Revision 7

#28702

Store at -20C

CST Logo
Orders:

877-616-CELL (2355)

[email protected]

Support:

877-678-TECH (8324)

3 Trask Lane | Danvers | Massachusetts | 01923 | USA

For Research Use Only. Not for Use in Diagnostic Procedures.

Applications:
W, W-S, IHC-P, IF-F

Reactivity:
H M R

Sensitivity:
Endogenous

MW (kDa):
20-30

Source/Isotype:
Rabbit IgG

UniProt ID:
#P60201

Entrez-Gene Id:
5354

Product Usage Information

Application Dilution
Western Blotting 1:1000
Simple Western™ 1:10 - 1:50
Immunohistochemistry (Paraffin) 1:50 - 1:200
Immunofluorescence (Frozen) 1:100 - 1:400

Storage

Supplied in 10 mM sodium HEPES (pH 7.5), 150 mM NaCl, 100 µg/ml BSA, 50% glycerol and less than 0.02% sodium azide. Store at –20°C. Do not aliquot the antibody.

For a carrier free (BSA and azide free) version of this product see product #36593.

Specificity/Sensitivity

PLP1 (E9V1N) Rabbit Monoclonal Antibody recognizes endogenous levels of total PLP1 protein.

Source / Purification

Monoclonal antibody is produced by immunizing animals with a synthetic peptide corresponding to residues near the carboxy terminus of human PLP1 protein.

Background

Myelin proteolipid protein (PLP1) corresponds to the majority of myelin proteins in the CNS, providing support to axons and modulating the axonal growth (1). DM20 is the result of the alternative splicing of the plp1 gene, which is linked to oligodendrocyte differentiation and survival. The imbalance of PLP1/DM20 is linked to Pelizaeus-Merzbacher disease (2,3), including mitochondrial damage (4). In addition, PLP1, but not DM20, can enter the mitochondria and participate in the metabolism of cells (5).

Species Reactivity

Species reactivity is determined by testing in at least one approved application (e.g., western blot).

Western Blot Buffer

IMPORTANT: For western blots, incubate membrane with diluted primary antibody in 5% w/v BSA, 1X TBS, 0.1% Tween® 20 at 4°C with gentle shaking, overnight.

Applications Key

W: Western Blotting W-S: Simple Western™ IHC-P: Immunohistochemistry (Paraffin) IF-F: Immunofluorescence (Frozen)

Cross-Reactivity Key

H: Human M: Mouse R: Rat

Trademarks and Patents

Cell Signaling Technology is a trademark of Cell Signaling Technology, Inc.

All other trademarks are the property of their respective owners. Visit cellsignal.com/trademarks for more information.

Limited Uses

Except as otherwise expressly agreed in a writing signed by a legally authorized representative of CST, the following terms apply to Products provided by CST, its affiliates or its distributors. Any Customer's terms and conditions that are in addition to, or different from, those contained herein, unless separately accepted in writing by a legally authorized representative of CST, are rejected and are of no force or effect.

Products are labeled with For Research Use Only or a similar labeling statement and have not been approved, cleared, or licensed by the FDA or other regulatory foreign or domestic entity, for any purpose. Customer shall not use any Product for any diagnostic or therapeutic purpose, or otherwise in any manner that conflicts with its labeling statement. Products sold or licensed by CST are provided for Customer as the end-user and solely for research and development uses. Any use of Product for diagnostic, prophylactic or therapeutic purposes, or any purchase of Product for resale (alone or as a component) or other commercial purpose, requires a separate license from CST. Customer shall (a) not sell, license, loan, donate or otherwise transfer or make available any Product to any third party, whether alone or in combination with other materials, or use the Products to manufacture any commercial products, (b) not copy, modify, reverse engineer, decompile, disassemble or otherwise attempt to discover the underlying structure or technology of the Products, or use the Products for the purpose of developing any products or services that would compete with CST products or services, (c) not alter or remove from the Products any trademarks, trade names, logos, patent or copyright notices or markings, (d) use the Products solely in accordance with CST Product Terms of Sale and any applicable documentation, and (e) comply with any license, terms of service or similar agreement with respect to any third party products or services used by Customer in connection with the Products.

