Revision 3

#12254

Store at -20C

CST Logo
Orders:

877-616-CELL (2355)

[email protected]

Support:

877-678-TECH (8324)

3 Trask Lane | Danvers | Massachusetts | 01923 | USA

For Research Use Only. Not for Use in Diagnostic Procedures.

Applications:
W, IP, IF-IC

Reactivity:
H M R Mk

Sensitivity:
Endogenous

MW (kDa):
400-500

Source/Isotype:
Rabbit IgG

UniProt ID:
#Q15149

Entrez-Gene Id:
5339

Product Usage Information

Application Dilution
Western Blotting 1:1000
Immunoprecipitation 1:50
Immunofluorescence (Immunocytochemistry) 1:50

Storage

Supplied in 10 mM sodium HEPES (pH 7.5), 150 mM NaCl, 100 µg/ml BSA, 50% glycerol and less than 0.02% sodium azide. Store at –20°C. Do not aliquot the antibody.

Specificity/Sensitivity

Plectin-1 (D6A11) Rabbit Monoclonal Antibody recognizes endogenous levels of total plectin-1 protein.

Source / Purification

Monoclonal antibody is produced by immunizing animals with a synthetic peptide corresponding to residues surrounding Leu2980 of human plectin-1 protein.

Background

Plectin is a large, widely expressed protein that crosslinks the intermediate filament and actin cytoskeleton, mechanically stabilizing cells and tissues. Plectin also plays a role in the regulation of actin dynamics and acts as a scaffold for signaling molecules (1). Plectin is important in the stabilization of hemidesmosomes, crosslinking them to the intermediate filament network. Research studies have shown that mutations in plectin and other genes coding for hemidesmosomal proteins can cause epidermolysis bullosa, a condition manifested by fragile skin and frequent blistering (1,2). Plectin modulates signals to PKC through binding and sequestration of RACK1, the receptor for activated C kinase 1 (3,4). Plectin is also involved in the regulation of cytokeratin architecture and cell stress response (4), signaling through the chemokine receptor CXCR4 (5) and regulation of AMP-activated protein kinase (AMPK) activity and signaling in mouse myotubes (6).

Species Reactivity

Species reactivity is determined by testing in at least one approved application (e.g., western blot).

Western Blot Buffer

IMPORTANT: For western blots, incubate membrane with diluted primary antibody in 5% w/v nonfat dry milk, 1X TBS, 0.1% Tween® 20 at 4°C with gentle shaking, overnight.

Applications Key

W: Western Blotting IP: Immunoprecipitation IF-IC: Immunofluorescence (Immunocytochemistry)

Cross-Reactivity Key

H: Human M: Mouse R: Rat Mk: Monkey

Trademarks and Patents

Cell Signaling Technology is a trademark of Cell Signaling Technology, Inc.

All other trademarks are the property of their respective owners. Visit cellsignal.com/trademarks for more information.

Limited Uses

Except as otherwise expressly agreed in a writing signed by a legally authorized representative of CST, the following terms apply to Products provided by CST, its affiliates or its distributors. Any Customer's terms and conditions that are in addition to, or different from, those contained herein, unless separately accepted in writing by a legally authorized representative of CST, are rejected and are of no force or effect.

Products are labeled with For Research Use Only or a similar labeling statement and have not been approved, cleared, or licensed by the FDA or other regulatory foreign or domestic entity, for any purpose. Customer shall not use any Product for any diagnostic or therapeutic purpose, or otherwise in any manner that conflicts with its labeling statement. Products sold or licensed by CST are provided for Customer as the end-user and solely for research and development uses. Any use of Product for diagnostic, prophylactic or therapeutic purposes, or any purchase of Product for resale (alone or as a component) or other commercial purpose, requires a separate license from CST. Customer shall (a) not sell, license, loan, donate or otherwise transfer or make available any Product to any third party, whether alone or in combination with other materials, or use the Products to manufacture any commercial products, (b) not copy, modify, reverse engineer, decompile, disassemble or otherwise attempt to discover the underlying structure or technology of the Products, or use the Products for the purpose of developing any products or services that would compete with CST products or services, (c) not alter or remove from the Products any trademarks, trade names, logos, patent or copyright notices or markings, (d) use the Products solely in accordance with CST Product Terms of Sale and any applicable documentation, and (e) comply with any license, terms of service or similar agreement with respect to any third party products or services used by Customer in connection with the Products.

Orders: 877-616-CELL (2355) [email protected] Support: 877-678-TECH (8324) [email protected] Web: cellsignal.com
For Research Use Only. Not for Use in Diagnostic Procedures.

Revision 3

Cell Signaling Technology Logo
Western blot analysis of extracts from COS-7 and U-2 OS cells using Plectin-1 (D6A11) Rabbit mAb.
Western Blotting Image 1: Plectin-1 (D6A11) Rabbit Monoclonal Antibody
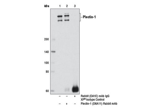
Immunoprecipitation of plectin-1 from U-2 OS cell extracts, using Plectin-1 (D6A11) Rabbit mAb (lane 2) or Rabbit (DA1E) mAb IgG XP® Isotype Control #3900 (lane 3). Lane 1 is 10% input. Western blot analysis was performed using Plectin-1 (D6A11) Rabbit mAb.
Immunoprecipitation Image 1: Plectin-1 (D6A11) Rabbit Monoclonal Antibody
Confocal immunofluorescent analysis of HeLa cells using Plectin-1 (D6A11) Rabbit mAb (green). Blue pseudocolor = DRAQ5® #4084 (fluorescent DNA dye).
Immunofluorescence Image 1: Plectin-1 (D6A11) Rabbit Monoclonal Antibody
Orders: 877-616-CELL (2355) [email protected] Support: 877-678-TECH (8324) [email protected] Web: cellsignal.com
For Research Use Only. Not for Use in Diagnostic Procedures.