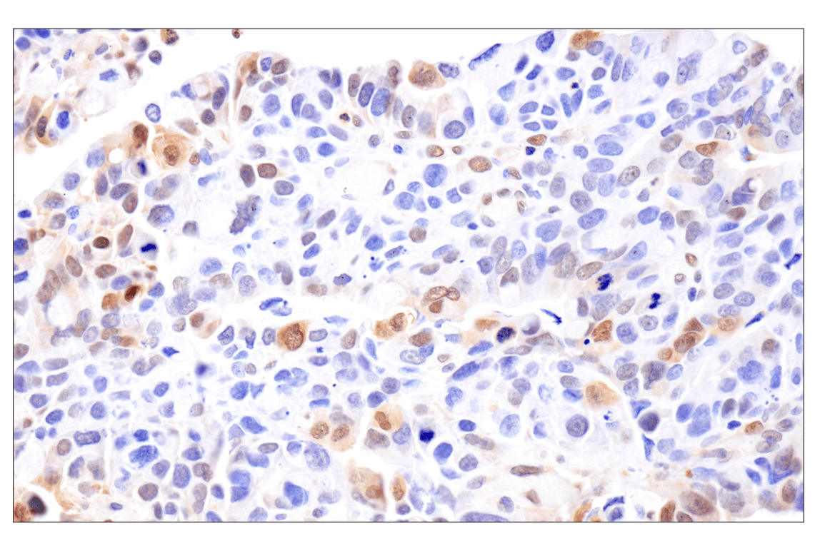
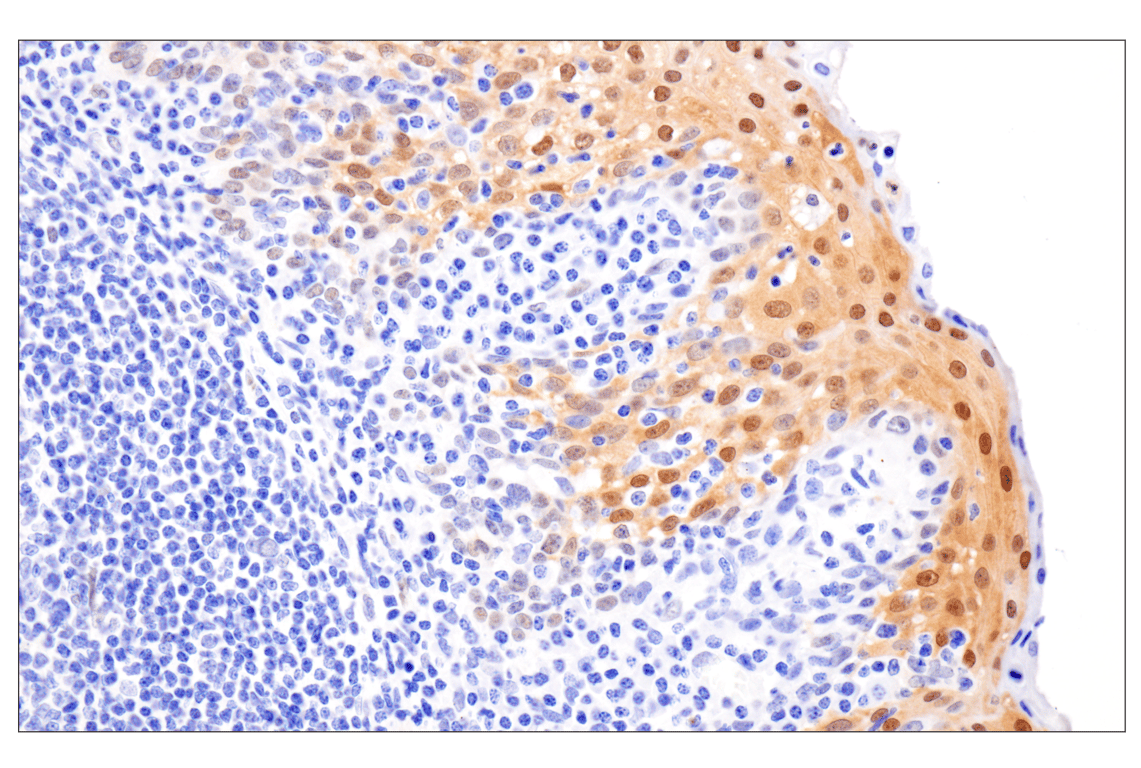
Immunohistochemical analysis of paraffin-embedded human prostate adenocarcinoma using Phospho-Stat3 (Ser727) (D4X3C) Rabbit mAb. Data were generated using the standard formulation of this product.
