Revision 1

#66224

Store at -20C

CST Logo
Orders:

877-616-CELL (2355)

[email protected]

Support:

877-678-TECH (8324)

3 Trask Lane | Danvers | Massachusetts | 01923 | USA

For Research Use Only. Not for Use in Diagnostic Procedures.

Applications:
W, IHC-P, IF-F

Reactivity:
H M R

Sensitivity:
Endogenous

MW (kDa):
50-80

Source/Isotype:
Rabbit IgG

UniProt ID:
#P10636-8

Entrez-Gene Id:
4137

Product Usage Information

This product is the carrier-free version of product #12885. All data were generated using the same antibody clone in the standard formulation which contains BSA and glycerol.

This formulation is ideal for use with technologies requiring specialized or custom antibody labeling, including fluorophores, metals, lanthanides, and oligonucleotides. It is not recommended for ChIP, ChIP-seq, CUT&RUN, or CUT&Tag assays. If you require a carrier-free formulation for chromatin profiling, please contact us. Optimal dilutions/concentrations should be determined by the end user.

BSA and Azide Free antibodies are quality control tested by size exclusion chromatography (SEC) to determine antibody integrity.

Formulation

Supplied in 1X PBS (10 mM Na2HPO4, 3 mM KCl, 2 mM KH2PO4, and 140 mM NaCl (pH 7.8)). BSA and Azide Free.

For standard formulation of this product see product #12885.

Storage

Store at -20°C. This product will freeze at -20°C so it is recommended to aliquot into single-use vials to avoid multiple freeze/thaw cycles. A slight precipitate may be present and can be dissolved by gently vortexing. This will not interfere with antibody performance.

Specificity/Sensitivity

Phospho-Tau (Thr181) (D9F4G) Rabbit Monoclonal Antibody (BSA and Azide Free) recognizes endogenous levels of tau protein only when phosphorylated at Thr181.

Source / Purification

Monoclonal antibody is produced by immunizing animals with a synthetic phosphopeptide corresponding to residues surrounding Thr181 of human tau protein.

Background

Tau is a heterogeneous microtubule-associated protein that promotes and stabilizes microtubule assembly, especially in axons. Six isoforms with different amino-terminal inserts and different numbers of tandem repeats near the carboxy terminus have been identified, and tau is hyperphosphorylated at approximately 25 sites by Erk, glycogen synthase kinase-3 (GSK-3), and CDK5 (1,2). Phosphorylation decreases the ability of tau to bind to microtubules. Neurofibrillary tangles are a major hallmark of Alzheimer's disease (AD); these tangles are bundles of paired helical filaments (PHFs) composed of hyperphosphorylated tau. In particular, phosphorylation at Ser396 by GSK-3 or CDK5 destabilizes microtubules. Furthermore, research studies have shown that inclusions of tau are found in a number of other neurodegenerative diseases, collectively known as tauopathies (1,3).

The cerebrospinal fluid concentration of tau phosphorylated at Thr181 has been proposed to be a biomarker for the study of neurodegenerative disorders (4).

Species Reactivity

Species reactivity is determined by testing in at least one approved application (e.g., western blot).

Applications Key

W: Western Blotting IHC-P: Immunohistochemistry (Paraffin) IF-F: Immunofluorescence (Frozen)

Cross-Reactivity Key

H: Human M: Mouse R: Rat

Trademarks and Patents

Cell Signaling Technology is a trademark of Cell Signaling Technology, Inc.

SignalStain is a registered trademark of Cell Signaling Technology, Inc.

All other trademarks are the property of their respective owners. Visit cellsignal.com/trademarks for more information.

Limited Uses

Except as otherwise expressly agreed in a writing signed by a legally authorized representative of CST, the following terms apply to Products provided by CST, its affiliates or its distributors. Any Customer's terms and conditions that are in addition to, or different from, those contained herein, unless separately accepted in writing by a legally authorized representative of CST, are rejected and are of no force or effect.

Products are labeled with For Research Use Only or a similar labeling statement and have not been approved, cleared, or licensed by the FDA or other regulatory foreign or domestic entity, for any purpose. Customer shall not use any Product for any diagnostic or therapeutic purpose, or otherwise in any manner that conflicts with its labeling statement. Products sold or licensed by CST are provided for Customer as the end-user and solely for research and development uses. Any use of Product for diagnostic, prophylactic or therapeutic purposes, or any purchase of Product for resale (alone or as a component) or other commercial purpose, requires a separate license from CST. Customer shall (a) not sell, license, loan, donate or otherwise transfer or make available any Product to any third party, whether alone or in combination with other materials, or use the Products to manufacture any commercial products, (b) not copy, modify, reverse engineer, decompile, disassemble or otherwise attempt to discover the underlying structure or technology of the Products, or use the Products for the purpose of developing any products or services that would compete with CST products or services, (c) not alter or remove from the Products any trademarks, trade names, logos, patent or copyright notices or markings, (d) use the Products solely in accordance with CST Product Terms of Sale and any applicable documentation, and (e) comply with any license, terms of service or similar agreement with respect to any third party products or services used by Customer in connection with the Products.

