Revision 1

#61381

Store at -20C

PICALM Signaling Antibody Sampler Kit

1 Kit

(5 x 20 microliters)

CST Logo
Orders:

877-616-CELL (2355)

[email protected]

Support:

877-678-TECH (8324)

3 Trask Lane | Danvers | Massachusetts | 01923 | USA

For Research Use Only. Not for Use in Diagnostic Procedures.

Product Includes Product # Quantity Mol. Wt Isotype/Source
PICALM (E3J9R) Rabbit Monoclonal Antibody2676520 µl68, 70 kDaRabbit IgG
Clathrin Heavy Chain (D3C6) Rabbit Monoclonal Antibody479620 µl190 kDaRabbit IgG
LAMP1 (D2D11) Rabbit Monoclonal Antibody909120 µl42 (non-glycosylated), 90-120 (glycosylated) kDaRabbit IgG
EEA1 (C45B10) Rabbit Monoclonal Antibody328820 µl170 kDaRabbit IgG
Cathepsin D (E7Z4L) Rabbit Monoclonal Antibody8823920 µl46, 43, 28 kDaRabbit IgG
Anti-rabbit IgG, HRP-linked Antibody7074100 µlGoat

Please visit cellsignal.com for individual component applications, species cross-reactivity, dilutions, protocols, and additional product information.

Description

The PICALM Signaling Antibody Sampler Kit provides an economical means of investigating PICALM signaling by western blot and labeling endo-lysosomal components by immunofluorescence (IF). This kit includes enough primary antibodies to perform two western blot experiments or at least 40 IF tests per primary antibody.

Storage

Supplied in 10 mM sodium HEPES (pH 7.5), 150 mM NaCl, 100 µg/mL BSA, 50% glycerol, and less than 0.02% sodium azide. Store at –20°C. Do not aliquot the antibody.

Background

The antibodies in this kit serve to characterize phosphatidylinositol-binding clathrin assembly protein (PICALM)-mediated lysosomal maturation, as endo-lysosomal systems are important for normal physiology and prevention of common late-onset neurodegenerative diseases such as Alzheimer's disease (AD).

PICALM is a clathrin-binding protein involved in the endo-lysosomal pathway, where it has been genetically associated with AD (1,2). Clathrin is a triskelion-shaped protein that plays a major role in the formation of coated vesicles (1). Formation of these vesicles is critical for shaping the cell membrane to promote intracellular trafficking for multiple membrane trafficking pathways in the cell, including the trans-Golgi network as well as transport to and from the cell membrane and endosomal compartments. PICALM disruption increases the number of early endosomes, which is linked to exacerbated tau aggregation (2).  Early endosome antigen 1 (EEA1) is an early endosomal marker and a Rab5 effector protein essential for early endosomal membrane fusion and trafficking (3,4). Lysosome-associated membrane protein 1 (LAMP1) is an abundant lysosomal membrane protein involved in regulating lysosomal motility during lysosome-phagosome fusion (5,6). Cathepsin D (CSTD) is a ubiquitously expressed lysosomal aspartyl protease involved in the normal degradation of proteins (7). Mutations in PICALM were shown to cause lysosomal enzymes and membrane proteins to be mis-trafficked and accumulated; for example, immature forms of CTSD accumulate abnormally within endosomes. These changes correlate with reduced turnover of lysosomal cargoes generated by autophagy and endocytosis (2).

Trademarks and Patents

Cell Signaling Technology is a trademark of Cell Signaling Technology, Inc.

U.S. Patent No. 7,429,487, foreign equivalents, and child patents deriving therefrom.

All other trademarks are the property of their respective owners. Visit cellsignal.com/trademarks for more information.

Limited Uses

Except as otherwise expressly agreed in a writing signed by a legally authorized representative of CST, the following terms apply to Products provided by CST, its affiliates or its distributors. Any Customer's terms and conditions that are in addition to, or different from, those contained herein, unless separately accepted in writing by a legally authorized representative of CST, are rejected and are of no force or effect.

