Revision 5

#59923

Store at -20C

CST Logo
Orders:

877-616-CELL (2355)

[email protected]

Support:

877-678-TECH (8324)

3 Trask Lane | Danvers | Massachusetts | 01923 | USA

For Research Use Only. Not for Use in Diagnostic Procedures.

Applications:
W, W-S, IHC-P, IF-F, IF-IC

Reactivity:
H M R

Sensitivity:
Endogenous

MW (kDa):
50-80

Source/Isotype:
Rabbit IgG

UniProt ID:
#P10636-8

Entrez-Gene Id:
4137

Product Usage Information

Application Dilution
Western Blotting 1:1000
Simple Western™ 1:50 - 1:250
Immunohistochemistry (Paraffin) 1:400 - 1:1600
Immunofluorescence (Frozen) 1:50 - 1:200
Immunofluorescence (Immunocytochemistry) 1:800

Storage

Supplied in 10 mM sodium HEPES (pH 7.5), 150 mM NaCl, 100 µg/mL BSA, 50% glycerol, and less than 0.02% sodium azide. Store at –20°C. Do not aliquot the antibody.

Specificity/Sensitivity

Phospho-Tau (Ser202) (F2A2F) Rabbit Monoclonal Antibody recognizes endogenous levels of tau protein only when phosphorylated at Ser202.

Source / Purification

Monoclonal antibody is produced by immunizing animals with a synthetic peptide corresponding to residues surrounding Ser202 of isoform 8 human Tau protein.

Background

Tau is a heterogeneous microtubule-associated protein that promotes and stabilizes microtubule assembly, especially in axons. Six isoforms with different amino-terminal inserts and different numbers of tandem repeats near the carboxy terminus have been identified, and tau is hyperphosphorylated at approximately 25 sites by Erk, glycogen synthase kinase-3 (GSK-3), and CDK5 (1,2). Phosphorylation decreases the ability of tau to bind to microtubules. Neurofibrillary tangles are a major hallmark of Alzheimer's disease (AD); these tangles are bundles of paired helical filaments (PHFs) composed of hyperphosphorylated tau. In particular, phosphorylation at Ser396 by GSK-3 or CDK5 destabilizes microtubules. Furthermore, research studies have shown that inclusions of tau are found in a number of other neurodegenerative diseases, collectively known as tauopathies (1,3).

Investigators have shown that tau is phosphorylated during development and hyperphosphorylated at Ser202 in AD (4).

Species Reactivity

Species reactivity is determined by testing in at least one approved application (e.g., western blot).

Western Blot Buffer

IMPORTANT: For western blots, incubate membrane with diluted primary antibody in 5% w/v BSA, 1X TBS, 0.1% Tween® 20 at 4°C with gentle shaking, overnight.

Applications Key

W: Western Blotting W-S: Simple Western™ IHC-P: Immunohistochemistry (Paraffin) IF-F: Immunofluorescence (Frozen) IF-IC: Immunofluorescence (Immunocytochemistry)

Cross-Reactivity Key

H: Human M: Mouse R: Rat

Trademarks and Patents

Cell Signaling Technology is a trademark of Cell Signaling Technology, Inc.

All other trademarks are the property of their respective owners. Visit cellsignal.com/trademarks for more information.

Limited Uses

Except as otherwise expressly agreed in a writing signed by a legally authorized representative of CST, the following terms apply to Products provided by CST, its affiliates or its distributors. Any Customer's terms and conditions that are in addition to, or different from, those contained herein, unless separately accepted in writing by a legally authorized representative of CST, are rejected and are of no force or effect.

Products are labeled with For Research Use Only or a similar labeling statement and have not been approved, cleared, or licensed by the FDA or other regulatory foreign or domestic entity, for any purpose. Customer shall not use any Product for any diagnostic or therapeutic purpose, or otherwise in any manner that conflicts with its labeling statement. Products sold or licensed by CST are provided for Customer as the end-user and solely for research and development uses. Any use of Product for diagnostic, prophylactic or therapeutic purposes, or any purchase of Product for resale (alone or as a component) or other commercial purpose, requires a separate license from CST. Customer shall (a) not sell, license, loan, donate or otherwise transfer or make available any Product to any third party, whether alone or in combination with other materials, or use the Products to manufacture any commercial products, (b) not copy, modify, reverse engineer, decompile, disassemble or otherwise attempt to discover the underlying structure or technology of the Products, or use the Products for the purpose of developing any products or services that would compete with CST products or services, (c) not alter or remove from the Products any trademarks, trade names, logos, patent or copyright notices or markings, (d) use the Products solely in accordance with CST Product Terms of Sale and any applicable documentation, and (e) comply with any license, terms of service or similar agreement with respect to any third party products or services used by Customer in connection with the Products.

