Revision 2

#89892

Store at -20C

CST Logo
Orders:

877-616-CELL (2355)

[email protected]

Support:

877-678-TECH (8324)

3 Trask Lane | Danvers | Massachusetts | 01923 | USA

For Research Use Only. Not for Use in Diagnostic Procedures.

Product Includes Product # Quantity Mol. Wt Isotype/Source
Tau (D1M9X) Rabbit Monoclonal Antibody4668720 µl50-80 kDaRabbit IgG
Phospho-Tau (Ser214) (D1Q2X) Rabbit Monoclonal Antibody7734820 µl50-80 kDaRabbit IgG
Phospho-Tau (Thr217) (E9Y4S) Rabbit Monoclonal Antibody5162520 µl50-80 kDaRabbit IgG
Phospho-p38 MAPK (Thr180/Tyr182) (D3F9) Rabbit Monoclonal Antibody451120 µl43 kDaRabbit IgG
Phospho-SAPK/JNK (Thr183/Tyr185) (81E11) Rabbit Monoclonal Antibody466820 µl46, 54 kDaRabbit IgG
Phospho-p70 S6 Kinase (Thr389) (D5U1O) Rabbit Monoclonal Antibody9759620 µl70, 85 kDaRabbit IgG
p38 MAPK (D13E1) Rabbit Monoclonal Antibody869020 µl40 kDaRabbit IgG
p70 S6 Kinase (E8K6T) Rabbit Monoclonal Antibody3447520 µl70, 85 kDaRabbit IgG
Anti-rabbit IgG, HRP-linked Antibody7074100 µlGoat

Please visit cellsignal.com for individual component applications, species cross-reactivity, dilutions, protocols, and additional product information.

Description

The Phospho-Tau (Ser214/T217) Signaling Antibody Sampler Kit provides an economical means of detecting the signaling cascade leading to tau phosphorylation at Ser214 and Thr217, using phospho-specific and control antibodies. The kit includes enough antibodies to perform two western blot experiments with each primary antibody.

Storage

Supplied in 10 mM sodium HEPES (pH 7.5), 150 mM NaCl, 100 µg/mL BSA, 50% glycerol, and less than 0.02% sodium azide. Store at –20°C. Do not aliquot the antibody.

Background

Tau is a heterogeneous microtubule-associated protein that promotes and stabilizes microtubule assembly, especially in axons. Six isoforms with different amino-terminal inserts and different numbers of tandem repeats near the carboxy terminus have been identified, and tau is hyperphosphorylated at approximately 25 sites by Erk, glycogen synthase kinase-3 (GSK-3), and CDK5 (1,2). Phosphorylation decreases the ability of tau to bind to microtubules. Neurofibrillary tangles are a major hallmark of Alzheimer's disease (AD); these tangles are bundles of paired helical filaments (PHFs) composed of hyperphosphorylated tau. Furthermore, research studies have shown that inclusions of tau are found in a number of other neurodegenerative diseases, collectively known as tauopathies (1,3).

Numerous kinases, including p38 MAPK, JNK, CDK5, GSK3β, and SGK1, have been shown to phosphorylate tau at Ser214, which is found in AD and dementia with Lewy bodies (4-9). p38 MAPK participates in a signaling cascade controlling cellular responses to cytokines and stress and is activated by phosphorylation at Thr180 and Tyr182, allowing for downstream tau Ser214 phosphorylation (10-13). Another kinase that phosphorylates the Ser214 site on tau is the stress-activated protein kinase/Jun-amino-terminal kinase (SAPK/JNK). SAPK/JNK is preferentially activated by a variety of environmental stresses, including UV and gamma radiation, ceramides, inflammatory cytokines, and, in some instances, growth factors and GPCR agonists, which lead to phosphorylation of Thr183 and Tyr185 (14-19).

Tau phosphorylation at Thr217 has been identified as a highly specific biomarker of AD. Phosphorylated tau at Thr217 can be detected in cerebrospinal fluid in both preclinical and advanced stages of AD and has been shown to successfully differentiate between AD and non-AD neurodegenerative diseases (20,21). One kinase identified to phosphorylate the Thr217 site on tau is p70 S6 kinase (S6K1). S6K1 is a mitogen activated Ser/Thr protein kinase that is required for cell growth and G1 cell cycle progression (22,23). Phosphorylation of Thr389 most closely correlates with S6K1 activity in vivo (24).

Trademarks and Patents

Cell Signaling Technology is a trademark of Cell Signaling Technology, Inc.

All other trademarks are the property of their respective owners. Visit cellsignal.com/trademarks for more information.