Orders: 877-616-CELL (2355) [email protected] Support: 877-678-TECH (8324) [email protected] Web: cellsignal.com
For Research Use Only. Not for Use in Diagnostic Procedures.

Revision 1

Cell Signaling Technology Logo
Western blot analysis of normal mouse brain and Tau KO (-/-) mouse brain with Phospho-Tau (Thr181) (D9F4G) Rabbit mAb (upper) or β-Actin (D6A8) Rabbit mAb #8457 (lower). Tau-KO mouse brain tissue was kindly provided by Dr. Dominic Walsh at Brigham and Women's Hospital and Harvard Medical School. Data were generated using the standard formulation of this product.
Western Blotting Image 1: Phospho-Tau (Thr181) (D9F4G) Rabbit Monoclonal Antibody (BSA and Azide Free)
Western blot analysis of extracts from mouse and rat brain using Phospho-Tau (Thr181) (D9F4G) Rabbit mAb. The phospho-specificity of Phospho-Tau (Thr181) (D9F4G) Rabbit mAb was verified by peptide blocking using a phosphopeptide or non-phosphopeptide targeting residue Thr181. Data were generated using the standard formulation of this product.
Western Blotting Image 2: Phospho-Tau (Thr181) (D9F4G) Rabbit Monoclonal Antibody (BSA and Azide Free)
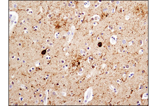
Immunohistochemical analysis of paraffin-embedded human Alzheimer's brain using Phospho-Tau (Thr181) (D9F4G) Rabbit mAb. Data were generated using the standard formulation of this product.
Immunohistochemistry Image 1: Phospho-Tau (Thr181) (D9F4G) Rabbit Monoclonal Antibody (BSA and Azide Free)
Orders: 877-616-CELL (2355) [email protected] Support: 877-678-TECH (8324) [email protected] Web: cellsignal.com
For Research Use Only. Not for Use in Diagnostic Procedures.

Revision 1

Cell Signaling Technology Logo
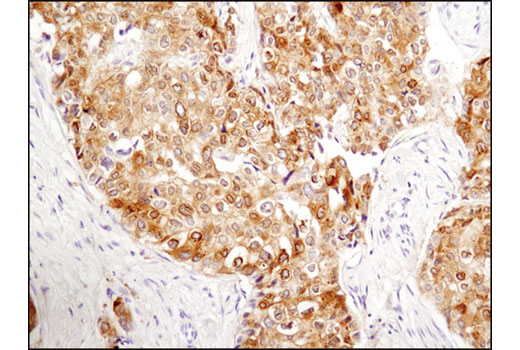
Immunohistochemical analysis of paraffin-embedded human breast carcinoma using Phospho-Tau (Thr181) (D9F4G) Rabbit mAb. Data were generated using the standard formulation of this product.
Immunohistochemistry Image 2: Phospho-Tau (Thr181) (D9F4G) Rabbit Monoclonal Antibody (BSA and Azide Free)
Immunohistochemical analysis of paraffin-embedded mouse brain using Phospho-Tau (Thr181) (D9F4G) Rabbit mAb. Data were generated using the standard formulation of this product.
Immunohistochemistry Image 3: Phospho-Tau (Thr181) (D9F4G) Rabbit Monoclonal Antibody (BSA and Azide Free)
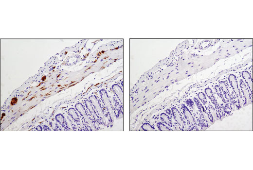
Immunohistochemical analysis of paraffin-embedded mouse colon, control (left) or λ phosphatase-treated (right), using Phospho-Tau (Thr181) (D9F4G) Rabbit mAb. Data were generated using the standard formulation of this product.
Immunohistochemistry Image 4: Phospho-Tau (Thr181) (D9F4G) Rabbit Monoclonal Antibody (BSA and Azide Free)
Orders: 877-616-CELL (2355) [email protected] Support: 877-678-TECH (8324) [email protected] Web: cellsignal.com
For Research Use Only. Not for Use in Diagnostic Procedures.

Revision 1

Cell Signaling Technology Logo
Confocal immunofluorescent analysis of mouse brainstem using Phospho-Tau (Thr181) (D9F4G) Rabbit mAb #12885 (green) and S6 Ribosomal Protein (54D2) Mouse mAb #2317 (red). Antibody was pre-incubated with non-phospho-Tau (Thr181) peptide (left), a phospho-Tau (Thr181) peptide (middle), or without peptide (right) to confirm phospho-specificity. Samples were mounted in ProLong® Gold Antifade Reagent with DAPI #8961 (blue). Data were generated using the standard formulation of this product.
Immunofluorescence Image 1: Phospho-Tau (Thr181) (D9F4G) Rabbit Monoclonal Antibody (BSA and Azide Free)
Orders: 877-616-CELL (2355) [email protected] Support: 877-678-TECH (8324) [email protected] Web: cellsignal.com
For Research Use Only. Not for Use in Diagnostic Procedures.