Orders: 877-616-CELL (2355) [email protected] Support: 877-678-TECH (8324) [email protected] Web: cellsignal.com
For Research Use Only. Not for Use in Diagnostic Procedures.

Revision 7

Cell Signaling Technology Logo
Western blot analysis of extracts from various tissues using PLP1 (E9V1N) Rabbit mAb (upper) and α-Actinin (D6F6) XP® Rabbit mAb #6487 (lower). The upper band corresponds to the full-length PLP1 while the lower band is an alternative splice from PLP1 known as DM20.
Western Blotting Image 1: PLP1 (E9V1N) Rabbit Monoclonal Antibody
Simple Western™ analysis of lysates (0.05 mg/mL) from mouse brain tissue using PLP1 (E9V1N) Rabbit mAb #28702. The virtual lane view (left) shows the target band (as indicated) at 1:10 and 1:50 dilutions of primary antibody. The corresponding electropherogram view (right) plots chemiluminescence by molecular weight along the capillary at 1:10 (blue line) and 1:50 (green line) dilutions of primary antibody. This experiment was performed under reducing conditions on the Jess™ Simple Western instrument from ProteinSimple, a BioTechne brand, using the 12-230 kDa separation module.
Western Blotting Image 1: PLP1 (E9V1N) Rabbit Monoclonal Antibody
Immunohistochemical analysis of paraffin-embedded human Alzheimer's brain using PLP1 (E9V1N) Rabbit mAb.
Immunohistochemistry Image 1: PLP1 (E9V1N) Rabbit Monoclonal Antibody
Orders: 877-616-CELL (2355) [email protected] Support: 877-678-TECH (8324) [email protected] Web: cellsignal.com
For Research Use Only. Not for Use in Diagnostic Procedures.