Limited Uses

Except as otherwise expressly agreed in a writing signed by a legally authorized representative of CST, the following terms apply to Products provided by CST, its affiliates or its distributors. Any Customer's terms and conditions that are in addition to, or different from, those contained herein, unless separately accepted in writing by a legally authorized representative of CST, are rejected and are of no force or effect.

Products are labeled with For Research Use Only or a similar labeling statement and have not been approved, cleared, or licensed by the FDA or other regulatory foreign or domestic entity, for any purpose. Customer shall not use any Product for any diagnostic or therapeutic purpose, or otherwise in any manner that conflicts with its labeling statement. Products sold or licensed by CST are provided for Customer as the end-user and solely for research and development uses. Any use of Product for diagnostic, prophylactic or therapeutic purposes, or any purchase of Product for resale (alone or as a component) or other commercial purpose, requires a separate license from CST. Customer shall (a) not sell, license, loan, donate or otherwise transfer or make available any Product to any third party, whether alone or in combination with other materials, or use the Products to manufacture any commercial products, (b) not copy, modify, reverse engineer, decompile, disassemble or otherwise attempt to discover the underlying structure or technology of the Products, or use the Products for the purpose of developing any products or services that would compete with CST products or services, (c) not alter or remove from the Products any trademarks, trade names, logos, patent or copyright notices or markings, (d) use the Products solely in accordance with CST Product Terms of Sale and any applicable documentation, and (e) comply with any license, terms of service or similar agreement with respect to any third party products or services used by Customer in connection with the Products.

Orders: 877-616-CELL (2355) [email protected] Support: 877-678-TECH (8324) [email protected] Web: cellsignal.com
For Research Use Only. Not for Use in Diagnostic Procedures.

Revision 2

Cell Signaling Technology Logo
Western blot analysis of extracts from control mIMCD-3 cells (lane 1) or p70 S6 kinase-1 knockout mIMCD-3 cells (lane 2), and control wild-type immortalized MEF cells (lane3) or p70 S6 Kinase-1/p70 S6 kinase-2 double knockout MEF cells (lane 4), using p70 S6 Kinase (E8K6T) Rabbit mAb (upper) and β-Actin (D6A8) Rabbit mAb #8457 (lower). The absence of signal in the two knockout models confirms specificity of the antibody for p70 S6 kinase-1. Knockout cells were kindly provided by Dr. Mario Pende, INSERM, Paris, France.
undefined Image 1: Phospho-Tau (Ser214/T217) Signaling Antibody Sampler Kit
Western blot analysis of extracts from various cell lines using p70 S6 Kinase (E8K6T) XP® Rabbit mAb (upper) and β-Actin (D6A8) Rabbit mAb #8457 (lower).
undefined Image 2: Phospho-Tau (Ser214/T217) Signaling Antibody Sampler Kit
Immunoprecipitation of p70 S6 kinase protein from HeLa extracts. Lane 1 is 10% input, lane 2 is Rabbit (DA1E) mAb IgG XP® Isotype Control #3900, and lane 3 is p70 S6 Kinase (E8K6T) XP® Rabbit mAb. Western blot analysis was performed using p70 S6 Kinase (E8K6T) XP® Rabbit mAb. Anti-rabbit IgG, HRP-linked Antibody #7074 was used as the secondary antibody.
undefined Image 3: Phospho-Tau (Ser214/T217) Signaling Antibody Sampler Kit
Orders: 877-616-CELL (2355) [email protected] Support: 877-678-TECH (8324) [email protected] Web: cellsignal.com
For Research Use Only. Not for Use in Diagnostic Procedures.

Revision 2

Cell Signaling Technology Logo
Immunohistochemical analysis of paraffin-embedded human urothelial carcinoma using p70 S6 Kinase (E8K6T) XP® Rabbit mAb.
undefined Image 4: Phospho-Tau (Ser214/T217) Signaling Antibody Sampler Kit
Western blot analysis of extracts from COS and 293 cells, untreated or UV-treated, using Phospho-p38 MAPK (Thr180/Tyr182) (D3F9) XP® Rabbit mAb (upper) or p38 MAPK Antibody #9212 (lower).
undefined Image 5: Phospho-Tau (Ser214/T217) Signaling Antibody Sampler Kit
Western blot analysis of normal mouse brain and Tau KO (-/-) mouse brain with Tau (D1M9X) XP® Rabbit mAb (upper) and β-Actin (D6A8) Rabbit mAb #8457 (lower). Tau-KO mouse brain tissue was kindly provided by Dr. Dominic Walsh at Brigham and Women's Hospital and Harvard Medical School.
undefined Image 6: Phospho-Tau (Ser214/T217) Signaling Antibody Sampler Kit
Orders: 877-616-CELL (2355) [email protected] Support: 877-678-TECH (8324) [email protected] Web: cellsignal.com
For Research Use Only. Not for Use in Diagnostic Procedures.