Orders: 877-616-CELL (2355) [email protected] Support: 877-678-TECH (8324) [email protected] Web: cellsignal.com
For Research Use Only. Not for Use in Diagnostic Procedures.

Revision 5

Cell Signaling Technology Logo
Western blot analysis of extracts from various tissues using Phospho-Tau (Ser202) (F2A2F) Rabbit mAb (upper) or GAPDH (D16H11) XP® Rabbit mAb #5174 (lower). Tau KO mouse brain tissue was kindly provided by Dr. Bradley Hyman, MD, PhD at MassGeneral Institute for Neurodegenerative Disease (MIND) and Harvard Medical School.
Western Blotting Image 1: Phospho-Tau (Ser202) (F2A2F) Rabbit Monoclonal Antibody
Western blot analysis of extracts from human (lane 1), mouse (lane 2), and rat (lane 3) brain tissues using Phospho-Tau (Ser202) (F2A2F) Rabbit mAb (left). Phospho-specificity is demonstrated by pre-incubating the antibody with non-phosphorylated (middle) or phosphorylated peptides (right) against a region surrounding Ser202 of tau.
Western Blotting Image 2: Phospho-Tau (Ser202) (F2A2F) Rabbit Monoclonal Antibody
Simple WesternTM analysis of lysates (0.05mg/mL) from Mouse Brain cells using Phospho-Tau (Ser202) (F2A2F) Rabbit mAb #59923.  The virtual lane view (left) shows the target band (as indicated) at 1:50 and 1:250 dilutions of primary antibody.  The corresponding electropherogram view (right) plots chemiluminescence by molecular weight along the capillary at 1:50 (blue line) and 1:250 (green line) dilutions of primary antibody.  This experiment was performed under reducing conditions on the JessTM Simple Western instrument from ProteinSimple, a BioTechne brand, using the 12-230 kDa separation module.
Western Blotting Image 1: Phospho-Tau (Ser202) (F2A2F) Rabbit Monoclonal Antibody
Orders: 877-616-CELL (2355) [email protected] Support: 877-678-TECH (8324) [email protected] Web: cellsignal.com
For Research Use Only. Not for Use in Diagnostic Procedures.

Revision 5

Cell Signaling Technology Logo
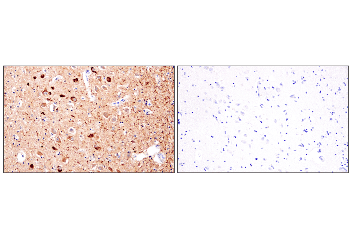
Immunohistochemical analysis of paraffin-embedded human Alzheimer's brain using Phospho-Tau (Ser202) (F2A2F) Rabbit mAb.
Immunohistochemistry Image 1: Phospho-Tau (Ser202) (F2A2F) Rabbit Monoclonal Antibody
Immunohistochemical analysis of paraffin-embedded normal human brain using Phospho-Tau (Ser202) (F2A2F) Rabbit mAb.
Immunohistochemistry Image 2: Phospho-Tau (Ser202) (F2A2F) Rabbit Monoclonal Antibody
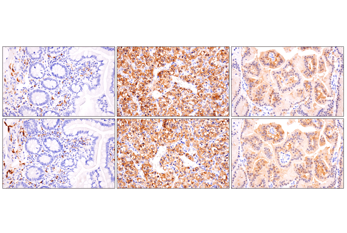
Immunohistochemical analysis of paraffin-embedded normal human small intestine (left), renal cell carcinoma (middle), or prostate carcinoma (right) using Phospho-Tau (Ser202) (F2A2F) Rabbit mAb (top) compared to Tau (D1M9X) XP® Rabbit mAb #46687 (bottom).
Immunohistochemistry Image 3: Phospho-Tau (Ser202) (F2A2F) Rabbit Monoclonal Antibody
Orders: 877-616-CELL (2355) [email protected] Support: 877-678-TECH (8324) [email protected] Web: cellsignal.com
For Research Use Only. Not for Use in Diagnostic Procedures.

