Revision 8

#5483

Store at -20C

CST Logo
Orders:

877-616-CELL (2355)

[email protected]

Support:

877-678-TECH (8324)

3 Trask Lane | Danvers | Massachusetts | 01923 | USA

For Research Use Only. Not for Use in Diagnostic Procedures.

Applications:
W, W-F, IP, IF-IC, FC-FP

Reactivity:
H M R

Sensitivity:
Endogenous

MW (kDa):
84

Source/Isotype:
Rabbit IgG

UniProt ID:
#Q9UHD2

Entrez-Gene Id:
29110

Product Usage Information

Application Dilution
Western Blotting 1:1000
Fluorescent Western 1:1000
Immunoprecipitation 1:50
Immunofluorescence (Immunocytochemistry) 1:50 - 1:100
Flow Cytometry (Fixed/Permeabilized) 1:50 - 1:200

Storage

Supplied in 10 mM sodium HEPES (pH 7.5), 150 mM NaCl, 100 µg/ml BSA, 50% glycerol and less than 0.02% sodium azide. Store at –20°C. Do not aliquot the antibody.

For a carrier free (BSA and azide free) version of this product see product #54382.

Specificity/Sensitivity

Phospho-TBK1/NAK (Ser172) (D52C2) Rabbit Monoclonal Antibody detects endogenous levels of TBK1 only when phosphorylated at Ser172. This antibody may cross-react with phospho-IKKε. Phospho-TBK1/NAK (Ser172) (D52C2) XP® Rabbit mAb lacks sensitivity in fixed frozen mouse tissue by indirect immunofluorescent detection.

Species predicted to react based on 100% sequence homology

Monkey, Xenopus, Bovine, Dog

Source / Purification

Monoclonal antibody is prepared from animals immunized with a synthetic phosphopeptide corresponding to residues surrounding Ser172 of human TBK1.

Background

TBK1 (TANK-binding kinase 1)/NAK (NF-κB activating kinase) is an IκB kinase (IKK)-activating kinase and can activate IKK through direct phosphorylation (1). TBK1 was identified through association with the TRAF binding protein, TANK, and found to function upstream of NIK and IKK in the activation of NF-κB (2). TBK1 induces IκB degradation and NF-κB activity through IKKβ. TBK1 may mediate IKK and NF-κB activation in response to growth factors that stimulate PKCε activity (1). TBK1 plays a pivotal role in the activation of IRF3 in the innate immune response (3).

TBK1 is phosphorylated at Ser172 within its activation loop, which is necessary for its kinase activity including the downstream phosphorylation of IRF3 (4,5).

Species Reactivity

Species reactivity is determined by testing in at least one approved application (e.g., western blot).

Western Blot Buffer

IMPORTANT: For western blots, incubate membrane with diluted primary antibody in 5% w/v BSA, 1X TBS, 0.1% Tween® 20 at 4°C with gentle shaking, overnight.

Applications Key

W: Western Blotting W-F: Fluorescent Western IP: Immunoprecipitation IF-IC: Immunofluorescence (Immunocytochemistry) FC-FP: Flow Cytometry (Fixed/Permeabilized)

Cross-Reactivity Key

H: Human M: Mouse R: Rat

Trademarks and Patents

Cell Signaling Technology is a trademark of Cell Signaling Technology, Inc.

All other trademarks are the property of their respective owners. Visit cellsignal.com/trademarks for more information.

Limited Uses

Except as otherwise expressly agreed in a writing signed by a legally authorized representative of CST, the following terms apply to Products provided by CST, its affiliates or its distributors. Any Customer's terms and conditions that are in addition to, or different from, those contained herein, unless separately accepted in writing by a legally authorized representative of CST, are rejected and are of no force or effect.

Products are labeled with For Research Use Only or a similar labeling statement and have not been approved, cleared, or licensed by the FDA or other regulatory foreign or domestic entity, for any purpose. Customer shall not use any Product for any diagnostic or therapeutic purpose, or otherwise in any manner that conflicts with its labeling statement. Products sold or licensed by CST are provided for Customer as the end-user and solely for research and development uses. Any use of Product for diagnostic, prophylactic or therapeutic purposes, or any purchase of Product for resale (alone or as a component) or other commercial purpose, requires a separate license from CST. Customer shall (a) not sell, license, loan, donate or otherwise transfer or make available any Product to any third party, whether alone or in combination with other materials, or use the Products to manufacture any commercial products, (b) not copy, modify, reverse engineer, decompile, disassemble or otherwise attempt to discover the underlying structure or technology of the Products, or use the Products for the purpose of developing any products or services that would compete with CST products or services, (c) not alter or remove from the Products any trademarks, trade names, logos, patent or copyright notices or markings, (d) use the Products solely in accordance with CST Product Terms of Sale and any applicable documentation, and (e) comply with any license, terms of service or similar agreement with respect to any third party products or services used by Customer in connection with the Products.

Orders: 877-616-CELL (2355) [email protected] Support: 877-678-TECH (8324) [email protected] Web: cellsignal.com
For Research Use Only. Not for Use in Diagnostic Procedures.