Revision 2

Cell Signaling Technology Logo
Western blot analysis of extracts from normal mouse brain and Tau KO (-/-) mouse brain tissue using Phospho-Tau (Thr217) (E9Y4S) Rabbit mAb (upper) or β-Actin (D6A8) Rabbit mAb #8457 (lower). Tau KO (-/-) mouse brain tissue was kindly provided by Dr. Dominic Walsh at Brigham and Women's Hospital and Harvard Medical School.
undefined Image 7: Phospho-Tau (Ser214/T217) Signaling Antibody Sampler Kit
After the primary antibody is bound to the target protein, a complex with HRP-linked secondary antibody is formed. The LumiGLO® is added and emits light during enzyme catalyzed decomposition.
undefined Image 8: Phospho-Tau (Ser214/T217) Signaling Antibody Sampler Kit
Western blot analysis of normal mouse brain and Tau KO (-/-) mouse brain with Phospho-Tau (Ser214) (D1Q2X) Rabbit mAb (upper) and β-Actin (D6A8) Rabbit mAb #8457 (lower). Tau-KO mouse brain tissue was kindly provided by Dr. Dominic Walsh at Brigham and Women's Hospital and Harvard Medical School.
undefined Image 9: Phospho-Tau (Ser214/T217) Signaling Antibody Sampler Kit
Orders: 877-616-CELL (2355) [email protected] Support: 877-678-TECH (8324) [email protected] Web: cellsignal.com
For Research Use Only. Not for Use in Diagnostic Procedures.

Revision 2

Cell Signaling Technology Logo
Western blot analysis of extracts from various cell lines using p38 MAPK (D13E1) XP® Rabbit mAb.
undefined Image 10: Phospho-Tau (Ser214/T217) Signaling Antibody Sampler Kit
Western blot analysis of extracts from serum-starved MCF7, NIH/3T3, and C6 cells, untreated (-) or treated with human IGF-1 (100 ng/ml, 10 min; +), using Phospho-p70 S6 Kinase (Thr389) (D5U1O) Rabbit mAb #97596 (upper), or p70 S6 Kinase (49D7) rabbit mAb #2708 (lower).
undefined Image 11: Phospho-Tau (Ser214/T217) Signaling Antibody Sampler Kit
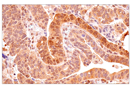
Immunohistochemical analysis of paraffin-embedded human endometrioid adenocarcinoma using p70 S6 Kinase (E8K6T) XP® Rabbit mAb.
undefined Image 12: Phospho-Tau (Ser214/T217) Signaling Antibody Sampler Kit
Orders: 877-616-CELL (2355) [email protected] Support: 877-678-TECH (8324) [email protected] Web: cellsignal.com
For Research Use Only. Not for Use in Diagnostic Procedures.

Revision 2

Cell Signaling Technology Logo
Immunohistochemical analysis of paraffin-embedded human colon carcinoma using Phospho-p38 MAPK (Thr180/Tyr182) (D3F9) XP® Rabbit mAb.
undefined Image 13: Phospho-Tau (Ser214/T217) Signaling Antibody Sampler Kit
Western blot analysis of extracts from various cell lines and tissues using Tau (D1M9X) XP® Rabbit mAb (upper) and β-Actin (D6A8) Rabbit mAb #8457 (lower).
undefined Image 14: Phospho-Tau (Ser214/T217) Signaling Antibody Sampler Kit
Western blot analysis of extracts from mouse brain, untreated (-) or phosphatase-treated (+), using Phospho-Tau (Ser214) (D1Q2X) Rabbit mAb (upper) and Tau (D1M9X) Rabbit mAb #46687 (lower).
undefined Image 15: Phospho-Tau (Ser214/T217) Signaling Antibody Sampler Kit
Orders: 877-616-CELL (2355) [email protected] Support: 877-678-TECH (8324) [email protected] Web: cellsignal.com
For Research Use Only. Not for Use in Diagnostic Procedures.

