Revision 4

#80379

Store at -20C

CST Logo
Orders:

877-616-CELL (2355)

[email protected]

Support:

877-678-TECH (8324)

3 Trask Lane | Danvers | Massachusetts | 01923 | USA

For Research Use Only. Not for Use in Diagnostic Procedures.

Applications:
W, IHC-P, IF-F, IF-IC, FC-FP, E-P, ELISA

Reactivity:
H M R All

Sensitivity:
Endogenous

Source/Isotype:
Mouse IgG1

Product Usage Information

This product is the carrier free version of product #9411. All data were generated using the same antibody clone in the standard formulation which contains BSA and glycerol.

This formulation is ideal for use with technologies requiring specialized or custom antibody labeling, including fluorophores, metals, lanthanides, and oligonucleotides. It is not recommended for ChIP, ChIP-seq, CUT&RUN or CUT&Tag assays. If you require a carrier free formulation for chromatin profiling, please contact us. Optimal dilutions/concentrations should be determined by the end user.

BSA and Azide Free antibodies are quality control tested by size exclusion chromatography (SEC) to determine antibody integrity.

Formulation

Supplied in 1X PBS (10 mM Na2HPO4, 3 mM KCl, 2 mM KH2PO4, and 140 mM NaCl (pH 7.8)). BSA and Azide Free.

For standard formulation of this product see product #9411

Storage

Store at -20°C. This product will freeze at -20°C so it is recommended to aliquot into single-use vials to avoid multiple freeze/thaw cycles. A slight precipitate may be present and can be dissolved by gently vortexing. This will not interfere with antibody performance.

Specificity/Sensitivity

Phospho-Tyrosine Mouse Monoclonal Antibody (P-Tyr-100) (BSA and Azide Free) is a high affinity antibody. ELISAs against a wide variety of phosphopeptides indicate that P-Tyr-100 binds phospho-Tyr in a manner largely independent of the surrounding amino acid sequence. 2D gel Western blot analysis of pervanadate-treated cell extracts also shows that P-Tyr-100 interacts with a broad range of tyrosine-phosphorylated proteins. P-Tyr-100 does not cross-react with peptides containing phospho-Ser or phospho-Thr.

Source / Purification

Monoclonal antibody is produced by immunizing animals with phospho-tyrosine containing peptides .

Background

Tyrosine phosphorylation plays a key role in cellular signaling (1). Research studies have shown that in cancer, unregulated tyrosine kinase activity can drive malignancy and tumor formation by generating inappropriate proliferation and survival signals (2). Antibodies specific for phospho-tyrosine (3,4) have been invaluable reagents in these studies. The phospho-tyrosine monoclonal antibodies developed by Cell Signaling Technology are exceptionally sensitive tools for studying tyrosine phosphorylation and monitoring tyrosine kinase activity in high throughput drug discovery.

Species Reactivity

Species reactivity is determined by testing in at least one approved application (e.g., western blot).

Applications Key

W: Western Blotting IHC-P: Immunohistochemistry (Paraffin) IF-F: Immunofluorescence (Frozen) IF-IC: Immunofluorescence (Immunocytochemistry) FC-FP: Flow Cytometry (Fixed/Permeabilized) E-P: Peptide ELISA (DELFIA) ELISA: ELISA

Cross-Reactivity Key

H: Human M: Mouse R: Rat All: All Species Expected

Trademarks and Patents

Cell Signaling Technology is a trademark of Cell Signaling Technology, Inc.

All other trademarks are the property of their respective owners. Visit cellsignal.com/trademarks for more information.

Limited Uses

Except as otherwise expressly agreed in a writing signed by a legally authorized representative of CST, the following terms apply to Products provided by CST, its affiliates or its distributors. Any Customer's terms and conditions that are in addition to, or different from, those contained herein, unless separately accepted in writing by a legally authorized representative of CST, are rejected and are of no force or effect.