Products are labeled with For Research Use Only or a similar labeling statement and have not been approved, cleared, or licensed by the FDA or other regulatory foreign or domestic entity, for any purpose. Customer shall not use any Product for any diagnostic or therapeutic purpose, or otherwise in any manner that conflicts with its labeling statement. Products sold or licensed by CST are provided for Customer as the end-user and solely for research and development uses. Any use of Product for diagnostic, prophylactic or therapeutic purposes, or any purchase of Product for resale (alone or as a component) or other commercial purpose, requires a separate license from CST. Customer shall (a) not sell, license, loan, donate or otherwise transfer or make available any Product to any third party, whether alone or in combination with other materials, or use the Products to manufacture any commercial products, (b) not copy, modify, reverse engineer, decompile, disassemble or otherwise attempt to discover the underlying structure or technology of the Products, or use the Products for the purpose of developing any products or services that would compete with CST products or services, (c) not alter or remove from the Products any trademarks, trade names, logos, patent or copyright notices or markings, (d) use the Products solely in accordance with CST Product Terms of Sale and any applicable documentation, and (e) comply with any license, terms of service or similar agreement with respect to any third party products or services used by Customer in connection with the Products.

Orders: 877-616-CELL (2355) [email protected] Support: 877-678-TECH (8324) [email protected] Web: cellsignal.com
For Research Use Only. Not for Use in Diagnostic Procedures.

Revision 1

Cell Signaling Technology Logo
Western blot analysis of extracts from various cell lines using PICALM (E3J9R) Rabbit mAb (upper) or β-Actin (D6A8) Rabbit mAb #8457 (lower).
undefined Image 1: PICALM Signaling Antibody Sampler Kit
Western blot analysis of extracts from various cell lines using EEA1 (C45B10) Rabbit mAb.
undefined Image 2: PICALM Signaling Antibody Sampler Kit
Confocal immunofluorescent tile scan of a fixed frozen brain from an amyloid mouse model of Alzheimer's disease using EEA1 (C45B10) Rabbit mAb #3288 (green), GFAP (GA5) Mouse mAb #3670 (red), and DAPI #4083 (blue).
undefined Image 3: PICALM Signaling Antibody Sampler Kit
Orders: 877-616-CELL (2355) [email protected] Support: 877-678-TECH (8324) [email protected] Web: cellsignal.com
For Research Use Only. Not for Use in Diagnostic Procedures.

Revision 1

Cell Signaling Technology Logo
Confocal immunofluorescent analysis of fixed frozen mouse thalamus, labeled with EEA1 (C45B10) Rabbit mAb #3288 (left, green) and co-labeled with GFAP (GA5) Mouse mAb #3670 (right, red) and DAPI #4083 (right, blue).
undefined Image 4: PICALM Signaling Antibody Sampler Kit
Confocal immunofluorescent analysis of fixed frozen mouse hippocampus, labeled with EEA1 (C45B10) Rabbit mAb #3288 (left, green) and co-labeled with GFAP (GA5) Mouse mAb #3670 (right, red) and DAPI #4093 (right, blue).
undefined Image 5: PICALM Signaling Antibody Sampler Kit
Western blot analysis of extracts from various cell lines using Clathrin Heavy Chain (D3C6) XP® Rabbit mAb.
undefined Image 6: PICALM Signaling Antibody Sampler Kit
Orders: 877-616-CELL (2355) [email protected] Support: 877-678-TECH (8324) [email protected] Web: cellsignal.com
For Research Use Only. Not for Use in Diagnostic Procedures.