Revision 2

Cell Signaling Technology Logo
Immunohistochemical analysis of paraffin-embedded human breast carcinoma using p38 MAPK (D13E1) XP® Rabbit mAb.
undefined Image 16: Phospho-Tau (Ser214/T217) Signaling Antibody Sampler Kit
Western blot analysis of extracts from serum-starved 293T cells, untreated (-) or treated (+) with combinations of the following treatments as indicated: 20% fetal bovine serum (FBS) and λ phosphatase/calf intestinal alkaline phosphatase (CIP), using Phospho-p70 S6 Kinase (Thr389) (D5U1O) Rabbit mAb (upper) or p70 S6 Kinase Antibody #9202 (lower).
undefined Image 17: Phospho-Tau (Ser214/T217) Signaling Antibody Sampler Kit
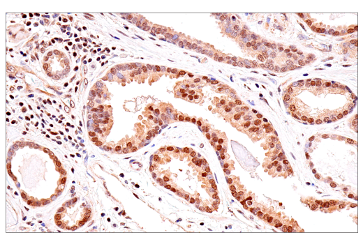
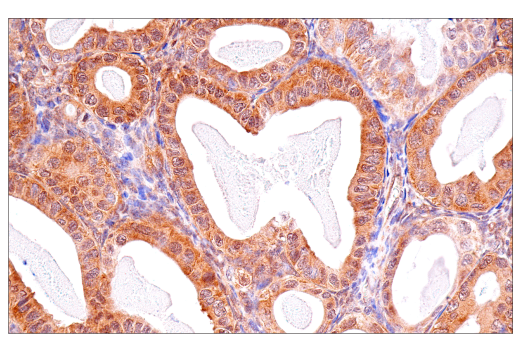
Immunohistochemical analysis of paraffin-embedded human prostate carcinoma using p70 S6 Kinase (E8K6T) XP® Rabbit mAb.
undefined Image 18: Phospho-Tau (Ser214/T217) Signaling Antibody Sampler Kit
Orders: 877-616-CELL (2355) [email protected] Support: 877-678-TECH (8324) [email protected] Web: cellsignal.com
For Research Use Only. Not for Use in Diagnostic Procedures.

Revision 2

Cell Signaling Technology Logo
Immunohistochemical analysis of paraffin-embedded mouse colon using Phospho-p38 MAPK (Thr180/Tyr182) (D3F9) XP® Rabbit mAb.
undefined Image 19: Phospho-Tau (Ser214/T217) Signaling Antibody Sampler Kit
Immunohistochemical analysis of paraffin-embedded human Alzheimer's brain using Tau (D1M9X) XP® Rabbit mAb in the presence of control peptide (left) or antigen-specific peptide (right).
undefined Image 20: Phospho-Tau (Ser214/T217) Signaling Antibody Sampler Kit
Immunohistochemical analysis of paraffin-embedded human colon carcinoma using p38 MAPK (D13E1) XP® Rabbit mAb.
undefined Image 21: Phospho-Tau (Ser214/T217) Signaling Antibody Sampler Kit
Orders: 877-616-CELL (2355) [email protected] Support: 877-678-TECH (8324) [email protected] Web: cellsignal.com
For Research Use Only. Not for Use in Diagnostic Procedures.

Revision 2

Cell Signaling Technology Logo
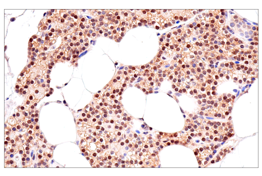
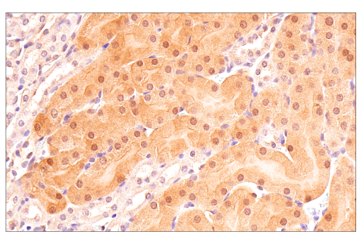
Immunohistochemical analysis of paraffin-embedded normal human pancreas using p70 S6 Kinase (E8K6T) XP® Rabbit mAb.
undefined Image 22: Phospho-Tau (Ser214/T217) Signaling Antibody Sampler Kit
Immunohistochemical analysis of paraffin-embedded 293T cell pellets, untreated (left) or UV-treated (right), using Phospho-p38 MAPK (Thr180/Tyr182) (D3F9) XP® Rabbit mAb.
undefined Image 23: Phospho-Tau (Ser214/T217) Signaling Antibody Sampler Kit
Immunohistochemical analysis of paraffin-embedded human normal appendix using Tau (D1M9X) XP® Rabbit mAb.
undefined Image 24: Phospho-Tau (Ser214/T217) Signaling Antibody Sampler Kit
Orders: 877-616-CELL (2355) [email protected] Support: 877-678-TECH (8324) [email protected] Web: cellsignal.com
For Research Use Only. Not for Use in Diagnostic Procedures.

