Revision 6

#61407

Store at -20C

CST Logo
Orders:

877-616-CELL (2355)

[email protected]

Support:

877-678-TECH (8324)

3 Trask Lane | Danvers | Massachusetts | 01923 | USA

For Research Use Only. Not for Use in Diagnostic Procedures.

Applications:
W, W-S, IP, IHC-P, IF-F, IF-IC, FC-FP

Reactivity:
H M R

Sensitivity:
Endogenous

MW (kDa):
50

Source/Isotype:
Rabbit IgG

UniProt ID:
#Q8TBX8

Entrez-Gene Id:
79837

Product Usage Information

Application Dilution
Western Blotting 1:1000
Simple Western™ 1:10 - 1:50
Immunoprecipitation 1:50
Immunohistochemistry (Paraffin) 1:800 - 1:3200
Immunofluorescence (Frozen) 1:50 - 1:200
Immunofluorescence (Immunocytochemistry) 1:200 - 1:800
Flow Cytometry (Fixed/Permeabilized) 1:50 - 1:200

Storage

Supplied in 10 mM sodium HEPES (pH 7.5), 150 mM NaCl, 100 µg/mL BSA, 50% glycerol, and less than 0.02% sodium azide. Store at –20°C. Do not aliquot the antibody.

Specificity/Sensitivity

PIP4K2C (E7P3S) Rabbit Monoclonal Antibody recognizes endogenous levels of total PIP4K2C protein. This antibody does not cross-react with PIP4K2A or PIP3K2B proteins.

Source / Purification

Monoclonal antibody is produced by immunizing animals with a synthetic peptide corresponding to residues surrounding Leu321 of human PIP4K2C protein.

Background

Phosphatidylinositol-5-phosphate 4-kinases (PIP4Ks) synthesize phosphatidylinositol-4,5-bisphosphate (PtdIns(4,5)P2), a key precursor in phosphoinositide signaling that directly modulates the activity of signaling proteins and cellular processes. There are two subfamilies of PIP kinases, type I and II, that generate PtdIns(4,5)P2 from distinct substrate pools. PIP4 type I kinases use PtdIns5P as a substrate, whereas PIP5 type II kinases use PtdIns4P (1,2). In mammalian cells, three isoforms of each PIP4K and PIP5K subfamily, encoded by distinct genes, have been characterized (3-7). All PIP kinases are stimulated by phosphatidic acid, extensively regulated by ARF and Rho GTPases, and inhibited by protein kinase A and PI-stimulated autophosphorylation (8).

PIP4K2C, also known as phosphatidylinositol-5-phosphate 4-kinase type-2 gamma (PI5P4Kγ), is a member of the type II PIP kinase family, and is broadly expressed with the highest levels in kidney and brain tissue (9). PIP4K2C can form a homodimer or heterodimer with its two other known family members, PIP4K2A and PIP4K2B (10). PIP4K2C is a regulator of mammalian target of rapamycin complex 1 (mTORC1) signaling, and Pip4k2c KO mice demonstrate enhanced immune responses and develop autoimmunity (11,12).

Species Reactivity

Species reactivity is determined by testing in at least one approved application (e.g., western blot).

Western Blot Buffer

IMPORTANT: For western blots, incubate membrane with diluted primary antibody in 5% w/v BSA, 1X TBS, 0.1% Tween® 20 at 4°C with gentle shaking, overnight.

Applications Key

W: Western Blotting W-S: Simple Western™ IP: Immunoprecipitation IHC-P: Immunohistochemistry (Paraffin) IF-F: Immunofluorescence (Frozen) IF-IC: Immunofluorescence (Immunocytochemistry) FC-FP: Flow Cytometry (Fixed/Permeabilized)

Cross-Reactivity Key

H: Human M: Mouse R: Rat

Trademarks and Patents

Cell Signaling Technology is a trademark of Cell Signaling Technology, Inc.

U.S. Patent No. 7,429,487, foreign equivalents, and child patents deriving therefrom.

All other trademarks are the property of their respective owners. Visit cellsignal.com/trademarks for more information.

Limited Uses

Except as otherwise expressly agreed in a writing signed by a legally authorized representative of CST, the following terms apply to Products provided by CST, its affiliates or its distributors. Any Customer's terms and conditions that are in addition to, or different from, those contained herein, unless separately accepted in writing by a legally authorized representative of CST, are rejected and are of no force or effect.

