Revision 6

#9411

Store at -20C

CST Logo
Orders:

877-616-CELL (2355)

[email protected]

Support:

877-678-TECH (8324)

3 Trask Lane | Danvers | Massachusetts | 01923 | USA

For Research Use Only. Not for Use in Diagnostic Procedures.

Applications:
W, IP, IHC-P, IF-F, IF-IC, FC-FP, E-P

Reactivity:
All

Sensitivity:
Endogenous

Source/Isotype:
Mouse IgG1

Product Usage Information

The phosphorylated form of the peptide can be detected with Phospho-Tyrosine Mouse Monoclonal Antibody (P-Tyr-100) #9411. Sample kinase protocol is attached.
Application Dilution
Western Blotting 1:2000
Immunoprecipitation 1:100
Immunohistochemistry (Paraffin) 1:2400 - 1:9600
Immunofluorescence (Frozen) 1:1600 - 1:3200
Immunofluorescence (Immunocytochemistry) 1:1600 - 1:3200
Flow Cytometry (Fixed/Permeabilized) 1:1600 - 1:6400
Peptide ELISA (DELFIA) 1:4000

Storage

Supplied in 10 mM sodium HEPES (pH 7.5), 150 mM NaCl, 100 µg/ml BSA, 50% glycerol and less than 0.02% sodium azide. Store at –20°C. Do not aliquot the antibody.

For a carrier free (BSA and azide free) version of this product see product #80379.

Specificity/Sensitivity

Phospho-Tyrosine Mouse Monoclonal Antibody (P-Tyr-100) is a high affinity antibody. ELISAs against a wide variety of phosphopeptides indicate that P-Tyr-100 binds phospho-Tyr in a manner largely independent of the surrounding amino acid sequence. 2D gel Western blot analysis of pervanadate-treated cell extracts also shows that P-Tyr-100 interacts with a broad range of tyrosine-phosphorylated proteins. P-Tyr-100 does not cross-react with peptides containing phospho-Ser or phospho-Thr.

Source / Purification

Monoclonal antibody is produced by immunizing animals with phospho-tyrosine containing peptides .

Background

Tyrosine phosphorylation plays a key role in cellular signaling (1). Research studies have shown that in cancer, unregulated tyrosine kinase activity can drive malignancy and tumor formation by generating inappropriate proliferation and survival signals (2). Antibodies specific for phospho-tyrosine (3,4) have been invaluable reagents in these studies. The phospho-tyrosine monoclonal antibodies developed by Cell Signaling Technology are exceptionally sensitive tools for studying tyrosine phosphorylation and monitoring tyrosine kinase activity in high throughput drug discovery.

Species Reactivity

Species reactivity is determined by testing in at least one approved application (e.g., western blot).

Western Blot Buffer

IMPORTANT: For western blots, incubate membrane with diluted primary antibody in 5% w/v BSA, 1X TBS, 0.1% Tween® 20 at 4°C with gentle shaking, overnight.

Applications Key

W: Western Blotting IP: Immunoprecipitation IHC-P: Immunohistochemistry (Paraffin) IF-F: Immunofluorescence (Frozen) IF-IC: Immunofluorescence (Immunocytochemistry) FC-FP: Flow Cytometry (Fixed/Permeabilized) E-P: Peptide ELISA (DELFIA)

Cross-Reactivity Key

All: All Species Expected

Trademarks and Patents

Cell Signaling Technology is a trademark of Cell Signaling Technology, Inc.

All other trademarks are the property of their respective owners. Visit cellsignal.com/trademarks for more information.

Limited Uses

Except as otherwise expressly agreed in a writing signed by a legally authorized representative of CST, the following terms apply to Products provided by CST, its affiliates or its distributors. Any Customer's terms and conditions that are in addition to, or different from, those contained herein, unless separately accepted in writing by a legally authorized representative of CST, are rejected and are of no force or effect.

Products are labeled with For Research Use Only or a similar labeling statement and have not been approved, cleared, or licensed by the FDA or other regulatory foreign or domestic entity, for any purpose. Customer shall not use any Product for any diagnostic or therapeutic purpose, or otherwise in any manner that conflicts with its labeling statement. Products sold or licensed by CST are provided for Customer as the end-user and solely for research and development uses. Any use of Product for diagnostic, prophylactic or therapeutic purposes, or any purchase of Product for resale (alone or as a component) or other commercial purpose, requires a separate license from CST. Customer shall (a) not sell, license, loan, donate or otherwise transfer or make available any Product to any third party, whether alone or in combination with other materials, or use the Products to manufacture any commercial products, (b) not copy, modify, reverse engineer, decompile, disassemble or otherwise attempt to discover the underlying structure or technology of the Products, or use the Products for the purpose of developing any products or services that would compete with CST products or services, (c) not alter or remove from the Products any trademarks, trade names, logos, patent or copyright notices or markings, (d) use the Products solely in accordance with CST Product Terms of Sale and any applicable documentation, and (e) comply with any license, terms of service or similar agreement with respect to any third party products or services used by Customer in connection with the Products.