Revision 2

Cell Signaling Technology Logo
Immunohistochemical analysis of paraffin-embedded human lung carcinoma using p38 MAPK (D13E1) XP® Rabbit mAb in the presence of control peptide (left) or antigen-specific peptide (right).
undefined Image 25: Phospho-Tau (Ser214/T217) Signaling Antibody Sampler Kit
Immunohistochemical analysis of paraffin-embedded normal human parathyroid using p70 S6 Kinase (E8K6T) XP® Rabbit mAb.
undefined Image 26: Phospho-Tau (Ser214/T217) Signaling Antibody Sampler Kit
Immunohistochemical analysis of paraffin-embedded T-47D cell pellet (left, positive) or MDA-MB-231 cell pellet (right, negative) using Tau (D1M9X) XP® Rabbit mAb.
undefined Image 27: Phospho-Tau (Ser214/T217) Signaling Antibody Sampler Kit
Orders: 877-616-CELL (2355) [email protected] Support: 877-678-TECH (8324) [email protected] Web: cellsignal.com
For Research Use Only. Not for Use in Diagnostic Procedures.

Revision 2

Cell Signaling Technology Logo
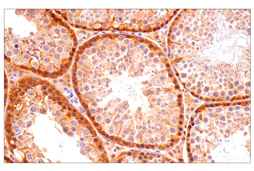
Immunohistochemical analysis of paraffin-embedded mouse testis using p70 S6 Kinase (E8K6T) XP® Rabbit mAb.
undefined Image 28: Phospho-Tau (Ser214/T217) Signaling Antibody Sampler Kit
Confocal immunofluorescent analysis of COS cells, untreated (left) or anisomycin-treated (right) using Phospho-p38 MAPK (Thr180/Tyr182) (D3F9) XP® Rabbit mAb (green). Actin filaments have been labeled with DY-554 phalloidin (red).
undefined Image 29: Phospho-Tau (Ser214/T217) Signaling Antibody Sampler Kit
Immunohistochemical analysis of paraffin-embedded mouse lung using Tau (D1M9X) XP® Rabbit mAb.
undefined Image 30: Phospho-Tau (Ser214/T217) Signaling Antibody Sampler Kit
Orders: 877-616-CELL (2355) [email protected] Support: 877-678-TECH (8324) [email protected] Web: cellsignal.com
For Research Use Only. Not for Use in Diagnostic Procedures.

Revision 2

Cell Signaling Technology Logo
Confocal immunofluorescent analysis of HeLa cells, untreated (left) or treated with UV (100 mJ/cm2 with 30 min recovery; right), using p38 MAPK (D13E1) XP® Rabbit mAb (green). Actin filaments were labeled with DY-554 phalloidin (red).
undefined Image 31: Phospho-Tau (Ser214/T217) Signaling Antibody Sampler Kit
Immunohistochemical analysis of paraffin-embedded mouse kidney using p70 S6 Kinase (E8K6T) XP® Rabbit mAb.
undefined Image 32: Phospho-Tau (Ser214/T217) Signaling Antibody Sampler Kit
Flow cytometric analysis of Jurkat cells, untreated (blue) or treated with Anisomycin (25µM, 30 min; green) using Phospho-p38 MAPK (Thr180/Tyr182) (D3F9) XP® Rabbit mAb (solid lines) or concentration-matched Rabbit (DA1E) mAb IgG XP® Isotype Control #3900 (dashed lines). Anti-rabbit IgG (H+L), F(ab')2 Fragment (Alexa Fluor® 488 Conjugate) #4412 was used as a secondary antibody.
undefined Image 33: Phospho-Tau (Ser214/T217) Signaling Antibody Sampler Kit
Orders: 877-616-CELL (2355) [email protected] Support: 877-678-TECH (8324) [email protected] Web: cellsignal.com
For Research Use Only. Not for Use in Diagnostic Procedures.

Revision 2

Cell Signaling Technology Logo
Confocal immunofluorescent analysis of fixed frozen mouse striatum using Tau (D1M9X) XP® Rabbit mAb (green), TMEM119 (E4B9S) Mouse mAb #98778 (red) and ProLong® Gold Antifade Reagent with DAPI #8961 (blue).
undefined Image 34: Phospho-Tau (Ser214/T217) Signaling Antibody Sampler Kit
Flow cytometric analysis of HeLa cells using p38 MAPK (D13E1) XP® Rabbit mAb (solid line) compared to concentration-matched Rabbit (DA1E) mAb IgG XP® Isotype control #3900 (dashed line). Anti-rabbit IgG (H+L), F(ab')2 Fragment (Alexa Fluor® 488 Conjugate) #4412 was used as a secondary antibody.
undefined Image 35: Phospho-Tau (Ser214/T217) Signaling Antibody Sampler Kit
Immunohistochemical analysis of paraffin-embedded mouse thymus using p70 S6 Kinase (E8K6T) XP® Rabbit mAb.
undefined Image 36: Phospho-Tau (Ser214/T217) Signaling Antibody Sampler Kit
Orders: 877-616-CELL (2355) [email protected] Support: 877-678-TECH (8324) [email protected] Web: cellsignal.com
For Research Use Only. Not for Use in Diagnostic Procedures.