Products are labeled with For Research Use Only or a similar labeling statement and have not been approved, cleared, or licensed by the FDA or other regulatory foreign or domestic entity, for any purpose. Customer shall not use any Product for any diagnostic or therapeutic purpose, or otherwise in any manner that conflicts with its labeling statement. Products sold or licensed by CST are provided for Customer as the end-user and solely for research and development uses. Any use of Product for diagnostic, prophylactic or therapeutic purposes, or any purchase of Product for resale (alone or as a component) or other commercial purpose, requires a separate license from CST. Customer shall (a) not sell, license, loan, donate or otherwise transfer or make available any Product to any third party, whether alone or in combination with other materials, or use the Products to manufacture any commercial products, (b) not copy, modify, reverse engineer, decompile, disassemble or otherwise attempt to discover the underlying structure or technology of the Products, or use the Products for the purpose of developing any products or services that would compete with CST products or services, (c) not alter or remove from the Products any trademarks, trade names, logos, patent or copyright notices or markings, (d) use the Products solely in accordance with CST Product Terms of Sale and any applicable documentation, and (e) comply with any license, terms of service or similar agreement with respect to any third party products or services used by Customer in connection with the Products.

Orders: 877-616-CELL (2355) [email protected] Support: 877-678-TECH (8324) [email protected] Web: cellsignal.com
For Research Use Only. Not for Use in Diagnostic Procedures.

Revision 6

Cell Signaling Technology Logo
Western blot analysis of extracts from various human, mouse, and rat cell lines using PIP4K2C (E7P3S) Rabbit mAb (upper) or β-Actin (D6A8) Rabbit mAb #8457 (lower). Negative expression of PIP4K2C protein in TALL-1 and REH cells is consistent with the predicted expression pattern.
Western Blotting Image 1: PIP4K2C (E7P3S) Rabbit Monoclonal Antibody
Western blot analysis of extracts from 293T cells, mock transfected (-) or transfected (+) with constructs expressing HA-tagged full-length human PIP4K2A (hPIP4K2A-HA), HA-tagged full-length human PIP4K2B (hPIP4K2B-HA), or Myc/DDK-tagged full-length human PIP4K2C (hPIP4K2C-Myc/DDK), using PIP4K2C (E7P3S) Rabbit mAb (upper), HA-Tag (C29F4) Rabbit mAb #3724 (upper-middle), Myc-Tag (71D10) Rabbit mAb #2278 (lower-middle), or β-Actin (D6A8) Rabbit mAb #8457 (lower).
Western Blotting Image 2: PIP4K2C (E7P3S) Rabbit Monoclonal Antibody
Simple WesternTM analysis of lysates (1.0 mg/mL) from REC-1 cells using PIP4K2C (E7P3S) Rabbit mAb #61407. The virtual lane view (left) shows the target (as indicated) at 1:10 and 1:50 dilutions of primary antibody. The corresponding electropherogram view (right) plots chemiluminescence by molecular weight along the capillary at 1:10 (blue line) and 1:50 (green line) dilutions of primary antibody. This experiment was performed under reducing conditions on the JessTM Simple Western instrument from ProteinSimple, a BioTechne brand, using the 12-230 kDa separation module.
Western Blotting Image 1: PIP4K2C (E7P3S) Rabbit Monoclonal Antibody
Orders: 877-616-CELL (2355) [email protected] Support: 877-678-TECH (8324) [email protected] Web: cellsignal.com
For Research Use Only. Not for Use in Diagnostic Procedures.