Orders: 877-616-CELL (2355) [email protected] Support: 877-678-TECH (8324) [email protected] Web: cellsignal.com
For Research Use Only. Not for Use in Diagnostic Procedures.

Revision 6

Cell Signaling Technology Logo
Western blot analysis of extracts from Jurkat cells treated with 1 mM pervanadate for 30 minutes prior to lysis, using P-Tyr-100 Phospho-Tyrosine Mouse mAb. Proteins were separated by 2-D electrophoresis prior to blotting.
Western Blotting Image 1: Phospho-Tyrosine Mouse Monoclonal Antibody (P-Tyr-100)
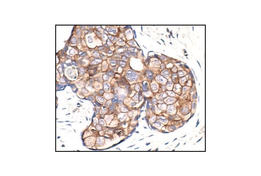
Immunohistochemical analysis of paraffin-embedded human breast carcinoma using Phospho-Tyrosine Mouse mAb (P-Tyr-100).
Immunohistochemistry Image 1: Phospho-Tyrosine Mouse Monoclonal Antibody (P-Tyr-100)
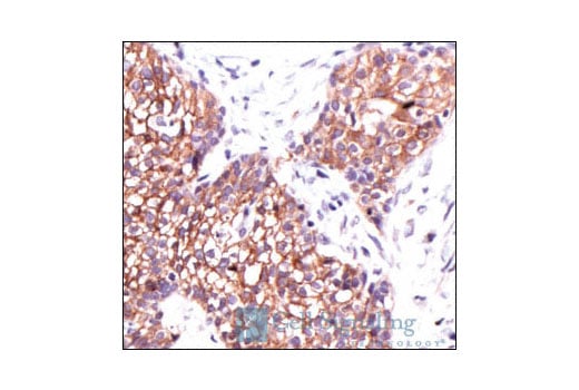
Immunohistochemical analysis of paraffin-embedded human lung carcinoma using Phospho-Tyrosine Mouse mAb (P-Tyr-100).
Immunohistochemistry Image 2: Phospho-Tyrosine Mouse Monoclonal Antibody (P-Tyr-100)
Orders: 877-616-CELL (2355) [email protected] Support: 877-678-TECH (8324) [email protected] Web: cellsignal.com
For Research Use Only. Not for Use in Diagnostic Procedures.

Revision 6

Cell Signaling Technology Logo
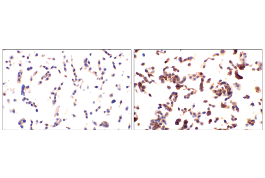
Immunohistochemical analysis of paraffin-embedded NCI-H1650 xenograft untreated (left) or lambda-phosphatase-treated (right), using Phospho-Tyrosine Mouse mAb (P-Tyr-100).
Immunohistochemistry Image 3: Phospho-Tyrosine Mouse Monoclonal Antibody (P-Tyr-100)
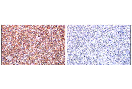
Immunohistochemical analysis of paraffin-embedded human B-cell non-Hodgkin lymphoma, untreated (left) or lambda phosphatase treated (right), using Phospho-Tyrosine Mouse mAb (P-Tyr-100).
Immunohistochemistry Image 4: Phospho-Tyrosine Mouse Monoclonal Antibody (P-Tyr-100)
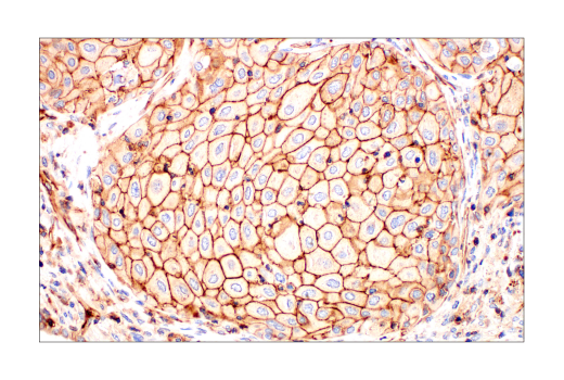
Immunohistochemical analysis of paraffin-embedded human squamous cell lung carcinoma using Phospho-Tyrosine Mouse mAb (P-Tyr-100).
Immunohistochemistry Image 5: Phospho-Tyrosine Mouse Monoclonal Antibody (P-Tyr-100)
Orders: 877-616-CELL (2355) [email protected] Support: 877-678-TECH (8324) [email protected] Web: cellsignal.com
For Research Use Only. Not for Use in Diagnostic Procedures.

