Revision 5

#5869

Store at -20C

CST Logo
Orders:

877-616-CELL (2355)

[email protected]

Support:

877-678-TECH (8324)

3 Trask Lane | Danvers | Massachusetts | 01923 | USA

For Research Use Only. Not for Use in Diagnostic Procedures.

Applications:
W, IP

Reactivity:
H M

Sensitivity:
Endogenous

MW (kDa):
140-150

Source/Isotype:
Rabbit IgG

UniProt ID:
#O75385

Entrez-Gene Id:
8408

Product Usage Information

Application Dilution
Western Blotting 1:1000
Immunoprecipitation 1:100

Storage

Supplied in 10 mM sodium HEPES (pH 7.5), 150 mM NaCl, 100 µg/ml BSA, 50% glycerol and less than 0.02% sodium azide. Store at –20°C. Do not aliquot the antibody.

Specificity/Sensitivity

Phospho-ULK1 (Ser555) (D1H4) Rabbit Monoclonal Antibody detects endogenous levels of ULK1 only when phosphorylated at Ser555 of mouse ULK1 (equivalent to Ser556 of human ULK1). Bands of unknown origin are detected between 90 and 100 kDa.

Species predicted to react based on 100% sequence homology

Rat

Source / Purification

Monoclonal antibody is produced by immunizing animals with a synthetic phosphopeptide corresponding to residues surrounding Ser555 of mouse ULK1 protein (equivalent to Ser556 of human ULK1).

Background

Two related serine/threonine kinases, UNC-51-like kinase 1 and 2 (ULK1, ULK2), were discovered as mammalian homologs of the C. elegans gene unc-51 in which mutants exhibited abnormal axonal extension and growth (1-4). Both proteins are widely expressed and contain an amino-terminal kinase domain followed by a central proline/serine rich domain and a highly conserved carboxy-terminal domain. The roles of ULK1 and ULK2 in axon growth have been linked to studies showing that the kinases are localized to neuronal growth cones and are involved in endocytosis of critical growth factors, such as NGF (5). Yeast two-hybrid studies found ULK1/2 associated with modulators of the endocytic pathway, SynGAP, and syntenin (6). Structural similarity of ULK1/2 has also been recognized with the yeast autophagy protein Atg1/Apg1 (7). Knockdown experiments using siRNA demonstrated that ULK1 is essential for autophagy (8), a catabolic process for the degradation of bulk cytoplasmic contents (9,10). It appears that Atg1/ULK1 can act as a convergence point for multiple signals that control autophagy (11), and can bind to several autophagy-related (Atg) proteins, regulating phosphorylation states and protein trafficking (12-16).~Phosphorylation of ULK1 by AMPK at Ser555 is critical for starvation-induced autophagy, cell survival under conditions of low nutrients and energy, and mitochondiral homeostasis (17).

Species Reactivity

Species reactivity is determined by testing in at least one approved application (e.g., western blot).

Western Blot Buffer

IMPORTANT: For western blots, incubate membrane with diluted primary antibody in 5% w/v BSA, 1X TBS, 0.1% Tween® 20 at 4°C with gentle shaking, overnight.

Applications Key

W: Western Blotting IP: Immunoprecipitation

Cross-Reactivity Key

H: Human M: Mouse

Trademarks and Patents

Cell Signaling Technology is a trademark of Cell Signaling Technology, Inc.

All other trademarks are the property of their respective owners. Visit cellsignal.com/trademarks for more information.

Limited Uses

Except as otherwise expressly agreed in a writing signed by a legally authorized representative of CST, the following terms apply to Products provided by CST, its affiliates or its distributors. Any Customer's terms and conditions that are in addition to, or different from, those contained herein, unless separately accepted in writing by a legally authorized representative of CST, are rejected and are of no force or effect.