Revision 6

Cell Signaling Technology Logo
Immunoprecipitation of PIP4K2C protein from SHP-77 cell extracts. Lane 1 is 10% input, lane 2 is Rabbit (DA1E) mAb IgG XP® Isotype Control #3900, and lane 3 is PIP4K2C (E7P3S) Rabbit mAb. Western blot analysis was performed using PIP4K2C (E7P3S) Rabbit mAb. Mouse Anti-rabbit IgG (Conformation Specific) (L27A9) mAb (HRP Conjugate) #5127 was used as a secondary antibody.
Immunoprecipitation Image 1: PIP4K2C (E7P3S) Rabbit Monoclonal Antibody
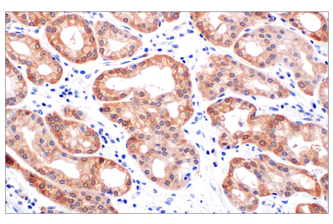
Immunohistochemical analysis of paraffin-embedded human gastric adenocarcinoma using PIP4K2C (E7P3S) Rabbit mAb.
Immunohistochemistry Image 1: PIP4K2C (E7P3S) Rabbit Monoclonal Antibody
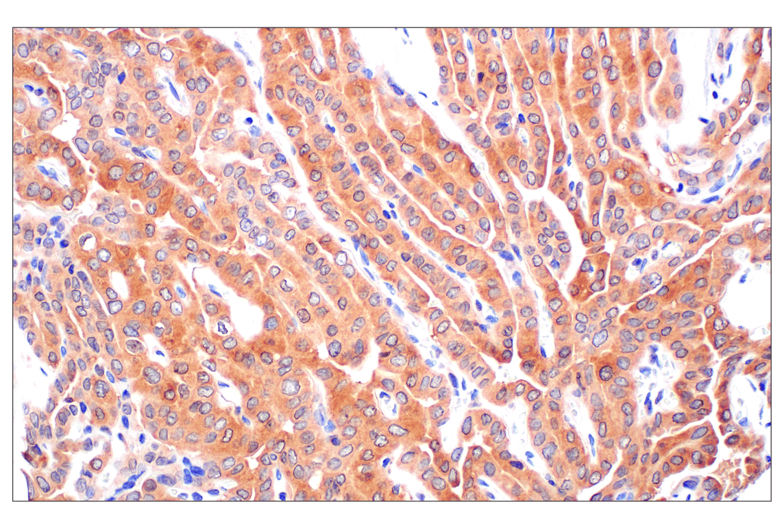
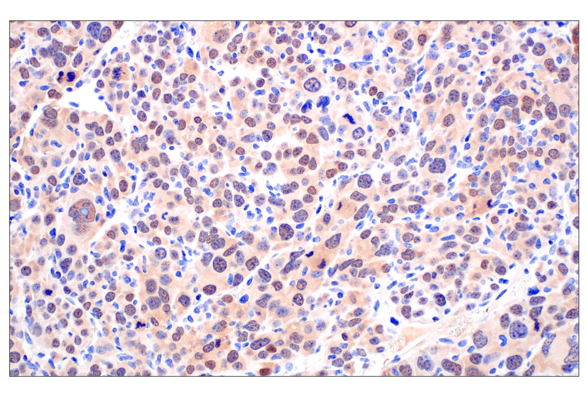
Immunohistochemical analysis of paraffin-embedded human papillary thyroid carcinoma using PIP4K2C (E7P3S) Rabbit mAb.
Immunohistochemistry Image 2: PIP4K2C (E7P3S) Rabbit Monoclonal Antibody
Orders: 877-616-CELL (2355) [email protected] Support: 877-678-TECH (8324) [email protected] Web: cellsignal.com
For Research Use Only. Not for Use in Diagnostic Procedures.