Revision 2

Cell Signaling Technology Logo
Confocal immunofluorescent analysis of T-47D (positive, left) or MDA-MB-231 (negative, right) cells using Tau (D1M9X) XP® Rabbit mAb (green). Blue pseudocolor = DRAQ5® #4084 (fluorescent DNA dye).
undefined Image 37: Phospho-Tau (Ser214/T217) Signaling Antibody Sampler Kit
Immunohistochemical analysis of paraffin-embedded mouse stomach using p70 S6 Kinase (E8K6T) XP® Rabbit mAb.
undefined Image 38: Phospho-Tau (Ser214/T217) Signaling Antibody Sampler Kit
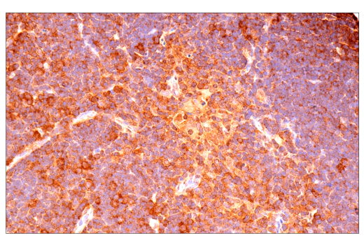
Immunohistochemical analysis of paraffin-embedded mouse spleen using p70 S6 Kinase (E8K6T) XP® Rabbit mAb.
undefined Image 39: Phospho-Tau (Ser214/T217) Signaling Antibody Sampler Kit
Orders: 877-616-CELL (2355) [email protected] Support: 877-678-TECH (8324) [email protected] Web: cellsignal.com
For Research Use Only. Not for Use in Diagnostic Procedures.

Revision 2

Cell Signaling Technology Logo
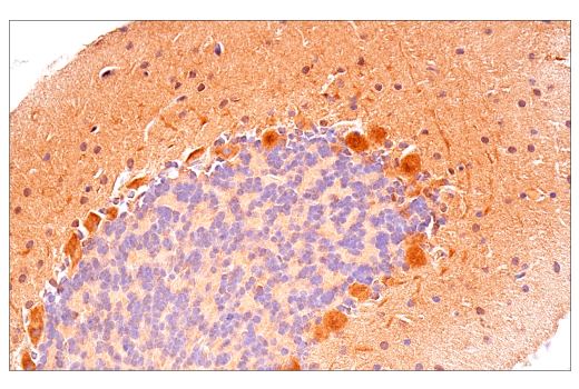
Immunohistochemical analysis of paraffin-embedded mouse cerebellum using p70 S6 Kinase (E8K6T) XP® Rabbit mAb.
undefined Image 40: Phospho-Tau (Ser214/T217) Signaling Antibody Sampler Kit
Immunohistochemical analysis of paraffin-embedded human prostate carcinoma (left), colon carcinoma (middle), or normal breast (right) using p70 S6 Kinase (E8K6T) XP® Rabbit mAb (top) or p70 S6 Kinase Rabbit mAb (bottom). These two antibodies detect unique, non-overlapping epitopes on p70 S6 kinase protein. The similar staining patterns obtained with both antibodies help to confirm the specificity of the staining.
undefined Image 41: Phospho-Tau (Ser214/T217) Signaling Antibody Sampler Kit
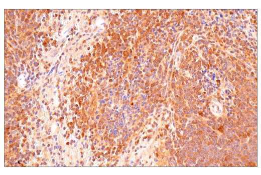
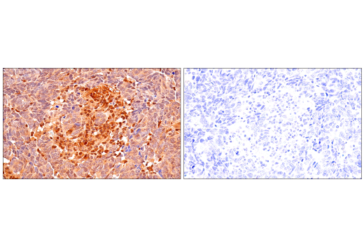
Immunohistochemical analysis of paraffin-embedded human small cell carcinoma of the salivary gland using p70 S6 Kinase (E8K6T) XP® Rabbit mAb (left) compared to concentration-matched Rabbit (DA1E) mAb IgG XP® Isotype Control #3900 (right).
undefined Image 42: Phospho-Tau (Ser214/T217) Signaling Antibody Sampler Kit
Orders: 877-616-CELL (2355) [email protected] Support: 877-678-TECH (8324) [email protected] Web: cellsignal.com
For Research Use Only. Not for Use in Diagnostic Procedures.