Revision 5

Cell Signaling Technology Logo
Immunohistochemical analysis of paraffin-embedded human Alzheimer's brain using Phospho-Tau (Ser202) (F2A2F) Rabbit mAb in the presence of non-phospho-tau (Ser202) peptide (left) or phospho-tau (Ser202) peptide (right).
Immunohistochemistry Image 4: Phospho-Tau (Ser202) (F2A2F) Rabbit Monoclonal Antibody
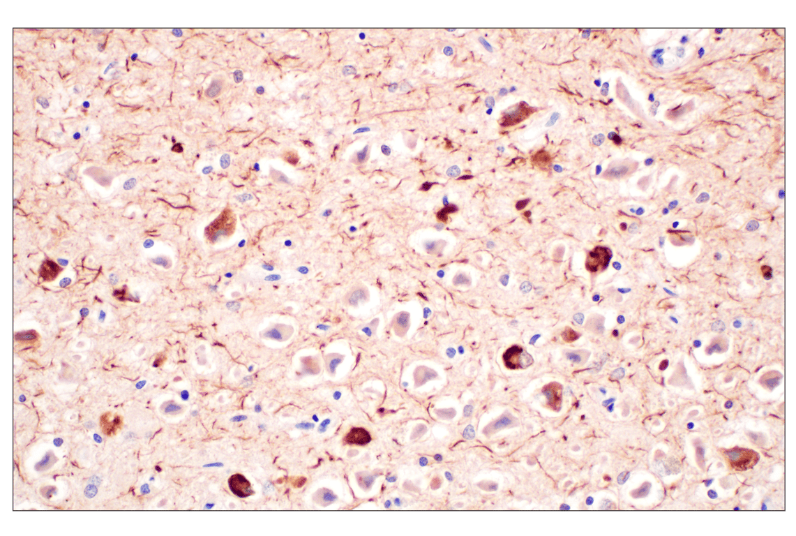
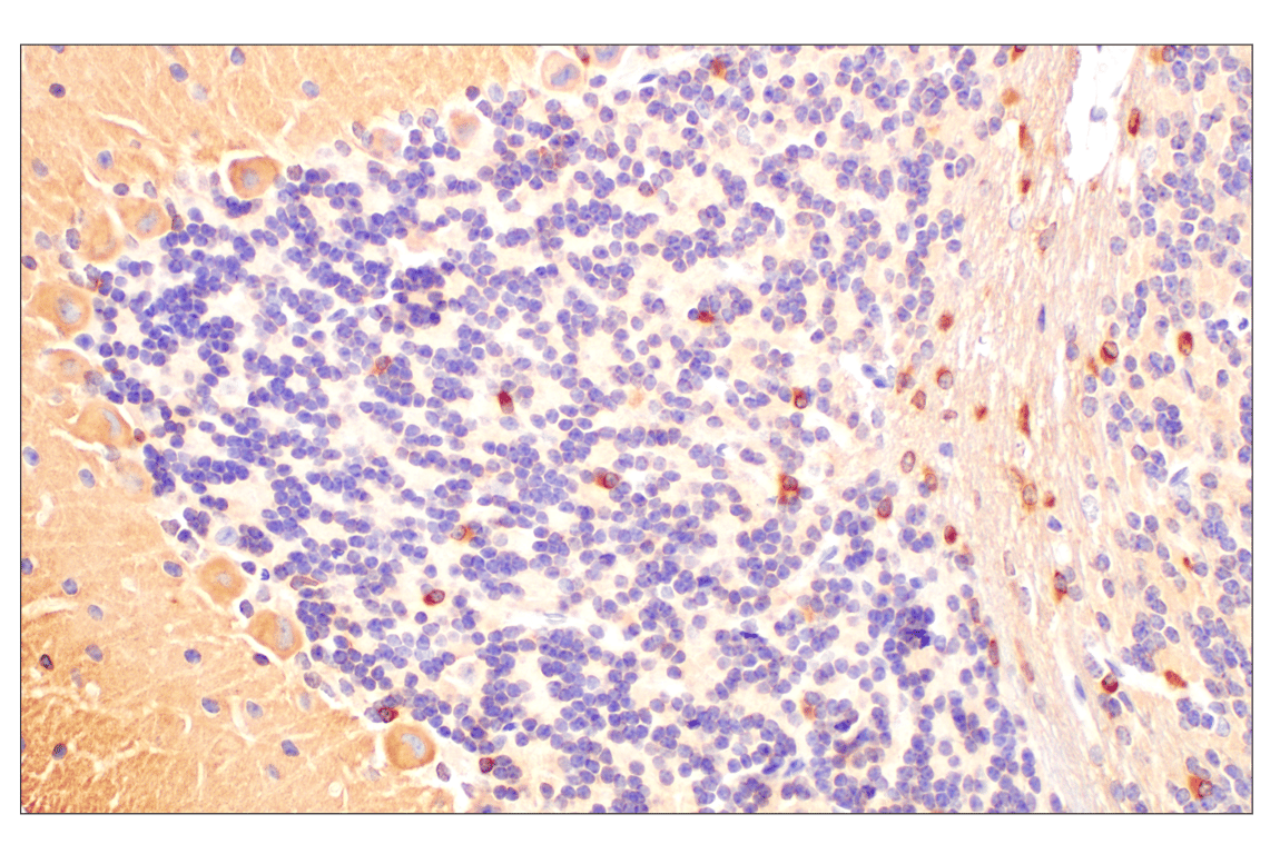
Immunohistochemical analysis of paraffin-embedded mouse cerebellum using Phospho-Tau (Ser202) (F2A2F) Rabbit mAb.
Immunohistochemistry Image 5: Phospho-Tau (Ser202) (F2A2F) Rabbit Monoclonal Antibody
Immunohistochemical analysis of paraffin-embedded mouse brain using Phospho-Tau (Ser202) (F2A2F) Rabbit mAb (left) compared to concentration-matched Rabbit (DA1E) mAb IgG XP® Isotype Control #3900 (right).
Immunohistochemistry Image 6: Phospho-Tau (Ser202) (F2A2F) Rabbit Monoclonal Antibody
Orders: 877-616-CELL (2355) [email protected] Support: 877-678-TECH (8324) [email protected] Web: cellsignal.com
For Research Use Only. Not for Use in Diagnostic Procedures.