Revision 6

Cell Signaling Technology Logo
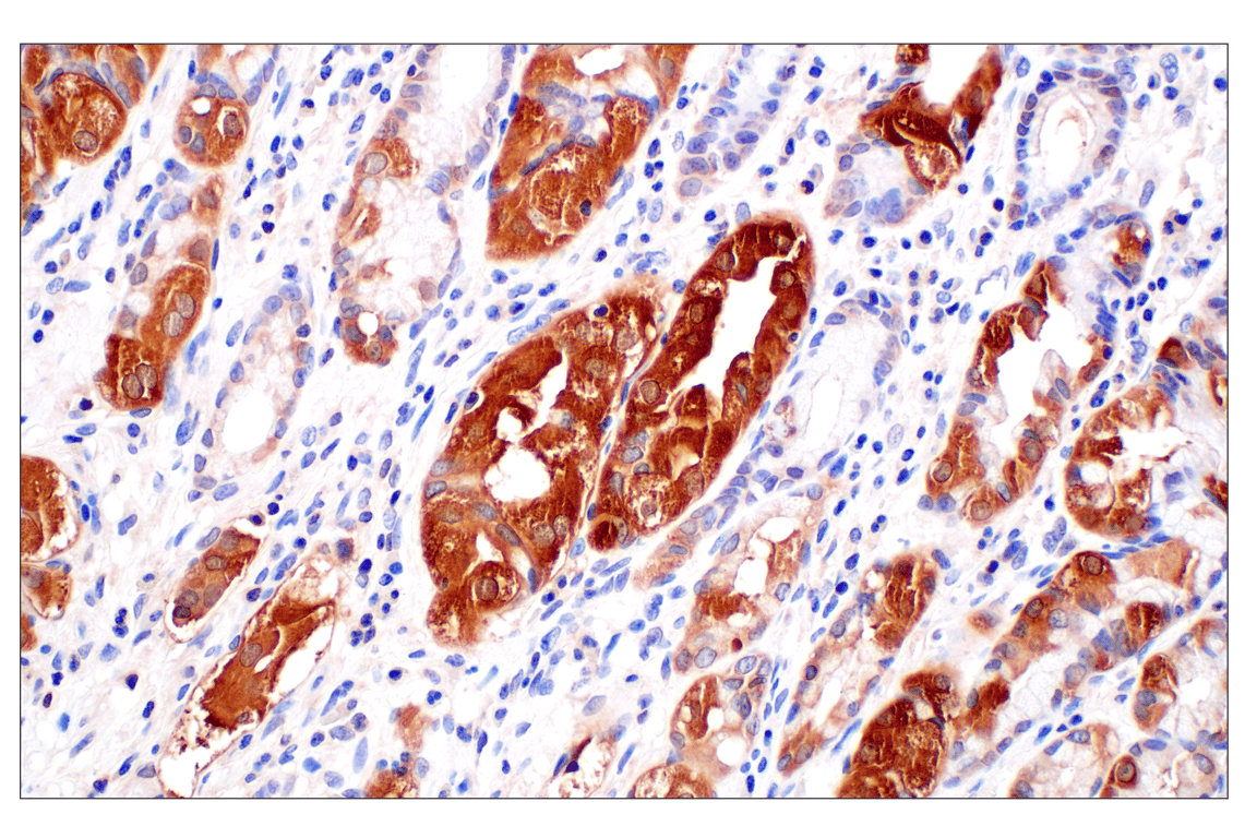
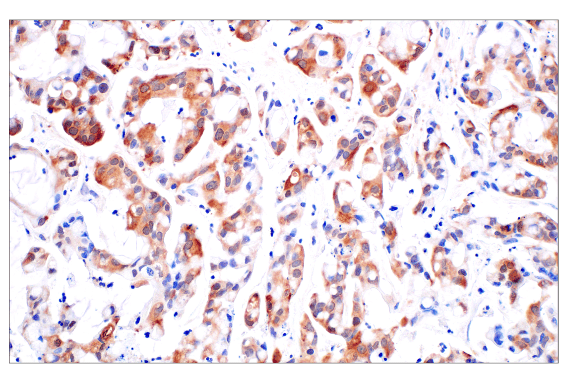
Immunohistochemical analysis of paraffin-embedded human colon adenocarcinoma using PIP4K2C (E7P3S) Rabbit mAb.
Immunohistochemistry Image 3: PIP4K2C (E7P3S) Rabbit Monoclonal Antibody
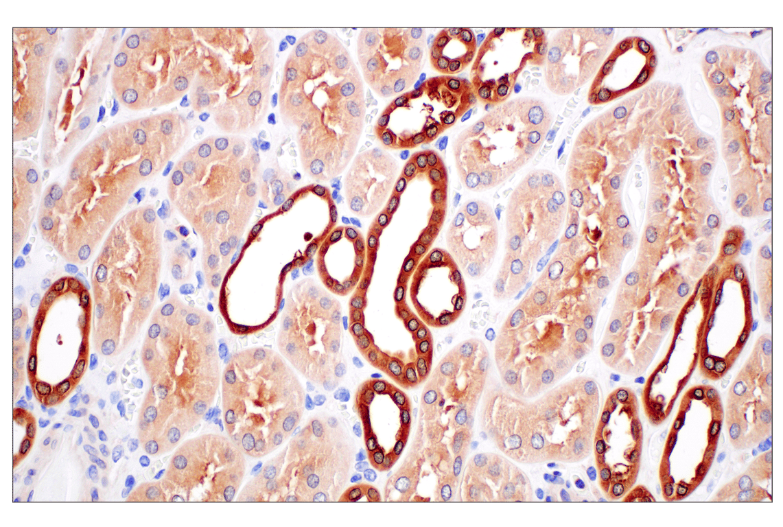
Immunohistochemical analysis of paraffin-embedded normal human kidney using PIP4K2C (E7P3S) Rabbit mAb.
