Revision 3

#9093

Store at -20C

CST Logo
Orders:

877-616-CELL (2355)

[email protected]

Support:

877-678-TECH (8324)

3 Trask Lane | Danvers | Massachusetts | 01923 | USA

For Research Use Only. Not for Use in Diagnostic Procedures.

Product Includes Product # Quantity Mol. Wt Isotype/Source
Nanog (D73G4) Rabbit Monoclonal Antibody490320 µl42 kDaRabbit IgG
Oct-4A (C30A3) Rabbit Monoclonal Antibody284020 µl45 kDaRabbit IgG
Sox2 (D6D9) Rabbit Monoclonal Antibody357920 µl35 kDaRabbit

Please visit cellsignal.com for individual component applications, species cross-reactivity, dilutions, protocols, and additional product information.

Description

StemLight™ Pluripotency Transcription Factor IF Antibody Sampler Kit contains a panel of antibodies for the detection of Oct-4, Nanog, and Sox2, key components of the core pluripotency transcription network in embryonic stem (ES) and induced pluripotent stem (iPS) cells. The kit can be used to track the pluripotent potential of human ES or iPS cells. The loss of these markers indicates a loss of pluripotency or differentiation of the culture. The kit components are pre-optimized for parallel use in immunofluorescent analysis at a standard dilution, but components are also validated for use in other applications - please refer to individual datasheet information for application specific recommendations. Enough reagents are provided for 160 immunofluorescent assays based on a working volume of 100 μl.

Storage

Supplied in 10 mM sodium HEPES (pH 7.5), 150 mM NaCl, 100 µg/ml BSA, 50% glycerol and less than 0.02% sodium azide. Store at –20°C. Do not aliquot the antibody.

Background

Pluripotency is the ability of a cell to differentiate into cell types of the three germ layers, the endoderm, ectoderm and mesoderm. It is a property shared by embryonic stem cells, embryonic carcinoma, and induced pluripotent cells.
Oct-4, Sox2, and Nanog are key transcriptional regulators that are highly expressed in pluripotent cells (1). Together they form a transcriptional network that maintains cells in a pluripotent state (2,3). Over-expression of Oct-4 and Sox2, along with KLF4 and c-Myc can induce pluripotency in both mouse and human somatic cells, highlighting their roles as key regulators of the transcriptional network necessary for renewal and pluripotency (4-5). It has also been demonstrated that overexpression of Oct-4, Sox2, Nanog, and Lin28 can induce pluripotency in human somatic cells (6). Upon differentiation of pluripotent cultures, expression of Oct-4, Nanog, and Sox2 is downregulated.

Trademarks and Patents

Cell Signaling Technology is a trademark of Cell Signaling Technology, Inc.

StemLight® is a registered trademark of Cell Signaling Technology, Inc.

U.S. Patent No. 7,429,487, foreign equivalents, and child patents deriving therefrom.

All other trademarks are the property of their respective owners. Visit cellsignal.com/trademarks for more information.

Limited Uses

Except as otherwise expressly agreed in a writing signed by a legally authorized representative of CST, the following terms apply to Products provided by CST, its affiliates or its distributors. Any Customer's terms and conditions that are in addition to, or different from, those contained herein, unless separately accepted in writing by a legally authorized representative of CST, are rejected and are of no force or effect.

Products are labeled with For Research Use Only or a similar labeling statement and have not been approved, cleared, or licensed by the FDA or other regulatory foreign or domestic entity, for any purpose. Customer shall not use any Product for any diagnostic or therapeutic purpose, or otherwise in any manner that conflicts with its labeling statement. Products sold or licensed by CST are provided for Customer as the end-user and solely for research and development uses. Any use of Product for diagnostic, prophylactic or therapeutic purposes, or any purchase of Product for resale (alone or as a component) or other commercial purpose, requires a separate license from CST. Customer shall (a) not sell, license, loan, donate or otherwise transfer or make available any Product to any third party, whether alone or in combination with other materials, or use the Products to manufacture any commercial products, (b) not copy, modify, reverse engineer, decompile, disassemble or otherwise attempt to discover the underlying structure or technology of the Products, or use the Products for the purpose of developing any products or services that would compete with CST products or services, (c) not alter or remove from the Products any trademarks, trade names, logos, patent or copyright notices or markings, (d) use the Products solely in accordance with CST Product Terms of Sale and any applicable documentation, and (e) comply with any license, terms of service or similar agreement with respect to any third party products or services used by Customer in connection with the Products.

