Revision 1

#13041

Store at -20C

CST Logo
Orders:

877-616-CELL (2355)

[email protected]

Support:

877-678-TECH (8324)

3 Trask Lane | Danvers | Massachusetts | 01923 | USA

For Research Use Only. Not for Use in Diagnostic Procedures.

Applications:
W, IP, IHC-P

Reactivity:
M R

Sensitivity:
Endogenous

MW (kDa):
55-60

Source/Isotype:
Rabbit IgG

UniProt ID:
#P04177

Entrez-Gene Id:
25085

Product Usage Information

Application Dilution
Western Blotting 1:1000
Immunoprecipitation 1:50
Immunohistochemistry (Paraffin) 1:1600

Storage

Supplied in 10 mM sodium HEPES (pH 7.5), 150 mM NaCl, 100 µg/ml BSA, 50% glycerol and less than 0.02% sodium azide. Store at –20°C. Do not aliquot the antibody.

Specificity/Sensitivity

Phospho-Tyrosine Hydroxylase (Ser31) (D6I9V) Rabbit Monoclonal Antibody recognizes endogenous levels of tyrosine hydroxylase protein only when phosphorylated at Ser31.

Source / Purification

Monoclonal antibody is produced by immunizing animals with a synthetic phosphopeptide corresponding to residues surrounding Ser31 of rat tyrosine hydroxylase protein.

Background

Tyrosine hydroxylase (TH) catalyzes the rate-limiting step in the synthesis of the neurotransmitter dopamine and other catecholamines. TH functions as a tetramer, with each subunit composed of a regulatory and catalytic domain, and exists in several different isoforms (1,2). This enzyme is required for embryonic development since TH knockout mice die before or at birth (3). Levels of transcription, translation and post-translational modification regulate TH activity. The amino-terminal regulatory domain contains three serine residues: Ser9, Ser31, and Ser40. Phosphorylation at Ser40 by PKA positively regulates the catalytic activity of TH (4-6). Phosphorylation at Ser31 by CDK5 also increases the catalytic activity of TH through stabilization of TH protein levels (7-9).

Species Reactivity

Species reactivity is determined by testing in at least one approved application (e.g., western blot).

Western Blot Buffer

IMPORTANT: For western blots, incubate membrane with diluted primary antibody in 5% w/v BSA, 1X TBS, 0.1% Tween® 20 at 4°C with gentle shaking, overnight.

Applications Key

W: Western Blotting IP: Immunoprecipitation IHC-P: Immunohistochemistry (Paraffin)

Cross-Reactivity Key

M: Mouse R: Rat

Trademarks and Patents

Cell Signaling Technology is a trademark of Cell Signaling Technology, Inc.

All other trademarks are the property of their respective owners. Visit cellsignal.com/trademarks for more information.

Limited Uses

Except as otherwise expressly agreed in a writing signed by a legally authorized representative of CST, the following terms apply to Products provided by CST, its affiliates or its distributors. Any Customer's terms and conditions that are in addition to, or different from, those contained herein, unless separately accepted in writing by a legally authorized representative of CST, are rejected and are of no force or effect.

Products are labeled with For Research Use Only or a similar labeling statement and have not been approved, cleared, or licensed by the FDA or other regulatory foreign or domestic entity, for any purpose. Customer shall not use any Product for any diagnostic or therapeutic purpose, or otherwise in any manner that conflicts with its labeling statement. Products sold or licensed by CST are provided for Customer as the end-user and solely for research and development uses. Any use of Product for diagnostic, prophylactic or therapeutic purposes, or any purchase of Product for resale (alone or as a component) or other commercial purpose, requires a separate license from CST. Customer shall (a) not sell, license, loan, donate or otherwise transfer or make available any Product to any third party, whether alone or in combination with other materials, or use the Products to manufacture any commercial products, (b) not copy, modify, reverse engineer, decompile, disassemble or otherwise attempt to discover the underlying structure or technology of the Products, or use the Products for the purpose of developing any products or services that would compete with CST products or services, (c) not alter or remove from the Products any trademarks, trade names, logos, patent or copyright notices or markings, (d) use the Products solely in accordance with CST Product Terms of Sale and any applicable documentation, and (e) comply with any license, terms of service or similar agreement with respect to any third party products or services used by Customer in connection with the Products.

