Revision 6

#13643

Store at -20C

CST Logo
Orders:

877-616-CELL (2355)

[email protected]

Support:

877-678-TECH (8324)

3 Trask Lane | Danvers | Massachusetts | 01923 | USA

For Research Use Only. Not for Use in Diagnostic Procedures.

Applications:
W, IP, IHC-P, IF-IC, FC-FP

Reactivity:
H M R

Sensitivity:
Endogenous

MW (kDa):
78

Source/Isotype:
Rabbit IgG

UniProt ID:
#Q04759

Entrez-Gene Id:
5588

Product Usage Information

Application Dilution
Western Blotting 1:1000
Immunoprecipitation 1:100
Immunohistochemistry (Paraffin) 1:50
Immunofluorescence (Immunocytochemistry) 1:200 - 1:800
Flow Cytometry (Fixed/Permeabilized) 1:200 - 1:800

Storage

Supplied in 10 mM sodium HEPES (pH 7.5), 150 mM NaCl, 100 µg/ml BSA, 50% glycerol and less than 0.02% sodium azide. Store at –20°C. Do not aliquot the antibody.

For a carrier free (BSA and azide free) version of this product see product #86952.

Specificity/Sensitivity

PKC theta (E1I7Y) Rabbit Monoclonal Antibody recognizes endogenous levels of total PKCθ protein.

Species predicted to react based on 100% sequence homology

Bovine

Source / Purification

Monoclonal antibody is produced by immunizing animals with a synthetic peptide corresponding to residues surrounding Pro632 of human PKCθ protein.

Background

Activation of protein kinase C (PKC) is one of the earliest events in a cascade that controls a variety of cellular responses, including secretion, gene expression, proliferation, and muscle contraction (1,2). PKC isoforms belong to three groups based on calcium dependency and activators. Classical PKCs are calcium-dependent via their C2 domains and are activated by phosphatidylserine (PS), diacylglycerol (DAG), and phorbol esters (TPA, PMA) through their cysteine-rich C1 domains. Both novel and atypical PKCs are calcium-independent, but only novel PKCs are activated by PS, DAG, and phorbol esters (3-5). Members of these three PKC groups contain a pseudo-substrate or autoinhibitory domain that binds to substrate-binding sites in the catalytic domain to prevent activation in the absence of cofactors or activators. Control of PKC activity is regulated through three distinct phosphorylation events. Phosphorylation occurs in vivo at Thr500 in the activation loop, at Thr641 through autophosphorylation, and at the carboxy-terminal hydrophobic site Ser660 (2). Atypical PKC isoforms lack hydrophobic region phosphorylation, which correlates with the presence of glutamic acid rather than the serine or threonine residues found in more typical PKC isoforms. The enzyme PDK1 or a close relative is responsible for PKC activation. A recent addition to the PKC superfamily is PKCμ (PKD), which is regulated by DAG and TPA through its C1 domain. PKD is distinguished by the presence of a PH domain and by its unique substrate recognition and Golgi localization (6). PKC-related kinases (PRK) lack the C1 domain and do not respond to DAG or phorbol esters. Phosphatidylinositol lipids activate PRKs, and small Rho-family GTPases bind to the homology region 1 (HR1) to regulate PRK kinase activity (7).
PKCθ is a novel protein kinase C that is predominantly expressed in T cells (8). Recruitment of PKCθ to the immunological synapse following T cell receptor stimulation plays an important role in the activation and proliferation of conventional T cells (9). Conversely, PKCθ negatively regulates the suppressive function of regulatory T cells and is excluded from regulatory T cell immunological synapses (10).

Species Reactivity

Species reactivity is determined by testing in at least one approved application (e.g., western blot).

Western Blot Buffer

IMPORTANT: For western blots, incubate membrane with diluted primary antibody in 5% w/v BSA, 1X TBS, 0.1% Tween® 20 at 4°C with gentle shaking, overnight.

Applications Key

W: Western Blotting IP: Immunoprecipitation IHC-P: Immunohistochemistry (Paraffin) IF-IC: Immunofluorescence (Immunocytochemistry) FC-FP: Flow Cytometry (Fixed/Permeabilized)

Cross-Reactivity Key

H: Human M: Mouse R: Rat

Trademarks and Patents

Cell Signaling Technology is a trademark of Cell Signaling Technology, Inc.

SignalStain is a registered trademark of Cell Signaling Technology, Inc.

All other trademarks are the property of their respective owners. Visit cellsignal.com/trademarks for more information.

Limited Uses

Except as otherwise expressly agreed in a writing signed by a legally authorized representative of CST, the following terms apply to Products provided by CST, its affiliates or its distributors. Any Customer's terms and conditions that are in addition to, or different from, those contained herein, unless separately accepted in writing by a legally authorized representative of CST, are rejected and are of no force or effect.

Products are labeled with For Research Use Only or a similar labeling statement and have not been approved, cleared, or licensed by the FDA or other regulatory foreign or domestic entity, for any purpose. Customer shall not use any Product for any diagnostic or therapeutic purpose, or otherwise in any manner that conflicts with its labeling statement. Products sold or licensed by CST are provided for Customer as the end-user and solely for research and development uses. Any use of Product for diagnostic, prophylactic or therapeutic purposes, or any purchase of Product for resale (alone or as a component) or other commercial purpose, requires a separate license from CST. Customer shall (a) not sell, license, loan, donate or otherwise transfer or make available any Product to any third party, whether alone or in combination with other materials, or use the Products to manufacture any commercial products, (b) not copy, modify, reverse engineer, decompile, disassemble or otherwise attempt to discover the underlying structure or technology of the Products, or use the Products for the purpose of developing any products or services that would compete with CST products or services, (c) not alter or remove from the Products any trademarks, trade names, logos, patent or copyright notices or markings, (d) use the Products solely in accordance with CST Product Terms of Sale and any applicable documentation, and (e) comply with any license, terms of service or similar agreement with respect to any third party products or services used by Customer in connection with the Products.