Revision 6

Cell Signaling Technology Logo
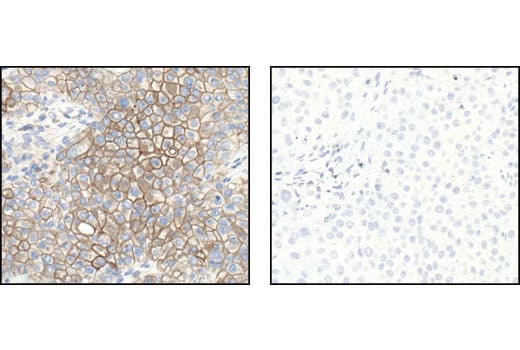
Immunohistochemical analysis using Phospho-Tyrosine Mouse mAb (P-Tyr-100) on SignalSlide™ Phospho-EGF Receptor IHC Controls #8102 (paraffin-embedded KYSE450 cell pellets, untreated (left) or EGF-treated (right)).
Immunohistochemistry Image 6: Phospho-Tyrosine Mouse Monoclonal Antibody (P-Tyr-100)
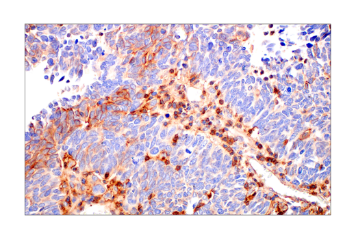
Immunohistochemical analysis of paraffin-embedded human soft tissue squamous cell carcinoma using Phospho-Tyrosine Mouse mAb (P-Tyr-100).
Immunohistochemistry Image 7: Phospho-Tyrosine Mouse Monoclonal Antibody (P-Tyr-100)
Immunohistochemical analysis of paraffin-embedded normal human kidney using Phospho-Tyrosine Mouse mAb (P-Tyr-100).
Immunohistochemistry Image 8: Phospho-Tyrosine Mouse Monoclonal Antibody (P-Tyr-100)
Orders: 877-616-CELL (2355) [email protected] Support: 877-678-TECH (8324) [email protected] Web: cellsignal.com
For Research Use Only. Not for Use in Diagnostic Procedures.

Revision 6

Cell Signaling Technology Logo
Immunohistochemical analysis of paraffin-embedded normal human lung using Phospho-Tyrosine Mouse mAb (P-Tyr-100).
Immunohistochemistry Image 9: Phospho-Tyrosine Mouse Monoclonal Antibody (P-Tyr-100)
Immunohistochemical analysis of paraffin-embedded NCI-H1650 xenograft using Phospho-Tyrosine Mouse mAb (P-Tyr-100).
Immunohistochemistry Image 10: Phospho-Tyrosine Mouse Monoclonal Antibody (P-Tyr-100)
Immunofluorescent analysis of Swiss NIH/3T3 cells, serum-starved and stimulated with lysophosphatidic acid (LPA) (10 µM for 10 minutes) and fixed with PFA, using Phospho-Tyrosine Mouse mAb (P-Tyr-100) (red) and phalloidin for F-actin (green) LPA causes heavy tyrosine phosphorylation of proteins in focal adhesions, present at the tips of actin stress fibers. (Provided by Dr. Harry Mellor, University of Bristol.)
Immunofluorescence Image 1: Phospho-Tyrosine Mouse Monoclonal Antibody (P-Tyr-100)
Orders: 877-616-CELL (2355) [email protected] Support: 877-678-TECH (8324) [email protected] Web: cellsignal.com
For Research Use Only. Not for Use in Diagnostic Procedures.

Revision 6

Cell Signaling Technology Logo
Confocal immunofluorescence analysis of HeLa cells either stimulated with 20% serum (left) or untreated (right), using Phospho-Tyrosine Mouse mAb (P-Tyr-100) (red). Actin filaments have been labeled with fluorescein phalloidin. Blue pseudocolor = DRAQ5® (fluorescent DNA dye).
Immunofluorescence Image 2: Phospho-Tyrosine Mouse Monoclonal Antibody (P-Tyr-100)
Flow cytometric analysis of K562 cells, untreated (green) or Gleevec®- treated (blue), using Phospho-Tyrosine Mouse mAb (P-Tyr-100) compared to a nonspecific negative control antibody (red).
Flow Cytometry Image 1: Phospho-Tyrosine Mouse Monoclonal Antibody (P-Tyr-100)
Phospho-Tyrosine Mouse mAb (P-Tyr-100) (HRP Conjugate) ELISA Assay: Signal-to-noise ratio of phospho- versus nonphospho-peptides. (Y* denotes phosphorylated tyrosine.)
E Image 1: Phospho-Tyrosine Mouse Monoclonal Antibody (P-Tyr-100)
Orders: 877-616-CELL (2355) [email protected] Support: 877-678-TECH (8324) [email protected] Web: cellsignal.com
For Research Use Only. Not for Use in Diagnostic Procedures.