Revision 2

Cell Signaling Technology Logo
Immunohistochemical analysis of paraffin-embedded MEF cell pellet, wild-type (left, positive) or p70 S6 Kinase-1/ p70 S6 Kinase-2 double knockout (right, negative) using p70 S6 Kinase (E8K6T) XP® Rabbit mAb. Cell lines courtesy of Dr. Mario Pende, INSERM, Paris, France.
undefined Image 43: Phospho-Tau (Ser214/T217) Signaling Antibody Sampler Kit
Confocal immunofluorescent analysis of fixed frozen mouse spleen labeled with p70 S6 Kinase (E8K6T)XP(R) Rabbit mAb (left, green) and colabeled with CD45R/B220 (RA3-6B2) Rat mAb (redFluor™ 710 Conjugate) #82984 (center, red). Sections were mounted in ProLong® Gold Antifade Reagent with DAPI #8961 (right, blue).
undefined Image 44: Phospho-Tau (Ser214/T217) Signaling Antibody Sampler Kit
Confocal immunofluorescent analysis of fixed frozen mouse kidney, labeled with p70 S6 Kinase (E8K6T)XP® Rabbit mAb (left, green) and DyLight™ 554 Phalloidin #13054 (right, red). Sections were mounted in ProLong® Gold Antifade Reagent with DAPI #8961 (right, blue).
undefined Image 45: Phospho-Tau (Ser214/T217) Signaling Antibody Sampler Kit
Orders: 877-616-CELL (2355) [email protected] Support: 877-678-TECH (8324) [email protected] Web: cellsignal.com
For Research Use Only. Not for Use in Diagnostic Procedures.

Revision 2

Cell Signaling Technology Logo
Confocal immunofluorescent analysis of MCF7 cells, wild-type (left, positive) or p70 S6 Kinase-1/ p70 S6 Kinase-2 double knockout (right, negative) using p70 S6 Kinase (E6L9T) XP® Rabbit mAb (green) and DAPI #4083 (blue). Cell lines courtesy of Dr. Mario Pende, INSERM, Paris, France.
undefined Image 46: Phospho-Tau (Ser214/T217) Signaling Antibody Sampler Kit
Simple WesternTM analysis of lysates (0.1 mg/mL) from HeLa cells treated with UV using Phospho-p38 MAPK (Thr180/Tyr182) (D3F9) XP® Rabbit mAb #4511.  The virtual lane view (left) shows the target band (as indicated) at 1:50 and 1:250 dilutions of primary antibody.  The corresponding electropherogram view (right) plots chemiluminescence by molecular weight along the capillary at 1:50 (blue line) and 1:250 (green line) dilutions of primary antibody.  This experiment was performed under reducing conditions on the JessTM Simple Western instrument from ProteinSimple, a BioTechne brand, using the 12-230 kDa separation module.
undefined Image 47: Phospho-Tau (Ser214/T217) Signaling Antibody Sampler Kit
Immunohistochemical analysis of paraffin-embedded 293T cells untreated (left) or UV-treated (right) using Phospho-SAPK/JNK (Thr183/Tyr185) (81E11) Rabbit mAb.
undefined Image 48: Phospho-Tau (Ser214/T217) Signaling Antibody Sampler Kit
Orders: 877-616-CELL (2355) [email protected] Support: 877-678-TECH (8324) [email protected] Web: cellsignal.com
For Research Use Only. Not for Use in Diagnostic Procedures.

Revision 2

Cell Signaling Technology Logo
Immunohistochemical analysis of paraffin-embedded human lung carcinoma using Phospho-SAPK/JNK (Thr183/Tyr185) (81E11) Rabbit mAb in the presence of control peptide (left) or Phospho-SAPK/JNK (Thr183/Tyr185) Blocking Peptide (right).
undefined Image 49: Phospho-Tau (Ser214/T217) Signaling Antibody Sampler Kit
Simple Western™ analysis of lysates (1.0 mg/mL) from HEK 293 cells treated with UV (50 mJ, 30 min recovery) using Phospho-SAPK/JNK (Thr183/Tyr185) (81E11) Rabbit mAb #4668. The virtual lane view (left) shows two target bands (as indicated) at 1:10 and 1:50 dilutions of primary antibody. The corresponding electropherogram view (right) plots chemiluminescence by molecular weight along the capillary at 1:10 (blue line) and 1:50 (green line) dilutions of primary antibody. This experiment was performed under reducing conditions on the Jess™ Simple Western instrument from ProteinSimple, a BioTechne brand, using the 12-230 kDa separation module.
undefined Image 50: Phospho-Tau (Ser214/T217) Signaling Antibody Sampler Kit
Western blot analysis of extracts from 293 cells, untreated or UV-treated, NIH/3T3 cells, untreated or UV-treated and C6 cells, untreated or anisomycin-treated, using Phospho-SAPK/JNK (Thr183/Tyr185) (81E11) Rabbit mAb.
undefined Image 51: Phospho-Tau (Ser214/T217) Signaling Antibody Sampler Kit
Orders: 877-616-CELL (2355) [email protected] Support: 877-678-TECH (8324) [email protected] Web: cellsignal.com
For Research Use Only. Not for Use in Diagnostic Procedures.