Orders: 877-616-CELL (2355) [email protected] Support: 877-678-TECH (8324) [email protected] Web: cellsignal.com
For Research Use Only. Not for Use in Diagnostic Procedures.

Revision 6

Cell Signaling Technology Logo
Western blot analysis of extracts from wild-type and PKCθ (-/-) mouse splenocytes using PKCθ (E1I7Y) Rabbit mAb (upper) and β-Actin (D6A8) Rabbit mAb #8457 (lower). Extracts from wild-type and PKCθ (-/-) mouse splenocytes were kindly provided by Dr. Morgan Huse (Memorial Sloan-Kettering Cancer Center).
Western Blotting Image 1: PKC theta (E1I7Y) Rabbit Monoclonal Antibody
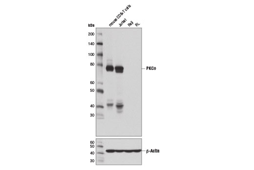
Western blot analysis of extracts from various cell lines using PKCθ (E1I7Y) Rabbit mAb (upper) and β-Actin (D6A8) Rabbit mAb #8457 (lower).
Western Blotting Image 2: PKC theta (E1I7Y) Rabbit Monoclonal Antibody
Immunoprecipitation of PKCθ from Jurkat cell extracts using Rabbit (DA1E) mAb IgG XP® Isotype Control #3900 (lane 2) or PKCθ (E1I7Y) Rabbit mAb (lane 3). Lane 1 is 10% input. Western blot analysis was performed using PKCθ (E1I7Y) Rabbit mAb.
Immunoprecipitation Image 1: PKC theta (E1I7Y) Rabbit Monoclonal Antibody
Orders: 877-616-CELL (2355) [email protected] Support: 877-678-TECH (8324) [email protected] Web: cellsignal.com
For Research Use Only. Not for Use in Diagnostic Procedures.

Revision 6

Cell Signaling Technology Logo
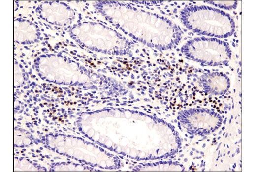
Immunohistochemical analysis of paraffin-embedded human colon using PKCθ (E1I7Y) Rabbit mAb.
Immunohistochemistry Image 1: PKC theta (E1I7Y) Rabbit Monoclonal Antibody
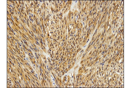
Immunohistochemical analysis of paraffin-embedded human gastrointestinal stromal tumor (GIST) using PKCθ (E1I7Y) Rabbit mAb.
Immunohistochemistry Image 2: PKC theta (E1I7Y) Rabbit Monoclonal Antibody
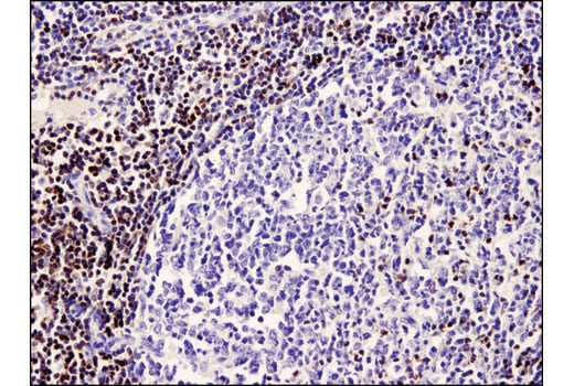
Immunohistochemical analysis of paraffin-embedded human lymph node using PKCθ (E1I7Y) Rabbit mAb.
Immunohistochemistry Image 3: PKC theta (E1I7Y) Rabbit Monoclonal Antibody
Orders: 877-616-CELL (2355) [email protected] Support: 877-678-TECH (8324) [email protected] Web: cellsignal.com
For Research Use Only. Not for Use in Diagnostic Procedures.

Revision 6

Cell Signaling Technology Logo
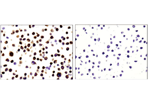
Immunohistochemical analysis of paraffin-embedded Jurkat (positive, left) or RL (negative, right) cell pellets using PKCθ (E1I7Y) Rabbit mAb.
Immunohistochemistry Image 4: PKC theta (E1I7Y) Rabbit Monoclonal Antibody
Confocal immunofluorescent analysis of Jurkat (positive, left) and Raji (negative, right) cells using PKCθ (E1I7Y) Rabbit mAb (green). Blue pseudocolor= DRAQ5® #4084 (fluorescent DNA dye).
Immunofluorescence Image 1: PKC theta (E1I7Y) Rabbit Monoclonal Antibody
Flow cytometric analysis of mouse splenocytes using Rabbit (DA1E) mAb IgG XP® Isotype Control #3900 (left) and PKCθ (E1I7Y) Rabbit mAb (right). Splenocytes were co-stained with anti-CD3 APC and the Anti-rabbit IgG (H+L), F(ab')2 Fragment (PE Conjugate) was used as a secondary antibody.
Flow Cytometry Image 1: PKC theta (E1I7Y) Rabbit Monoclonal Antibody
Orders: 877-616-CELL (2355) [email protected] Support: 877-678-TECH (8324) [email protected] Web: cellsignal.com
For Research Use Only. Not for Use in Diagnostic Procedures.