Orders: 877-616-CELL (2355) [email protected] Support: 877-678-TECH (8324) [email protected] Web: cellsignal.com
For Research Use Only. Not for Use in Diagnostic Procedures.

Revision 1

Cell Signaling Technology Logo
Western blot analysis of extracts from PC-12 cells, untreated (-) or treated with Roscovitine #9885 (20 μM, 16 hr; +), using Phospho-Tyrosine Hydroxylase (Ser31) (D6I9V) Rabbit mAb (upper) and Tyrosine Hydroxylase Antibody #2792 (lower).
Western Blotting Image 1: Phospho-Tyrosine Hydroxylase (Ser31) (D6I9V) Rabbit Monoclonal Antibody
Western blot analysis of extracts from PC-12 cells, untreated (-) or λ phosphatase-treated (+), using Phospho-Tyrosine Hydroxylase (Ser31) (D6I9V) Rabbit mAb (upper) and Tyrosine Hydroxylase Antibody #2792 (lower).
Western Blotting Image 2: Phospho-Tyrosine Hydroxylase (Ser31) (D6I9V) Rabbit Monoclonal Antibody
Immunoprecipitation of phospho-tyrosine hydroxylase (Ser31) from mouse brain cell extracts using Rabbit (DA1E) mAb IgG XP® Isotype Control #3900 (lane 2) or Phospho-Tyrosine Hydroxylase (Ser31) (D6I9V) Rabbit mAb (lane 3). Lane 1 is 10% input. Western blot analysis was performed using Phospho-Tyrosine Hydroxylase (Ser31) (D6I9V) Rabbit mAb.
Immunoprecipitation Image 1: Phospho-Tyrosine Hydroxylase (Ser31) (D6I9V) Rabbit Monoclonal Antibody
Orders: 877-616-CELL (2355) [email protected] Support: 877-678-TECH (8324) [email protected] Web: cellsignal.com
For Research Use Only. Not for Use in Diagnostic Procedures.

Revision 1

Cell Signaling Technology Logo
Immunohistochemical analysis of paraffin-embedded mouse brain using Phospho-Tyrosine Hydroxylase (Ser31) (D6I9V) Rabbit mAb.
Immunohistochemistry Image 1: Phospho-Tyrosine Hydroxylase (Ser31) (D6I9V) Rabbit Monoclonal Antibody
Immunohistochemical analysis of paraffin-embedded mouse brain, control (left) or λ phosphatase-treated (right), using Phospho-Tyrosine Hydroxylase (Ser31) (D6I9V) Rabbit mAb.
Immunohistochemistry Image 2: Phospho-Tyrosine Hydroxylase (Ser31) (D6I9V) Rabbit Monoclonal Antibody
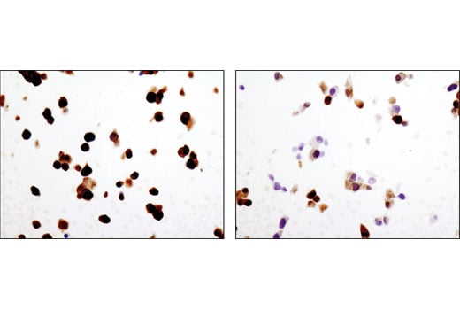
Immunohistochemical analysis of paraffin-embedded PC-12 cell pellets, control (left) or roscovitine and U0126-treated (right), using Phospho-Tyrosine Hydroxylase (Ser31) (D6I9V) Rabbit mAb.
Immunohistochemistry Image 3: Phospho-Tyrosine Hydroxylase (Ser31) (D6I9V) Rabbit Monoclonal Antibody
Orders: 877-616-CELL (2355) [email protected] Support: 877-678-TECH (8324) [email protected] Web: cellsignal.com
For Research Use Only. Not for Use in Diagnostic Procedures.