Revision 3

#4191

Store at -20C

CST Logo
Orders:

877-616-CELL (2355)

[email protected]

Support:

877-678-TECH (8324)

3 Trask Lane | Danvers | Massachusetts | 01923 | USA

For Research Use Only. Not for Use in Diagnostic Procedures.

Applications:
W, IP, IHC-P, IF-IC

Reactivity:
H Mk

Sensitivity:
Endogenous

MW (kDa):
19, 20

Source/Isotype:
Rabbit IgG

UniProt ID:
#P16949

Entrez-Gene Id:
3925

Product Usage Information

Application Dilution
Western Blotting 1:1000
Immunoprecipitation 1:200
Immunohistochemistry (Paraffin) 1:8000
Immunofluorescence (Immunocytochemistry) 1:12800

Storage

Supplied in 10 mM sodium HEPES (pH 7.5), 150 mM NaCl, 100 µg/ml BSA, 50% glycerol and less than 0.02% sodium azide. Store at –20°C. Do not aliquot the antibody.

For a carrier free (BSA and azide free) version of this product see product #85964.

Specificity/Sensitivity

Phospho-Stathmin (Ser38) (D19H10) Rabbit Monoclonal Antibody detects endogenous levels of stathmin protein only when phosphorylated at Ser38.

Source / Purification

Monoclonal antibody is produced by immunizing animals with a synthetic phosphopeptide corresponding to residues surrounding Ser38 of human stathmin protein.

Background

Stathmin is a ubiquitously expressed microtubule destabilizing phosphoprotein that is upregulated in a number of cancers. The amino terminus of the protein contains multiple phosphorylation sites and is involved in the promotion of tubulin filament depolymerization. Phosphorylation at these sites inactivates the protein and stabilizes microtubules. Ser16 phosphorylation by CaM kinases II and IV (1,2) increases during G2/M-phase and is involved in mitotic spindle regulation (3,4). Ser38 is a target for cdc2 kinase (5) and TNF-induced cell death gives rise to reactive oxygen intermediates leading to hyperphosphorylation of stathmin (6). EGF receptor activation of Rac and cdc42 also increases phosphorylation of stathmin on Ser16 and Ser38 (7). Other closely related family members are neuronally expressed and include SCG10, SCLIP, RB3 and its splice variants RB3' and RB3''. Stathmin and SCG10 have been shown to play roles in neuronal-like development in PC-12 cells (8).

Species Reactivity

Species reactivity is determined by testing in at least one approved application (e.g., western blot).

Western Blot Buffer

IMPORTANT: For western blots, incubate membrane with diluted primary antibody in 5% w/v BSA, 1X TBS, 0.1% Tween® 20 at 4°C with gentle shaking, overnight.

Applications Key

W: Western Blotting IP: Immunoprecipitation IHC-P: Immunohistochemistry (Paraffin) IF-IC: Immunofluorescence (Immunocytochemistry)

Cross-Reactivity Key

H: Human Mk: Monkey

Trademarks and Patents

Cell Signaling Technology is a trademark of Cell Signaling Technology, Inc.

All other trademarks are the property of their respective owners. Visit cellsignal.com/trademarks for more information.

Limited Uses

Except as otherwise expressly agreed in a writing signed by a legally authorized representative of CST, the following terms apply to Products provided by CST, its affiliates or its distributors. Any Customer's terms and conditions that are in addition to, or different from, those contained herein, unless separately accepted in writing by a legally authorized representative of CST, are rejected and are of no force or effect.

Products are labeled with For Research Use Only or a similar labeling statement and have not been approved, cleared, or licensed by the FDA or other regulatory foreign or domestic entity, for any purpose. Customer shall not use any Product for any diagnostic or therapeutic purpose, or otherwise in any manner that conflicts with its labeling statement. Products sold or licensed by CST are provided for Customer as the end-user and solely for research and development uses. Any use of Product for diagnostic, prophylactic or therapeutic purposes, or any purchase of Product for resale (alone or as a component) or other commercial purpose, requires a separate license from CST. Customer shall (a) not sell, license, loan, donate or otherwise transfer or make available any Product to any third party, whether alone or in combination with other materials, or use the Products to manufacture any commercial products, (b) not copy, modify, reverse engineer, decompile, disassemble or otherwise attempt to discover the underlying structure or technology of the Products, or use the Products for the purpose of developing any products or services that would compete with CST products or services, (c) not alter or remove from the Products any trademarks, trade names, logos, patent or copyright notices or markings, (d) use the Products solely in accordance with CST Product Terms of Sale and any applicable documentation, and (e) comply with any license, terms of service or similar agreement with respect to any third party products or services used by Customer in connection with the Products.

Orders: 877-616-CELL (2355) [email protected] Support: 877-678-TECH (8324) [email protected] Web: cellsignal.com
For Research Use Only. Not for Use in Diagnostic Procedures.

Revision 3

Cell Signaling Technology Logo
Western blot analysis of extracts from HT-29 cells, untreated or treated with nocodazole alone (100 ng/mL 24 hours) or nocodazole followed by λ and calf intestinal phosphatases, using Phospho-Stathmin (Ser38) (D19H10) Rabbit mAb.
Western Blotting Image 1: Phospho-Stathmin (Ser38) (D19H10) Rabbit Monoclonal Antibody
Western blot analysis of extracts from HT-29 and U-2 OS cells, untreated or synchronized in mitosis, using Phospho-Stathmin (Ser38) (D19H10) Rabbit mAb. Mitotic synchrony was performed by using either a thymidine block followed by release into 100 ng/mL nocodazole for 24 hours or using 100 ng/mL Docetaxel #9886 for 24 hours.
Western Blotting Image 2: Phospho-Stathmin (Ser38) (D19H10) Rabbit Monoclonal Antibody
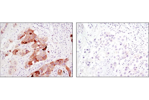
Immunohistochemical analysis of paraffin-embedded human breast carcinoma control (left) or λ phosphatase-treated (right) using Phospho-Stathmin (Ser38) (D19H10) Rabbit mAb.
Immunohistochemistry Image 1: Phospho-Stathmin (Ser38) (D19H10) Rabbit Monoclonal Antibody
Orders: 877-616-CELL (2355) [email protected] Support: 877-678-TECH (8324) [email protected] Web: cellsignal.com
For Research Use Only. Not for Use in Diagnostic Procedures.

Revision 3

Cell Signaling Technology Logo
Immunohistochemical analysis of paraffin-embedded HT-29 cell pellets, untreated (left) or nocodazole-treated (right), using Phospho-Stathmin (Ser38) (D19H10) Rabbit mAb.
Immunohistochemistry Image 2: Phospho-Stathmin (Ser38) (D19H10) Rabbit Monoclonal Antibody
Confocal immunofluorescent analysis of HT-29 cells, untreated (left) or λ phosphatase-treated (right), using Phospho-Stathmin (Ser38) (D19H10) Rabbit mAb (green). Actin filaments were labeled with DY-554 phalloidin (red). Blue pseudocolor = DRAQ5® #4084 (fluorescent DNA dye).
Immunofluorescence Image 1: Phospho-Stathmin (Ser38) (D19H10) Rabbit Monoclonal Antibody
Orders: 877-616-CELL (2355) [email protected] Support: 877-678-TECH (8324) [email protected] Web: cellsignal.com
For Research Use Only. Not for Use in Diagnostic Procedures.