Products are labeled with For Research Use Only or a similar labeling statement and have not been approved, cleared, or licensed by the FDA or other regulatory foreign or domestic entity, for any purpose. Customer shall not use any Product for any diagnostic or therapeutic purpose, or otherwise in any manner that conflicts with its labeling statement. Products sold or licensed by CST are provided for Customer as the end-user and solely for research and development uses. Any use of Product for diagnostic, prophylactic or therapeutic purposes, or any purchase of Product for resale (alone or as a component) or other commercial purpose, requires a separate license from CST. Customer shall (a) not sell, license, loan, donate or otherwise transfer or make available any Product to any third party, whether alone or in combination with other materials, or use the Products to manufacture any commercial products, (b) not copy, modify, reverse engineer, decompile, disassemble or otherwise attempt to discover the underlying structure or technology of the Products, or use the Products for the purpose of developing any products or services that would compete with CST products or services, (c) not alter or remove from the Products any trademarks, trade names, logos, patent or copyright notices or markings, (d) use the Products solely in accordance with CST Product Terms of Sale and any applicable documentation, and (e) comply with any license, terms of service or similar agreement with respect to any third party products or services used by Customer in connection with the Products.

Orders: 877-616-CELL (2355) [email protected] Support: 877-678-TECH (8324) [email protected] Web: cellsignal.com
For Research Use Only. Not for Use in Diagnostic Procedures.

Revision 4

Cell Signaling Technology Logo
Western blot analysis of extracts from Jurkat cells treated with 1 mM pervanadate for 30 minutes prior to lysis, using P-Tyr-100 Phospho-Tyrosine Mouse mAb. Proteins were separated by 2-D electrophoresis prior to blotting. Data were generated using the standard formulation of this product.
Western Blotting Image 1: Phospho-Tyrosine Mouse Monoclonal Antibody (P-Tyr-100) (BSA and Azide Free)
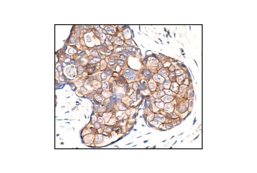
Immunohistochemical analysis of paraffin-embedded human breast carcinoma using Phospho-Tyrosine Mouse mAb (P-Tyr-100). Data were generated using the standard formulation of this product.
Immunohistochemistry Image 1: Phospho-Tyrosine Mouse Monoclonal Antibody (P-Tyr-100) (BSA and Azide Free)
Immunohistochemical analysis of paraffin-embedded human lung carcinoma using Phospho-Tyrosine Mouse mAb (P-Tyr-100). Data were generated using the standard formulation of this product.
Immunohistochemistry Image 2: Phospho-Tyrosine Mouse Monoclonal Antibody (P-Tyr-100) (BSA and Azide Free)
Orders: 877-616-CELL (2355) [email protected] Support: 877-678-TECH (8324) [email protected] Web: cellsignal.com
For Research Use Only. Not for Use in Diagnostic Procedures.

Revision 4

Cell Signaling Technology Logo
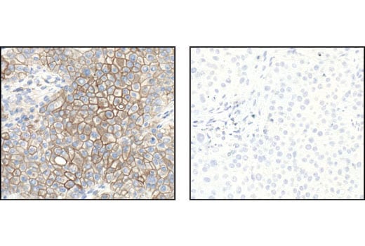
Immunohistochemical analysis of paraffin-embedded NCI-H1650 xenograft untreated (left) or lambda-phosphatase-treated (right), using Phospho-Tyrosine Mouse mAb (P-Tyr-100). Data were generated using the standard formulation of this product.
Immunohistochemistry Image 3: Phospho-Tyrosine Mouse Monoclonal Antibody (P-Tyr-100) (BSA and Azide Free)
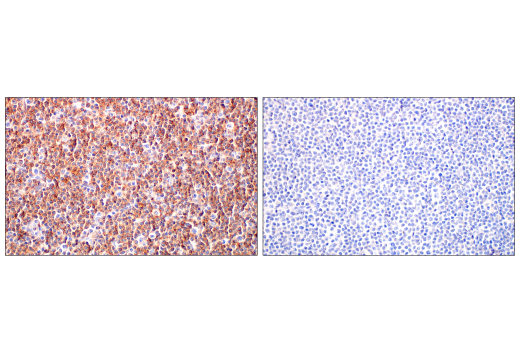
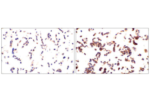
Immunohistochemical analysis of paraffin-embedded human B-cell non-Hodgkin lymphoma, untreated (left) or lambda phosphatase treated (right), using Phospho-Tyrosine Mouse mAb (P-Tyr-100). Data were generated using the standard formulation of this product.
Immunohistochemistry Image 4: Phospho-Tyrosine Mouse Monoclonal Antibody (P-Tyr-100) (BSA and Azide Free)
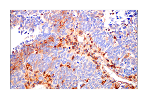
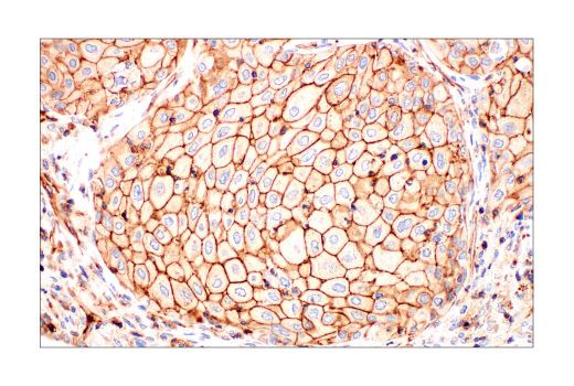
Immunohistochemical analysis of paraffin-embedded human squamous cell lung carcinoma using Phospho-Tyrosine Mouse mAb (P-Tyr-100). Data were generated using the standard formulation of this product.
Immunohistochemistry Image 5: Phospho-Tyrosine Mouse Monoclonal Antibody (P-Tyr-100) (BSA and Azide Free)
Orders: 877-616-CELL (2355) [email protected] Support: 877-678-TECH (8324) [email protected] Web: cellsignal.com
For Research Use Only. Not for Use in Diagnostic Procedures.