Immunohistochemistry Image 2: Phospho-Stat3 (Ser727) (D4X3C) Rabbit Monoclonal Antibody (BSA and Azide Free)
Orders: 877-616-CELL (2355) [email protected] Support: 877-678-TECH (8324) [email protected] Web: cellsignal.com
For Research Use Only. Not for Use in Diagnostic Procedures.

Revision 4

Cell Signaling Technology Logo
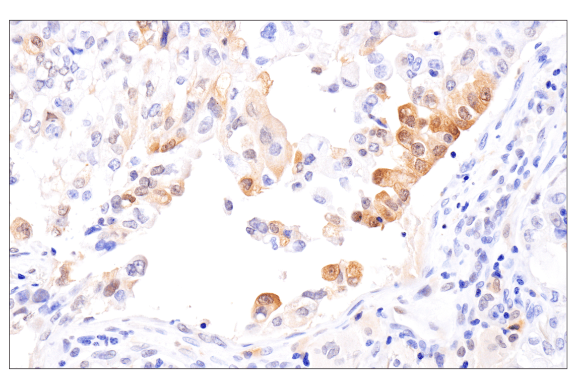
Immunohistochemical analysis of paraffin-embedded human esophageal carcinoma using Phospho-Stat3 (Ser727) (D4X3C) Rabbit mAb. Data were generated using the standard formulation of this product.
Immunohistochemistry Image 3: Phospho-Stat3 (Ser727) (D4X3C) Rabbit Monoclonal Antibody (BSA and Azide Free)
Immunohistochemical analysis of paraffin-embedded human esophageal carcinoma using Phospho-Stat3 (Ser727) (D4X3C) Rabbit mAb. Data were generated using the standard formulation of this product.
Immunohistochemistry Image 4: Phospho-Stat3 (Ser727) (D4X3C) Rabbit Monoclonal Antibody (BSA and Azide Free)
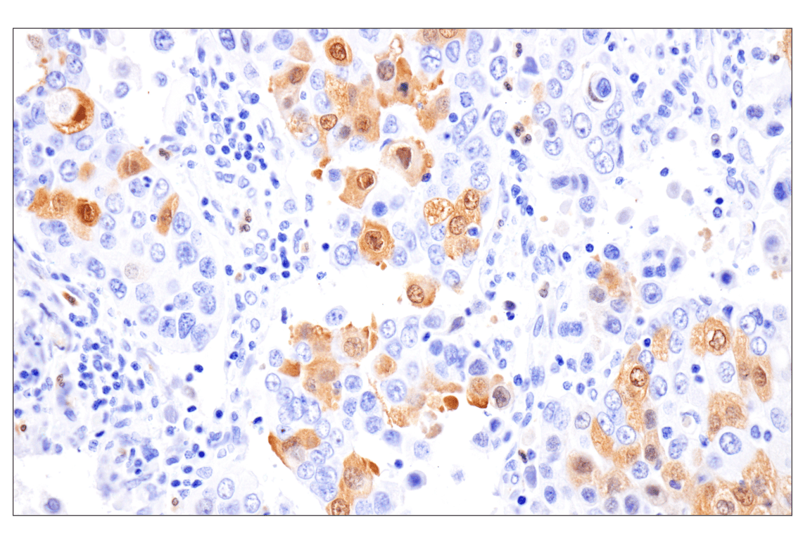
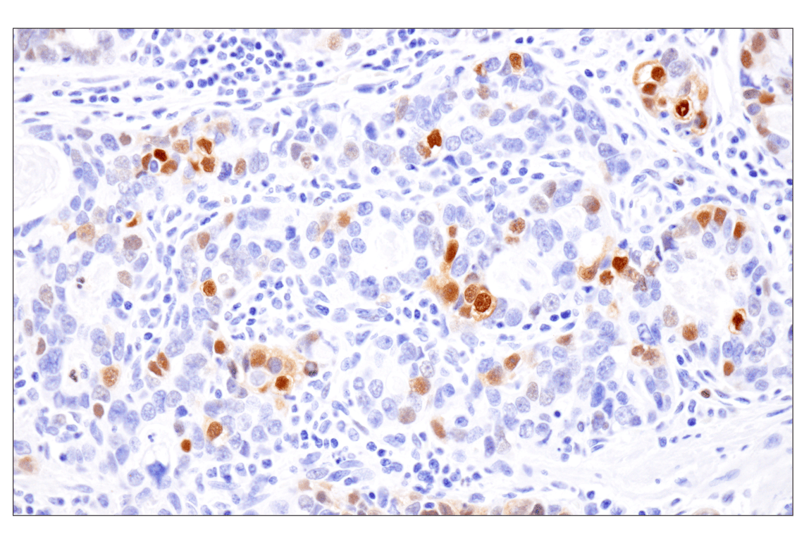
Immunohistochemical analysis of paraffin-embedded human non-small cell lung carcinoma using Phospho-Stat3 (Ser727) (D4X3C) Rabbit mAb. Data were generated using the standard formulation of this product.
Immunohistochemistry Image 5: Phospho-Stat3 (Ser727) (D4X3C) Rabbit Monoclonal Antibody (BSA and Azide Free)
Orders: 877-616-CELL (2355) [email protected] Support: 877-678-TECH (8324) [email protected] Web: cellsignal.com
