Revision 4

#3860

Store at -20C

PLC gamma Antibody Sampler Kit

1 Kit

(5 x 20 microliters)

CST Logo
Orders:

877-616-CELL (2355)

[email protected]

Support:

877-678-TECH (8324)

3 Trask Lane | Danvers | Massachusetts | 01923 | USA

For Research Use Only. Not for Use in Diagnostic Procedures.

Product Includes Product # Quantity Mol. Wt Isotype/Source
Phospho-PLC gamma2 (Tyr1217) Antibody387120 µl150 kDaRabbit
Phospho-PLC gamma2 (Tyr759) (E9E9Y) Rabbit Monoclonal Antibody5053520 µl150 kDaRabbit IgG
PLC gamma2 (E5U4T) Rabbit Monoclonal Antibody5551220 µl150 kDaRabbit IgG
Phospho-PLC gamma1 (Tyr783) (D6M9S) Rabbit Monoclonal Antibody1400820 µl155 kDaRabbit IgG
PLC gamma1 (D9H10) Rabbit Monoclonal Antibody569020 µl150 kDaRabbit IgG
Anti-rabbit IgG, HRP-linked Antibody7074100 µlGoat

Please visit cellsignal.com for individual component applications, species cross-reactivity, dilutions, protocols, and additional product information.

Description

PLCγ Antibody Sampler Kit provides an economical means of analyzing phospho and total PLCγ levels. PLCγ Antibody Sampler Kit contains enough primary and secondary antibodies to perform two western blot experiments with each antibody.

Storage

Supplied in 10 mM sodium HEPES (pH 7.5), 150 mM NaCl, 100 µg/ml BSA, 50% glycerol and less than 0.02% sodium azide. Store at –20°C. Do not aliquot the antibody.

Background

Phosphoinositide-specific phospholipase C (PLC) plays a significant role in transmembrane signaling. In response to extracellular stimuli, such as hormones, growth factors, and neurotransmitters, PLC hydrolyzes phosphatidylinositol 4,5-bisphosphate (PIP2) to generate two secondary messengers: inositol 1,4,5-triphosphate (IP3) and diacylglycerol (DAG) (1). At least four families of PLCs have been identified: PLCβ, PLCγ, PLCδ, and PLCε. Phosphorylation is one of the key mechanisms that regulate the activity of PLC. PLCγ is activated by both receptor and non-receptor tyrosine kinases (2). PLCγ forms a complex with EGF and PDGF receptors, which leads to the phosphorylation of PLCγ at Tyr771, 783, and 1248 (3). Phosphorylation by Syk at Tyr783 activates the enzymatic activity of PLCγ1 (4). PLCγ2 is engaged in antigen-dependent signaling in B cells and collagen-dependent signaling in platelets. Phosphorylation by Btk or Lck at Tyr753, 759, 1197, and 1217 is correlated with PLCγ2 activity (5,6).

Trademarks and Patents

Cell Signaling Technology is a trademark of Cell Signaling Technology, Inc.

All other trademarks are the property of their respective owners. Visit cellsignal.com/trademarks for more information.

Limited Uses

Except as otherwise expressly agreed in a writing signed by a legally authorized representative of CST, the following terms apply to Products provided by CST, its affiliates or its distributors. Any Customer's terms and conditions that are in addition to, or different from, those contained herein, unless separately accepted in writing by a legally authorized representative of CST, are rejected and are of no force or effect.

Products are labeled with For Research Use Only or a similar labeling statement and have not been approved, cleared, or licensed by the FDA or other regulatory foreign or domestic entity, for any purpose. Customer shall not use any Product for any diagnostic or therapeutic purpose, or otherwise in any manner that conflicts with its labeling statement. Products sold or licensed by CST are provided for Customer as the end-user and solely for research and development uses. Any use of Product for diagnostic, prophylactic or therapeutic purposes, or any purchase of Product for resale (alone or as a component) or other commercial purpose, requires a separate license from CST. Customer shall (a) not sell, license, loan, donate or otherwise transfer or make available any Product to any third party, whether alone or in combination with other materials, or use the Products to manufacture any commercial products, (b) not copy, modify, reverse engineer, decompile, disassemble or otherwise attempt to discover the underlying structure or technology of the Products, or use the Products for the purpose of developing any products or services that would compete with CST products or services, (c) not alter or remove from the Products any trademarks, trade names, logos, patent or copyright notices or markings, (d) use the Products solely in accordance with CST Product Terms of Sale and any applicable documentation, and (e) comply with any license, terms of service or similar agreement with respect to any third party products or services used by Customer in connection with the Products.