Revision 4

Cell Signaling Technology Logo
Immunohistochemical analysis using Phospho-Tyrosine Mouse mAb (P-Tyr-100) on SignalSlide™ Phospho-EGF Receptor IHC Controls #8102 (paraffin-embedded KYSE450 cell pellets, untreated (left) or EGF-treated (right)). Data were generated using the standard formulation of this product.
Immunohistochemistry Image 6: Phospho-Tyrosine Mouse Monoclonal Antibody (P-Tyr-100) (BSA and Azide Free)
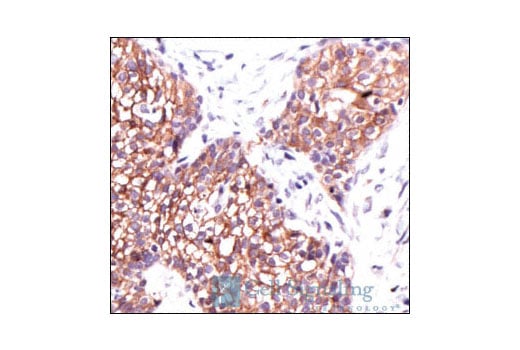
Immunohistochemical analysis of paraffin-embedded human soft tissue squamous cell carcinoma using Phospho-Tyrosine Mouse mAb (P-Tyr-100). Data were generated using the standard formulation of this product.
Immunohistochemistry Image 7: Phospho-Tyrosine Mouse Monoclonal Antibody (P-Tyr-100) (BSA and Azide Free)
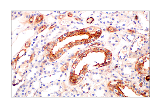
Immunohistochemical analysis of paraffin-embedded normal human kidney using Phospho-Tyrosine Mouse mAb (P-Tyr-100). Data were generated using the standard formulation of this product.
Immunohistochemistry Image 8: Phospho-Tyrosine Mouse Monoclonal Antibody (P-Tyr-100) (BSA and Azide Free)
Orders: 877-616-CELL (2355) [email protected] Support: 877-678-TECH (8324) [email protected] Web: cellsignal.com
For Research Use Only. Not for Use in Diagnostic Procedures.

Revision 4

Cell Signaling Technology Logo
Immunohistochemical analysis of paraffin-embedded normal human lung using Phospho-Tyrosine Mouse mAb (P-Tyr-100). Data were generated using the standard formulation of this product.
Immunohistochemistry Image 9: Phospho-Tyrosine Mouse Monoclonal Antibody (P-Tyr-100) (BSA and Azide Free)
Immunohistochemical analysis of paraffin-embedded NCI-H1650 xenograft using Phospho-Tyrosine Mouse mAb (P-Tyr-100). Data were generated using the standard formulation of this product.
Immunohistochemistry Image 10: Phospho-Tyrosine Mouse Monoclonal Antibody (P-Tyr-100) (BSA and Azide Free)
Immunofluorescent analysis of Swiss NIH/3T3 cells, serum-starved and stimulated with lysophosphatidic acid (LPA) (10 µM for 10 minutes) and fixed with PFA, using Phospho-Tyrosine Mouse mAb (P-Tyr-100) (red) and phalloidin for F-actin (green) LPA causes heavy tyrosine phosphorylation of proteins in focal adhesions, present at the tips of actin stress fibers. (Provided by Dr. Harry Mellor, University of Bristol.) Data were generated using the standard formulation of this product.
Immunofluorescence Image 1: Phospho-Tyrosine Mouse Monoclonal Antibody (P-Tyr-100) (BSA and Azide Free)
Orders: 877-616-CELL (2355) [email protected] Support: 877-678-TECH (8324) [email protected] Web: cellsignal.com
For Research Use Only. Not for Use in Diagnostic Procedures.