For Research Use Only. Not for Use in Diagnostic Procedures.

Revision 4

Cell Signaling Technology Logo
Immunohistochemical analysis of paraffin-embedded human tonsil using Phospho-Stat3 (Ser727) (D4X3C) Rabbit mAb. Data were generated using the standard formulation of this product.
Immunohistochemistry Image 6: Phospho-Stat3 (Ser727) (D4X3C) Rabbit Monoclonal Antibody (BSA and Azide Free)
Immunohistochemical analysis of paraffin-embedded normal human esophagus using Phospho-Stat3 (Ser727) (D4X3C) Rabbit mAb. Data were generated using the standard formulation of this product.
Immunohistochemistry Image 7: Phospho-Stat3 (Ser727) (D4X3C) Rabbit Monoclonal Antibody (BSA and Azide Free)
Immunohistochemical analysis of paraffin-embedded normal human lymph node using Phospho-Stat3 (Ser727) (D4X3C) Rabbit mAb. Data were generated using the standard formulation of this product.
Immunohistochemistry Image 8: Phospho-Stat3 (Ser727) (D4X3C) Rabbit Monoclonal Antibody (BSA and Azide Free)
Orders: 877-616-CELL (2355) [email protected] Support: 877-678-TECH (8324) [email protected] Web: cellsignal.com
For Research Use Only. Not for Use in Diagnostic Procedures.

Revision 4

Cell Signaling Technology Logo
Immunohistochemical analysis of paraffin-embedded normal human kidney using Phospho-Stat3 (Ser727) (D4X3C) Rabbit mAb. Data were generated using the standard formulation of this product.
