Revision 4

#86843

Store at -20C

CST Logo
Orders:

877-616-CELL (2355)

[email protected]

Support:

877-678-TECH (8324)

3 Trask Lane | Danvers | Massachusetts | 01923 | USA

For Research Use Only. Not for Use in Diagnostic Procedures.

Applications:
W, IP

Reactivity:
H

Sensitivity:
Endogenous

MW (kDa):
70-80

Source/Isotype:
Rabbit

UniProt ID:
#P19484

Entrez-Gene Id:
7942

Product Usage Information

Application Dilution
Western Blotting 1:1000
Immunoprecipitation 1:200

Storage

Supplied in 10 mM sodium HEPES (pH 7.5), 150 mM NaCl, 100 µg/ml BSA and 50% glycerol. Store at –20°C. Do not aliquot the antibody.

Specificity/Sensitivity

Phospho-TFEB (Ser122) Antibody recognizes endogenous levels of TFEB protein only when phosphorylated at Ser122.

Species predicted to react based on 100% sequence homology

Mouse, Rat

Source / Purification

Polyclonal antibodies are produced by immunizing animals with a synthetic phosphopeptide corresponding to residues surrounding Ser122 of human TFEB protein. Antibodies are purified by peptide affinity chromatography.

Background

Transcription factor EB (TFEB) is a member of the Myc-related, bHLH leucine-zipper family of transcription factors that drives the expression of a network of genes known as the Coordinated Lysosomal Expression and Regulation (CLEAR) network (1,2). TFEB specifically recognizes and binds regulatory sequences within the CLEAR box (GTCACGTGAC) of lysosomal and autophagy genes, resulting in the upregulated expression of genes involved in lysosome biogenesis and function, and regulation of autophagy (1,2). TFEB is activated in response to nutrient deprivation, stimulating translocation to the nucleus where it forms homo- or heterooligomers with other members of the microphthalmia transcription factor (MiTF) subfamily and resulting in upregulation of autophagosomes and lysosomes (3-5). Recently, it has been shown that TFEB is a component of mammalian target of rapamycin (mTOR) complex 1 (mTORC1), which regulates the phosphorylation and nuclear translocation of TFEB in response to cellular starvation and stress (6-9). During normal growth conditions, TFEB is phosphorylated at Ser211 in an mTORC1-dependent manner. Phosphorylation promotes association of TFEB with 14-3-3 family proteins and retention in the cytosol. Inhibition of mTORC1 results in a loss of TFEB phosphorylation, dissociation of the TFEB/14-3-3 complex, and rapid transport of TFEB to the nucleus where it increases transcription of CLEAR and autophagy genes (10). TFEB has also been shown to be activated in a nutrient-dependent manner by p42 MAP kinase (Erk2). TFEB is phosphorylated at Ser142 by Erk2 in response to nutrient deprivation, resulting in nuclear localization and activation, and indicating that pathways other than mTOR contribute to nutrient sensing via TFEB (3).
Additional studies have also identified phosphorylation of TFEB at Ser122 that is dependent on mTORC1 (11).

Species Reactivity

Species reactivity is determined by testing in at least one approved application (e.g., western blot).

Western Blot Buffer

IMPORTANT: For western blots, incubate membrane with diluted primary antibody in 5% w/v BSA, 1X TBS, 0.1% Tween® 20 at 4°C with gentle shaking, overnight.

Applications Key

W: Western Blotting IP: Immunoprecipitation

Cross-Reactivity Key

H: Human

Trademarks and Patents

Cell Signaling Technology is a trademark of Cell Signaling Technology, Inc.

All other trademarks are the property of their respective owners. Visit cellsignal.com/trademarks for more information.

Limited Uses

Except as otherwise expressly agreed in a writing signed by a legally authorized representative of CST, the following terms apply to Products provided by CST, its affiliates or its distributors. Any Customer's terms and conditions that are in addition to, or different from, those contained herein, unless separately accepted in writing by a legally authorized representative of CST, are rejected and are of no force or effect.