Revision 1

Cell Signaling Technology Logo
After the primary antibody is bound to the target protein, a complex with HRP-linked secondary antibody is formed. The LumiGLO® is added and emits light during enzyme catalyzed decomposition.
undefined Image 7: PICALM Signaling Antibody Sampler Kit
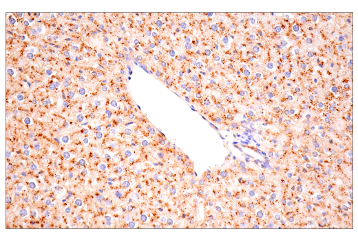
Immunohistochemical analysis of paraffin-embedded mouse liver using Cathepsin D (E7Z4L) XP® Rabbit mAb.
undefined Image 8: PICALM Signaling Antibody Sampler Kit
Western blot analysis of extracts from various cell lines using LAMP1 (D2D11) XP® Rabbit mAb.
undefined Image 9: PICALM Signaling Antibody Sampler Kit
Orders: 877-616-CELL (2355) [email protected] Support: 877-678-TECH (8324) [email protected] Web: cellsignal.com
For Research Use Only. Not for Use in Diagnostic Procedures.

Revision 1

Cell Signaling Technology Logo
Western blot analysis of extracts from control HCT 116 cells (lane 1) or PICALM knockdown (KD) HCT 116 cells (lane 2) using PICALM (E3J9R) Rabbit mAb (upper) or β-Actin (D6A8) Rabbit mAb #8457 (lower).
undefined Image 10: PICALM Signaling Antibody Sampler Kit
Confocal immunofluorescent analysis of HeLa cells using EEA1 (C45B10) Rabbit mAb (green). Actin filaments have been labeled with DY-554 phalloidin (red). Blue pseudocolor = DRAQ5™ (fluorescent DNA dye).
undefined Image 11: PICALM Signaling Antibody Sampler Kit
Confocal immunofluorescent analysis of SH-SY5Y cells using Clathrin Heavy Chain (D3C6) XP® Rabbit mAb (green). Actin filaments were labeled with DY-554 phalloidin (red). Blue pseudocolor = DRAQ5® #4084 (fluorescent DNA dye).
undefined Image 12: PICALM Signaling Antibody Sampler Kit
Orders: 877-616-CELL (2355) [email protected] Support: 877-678-TECH (8324) [email protected] Web: cellsignal.com
For Research Use Only. Not for Use in Diagnostic Procedures.

Revision 1

Cell Signaling Technology Logo
Immunohistochemical analysis of paraffin-embedded mouse kidney using Cathepsin D (E7Z4L) XP® Rabbit mAb.
undefined Image 13: PICALM Signaling Antibody Sampler Kit
Immunohistochemical analysis of normal human kidney using LAMP1 (D2D11) XP® Rabbit mAb.
undefined Image 14: PICALM Signaling Antibody Sampler Kit
Immunoprecipitation of PICALM protein from U-118 MG extracts. Lane 1 is 10% input, lane 2 is Rabbit (DA1E) mAb IgG XP® Isotype Control #3900 and lane 3 is PICALM (E3J9R) Rabbit mAb. Western blot analysis was performed using PICALM (E3J9R) Rabbit mAb. Mouse Anti-Rabbit IgG (Light-Chain Specific) (D4W3E) mAb #93702 was used as the secondary antibody.
undefined Image 15: PICALM Signaling Antibody Sampler Kit
Orders: 877-616-CELL (2355) [email protected] Support: 877-678-TECH (8324) [email protected] Web: cellsignal.com
For Research Use Only. Not for Use in Diagnostic Procedures.