Orders: 877-616-CELL (2355) [email protected] Support: 877-678-TECH (8324) [email protected] Web: cellsignal.com
For Research Use Only. Not for Use in Diagnostic Procedures.

Revision 4

Cell Signaling Technology Logo
Western blot analysis of extracts from NIH/3T3 cells, untreated (-) or stimulated with hPDGF-BB #8912 (5 min; +), and from A-431 cells, untreated (-) or stimulated with hEGF #8916 (5 min; +), using Phospho-PLCγ1 (Tyr783) (D6M9S) Rabbit mAb (upper) and β-Actin (D6A8) Rabbit mAb #8457 (lower).
undefined Image 1: PLC gamma Antibody Sampler Kit
Western blot analysis of extracts from Ramos cells, untreated or treated with anti-human IgM, using Phospho-PLCgamma2 (Tyr1217) Antibody (upper) or PLCgamma2 Antibody #3872 (lower).
undefined Image 2: PLC gamma Antibody Sampler Kit
Western blot analysis of extracts from Daudi cells, untreated (-) or treated with anti-human IgM (12 μg/ml, 10 min; +), using Phospho-PLCγ2 (Tyr759) (E9E9Y) Rabbit mAb (upper), PLCγ2 (E5U4T) Rabbit mAb #55512 (middle), or GAPDH (D16H11) XP® Rabbit mAb #5174 (lower).
undefined Image 3: PLC gamma Antibody Sampler Kit
Orders: 877-616-CELL (2355) [email protected] Support: 877-678-TECH (8324) [email protected] Web: cellsignal.com
For Research Use Only. Not for Use in Diagnostic Procedures.

Revision 4

Cell Signaling Technology Logo
Western blot analysis of extracts from various cell lines using PLCγ2 (E5U4T) Rabbit mAb (upper) or β-Actin (D6A8) Rabbit mAb #8457 (lower).
undefined Image 4: PLC gamma Antibody Sampler Kit
Western blot analysis of extracts from various cell lines using PLCγ1 (D9H10) XP® Rabbit mAb.
undefined Image 5: PLC gamma Antibody Sampler Kit
After the primary antibody is bound to the target protein, a complex with HRP-linked secondary antibody is formed. The LumiGLO® is added and emits light during enzyme catalyzed decomposition.
undefined Image 6: PLC gamma Antibody Sampler Kit
Orders: 877-616-CELL (2355) [email protected] Support: 877-678-TECH (8324) [email protected] Web: cellsignal.com
For Research Use Only. Not for Use in Diagnostic Procedures.

Revision 4

Cell Signaling Technology Logo
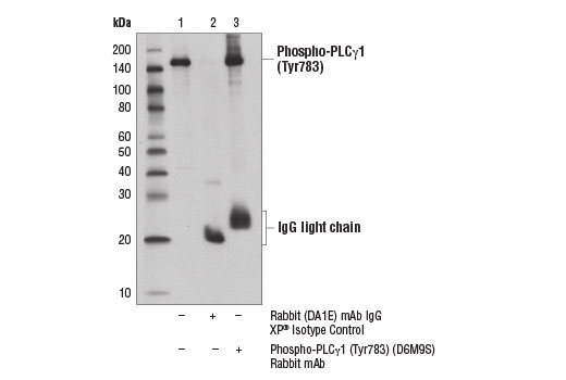
Immunoprecipitation of phospho-PLCγ1 (Tyr783) from A-431 cell extracts stimulated with hEGF #8916 using Rabbit (DA1E) mAb IgG XP® Isotype Control #3900 (lane 2) or Phospho-PLCγ1 (Tyr783) (D6M9S) Rabbit mAb (lane 3). Lane 1 is 10% input. Western blot analysis was performed using Phospho-PLCγ1 (Tyr783) (D6M9S) Rabbit mAb.
undefined Image 7: PLC gamma Antibody Sampler Kit
Western blot analysis of HAP1 extracts from WT (left) or PLCG2 KO (right) using PLCγ2 (E5U4T) Rabbit mAb. Membranes stained with Ponceau S for total protein normalization (lower). These data were provided by YCharOS Inc., an open science company with the mission of characterizing commercially available antibodies, as a companion to validation data generated by CST scientists.
undefined Image 8: PLC gamma Antibody Sampler Kit
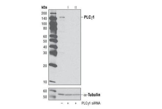
Western blot analysis of extracts from HeLa cells, either mock-transfected or transfected for 48 hours with SignalSilence™ PLCγ1 siRNA I or siRNA II, using PLCγ1 (D9H10) XP® Rabbit mAb.
undefined Image 9: PLC gamma Antibody Sampler Kit
Orders: 877-616-CELL (2355) [email protected] Support: 877-678-TECH (8324) [email protected] Web: cellsignal.com
For Research Use Only. Not for Use in Diagnostic Procedures.