Revision 5

Cell Signaling Technology Logo
Immunohistochemical analysis of paraffin-embedded SK-N-MC cell pellet (left, positive) or MDA-MB-231 cell pellet (right, negative) using Phospho-Tau (Ser202) (F2A2F) Rabbit mAb.
Immunohistochemistry Image 7: Phospho-Tau (Ser202) (F2A2F) Rabbit Monoclonal Antibody
Confocal immunofluorescent analysis of cerebellum from fixed frozen wild-type (left) and tau KO (right) mice labeled with Phospho-Tau (Ser202) (F2A2F) Rabbit mAb (red) and ProLong Gold Antifade Reagent with DAPI #8961 (blue).
Immunofluorescence Image 1: Phospho-Tau (Ser202) (F2A2F) Rabbit Monoclonal Antibody
Confocal immunofluorescent analysis of pons region in fixed frozen wild-type mouse brain using Phospho-Tau (Ser202) (F2A2F) Rabbit mAb (red) and DAPI #4083 (blue). Prior to immunostaining, antibody was challenged with no peptide (left), peptide corresponding to phospho-tau (Ser202) (middle), or peptide corresponding to phospho-tau (Thr205) (right).
Immunofluorescence Image 2: Phospho-Tau (Ser202) (F2A2F) Rabbit Monoclonal Antibody
Orders: 877-616-CELL (2355) [email protected] Support: 877-678-TECH (8324) [email protected] Web: cellsignal.com
For Research Use Only. Not for Use in Diagnostic Procedures.

Revision 5

Cell Signaling Technology Logo
Confocal immunofluorescent analysis of SK-N-MC cells (left, positive) and MDA-MB-231 cells (right, negative) using Phospho-Tau (Ser202) (F2A2F) Rabbit mAb (green), DyLight 554 Phalloidin #13054 (red), and DAPI #4083 (blue).
Immunofluorescence Image 1: Phospho-Tau (Ser202) (F2A2F) Rabbit Monoclonal Antibody
Confocal immunofluorescent analysis of T-47D cells using Phospho-Tau (Ser202) (F2A2F) Rabbit mAb (green), DyLight 554 Phalloidin #13054 (red), and DAPI #4083 (blue). Prior to immunostaining, antibody was challenged with no peptide (left), peptide corresponding to tau iso8 (Ser202) phosphate (middle), or peptide corresponding to tau (Thr205) phosphate (right).
Immunofluorescence Image 2: Phospho-Tau (Ser202) (F2A2F) Rabbit Monoclonal Antibody
Orders: 877-616-CELL (2355) [email protected] Support: 877-678-TECH (8324) [email protected] Web: cellsignal.com
For Research Use Only. Not for Use in Diagnostic Procedures.