Revision 1

Cell Signaling Technology Logo
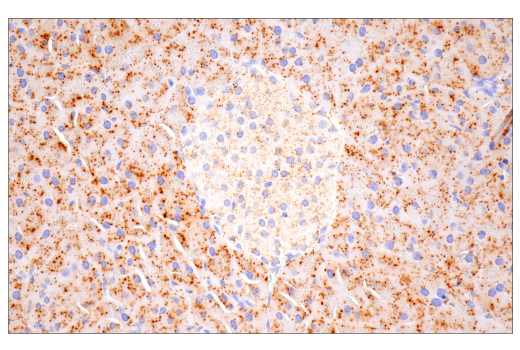
Immunohistochemical analysis of paraffin-embedded mouse lung using Cathepsin D (E7Z4L) XP® Rabbit mAb.
undefined Image 16: PICALM Signaling Antibody Sampler Kit
Immunohistochemical analysis of human lung carcinoma using LAMP1 (D2D11) XP® Rabbit mAb.
undefined Image 17: PICALM Signaling Antibody Sampler Kit
Confocal immunofluorescent analysis of fixed frozen mouse cerebellum, labeled with PICALM (E3J9R) Rabbit mAb (green) and DAPI #4083 (blue).
undefined Image 18: PICALM Signaling Antibody Sampler Kit
Orders: 877-616-CELL (2355) [email protected] Support: 877-678-TECH (8324) [email protected] Web: cellsignal.com
For Research Use Only. Not for Use in Diagnostic Procedures.

Revision 1

Cell Signaling Technology Logo
Immunohistochemical analysis of paraffin-embedded mouse pancreas using Cathepsin D (E7Z4L) XP® Rabbit mAb.
undefined Image 19: PICALM Signaling Antibody Sampler Kit
Immunohistochemical analysis of human ovarian serous cystadenoma using LAMP1 (D2D11) XP® Rabbit mAb.
undefined Image 20: PICALM Signaling Antibody Sampler Kit
Confocal immunofluorescent analysis of fixed frozen brain from an amyloid mouse model of Alzheimer’s disease labeled with PICALM (E3J9R) Rabbit mAb (left, red). Free secondary binding sites were then blocked with Rabbit (DA1E) mAb IgG XP® Isotype Control #3900 prior to co-labeling with HS1 (D5A9) XP® Rabbit mAb (Rodent Specific) (Alexa Fluor® 488 Conjugate) #68206 (right, green).
undefined Image 21: PICALM Signaling Antibody Sampler Kit
Orders: 877-616-CELL (2355) [email protected] Support: 877-678-TECH (8324) [email protected] Web: cellsignal.com
For Research Use Only. Not for Use in Diagnostic Procedures.

Revision 1

Cell Signaling Technology Logo
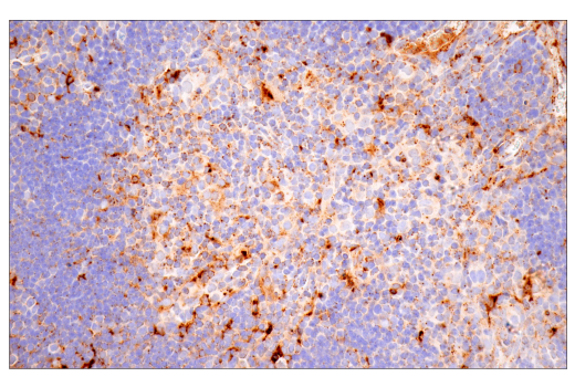
Immunohistochemical analysis of paraffin-embedded mouse thymus using Cathepsin D (E7Z4L) XP® Rabbit mAb.
undefined Image 22: PICALM Signaling Antibody Sampler Kit
Confocal immunofluorescent analysis of HeLa cells using LAMP1 (D2D11) Rabbit Monoclonal Antibody (green), β-Actin (8H10D10) Mouse Monoclonal Antibody #3700 (red), and DAPI #4083 (blue).
undefined Image 23: PICALM Signaling Antibody Sampler Kit
Confocal immunofluorescent analysis of fixed frozen mouse kidney, labeled with PICALM (E3J9R) Rabbit mAb (green) and DAPI #4083 (blue).
undefined Image 24: PICALM Signaling Antibody Sampler Kit
Orders: 877-616-CELL (2355) [email protected] Support: 877-678-TECH (8324) [email protected] Web: cellsignal.com
For Research Use Only. Not for Use in Diagnostic Procedures.