Immunohistochemistry Image 4: PIP4K2C (E7P3S) Rabbit Monoclonal Antibody
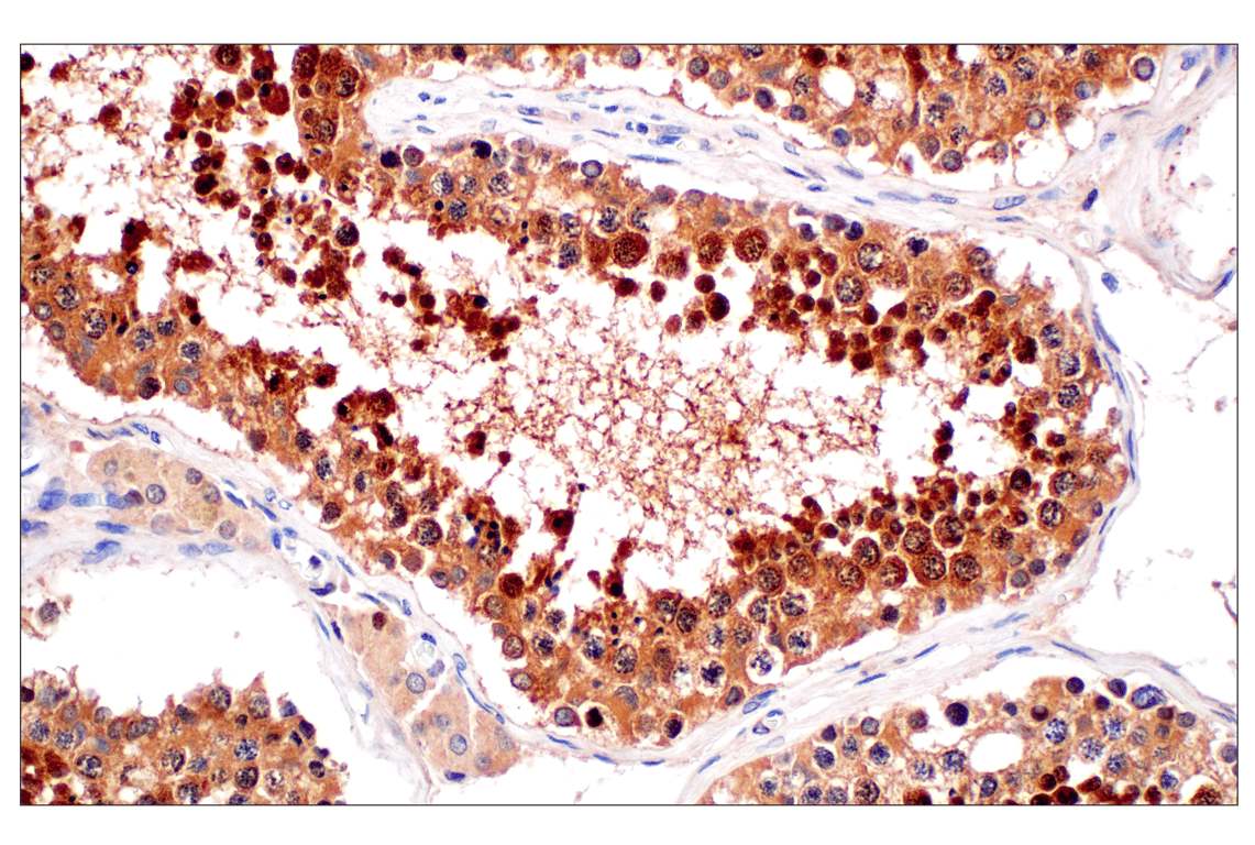
Immunohistochemical analysis of paraffin-embedded normal human testis using PIP4K2C (E7P3S) Rabbit mAb.
Immunohistochemistry Image 5: PIP4K2C (E7P3S) Rabbit Monoclonal Antibody
Orders: 877-616-CELL (2355) [email protected] Support: 877-678-TECH (8324) [email protected] Web: cellsignal.com
For Research Use Only. Not for Use in Diagnostic Procedures.