Revision 7

Cell Signaling Technology Logo
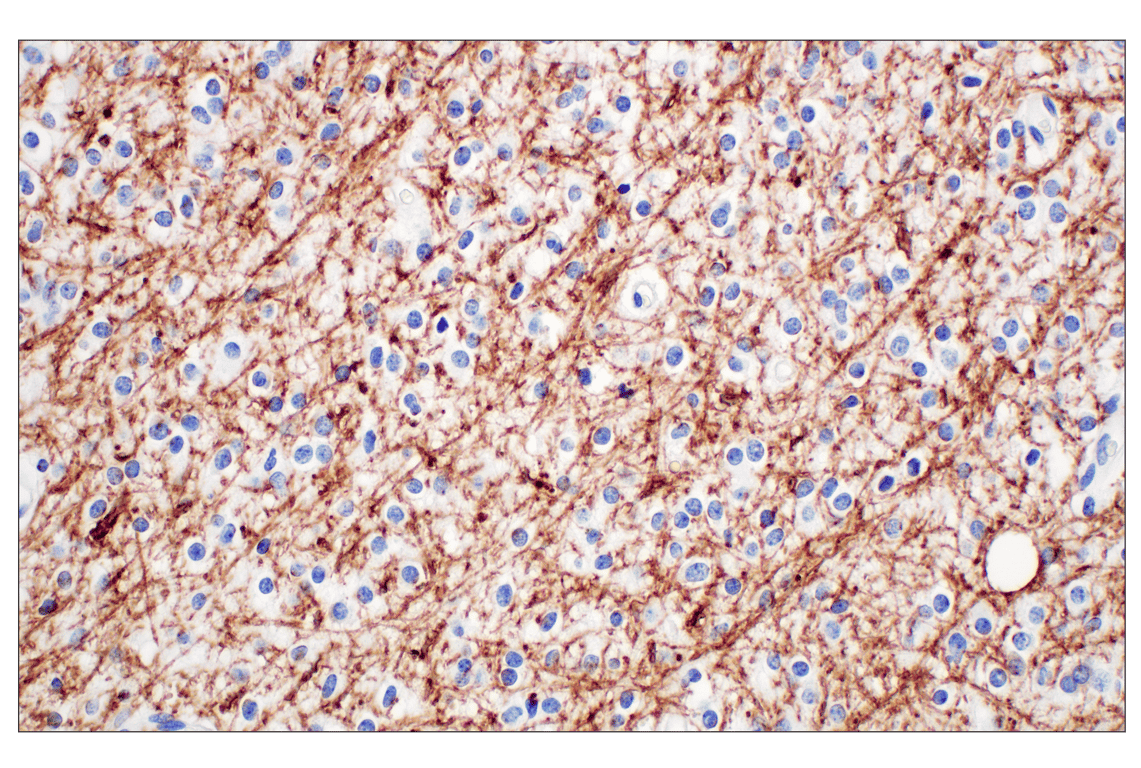
Immunohistochemical analysis of paraffin-embedded human glioma using PLP1 (E9V1N) Rabbit mAb.
Immunohistochemistry Image 2: PLP1 (E9V1N) Rabbit Monoclonal Antibody
Immunohistochemical analysis of paraffin-embedded human glioblastoma using PLP1 (E9V1N) Rabbit mAb.
Immunohistochemistry Image 3: PLP1 (E9V1N) Rabbit Monoclonal Antibody
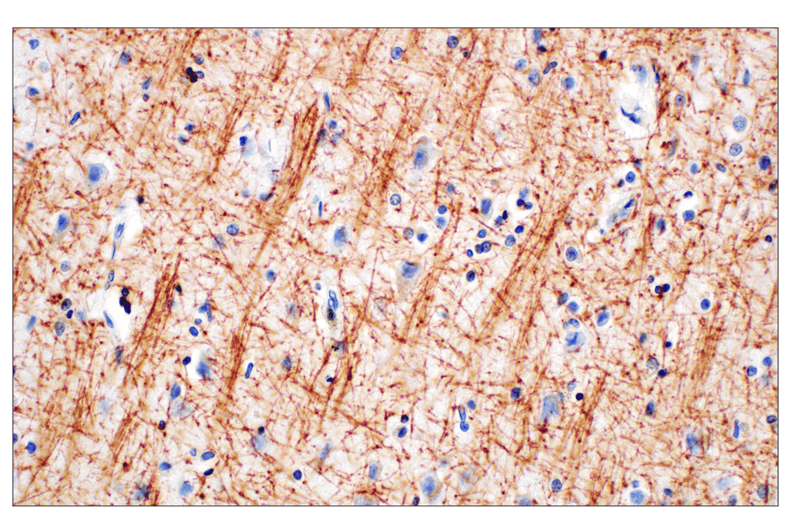
Immunohistochemical analysis of paraffin-embedded normal human brain using PLP1 (E9V1N) Rabbit mAb.
Immunohistochemistry Image 4: PLP1 (E9V1N) Rabbit Monoclonal Antibody
Orders: 877-616-CELL (2355) [email protected] Support: 877-678-TECH (8324) [email protected] Web: cellsignal.com
For Research Use Only. Not for Use in Diagnostic Procedures.

Revision 7

Cell Signaling Technology Logo
Immunohistochemical analysis of paraffin-embedded mouse cerebellum (left, positive), small intestine (middle, negative), or LL/2 syngeneic tumor (right, negative) using PLP1 (E9V1N) Rabbit mAb.
Immunohistochemistry Image 5: PLP1 (E9V1N) Rabbit Monoclonal Antibody
Immunohistochemical analysis of paraffin-embedded normal human brain using PLP1 (E9V1N) Rabbit mAb (left) compared to concentration-matched Rabbit (DA1E) mAb IgG XP® Isotype Control #3900 (right).
Immunohistochemistry Image 6: PLP1 (E9V1N) Rabbit Monoclonal Antibody
Confocal immunofluorescent analysis of mouse cerebellum (left) and striatum (right) using PLP1 (E9V1N) Rabbit mAb (green) and GFAP (GA5) Mouse mAb #3670 (red). Samples were mounted in ProLong® Gold Antifade Reagent with DAPI #8961 (blue).
Immunofluorescence Image 1: PLP1 (E9V1N) Rabbit Monoclonal Antibody
Orders: 877-616-CELL (2355) [email protected] Support: 877-678-TECH (8324) [email protected] Web: cellsignal.com
For Research Use Only. Not for Use in Diagnostic Procedures.

