Revision 4

#7067

Store at -20C

CST Logo
Orders:

877-616-CELL (2355)

[email protected]

Support:

877-678-TECH (8324)

3 Trask Lane | Danvers | Massachusetts | 01923 | USA

For Research Use Only. Not for Use in Diagnostic Procedures.

Applications:
W, IHC-P, IF-F, IF-IC, FC-FP

Reactivity:
H M

Sensitivity:
Endogenous

MW (kDa):
60

Source/Isotype:
Rabbit IgG

UniProt ID:
#P14618-2

Entrez-Gene Id:
5315

Product Usage Information

Application Dilution
Western Blotting 1:1000
Immunohistochemistry (Paraffin) 1:300 - 1:1200
Immunofluorescence (Frozen) 1:200 - 1:400
Immunofluorescence (Immunocytochemistry) 1:200 - 1:400
Flow Cytometry (Fixed/Permeabilized) 1:400 - 1:1600

Storage

Supplied in 10 mM sodium HEPES (pH 7.5), 150 mM NaCl, 100 µg/ml BSA, 50% glycerol and less than 0.02% sodium azide. Store at –20°C. Do not aliquot the antibody.

For a carrier free (BSA and azide free) version of this product see product #68774.

Specificity/Sensitivity

PKM1 (D30G6) Rabbit Monoclonal Antibody recognizes endogenous levels of total PKM1 protein and does not cross-react with PKM2.

Source / Purification

Monoclonal antibody is produced by immunizing animals with a synthetic peptide corresponding to residues surrounding Asp407 of human PKM1 protein.

Background

Pyruvate kinase is a glycolytic enzyme that catalyses the conversion of phosphoenolpyruvate to pyruvate. In mammals, the M1 isoform (PKM1) is expressed in most adult tissues (1). The M2 isoform (PKM2) is an alternatively spliced variant of M1 that is expressed during embryonic development (1). Research studies found that cancer cells exclusively express PKM2 (1-3). PKM2 is shown to be essential for aerobic glycolysis in tumors, known as the Warburg effect (1). When cancer cells switch from the M2 isoform to the M1 isoform, aerobic glycolysis is reduced and oxidative phosphorylation is increased (1). These cells also show decreased tumorigenicity in mouse xenografts (1). Recent studies showed that PKM2 is not essential for all tumor cells (4). In the tumor model studied, PKM2 was found to be active in the non-proliferative tumor cell population and inactive in the proliferative tumor cell population (4).

Species Reactivity

Species reactivity is determined by testing in at least one approved application (e.g., western blot).

Western Blot Buffer

IMPORTANT: For western blots, incubate membrane with diluted primary antibody in 5% w/v BSA, 1X TBS, 0.1% Tween® 20 at 4°C with gentle shaking, overnight.

Applications Key

W: Western Blotting IHC-P: Immunohistochemistry (Paraffin) IF-F: Immunofluorescence (Frozen) IF-IC: Immunofluorescence (Immunocytochemistry) FC-FP: Flow Cytometry (Fixed/Permeabilized)

Cross-Reactivity Key

H: Human M: Mouse

Trademarks and Patents

Cell Signaling Technology is a trademark of Cell Signaling Technology, Inc.

SignalStain is a registered trademark of Cell Signaling Technology, Inc.

All other trademarks are the property of their respective owners. Visit cellsignal.com/trademarks for more information.

Limited Uses

Except as otherwise expressly agreed in a writing signed by a legally authorized representative of CST, the following terms apply to Products provided by CST, its affiliates or its distributors. Any Customer's terms and conditions that are in addition to, or different from, those contained herein, unless separately accepted in writing by a legally authorized representative of CST, are rejected and are of no force or effect.

Products are labeled with For Research Use Only or a similar labeling statement and have not been approved, cleared, or licensed by the FDA or other regulatory foreign or domestic entity, for any purpose. Customer shall not use any Product for any diagnostic or therapeutic purpose, or otherwise in any manner that conflicts with its labeling statement. Products sold or licensed by CST are provided for Customer as the end-user and solely for research and development uses. Any use of Product for diagnostic, prophylactic or therapeutic purposes, or any purchase of Product for resale (alone or as a component) or other commercial purpose, requires a separate license from CST. Customer shall (a) not sell, license, loan, donate or otherwise transfer or make available any Product to any third party, whether alone or in combination with other materials, or use the Products to manufacture any commercial products, (b) not copy, modify, reverse engineer, decompile, disassemble or otherwise attempt to discover the underlying structure or technology of the Products, or use the Products for the purpose of developing any products or services that would compete with CST products or services, (c) not alter or remove from the Products any trademarks, trade names, logos, patent or copyright notices or markings, (d) use the Products solely in accordance with CST Product Terms of Sale and any applicable documentation, and (e) comply with any license, terms of service or similar agreement with respect to any third party products or services used by Customer in connection with the Products.