Immunohistochemistry Image 9: Phospho-Stat3 (Ser727) (D4X3C) Rabbit Monoclonal Antibody (BSA and Azide Free)
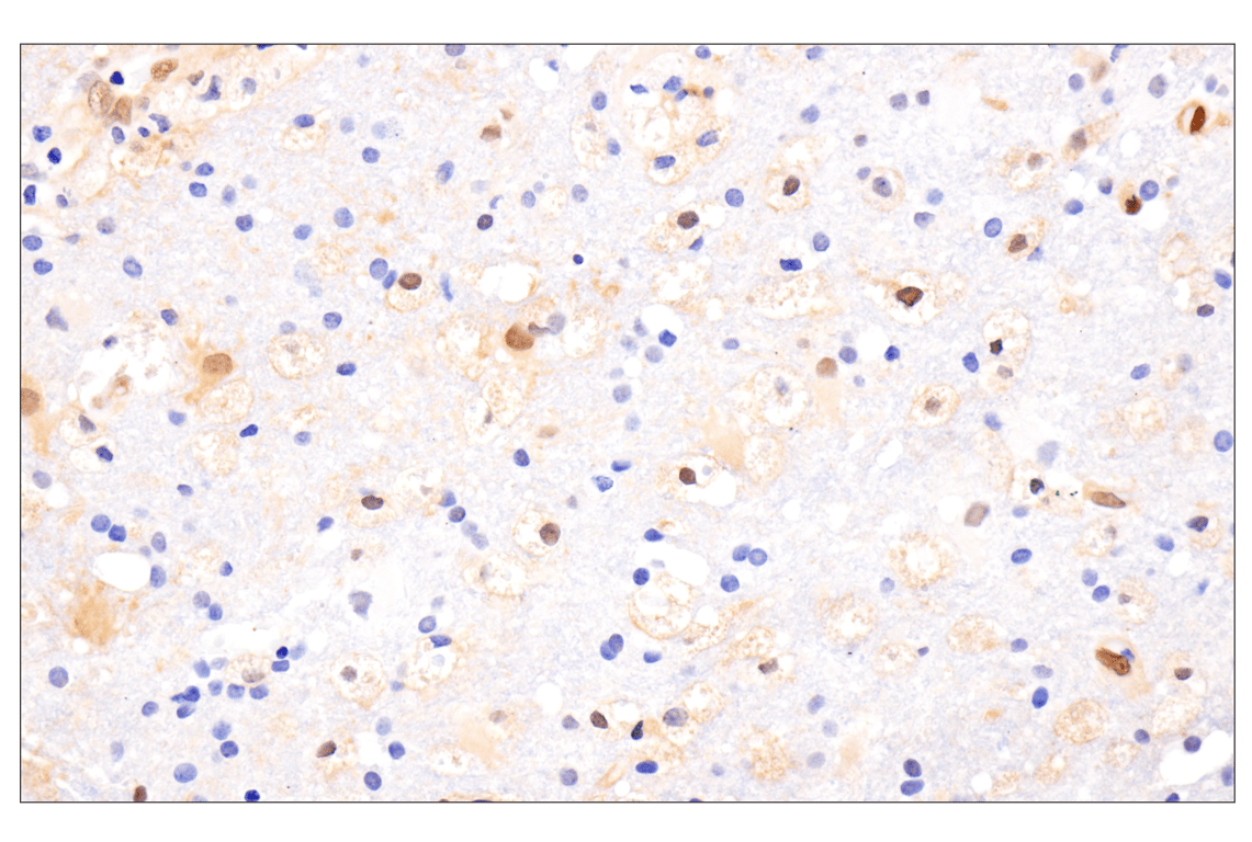
Immunohistochemical analysis of paraffin-embedded normal human brain using Phospho-Stat3 (Ser727) (D4X3C) Rabbit mAb. Data were generated using the standard formulation of this product.