Revision 7

Cell Signaling Technology Logo
Confocal immunofluorescent analysis of fixed frozen mouse subiculum from wild-type (left) or an amyloid mouse model of Alzheimer's disease (right) using PLP1 (E9V1N) Rabbit mAb (green). After blocking free secondary antibody binding sites with Rabbit (DA1E) mAb IgG XP® Isotype Control #3900, the tissue was then labeled using β-Amyloid (D54D2) XP® Rabbit mAb (Alexa Fluor® 594 Conjugate) #35363 (red) and ProLong® Gold Antifade Reagent with DAPI #8961 (blue).
Immunofluorescence Image 2: PLP1 (E9V1N) Rabbit Monoclonal Antibody
Confocal immunofluorescent analysis of fixed frozen mouse hippocampus from wild-type (left) or an amyloid mouse model of Alzheimer's disease (right) using PLP1 (E9V1N) Rabbit mAb (green). After blocking free secondary antibody binding sites with Rabbit (DA1E) mAb IgG XP® Isotype Control #3900, the tissue was then labeled using Iba1/AIF-1 (E4O4W) XP® Rabbit mAb (Alexa Fluor® 555 Conjugate) (red) and ProLong® Gold Antifade Reagent with DAPI #8961 (blue).
Immunofluorescence Image 3: PLP1 (E9V1N) Rabbit Monoclonal Antibody
Cyclic multiplex immunofluorescent analysis of fixed frozen hippocampus in a normal mouse (left) or an amyloid mouse model of Alzheimer's Disease (right) using PLP1 (E9V1N) Rabbit mAb (red). After blocking free secondary antibody binding sites with Rabbit (DA1E) mAb IgG XP® Isotype Control #3900, the tissues were then labeled using Myelin Basic Protein (D8X4Q) XP® Rabbit mAb (Alexa Fluor® 647 Conjugate) #30103 (green) and β-Amyloid (D54D2) XP® Rabbit mAb (Alexa Fluor® 488 Conjugate) #51374 (cyan). Sections were mounted in ProLong Gold Antifade Reagent with DAPI #8961 (blue) and then imaged. After imaging, sections were processed in Western Blot Stripping Buffer (5X) #91925 to remove bound primary and secondary antibody. Then sections were labeled with GFAP (E4L7M) XP® Rabbit mAb (Alexa Fluor® 488 Conjugate) #94242 (gray) and Iba1/AIF-1 (E4O4W) XP® Rabbit mAb (Alexa Fluor® 647 Conjugate) #78060 (magenta). Sections were mounted in ProLong Gold Antifade Reagent with DAPI #8961 (blue) and then imaged a second time.
Immunofluorescence Image 4: PLP1 (E9V1N) Rabbit Monoclonal Antibody
Orders: 877-616-CELL (2355) [email protected] Support: 877-678-TECH (8324) [email protected] Web: cellsignal.com
For Research Use Only. Not for Use in Diagnostic Procedures.

Revision 7

Cell Signaling Technology Logo
Cyclic multiplex immunofluorescent analysis of fixed frozen cortex in a normal mouse (left) or an amyloid mouse model of Alzheimer's Disease (right) using PLP1 (E9V1N) Rabbit mAb #28702 (red). After blocking free secondary antibody binding sites with Rabbit (DA1E) mAb IgG XP® Isotype Control #3900, the tissues were then labeled using Myelin Basic Protein (D8X4Q) XP® Rabbit mAb (Alexa Fluor® 647 Conjugate) #30103 (green) and β-Amyloid (D54D2) XP® Rabbit mAb (Alexa Fluor® 488 Conjugate) #51374 (cyan). Sections were mounted in ProLong Gold Antifade Reagent with DAPI #8961 (blue) and then imaged. After imaging, sections were processed in Western Blot Stripping Buffer (5X) #91925 to remove bound primary and secondary antibody. Then sections were labeled with GFAP (E4L7M) XP® Rabbit mAb (Alexa Fluor® 488 Conjugate) #94242 (gray) and Iba1/AIF-1 (E4O4W) XP® Rabbit mAb (Alexa Fluor® 647 Conjugate) #78060 (magenta). Sections were mounted in ProLong Gold Antifade Reagent with DAPI #8961 (blue) and then imaged a second time.
Immunofluorescence Image 5: PLP1 (E9V1N) Rabbit Monoclonal Antibody
Orders: 877-616-CELL (2355) [email protected] Support: 877-678-TECH (8324) [email protected] Web: cellsignal.com
For Research Use Only. Not for Use in Diagnostic Procedures.