Revision 1

Cell Signaling Technology Logo

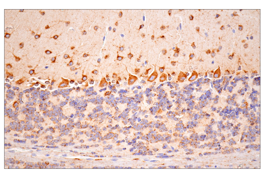
Immunohistochemical analysis of paraffin-embedded mouse cerebellum using Cathepsin D (E7Z4L) XP® Rabbit mAb.

undefined Image 25: PICALM Signaling Antibody Sampler Kit
Flow cytometric analysis of Jurkat cells using LAMP1 (D2D11) XP® Rabbit mAb (solid line) compared to concentration-matched Rabbit (DA1E) mAb IgG XP® Isotype Control #3900 (dashed line). Anti-rabbit IgG (H+L), F(ab')2 Fragment (Alexa Fluor® 488 Conjugate) #4412 was used as a secondary antibody.
undefined Image 26: PICALM Signaling Antibody Sampler Kit
Confocal immunofluorescent analysis of fixed frozen mouse liver, labeled with PICALM (E3J9R) Rabbit mAb (green) and DAPI #4083 (blue).
undefined Image 27: PICALM Signaling Antibody Sampler Kit
Orders: 877-616-CELL (2355) [email protected] Support: 877-678-TECH (8324) [email protected] Web: cellsignal.com
For Research Use Only. Not for Use in Diagnostic Procedures.

Revision 1

Cell Signaling Technology Logo
Immunohistochemical analysis of paraffin-embedded A20 syngeneic tumor using Cathepsin D (E7Z4L) XP® Rabbit mAb.
undefined Image 28: PICALM Signaling Antibody Sampler Kit
Confocal immunofluorescent analysis of HCT 116 cells, either mock transfected (left, high-expressing) or transfected with siRNA directed against PICALM (right, low-expressing), using PICALM (E3J9R) Rabbit mAb (green), DyLight™ 554 Phalloidin #13054 (red), and DAPI #4083 (blue).
undefined Image 29: PICALM Signaling Antibody Sampler Kit
Immunohistochemical analysis of paraffin-embedded mouse colon using Cathepsin D (E7Z4L) XP® Rabbit mAb (left) compared to concentration-matched Rabbit (DA1E) mAb IgG XP® Isotype Control #3900 (right).
undefined Image 30: PICALM Signaling Antibody Sampler Kit
Orders: 877-616-CELL (2355) [email protected] Support: 877-678-TECH (8324) [email protected] Web: cellsignal.com
For Research Use Only. Not for Use in Diagnostic Procedures.

Revision 1

Cell Signaling Technology Logo
Western blot analysis of extracts from various cell lines and mouse brain tissue using Cathepsin D (E7Z4L) XP® Rabbit mAb (upper) or β-Actin (D6A8) Rabbit mAb #8457 (lower).
undefined Image 31: PICALM Signaling Antibody Sampler Kit
Confocal immunofluorescent analysis of fixed frozen wild-type mouse brain using Cathepsin D (E7Z4L) XP® Rabbit mAb (green). After blocking free secondary antibody binding sites with Rabbit (DA1E) mAb IgG XP® Isotype Control #3900, the tissue was then labeled using Iba1/AIF-1 (E4O4W) XP® Rabbit mAb (Alexa Fluor® 555 Conjugate) #36618 (red) and β-Amyloid (D54D2) XP® Rabbit mAb (Alexa Fluor® 594 Conjugate) #35363 (magenta pseudocolor).
undefined Image 32: PICALM Signaling Antibody Sampler Kit
Confocal immunofluorescent analysis of fixed frozen brain from an amyloid mouse model of Alzheimer's disease using Cathepsin D (E7Z4L) XP® Rabbit mAb (green). After blocking free secondary antibody binding sites with Rabbit (DA1E) mAb IgG XP® Isotype Control #3900, the tissue was then labeled using Iba1/AIF-1 (E4O4W) XP® Rabbit mAb (Alexa Fluor® 555 Conjugate) #36618 (red) and β-Amyloid (D54D2) XP® Rabbit mAb (Alexa Fluor® 594 Conjugate) #35363 (magenta pseudocolor).
undefined Image 33: PICALM Signaling Antibody Sampler Kit
Orders: 877-616-CELL (2355) [email protected] Support: 877-678-TECH (8324) [email protected] Web: cellsignal.com
For Research Use Only. Not for Use in Diagnostic Procedures.