Products are labeled with For Research Use Only or a similar labeling statement and have not been approved, cleared, or licensed by the FDA or other regulatory foreign or domestic entity, for any purpose. Customer shall not use any Product for any diagnostic or therapeutic purpose, or otherwise in any manner that conflicts with its labeling statement. Products sold or licensed by CST are provided for Customer as the end-user and solely for research and development uses. Any use of Product for diagnostic, prophylactic or therapeutic purposes, or any purchase of Product for resale (alone or as a component) or other commercial purpose, requires a separate license from CST. Customer shall (a) not sell, license, loan, donate or otherwise transfer or make available any Product to any third party, whether alone or in combination with other materials, or use the Products to manufacture any commercial products, (b) not copy, modify, reverse engineer, decompile, disassemble or otherwise attempt to discover the underlying structure or technology of the Products, or use the Products for the purpose of developing any products or services that would compete with CST products or services, (c) not alter or remove from the Products any trademarks, trade names, logos, patent or copyright notices or markings, (d) use the Products solely in accordance with CST Product Terms of Sale and any applicable documentation, and (e) comply with any license, terms of service or similar agreement with respect to any third party products or services used by Customer in connection with the Products.

Orders: 877-616-CELL (2355) [email protected] Support: 877-678-TECH (8324) [email protected] Web: cellsignal.com
For Research Use Only. Not for Use in Diagnostic Procedures.

Revision 4

Cell Signaling Technology Logo
Western blot analysis of extracts from GRANTA 519, REC-1, and Raji cells, untreated (-) or treated with Torin 1 #14379 (250 nM, 5 hr; +), using Phospho-TFEB (Ser122) Antibody (upper), TFEB (D2O7D) Rabbit mAb #37785 (middle), or β-Actin (D6A8) Rabbit mAb #8457 (lower).
Western Blotting Image 1: Phospho-TFEB (Ser122) Antibody
Western blot analysis of extracts from GRANTA 519 cells, untreated (-) or treated with calf intestinal phosphatase and Lambda phosphatase (CIP/λ phosphatase; +), using Phospho-TFEB (Ser122) Antibody (upper), TFEB (D2O7D) Rabbit mAb #37785 (middle), or β-Actin (D6A8) Rabbit mAb #8457 (lower).
Western Blotting Image 2: Phospho-TFEB (Ser122) Antibody
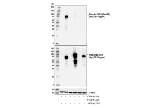
Western blot analysis of extracts from 293T cells, mock transfected (-) or transfected (+) with constructs expressing Myc/DDK-tagged full-length human TFEB protein (hTFEB-Myc/DDK), Myc/DDK-tagged full-length human TFE3 protein (hTFE3-Myc/DDK), and Myc/DDK-tagged full-length human MITF protein (hMITF-Myc/DDK), using Phospho-TFEB (Ser122) Antibody (upper), Myc-Tag (71D10) Rabbit Ab #2278 (middle), or β-Actin (D6A8) Rabbit mAb #8457 (lower).
Western Blotting Image 3: Phospho-TFEB (Ser122) Antibody
Orders: 877-616-CELL (2355) [email protected] Support: 877-678-TECH (8324) [email protected] Web: cellsignal.com
For Research Use Only. Not for Use in Diagnostic Procedures.

Revision 4

Cell Signaling Technology Logo
Immunoprecipitation of Phospho-TFEB (Ser122) protein from GRANTA 519 cell extracts. Lane 1 is 10% input, lane 2 is Normal Rabbit IgG #2729, and lane 3 is Phospho-TFEB (Ser122) Antibody. Western blot analysis was performed using Phospho-TFEB (Ser122) Antibody. Anti-rabbit IgG, HRP-linked Antibody #7074 was used as a secondary antibody.
Immunoprecipitation Image 1: Phospho-TFEB (Ser122) Antibody
Orders: 877-616-CELL (2355) [email protected] Support: 877-678-TECH (8324) [email protected] Web: cellsignal.com
For Research Use Only. Not for Use in Diagnostic Procedures.