Revision 4

Cell Signaling Technology Logo
Confocal immunofluorescence analysis of HeLa cells either stimulated with 20% serum (left) or untreated (right), using Phospho-Tyrosine Mouse mAb (P-Tyr-100) (red). Actin filaments have been labeled with fluorescein phalloidin. Blue pseudocolor = DRAQ5® (fluorescent DNA dye). Data were generated using the standard formulation of this product.
Immunofluorescence Image 2: Phospho-Tyrosine Mouse Monoclonal Antibody (P-Tyr-100) (BSA and Azide Free)
Flow cytometric analysis of K562 cells, untreated (green) or Gleevec®- treated (blue), using Phospho-Tyrosine Mouse mAb (P-Tyr-100) compared to a nonspecific negative control antibody (red). Data were generated using the standard formulation of this product.
Flow Cytometry Image 1: Phospho-Tyrosine Mouse Monoclonal Antibody (P-Tyr-100) (BSA and Azide Free)
Phospho-Tyrosine Mouse mAb (P-Tyr-100) (HRP Conjugate) ELISA Assay: Signal-to-noise ratio of phospho- versus nonphospho-peptides. (Y* denotes phosphorylated tyrosine.) Data were generated using the standard formulation of this product.
E Image 1: Phospho-Tyrosine Mouse Monoclonal Antibody (P-Tyr-100) (BSA and Azide Free)
Orders: 877-616-CELL (2355) [email protected] Support: 877-678-TECH (8324) [email protected] Web: cellsignal.com
For Research Use Only. Not for Use in Diagnostic Procedures.

Revision 4

Cell Signaling Technology Logo
Data using Phospho-CSF-1R/M-CSF-R (panTyr) Matched Antibody Pair #20323 are shown. The two antibodies function as a capture-target-detection sandwich (#10131 and #80379, respectively) to detect endogenous protein expression in positive and negative controls.
ELISA Image 1: Phospho-Tyrosine Mouse Monoclonal Antibody (P-Tyr-100) (BSA and Azide Free)
Data using Phospho-c-Kit (panTyr) Matched Antibody Pair #26936 are shown. The two antibodies function as a capture-target-detection sandwich (#62379 and #80379, respectively) to detect endogenous protein expression in positive and negative controls.
ELISA Image 2: Phospho-Tyrosine Mouse Monoclonal Antibody (P-Tyr-100) (BSA and Azide Free)
Data using Phospho-IRS-1 (panTyr) Matched Antibody Pair #42612 are shown. The two antibodies function as a capture-target-detection sandwich (#92818 and #80379, respectively) to detect endogenous protein expression in positive and negative controls.
ELISA Image 3: Phospho-Tyrosine Mouse Monoclonal Antibody (P-Tyr-100) (BSA and Azide Free)
Orders: 877-616-CELL (2355) [email protected] Support: 877-678-TECH (8324) [email protected] Web: cellsignal.com
For Research Use Only. Not for Use in Diagnostic Procedures.

Revision 4

Cell Signaling Technology Logo
Data using Phospho-PDGF Receptor α/β (panTyr) Matched Antibody Pair #73842 are shown. The two antibodies function as a capture-target-detection sandwich (#32641 and #80379, respectively) to detect endogenous protein expression in positive and negative controls.
ELISA Image 4: Phospho-Tyrosine Mouse Monoclonal Antibody (P-Tyr-100) (BSA and Azide Free)
Data using Phospho-Syk (panTyr) Matched Antibody Pair #82871 are shown. The two antibodies function as a capture-target-detection sandwich (#27543 and #80379, respectively) to detect endogenous protein expression in positive and negative controls.
ELISA Image 5: Phospho-Tyrosine Mouse Monoclonal Antibody (P-Tyr-100) (BSA and Azide Free)
Orders: 877-616-CELL (2355) [email protected] Support: 877-678-TECH (8324) [email protected] Web: cellsignal.com
For Research Use Only. Not for Use in Diagnostic Procedures.