Revision 4

Cell Signaling Technology Logo
Simple Western™ analysis of lysates (1 mg/ml) from ZR-75-1 cells using PLCγ2 (E5U4T) Rabbit mAb #55512. The virtual lane view (left) shows the target band (as indicated) at 1:10 and 1:50 dilutions of primary antibody. The corresponding electropherogram view (right) plots chemiluminescence by molecular weight along the capillary at 1:10 (blue line) and 1:50 (green line) dilutions of primary antibody. This experiment was performed under reducing conditions on the Jess™ Simple Western instrument from ProteinSimple, a BioTechne brand, using the 66-440kDa.
undefined Image 10: PLC gamma Antibody Sampler Kit
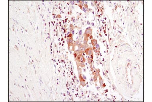
Immunohistochemical analysis of paraffin-embedded human breast carcinoma using PLCγ1 (D9H10) XP® Rabbit mAb.
undefined Image 11: PLC gamma Antibody Sampler Kit
Flow cytometric analysis of NIH/3T3 cells, untreated (blue) or treated with mPDGFbb (200ng/mL, 15 min; green) using Phospho-PLCγ1 (Tyr783) (D6M9S) Rabbit mAb (solid lines) or concentration-matched Rabbit (DA1E) mAb IgG XP® Isotype Control #3900 (dashed lines). Anti-rabbit IgG (H+L), F(ab')2 Fragment (Alexa Fluor® 488 Conjugate) #4412 was used as a secondary antibody.
undefined Image 12: PLC gamma Antibody Sampler Kit
Orders: 877-616-CELL (2355) [email protected] Support: 877-678-TECH (8324) [email protected] Web: cellsignal.com
For Research Use Only. Not for Use in Diagnostic Procedures.

Revision 4

Cell Signaling Technology Logo
Immunoprecipitation of PLCγ2 from HCT 116 cell extracts. Lane 1 is 10% input, lane 2 is Rabbit (DA1E) mAb IgG XP® Isotype Control #3900, and lane 3 is PLCγ2 (E5U4T) Rabbit mAb. Western blot analysis was performed using PLCγ2 (E5U4T) Rabbit mAb.
undefined Image 13: PLC gamma Antibody Sampler Kit
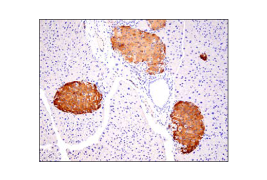
Immunohistochemical analysis of paraffin-embedded mouse pancreas using PLCγ1 (D9H10) XP® Rabbit mAb.
undefined Image 14: PLC gamma Antibody Sampler Kit
Confocal immunofluorescent analysis of HCT 116 cells (left, positive) and 22Rv1 cells (right, negative) using PLCγ2 (E5U4T) Rabbit mAb (green). Actin filaments were labeled with DyLight™ 554 Phalloidin #13054 (red). Samples were mounted in ProLong® Gold Antifade Reagent with DAPI #8961 (blue).
undefined Image 15: PLC gamma Antibody Sampler Kit
Orders: 877-616-CELL (2355) [email protected] Support: 877-678-TECH (8324) [email protected] Web: cellsignal.com
For Research Use Only. Not for Use in Diagnostic Procedures.