Revision 1

Cell Signaling Technology Logo
Confocal immunofluorescent analysis of fixed frozen wild-type mouse brain (left) or brain from an amyloid mouse model of Alzheimer's disease (right) using Cathepsin D (E7Z4L) XP® Rabbit mAb (green). After blocking free secondary antibody binding sites with Rabbit (DA1E) mAb IgG XP® Isotype Control #3900, the tissue was then labeled using Iba1/AIF-1 (E4O4W) XP® Rabbit mAb (Alexa Fluor® 555 Conjugate) #36618 (red), GFAP (GA5) Mouse mAb (Alexa Fluor® 647 Conjugate) #3657 (cyan pseudocolor), and β-Amyloid (D54D2) XP® Rabbit mAb (Alexa Fluor® 594 Conjugate) #35363 (blue pseudocolor).
undefined Image 34: PICALM Signaling Antibody Sampler Kit
Projected confocal z-stack of fixed frozen mouse kidney using Cathepsin D (E7Z4L) XP® Rabbit mAb (red). After blocking free secondary antibody binding sites with Rabbit (DA1E) mAb IgG XP® Isotype Control #3900, the tissue was then labeled using using Iba1/AIF-1 (E4O4W) XP® Rabbit mAb (Alexa Fluor® 488 Conjugate) #20825 (green) and DAPI #4083 (blue).
undefined Image 35: PICALM Signaling Antibody Sampler Kit
Confocal immunofluorescent analysis of NIH/3T3 cells using Cathepsin D (E7Z4L) XP® Rabbit mAb (green) and DAPI #4083 (blue).
undefined Image 36: PICALM Signaling Antibody Sampler Kit
Orders: 877-616-CELL (2355) [email protected] Support: 877-678-TECH (8324) [email protected] Web: cellsignal.com
For Research Use Only. Not for Use in Diagnostic Procedures.

Revision 1

Cell Signaling Technology Logo
Immunoprecipitation of LAMP1 from SNB-19 cell extracts. Lane 1 is 10% input, lane 2 is Rabbit (DA1E) mAb IgG XP® Isotype Control #3900, and lane 3 is LAMP1 (D2D11) XP® Rabbit mAb. Western blot was performed using LAMP1 (D2D11) XP® Rabbit mAb. Anti-rabbit IgG, HRP-linked Antibody #7074 was used as a secondary antibody.
undefined Image 37: PICALM Signaling Antibody Sampler Kit
Confocal immunofluorescent analysis of human iPSC-derived cortical glutamatergic neurons at 7 days in vitro using LAMP1 (D2D11) XP® Rabbit mAb (green), β3-Tubulin (E9F3E) Mouse mAb #45058 (red), and DAPI #4083 (blue). iCell GlutaNeurons were kindly provided by FUJIFILM Cellular Dynamics, Inc.
undefined Image 38: PICALM Signaling Antibody Sampler Kit
Confocal immunofluorescent analysis of human iPSC-derived astrocyte cells at 7 days in vitro using LAMP1 (D2D11) XP® Rabbit mAb (green), GFAP (GA5) Mouse mAb #3670 (red), and DAPI #4083 (blue). iCell Astrocytes 2.0 were kindly provided by FUJIFILM Cellular Dynamics, Inc.
undefined Image 39: PICALM Signaling Antibody Sampler Kit
Orders: 877-616-CELL (2355) [email protected] Support: 877-678-TECH (8324) [email protected] Web: cellsignal.com
For Research Use Only. Not for Use in Diagnostic Procedures.