Revision 2

Cell Signaling Technology Logo
Simple Western™ analysis of lysates (0.1 mg/mL) from Mouse Brain Tissue Extracts using Tau (D1M9X) XP® Rabbit #46687. The virtual lane view (left) shows the target band (as indicated) and a band corresponding to Tau (as indicated) at 1:50 and 1:250 dilutions of primary antibody. The corresponding electropherogram view (right) plots chemiluminescence by molecular weight along the capillary at 1:50 (blue line) and 1:250 (green line) dilutions of primary antibody. This experiment was performed under reducing conditions on the Jess™ Simple Western instrument from ProteinSimple, a BioTechne brand, using the 12-230 kDa separation module.
undefined Image 52: Phospho-Tau (Ser214/T217) Signaling Antibody Sampler Kit
Confocal immunofluorescent analysis of fixed frozen mouse cerebellum using Tau (D1M9X) XP® Rabbit mAb (green), TMEM119 (E4B9S) Mouse mAb #98778 (red) and ProLong® Gold Antifade Reagent with DAPI #8961 (blue).
undefined Image 53: Phospho-Tau (Ser214/T217) Signaling Antibody Sampler Kit
Confocal immunofluorescent analysis of fixed frozen mouse hippocampus using Tau (D1M9X) XP® Rabbit mAb (green), TMEM119 (E4B9S) Mouse mAb #98778 (red) and ProLong® Gold Antifade Reagent with DAPI #8961 (blue).
undefined Image 54: Phospho-Tau (Ser214/T217) Signaling Antibody Sampler Kit
Orders: 877-616-CELL (2355) [email protected] Support: 877-678-TECH (8324) [email protected] Web: cellsignal.com
For Research Use Only. Not for Use in Diagnostic Procedures.

Revision 2

Cell Signaling Technology Logo
Immunoprecipitation of phospho-tau (Thr217) protein from mouse brain tissue extracts. Lane 1 is 10% input, lane 2 is Rabbit (DA1E) mAb IgG XP® Isotype Control #3900, and lane 3 is Phospho-Tau (Thr217) (E9Y4S) Rabbit mAb. Western blot analysis was performed using Phospho-Tau (Thr217) (E9Y4S) Rabbit mAb. Mouse Anti-rabbit IgG (Conformation Specific) (L27A9) mAb (HRP Conjugate) #5127 was used as a secondary antibody.
undefined Image 55: Phospho-Tau (Ser214/T217) Signaling Antibody Sampler Kit
Western blot analysis of extracts from mouse brain, untreated (-) or λ phosphatase-treated (+), and rat brain using Phospho-Tau (Thr217) (E9Y4S) Rabbit mAb (upper) or β-Actin (D6A8) Rabbit mAb #8457 (lower).
undefined Image 56: Phospho-Tau (Ser214/T217) Signaling Antibody Sampler Kit
Simple Western™ analysis of lysates (1.0 mg/mL) from mouse brain using Phospho-Tau (Thr217) (E9Y4S) Rabbit mAb #51625. The virtual lane view (left) shows the target band (as indicated) at 1:10 and 1:50 dilutions of primary antibody. The corresponding electropherogram view (right) plots chemiluminescence by molecular weight along the capillary at 1:10 (blue line) and 1:50 (green line) dilutions of primary antibody. This experiment was performed under reducing conditions on the Jess™ Simple Western instrument from ProteinSimple, a BioTechne brand, using the 12-230 kDa separation module.
undefined Image 57: Phospho-Tau (Ser214/T217) Signaling Antibody Sampler Kit
Orders: 877-616-CELL (2355) [email protected] Support: 877-678-TECH (8324) [email protected] Web: cellsignal.com
For Research Use Only. Not for Use in Diagnostic Procedures.

Revision 2

Cell Signaling Technology Logo
Simple WesternTM analysis of lysates (0.1 mg/mL) from H4IIE cells with UV using p38 MAPK (D13E1) XP® Rabbit mAb #8690.  The virtual lane view (left) shows the target band (as indicated) at 1:50 and 1:250 dilutions of primary antibody.  The corresponding electropherogram view (right) plots chemiluminescence by molecular weight along the capillary at 1:50 (blue line) and 1:250 (green line) dilutions of primary antibody.  This experiment was performed under reducing conditions on the JessTM Simple Western instrument from ProteinSimple, a BioTechne brand, using the 12-230 kDa separation module.
undefined Image 58: Phospho-Tau (Ser214/T217) Signaling Antibody Sampler Kit
Orders: 877-616-CELL (2355) [email protected] Support: 877-678-TECH (8324) [email protected] Web: cellsignal.com
For Research Use Only. Not for Use in Diagnostic Procedures.