Revision 4

Cell Signaling Technology Logo
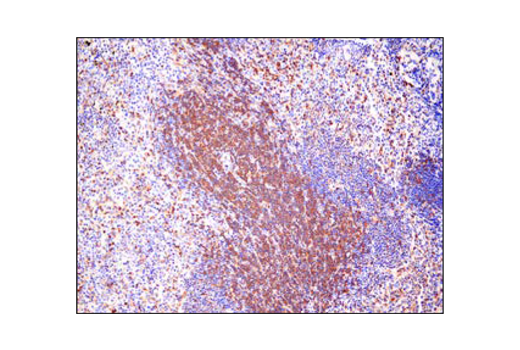
Immunohistochemical analysis of paraffin-embedded mouse spleen using PLCγ1 (D9H10) XP® Rabbit mAb.
undefined Image 16: PLC gamma Antibody Sampler Kit
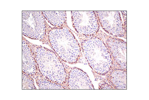
Immunohistochemical analysis of paraffin-embedded mouse testis using PLCγ1 (D9H10) XP® Rabbit mAb.
undefined Image 17: PLC gamma Antibody Sampler Kit
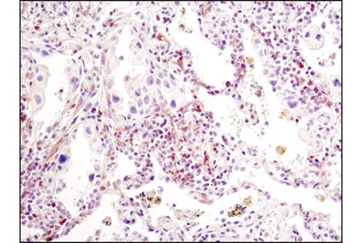
Immunohistochemical analysis of paraffin-embedded human lung carcinoma using PLCγ1 (D9H10) XP® Rabbit mAb.
undefined Image 18: PLC gamma Antibody Sampler Kit
Orders: 877-616-CELL (2355) [email protected] Support: 877-678-TECH (8324) [email protected] Web: cellsignal.com
For Research Use Only. Not for Use in Diagnostic Procedures.

Revision 4

Cell Signaling Technology Logo
Simple Western™ analysis of lysates (0.1 mg/mL) from serum-starved A431 cells treated with hEGF (100 ng/mL, 5 min.) using Phospho-PLCγ1 (Tyr783) (D6M9S) Rabbit mAb #14008. The virtual lane view (left) shows a single target band (as indicated) at 1:50 and 1:250 dilutions of primary antibody. The corresponding electropherogram view (right) plots chemiluminescence by molecular weight along the capillary at 1:50 (blue line) and 1:250 (green line) dilutions of primary antibody. This experiment was performed under reducing conditions on the Jess™ Simple Western instrument from ProteinSimple, a BioTechne brand, using the 12-230 kDa separation module.
undefined Image 19: PLC gamma Antibody Sampler Kit
Simple Western™ analysis of lysates (0.75 mg/ml) from Ramos + IgM cells using Phospho-PLCγ2 (Tyr759) (E9E9Y) Rabbit mAb #50535. The virtual lane view (left) shows the target band (as indicated) at 1:10 and 1:50 dilutions of primary antibody. The corresponding electropherogram view (right) plots chemiluminescence by molecular weight along the capillary at 1:10 (blue line) and 1:50 (green line) dilutions of primary antibody. This experiment was performed under reducing conditions on the Jess™ Simple Western instrument from ProteinSimple, a BioTechne brand, using the 12-230kDa.
undefined Image 20: PLC gamma Antibody Sampler Kit
Immunoprecipitation of PLCγ1 protein from HeLa cell extracts. Lane 1 is 10% input, lane 2 is PLCγ1 (D9H10) XP® Rabbit mAb, and lane 3 is Rabbit (DA1E) mAb IgG XP® Isotype Control #3900. Western blot analysis was performed using PLCγ1 (D9H10) XP® Rabbit mAb. Anti-rabbit IgG, HRP-linked Antibody #7074 was used as a secondary antibody.
undefined Image 21: PLC gamma Antibody Sampler Kit
Orders: 877-616-CELL (2355) [email protected] Support: 877-678-TECH (8324) [email protected] Web: cellsignal.com
For Research Use Only. Not for Use in Diagnostic Procedures.

Revision 4

Cell Signaling Technology Logo
Simple Western™ analysis of lysates (1mg/mL) from 3T3 cells using PLCγ1 (D9H10) XP® Rabbit mAb #5690. The virtual lane view (left) shows the target band (as indicated) at 1:10 and 1:50 dilutions of primary antibody. The corresponding electropherogram view (right) plots chemiluminescence by molecular weight along the capillary at 1:10 (blue line) and 1:50 (green line) dilutions of primary antibody. This experiment was performed under reducing conditions on the Jess™ Simple Western instrument from ProteinSimple, a BioTechne brand, using the12-230 kDa separation module.
undefined Image 22: PLC gamma Antibody Sampler Kit
Orders: 877-616-CELL (2355) [email protected] Support: 877-678-TECH (8324) [email protected] Web: cellsignal.com
For Research Use Only. Not for Use in Diagnostic Procedures.