Revision 6

Cell Signaling Technology Logo
Immunohistochemical analysis of paraffin-embedded normal human stomach using PIP4K2C (E7P3S) Rabbit mAb.
Immunohistochemistry Image 6: PIP4K2C (E7P3S) Rabbit Monoclonal Antibody
Immunohistochemical analysis of paraffin-embedded Renca syngeneic tumor using PIP4K2C (E7P3S) Rabbit mAb.
Immunohistochemistry Image 7: PIP4K2C (E7P3S) Rabbit Monoclonal Antibody
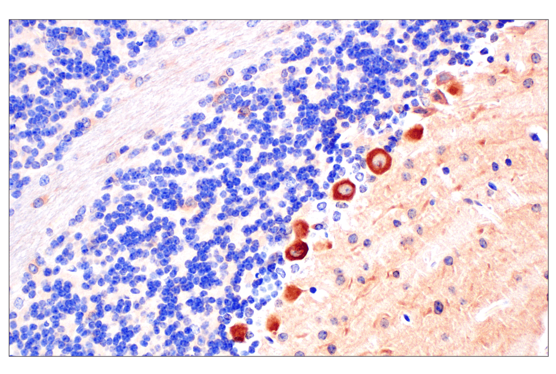
Immunohistochemical analysis of paraffin-embedded mouse brain using PIP4K2C (E7P3S) Rabbit mAb.
Immunohistochemistry Image 8: PIP4K2C (E7P3S) Rabbit Monoclonal Antibody
Orders: 877-616-CELL (2355) [email protected] Support: 877-678-TECH (8324) [email protected] Web: cellsignal.com
For Research Use Only. Not for Use in Diagnostic Procedures.

Revision 6

Cell Signaling Technology Logo
Immunohistochemical analysis of paraffin-embedded mouse testis using PIP4K2C (E7P3S) Rabbit mAb.
Immunohistochemistry Image 9: PIP4K2C (E7P3S) Rabbit Monoclonal Antibody
Immunohistochemical analysis of paraffin-embedded human endometrioid adenocarcinoma using PIP4K2C (E7P3S) Rabbit mAb (left) compared to concentration-matched Rabbit (DA1E) mAb IgG XP® Isotype Control #3900 (right). 
Immunohistochemistry Image 10: PIP4K2C (E7P3S) Rabbit Monoclonal Antibody
Immunohistochemical analysis of paraffin-embedded COLO 201 cell pellet (left, positive) or REH cell pellet (right, negative) using PIP4K2C (E7P3S) Rabbit mAb.
Immunohistochemistry Image 11: PIP4K2C (E7P3S) Rabbit Monoclonal Antibody
Orders: 877-616-CELL (2355) [email protected] Support: 877-678-TECH (8324) [email protected] Web: cellsignal.com
For Research Use Only. Not for Use in Diagnostic Procedures.

Revision 6

Cell Signaling Technology Logo
Confocal immunofluorescent analysis of fixed frozen mouse cerebellum labeled with PIP4K2C (E7P3S) Rabbit mAb (left, green). Free secondary binding sites were then blocked with Rabbit (DA1E) mAb IgG XP® Isotype Control #3900 prior to co-labeling with AQP4 (D1F8E) XP® Rabbit mAb (Alexa Fluor® 647 Conjugate) #89851 (red), GFAP (GA5) Mouse mAb (Alexa Fluor® 555 Conjugate) #3656 (magenta), and DAPI #4083 (right, blue).
Immunofluorescence Image 1: PIP4K2C (E7P3S) Rabbit Monoclonal Antibody
Confocal immunofluorescent analysis of Colo 201 cells (left, positive) or REH cells (right, negative) using PIP4K2C (E7P3S) Rabbit mAb (green) and DAPI #4083 (blue).
Immunofluorescence Image 1: PIP4K2C (E7P3S) Rabbit Monoclonal Antibody
Flow cytometric analysis of TALL-1 cells (blue, negative) and REC-1 cells (green, positive) using PIP4K2C (E7P3S) Rabbit mAb (solid lines) or concentration-matched Rabbit (DA1E) mAb IgG XP® Isotype Control #3900 (dashed lines). Anti-rabbit IgG (H+L), F(ab')2 Fragment (Alexa Fluor® 488 Conjugate) #4412 was used as a secondary antibody.
Flow Cytometry Image 1: PIP4K2C (E7P3S) Rabbit Monoclonal Antibody
Orders: 877-616-CELL (2355) [email protected] Support: 877-678-TECH (8324) [email protected] Web: cellsignal.com
For Research Use Only. Not for Use in Diagnostic Procedures.