Orders: 877-616-CELL (2355) [email protected] Support: 877-678-TECH (8324) [email protected] Web: cellsignal.com
For Research Use Only. Not for Use in Diagnostic Procedures.

Revision 4

Cell Signaling Technology Logo
Western blot analysis of extracts from 293 cells, mock transfected (-) or transfected with a construct expressing Myc/DDK-tagged full-length human PKM1 (hPKM1-Myc/DDK; +) or Myc/DDK-tagged full-length human PKM2 (hPKM2-Myc/DDK; +), using PKM1 (D30G6) XP® Rabbit mAb (upper), DYKDDDDK (9A3) Mouse mAb #8146 (middle), or GAPDH (D16H11) XP® Rabbit mAb #5174 (lower).
Western Blotting Image 1: PKM1 (D30G6) Rabbit Monoclonal Antibody
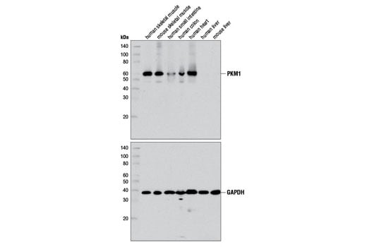
Western blot analysis of extracts from various mouse and human tissues using PKM1 (D30G6) XP® Rabbit mAb (upper) or GAPDH (D16H11) XP® Rabbit mAb #5174 (lower).
Western Blotting Image 2: PKM1 (D30G6) Rabbit Monoclonal Antibody
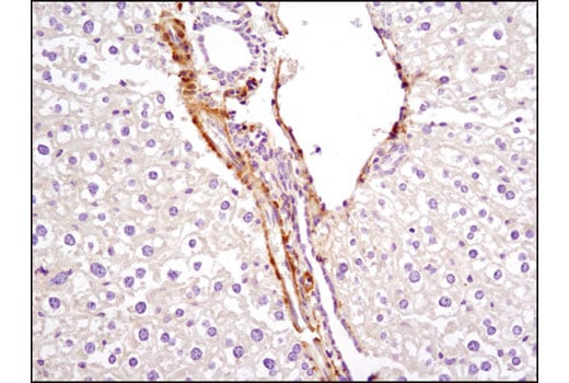
Immunohistochemical analysis of paraffin-embedded mouse liver using PKM1 (D30G6) XP® Rabbit mAb. Note the staining of vascular smooth muscle with no staining of hepatocytes.
Immunohistochemistry Image 1: PKM1 (D30G6) Rabbit Monoclonal Antibody
Orders: 877-616-CELL (2355) [email protected] Support: 877-678-TECH (8324) [email protected] Web: cellsignal.com
For Research Use Only. Not for Use in Diagnostic Procedures.

Revision 4

Cell Signaling Technology Logo
Immunohistochemical analysis of paraffin-embedded human colon using PKM1 (D30G6) XP® Rabbit mAb in the presence of control peptide (left) or antigen-specific peptide (right).
Immunohistochemistry Image 2: PKM1 (D30G6) Rabbit Monoclonal Antibody
Confocal immunofluorescent analysis of mouse skeletal muscle (left) or liver (right) using PKM1 (D30G6) XP® Rabbit mAb (green). Blue pseudocolor = DRAQ5® #4084 (fluorescent DNA dye).
Immunofluorescence Image 1: PKM1 (D30G6) Rabbit Monoclonal Antibody
Confocal immunofluorescent analysis of COS-7 cells, transiently transfected with PKM1 (left) or PKM2 (right), using PKM1 (D30G6) XP® Rabbit mAb (green). Actin filaments were labeled with DyLight™ 554 Phalloidin #13054 (red). Blue pseudocolor = DRAQ5® #4084 (fluorescent DNA dye).
Immunofluorescence Image 1: PKM1 (D30G6) Rabbit Monoclonal Antibody
Orders: 877-616-CELL (2355) [email protected] Support: 877-678-TECH (8324) [email protected] Web: cellsignal.com
For Research Use Only. Not for Use in Diagnostic Procedures.

Revision 4

Cell Signaling Technology Logo
Flow cytometric analysis of 293T cells mock transfected (blue) or transfected with hPKM1-Myc/DDK (green) using PKM1 (D30G6) XP® Rabbit mAb (solid lines) or concentration-matched Rabbit (DA1E) mAb IgG XP® Isotype Control #3900 (dashed lines).
Flow Cytometry Image 1: PKM1 (D30G6) Rabbit Monoclonal Antibody
Orders: 877-616-CELL (2355) [email protected] Support: 877-678-TECH (8324) [email protected] Web: cellsignal.com
For Research Use Only. Not for Use in Diagnostic Procedures.