Revision 8

Cell Signaling Technology Logo
Western blot analysis of extracts from THP-1 cells differentiated with TPA #4174 (80 nM, overnight) followed by treatment with LPS (1 μg/ml), up to 24h, using Phospho-TBK1/NAK (Ser172) (D52C2) XP® Rabbit mAb (upper), or total TBK1/NAK (D1B4) Rabbit mAb #3504 (lower).
Western Blotting Image 1: Phospho-TBK1/NAK (Ser172) (D52C2) Rabbit Monoclonal Antibody
Western blot analysis of extracts from THP-1 cells differentiated with TPA #4174 (80 nM, overnight) followed by treatment with LPS (1 μg/ml, 1 hour), with or without phosphatase treatment using Phospho-TBK1/NAK (Ser172) (D52C2) XP® Rabbit mAb (upper), or total TBK1/NAK (D1B4) Rabbit mAb #3504 (lower).
Western Blotting Image 2: Phospho-TBK1/NAK (Ser172) (D52C2) Rabbit Monoclonal Antibody
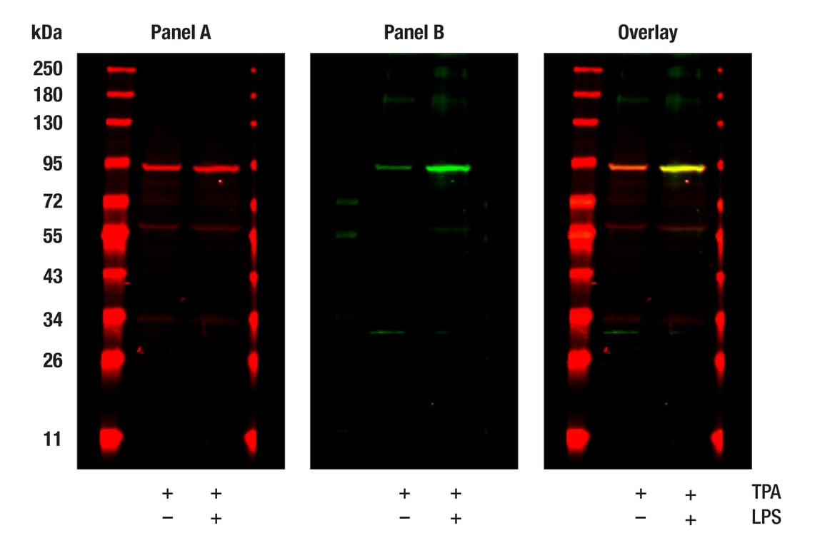
Western blot analysis of extracts from THP-1 cells, undifferentiated (-) or differentiated with TPA (80 nM, overnight) followed by treatment with LPS (1 µg/ml, 8 hrs; +), using TBK1/NAK (E9H5S) Mouse mAb #51872 (Panel A) and Phospho-TBK1/NAK (Ser172) (D52C2) XP® Rabbit mAb #5483 (Panel B). Anti-mouse IgG (H+L) (DyLight 680 Conjugate) #5470 (red) and Anti-rabbit IgG (H+L) (DyLight 800 4X PEG Conjugate) #5151 (green) were used as secondary antibodies.
Western Blotting Image 1: Phospho-TBK1/NAK (Ser172) (D52C2) Rabbit Monoclonal Antibody
Orders: 877-616-CELL (2355) [email protected] Support: 877-678-TECH (8324) [email protected] Web: cellsignal.com
For Research Use Only. Not for Use in Diagnostic Procedures.

Revision 8

Cell Signaling Technology Logo
Confocal immunofluorescent analysis of THP-1 cells differentiated with TPA #4174 (80nM, overnight) (left), followed by treatment with LPS (1μg/ml, 1 hour) (center) or LPS with λ phosphatase treatment (right) using Phospho-TBK1/NAK (Ser172) (D52C2) XP® Rabbit mAb (green). Actin filaments were labeled with DY-554 Phalloidin (red). Blue pseudocolor = DRAQ5® #4084 (fluorescent DNA dye).
Immunofluorescence Image 1: Phospho-TBK1/NAK (Ser172) (D52C2) Rabbit Monoclonal Antibody
Flow cytometric analysis of THP-1 cells differentiated with TPA (80nM, 4 days) #9905, untreated (blue) or treated with LPS (1 ng/mL, 1 hr; green) #14011 using Phospho-TBK1/NAK (Ser172) (D52C2) XP® Rabbit mAb (solid lines) or concentration-matched Rabbit (DA1E) mAb IgG XP® Isotype Control #3900 (dashed lines). Anti-rabbit IgG (H+L), F(ab')2 Fragment (Alexa Fluor® 488 Conjugate) #4412 was used as a secondary antibody.
Flow Cytometry Image 1: Phospho-TBK1/NAK (Ser172) (D52C2) Rabbit Monoclonal Antibody
Orders: 877-616-CELL (2355) [email protected] Support: 877-678-TECH (8324) [email protected] Web: cellsignal.com
For Research Use Only. Not for Use in Diagnostic Procedures.