Products are labeled with For Research Use Only or a similar labeling statement and have not been approved, cleared, or licensed by the FDA or other regulatory foreign or domestic entity, for any purpose. Customer shall not use any Product for any diagnostic or therapeutic purpose, or otherwise in any manner that conflicts with its labeling statement. Products sold or licensed by CST are provided for Customer as the end-user and solely for research and development uses. Any use of Product for diagnostic, prophylactic or therapeutic purposes, or any purchase of Product for resale (alone or as a component) or other commercial purpose, requires a separate license from CST. Customer shall (a) not sell, license, loan, donate or otherwise transfer or make available any Product to any third party, whether alone or in combination with other materials, or use the Products to manufacture any commercial products, (b) not copy, modify, reverse engineer, decompile, disassemble or otherwise attempt to discover the underlying structure or technology of the Products, or use the Products for the purpose of developing any products or services that would compete with CST products or services, (c) not alter or remove from the Products any trademarks, trade names, logos, patent or copyright notices or markings, (d) use the Products solely in accordance with CST Product Terms of Sale and any applicable documentation, and (e) comply with any license, terms of service or similar agreement with respect to any third party products or services used by Customer in connection with the Products.

Orders: 877-616-CELL (2355) [email protected] Support: 877-678-TECH (8324) [email protected] Web: cellsignal.com
For Research Use Only. Not for Use in Diagnostic Procedures.

Revision 5

Cell Signaling Technology Logo
Western blot analysis of extracts from control U-2 OS cells or CRISPR/Cas9 ULK1 knockout (KO) U-2 OS cells, untreated (-) or treated with AMPK Activator 991 (50 μM, 1 hr; +) using Phospho-ULK1 (Ser555) (D1H4) Rabbit mAb (upper), ULK1 (D8H5) Rabbit mAb #8054 (middle), or GAPDH (D16H11) XP® Rabbit mAb #5174 (lower). The absence of signal in ULK1 KO cells confirms the specificity of the antibodies for ULK1. ULK1 knockout cells were kindly provided by Dr. Reuben Shaw, Salk Institute for Biological Studies, La Jolla, CA.
Western Blotting Image 1: Phospho-ULK1 (Ser555) (D1H4) Rabbit Monoclonal Antibody
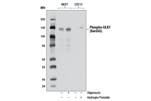
Western blot analysis of extracts from MCF7 cells, untreated or treated with oligomycin #9996 (0.5 μM, 30 minutes), and C2C12 cells, untreated or treated with hydrogen peroxide (10 mM, 5 minutes), using Phospho-ULK1 (Ser555) (D1H4) Rabbit mAb.
Western Blotting Image 2: Phospho-ULK1 (Ser555) (D1H4) Rabbit Monoclonal Antibody
Western blot analysis of extracts from MCF7 cells, untreated or treated with oligomycin #9996 (0.5 µM, 30 minutes), using Phospho-ULK1 (Ser555) (D1H4) Rabbit mAb (left). Phospho-specificity is demonstrated by pre-incubating the antibody with phosphorylated (middle) or non-phosphorylated peptides (right) against a region surrounding Ser555 of ULK1.
Western Blotting Image 3: Phospho-ULK1 (Ser555) (D1H4) Rabbit Monoclonal Antibody
Orders: 877-616-CELL (2355) [email protected] Support: 877-678-TECH (8324) [email protected] Web: cellsignal.com
For Research Use Only. Not for Use in Diagnostic Procedures.

Revision 5

Cell Signaling Technology Logo
Western blot analysis of extracts from MCF7 cells, untreated (-) or treated with carbonyl cyanide 3-chlorophenylhydrazone (CCCP) (100 μM, 2 hr; +), using Phospho-ULK1 (Ser555) (D1H4) Rabbit mAb (upper) or ULK1 (D8H5) Rabbit mAb #8054 (lower).
Western Blotting Image 4: Phospho-ULK1 (Ser555) (D1H4) Rabbit Monoclonal Antibody
Orders: 877-616-CELL (2355) [email protected] Support: 877-678-TECH (8324) [email protected] Web: cellsignal.com
For Research Use Only. Not for Use in Diagnostic Procedures.