Revision 1

#5251

Store at -20C

CST Logo
Orders:

877-616-CELL (2355)

[email protected]

Support:

877-678-TECH (8324)

3 Trask Lane | Danvers | Massachusetts | 01923 | USA

For Research Use Only. Not for Use in Diagnostic Procedures.

Applications:
W, IHC-P, IF-IC, FC-FP

Reactivity:
H M R Mk

Sensitivity:
Endogenous

MW (kDa):
23

Source/Isotype:
Rabbit

UniProt ID:
#P13693

Entrez-Gene Id:
7178

Product Usage Information

Application Dilution
Western Blotting 1:1000
Immunohistochemistry (Paraffin) 1:100
Immunofluorescence (Immunocytochemistry) 1:100
Flow Cytometry (Fixed/Permeabilized) 1:50

Storage

Supplied in 10 mM sodium HEPES (pH 7.5), 150 mM NaCl, 100 µg/ml BSA and 50% glycerol. Store at –20°C. Do not aliquot the antibody.

Specificity/Sensitivity

Phospho-TCTP (Ser46) Antibody recognizes endogenous levels TCTP protein only when phosphorylated at Ser46. In some cell types this antibody may recognize an 80-100 kDa protein of unknown origin.

Source / Purification

Polyclonal antibodies are produced by immunizing animals with a synthetic phosphopeptide corresponding to residues surrounding Ser46 of human TCTP protein. Antibodies are purified by protein A and peptide affinity chromatography.

Background

Translationally controlled tumor protein (TCTP/p23/HRF) is a ubiquitously expressed and highly conserved protein involved in various cellular processes, such as its role as a histamine releasing factor in chronic allergic disease (1). TCTP binds tubulin in a cell cycle dependent manner and is associated with the mitotic spindle (2). In addition, TCTP interacts with the actin cytoskeleton to regulate cell shape (3). In mitosis, TCTP is phosphorylated by PLK at Ser46, decreasing microtubule stability (4,5). TCTP interacts with the small GTPase Rheb, possibly acting as a GEF, thereby activating the TORC1 pathway and controlling cell growth and proliferation (6,7). TCTP has also been shown to be involved in apoptosis and cell stress (8-11). In cultured cells, reduction in TCTP expression can cause loss of the malignant phenotype (12).

Species Reactivity

Species reactivity is determined by testing in at least one approved application (e.g., western blot).

Western Blot Buffer

IMPORTANT: For western blots, incubate membrane with diluted primary antibody in 5% w/v BSA, 1X TBS, 0.1% Tween® 20 at 4°C with gentle shaking, overnight.

Applications Key

W: Western Blotting IHC-P: Immunohistochemistry (Paraffin) IF-IC: Immunofluorescence (Immunocytochemistry) FC-FP: Flow Cytometry (Fixed/Permeabilized)

Cross-Reactivity Key

H: Human M: Mouse R: Rat Mk: Monkey

Trademarks and Patents

Cell Signaling Technology is a trademark of Cell Signaling Technology, Inc.

All other trademarks are the property of their respective owners. Visit cellsignal.com/trademarks for more information.

Limited Uses

Except as otherwise expressly agreed in a writing signed by a legally authorized representative of CST, the following terms apply to Products provided by CST, its affiliates or its distributors. Any Customer's terms and conditions that are in addition to, or different from, those contained herein, unless separately accepted in writing by a legally authorized representative of CST, are rejected and are of no force or effect.

Products are labeled with For Research Use Only or a similar labeling statement and have not been approved, cleared, or licensed by the FDA or other regulatory foreign or domestic entity, for any purpose. Customer shall not use any Product for any diagnostic or therapeutic purpose, or otherwise in any manner that conflicts with its labeling statement. Products sold or licensed by CST are provided for Customer as the end-user and solely for research and development uses. Any use of Product for diagnostic, prophylactic or therapeutic purposes, or any purchase of Product for resale (alone or as a component) or other commercial purpose, requires a separate license from CST. Customer shall (a) not sell, license, loan, donate or otherwise transfer or make available any Product to any third party, whether alone or in combination with other materials, or use the Products to manufacture any commercial products, (b) not copy, modify, reverse engineer, decompile, disassemble or otherwise attempt to discover the underlying structure or technology of the Products, or use the Products for the purpose of developing any products or services that would compete with CST products or services, (c) not alter or remove from the Products any trademarks, trade names, logos, patent or copyright notices or markings, (d) use the Products solely in accordance with CST Product Terms of Sale and any applicable documentation, and (e) comply with any license, terms of service or similar agreement with respect to any third party products or services used by Customer in connection with the Products.

Orders: 877-616-CELL (2355) [email protected] Support: 877-678-TECH (8324) [email protected] Web: cellsignal.com
For Research Use Only. Not for Use in Diagnostic Procedures.

Revision 1

Cell Signaling Technology Logo
Western blot analysis of extracts from U-2 OS cells, untreated or synchronized in mitosis by thymidine block followed by release into nocodazole, using Phospho-TCTP (Ser46) Antibody.
Western Blotting Image 1: Phospho-TCTP (Ser46) Antibody
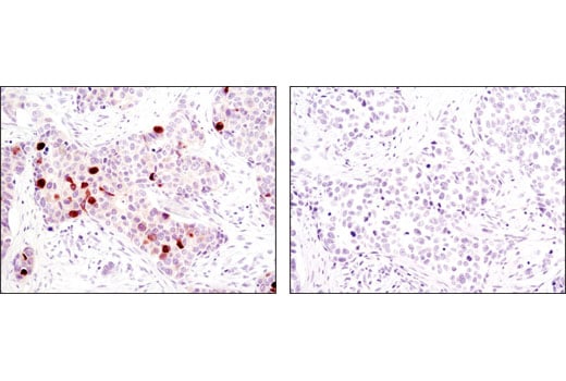
Immunohistochemical analysis of paraffin-embedded human breast carcinoma, control (left) or lambda-phosphatase-treated (right), using Phospho-TCTP (Ser46) Antibody.
Immunohistochemistry Image 1: Phospho-TCTP (Ser46) Antibody
Immunohistochemical analysis of paraffin-embedded HT-29 cell pellets, control (left) or nocodazole-treated (right), using Phospho-TCTP (Ser46) Antibody.
Immunohistochemistry Image 2: Phospho-TCTP (Ser46) Antibody
Orders: 877-616-CELL (2355) [email protected] Support: 877-678-TECH (8324) [email protected] Web: cellsignal.com
For Research Use Only. Not for Use in Diagnostic Procedures.

Revision 1

Cell Signaling Technology Logo
Confocal immunofluorescent analysis of U-2 OS cells using Phospho-TCTP1 (Ser46) Antibody (green). Actin filaments have been labeled with DY-554 phalloidin (red). Blue pseudocolor = DRAQ5® #4084 (fluorescent DNA dye).
Immunofluorescence Image 1: Phospho-TCTP (Ser46) Antibody
Flow cytometric analysis of Jurkat cells using Phospho-TCTP (Ser46) Antibody compared to propidium iodide (DNA content).
Flow Cytometry Image 1: Phospho-TCTP (Ser46) Antibody
Orders: 877-616-CELL (2355) [email protected] Support: 877-678-TECH (8324) [email protected] Web: cellsignal.com
For Research Use Only. Not for Use in Diagnostic Procedures.