Immunohistochemistry Image 10: Phospho-Stat3 (Ser727) (D4X3C) Rabbit Monoclonal Antibody (BSA and Azide Free)
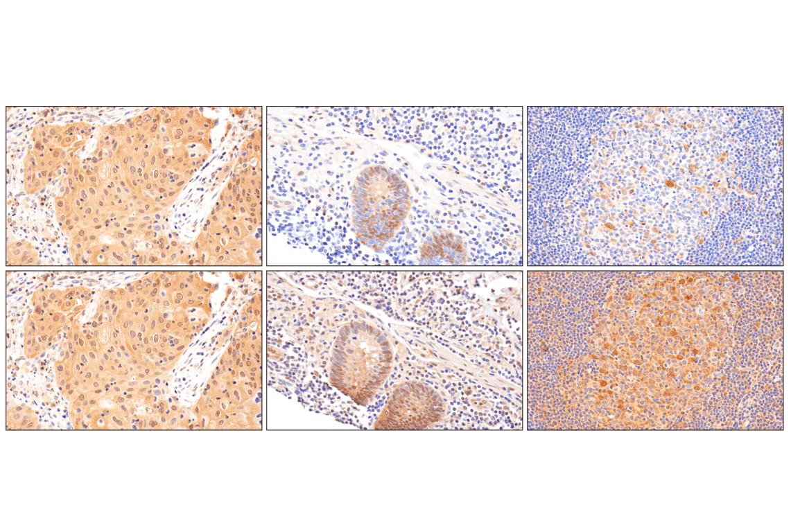
Immunohistochemical analysis of paraffin-embedded human squamous cell lung carcinoma (left), appendix (middle), and lymph node (right) using Phospho-Stat3 (Ser727) (D4X3C) Rabbit mAb (top) or Stat3 (124H6) Mouse mAb #9139 (bottom). Data were generated using the standard formulation of this product.
Immunohistochemistry Image 11: Phospho-Stat3 (Ser727) (D4X3C) Rabbit Monoclonal Antibody (BSA and Azide Free)
Orders: 877-616-CELL (2355) [email protected] Support: 877-678-TECH (8324) [email protected] Web: cellsignal.com
For Research Use Only. Not for Use in Diagnostic Procedures.

Revision 4

Cell Signaling Technology Logo
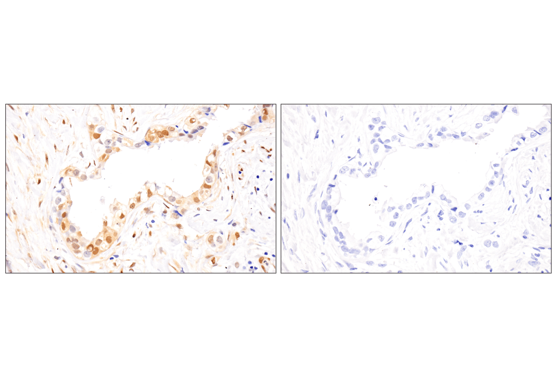
Immunohistochemical analysis of paraffin-embedded human infiltrating ductal carcinoma of the breast, untreated (left) or lambda phosphatase treated (right), using Phospho-Stat3 (Ser727) (D4X3C) Rabbit mAb. Data were generated using the standard formulation of this product.
Immunohistochemistry Image 12: Phospho-Stat3 (Ser727) (D4X3C) Rabbit Monoclonal Antibody (BSA and Azide Free)
Confocal immunofluorescent analysis of A-431 cells (Stat3-expressing), either serum-starved and treated with Wortmannin #9915 (1 uM) and U0126 #9903 (10 uM, 2 hours; left panel) or Human Epidermal Growth Factor (hEGF) (100 ng/mL, 30 minutes; center panel), and PC-3 cells serum-starved and treated with hEGF (right panel; Stat3-negative), using Phospho-Stat3 (Ser727) (D4X3C) Rabbit mAb (green) and β-Actin (8H10D10) Mouse mAb #3700 (red; top panel only). Data were generated using the standard formulation of this product.
Immunofluorescence Image 1: Phospho-Stat3 (Ser727) (D4X3C) Rabbit Monoclonal Antibody (BSA and Azide Free)
Flow cytometric analysis of human peripheral blood mononuclear cells, untreated (left) or TPA-treated #4174 (40nM, 15 minutes; right), using Phospho-Stat3 (Ser727) (D4X3C) Rabbit mAb. Anti-rabbit IgG (H+L), F(ab')2 Fragment (Alexa Fluor® 488 Conjugate) was used as a secondary antibody. Data were generated using the standard formulation of this product.
Flow Cytometry Image 1: Phospho-Stat3 (Ser727) (D4X3C) Rabbit Monoclonal Antibody (BSA and Azide Free)
Orders: 877-616-CELL (2355) [email protected] Support: 877-678-TECH (8324) [email protected] Web: cellsignal.com
For Research Use Only. Not for Use in Diagnostic Procedures.