Orders: 877-616-CELL (2355) [email protected] Support: 877-678-TECH (8324) [email protected] Web: cellsignal.com
For Research Use Only. Not for Use in Diagnostic Procedures.

Revision 3

Cell Signaling Technology Logo
Western blot analysis of extracts from NTERA2 and mouse embryonic stem cells (mESCs) using Oct-4A (C30A3) Rabbit mAb.
undefined Image 1: StemLight<sup>™</sup> Pluripotency Transcription Factor IF Antibody Sampler Kit
Western blot analysis of extracts from NTERA2 and NCCIT cells using Sox2 (D6D9) XP® Rabbit mAb.
undefined Image 2: StemLight<sup>™</sup> Pluripotency Transcription Factor IF Antibody Sampler Kit
Orders: 877-616-CELL (2355) [email protected] Support: 877-678-TECH (8324) [email protected] Web: cellsignal.com
For Research Use Only. Not for Use in Diagnostic Procedures.

Revision 3

Cell Signaling Technology Logo
Western blot analysis of extracts from NCCIT, NTERA-2 and iPS cells using Nanog (D73G4) XP® Rabbit mAb.
undefined Image 3: StemLight<sup>™</sup> Pluripotency Transcription Factor IF Antibody Sampler Kit
Orders: 877-616-CELL (2355) [email protected] Support: 877-678-TECH (8324) [email protected] Web: cellsignal.com
For Research Use Only. Not for Use in Diagnostic Procedures.

Revision 3

Cell Signaling Technology Logo
Confocal immunofluorescent analysis of NTERA2 (left) and mouse embryonic stem (mES) cells growing on mouse embryonic fibroblast (MEF) feeder cells (right) using Oct-4A (C30A3) Rabbit mAb (green). Actin filaments have been labeled with DY-554 phalloidin (red).
undefined Image 4: StemLight<sup>™</sup> Pluripotency Transcription Factor IF Antibody Sampler Kit
Orders: 877-616-CELL (2355) [email protected] Support: 877-678-TECH (8324) [email protected] Web: cellsignal.com
For Research Use Only. Not for Use in Diagnostic Procedures.

Revision 3

Cell Signaling Technology Logo
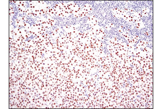
Immunohistochemical analysis of paraffin-embedded human seminoma using Nanog (D73G4) XP® Rabbit mAb.
undefined Image 5: StemLight<sup>™</sup> Pluripotency Transcription Factor IF Antibody Sampler Kit
Orders: 877-616-CELL (2355) [email protected] Support: 877-678-TECH (8324) [email protected] Web: cellsignal.com
For Research Use Only. Not for Use in Diagnostic Procedures.

Revision 3

Cell Signaling Technology Logo
Flow cytometric analysis of Daudi cells (blue, negative) and NCCIT cells (green, positive) using Oct-4A (C30A3) Rabbit mAb (solid lines) or a concentration-matched Rabbit (DA1E) mAb IgG XP® Isotype Control #3900 (dashed lines). Anti-rabbit IgG (H+L), F(ab')2 Fragment (Alexa Fluor® 488 Conjugate) #4412 was used as a secondary antibody.
undefined Image 6: StemLight<sup>™</sup> Pluripotency Transcription Factor IF Antibody Sampler Kit
Orders: 877-616-CELL (2355) [email protected] Support: 877-678-TECH (8324) [email protected] Web: cellsignal.com
For Research Use Only. Not for Use in Diagnostic Procedures.

Revision 3

Cell Signaling Technology Logo
Confocal immunofluorescent analysis of NTERA-2 cells (left) and HeLa cells (right) using Nanog (D73G4) XP® Rabbit mAb (green). Actin filaments have been labeled with DY-554 phalloidin (red).
undefined Image 7: StemLight<sup>™</sup> Pluripotency Transcription Factor IF Antibody Sampler Kit
Orders: 877-616-CELL (2355) [email protected] Support: 877-678-TECH (8324) [email protected] Web: cellsignal.com
For Research Use Only. Not for Use in Diagnostic Procedures.

Revision 3

Cell Signaling Technology Logo
Confocal immunofluorescent analysis of NTERA2 (left) and HeLa (right) cells using Sox2 (D6D9) XP® Rabbit mAb (green). Actin filaments have been labeled with DY-554 phalloidin (red).
undefined Image 8: StemLight<sup>™</sup> Pluripotency Transcription Factor IF Antibody Sampler Kit
Orders: 877-616-CELL (2355) [email protected] Support: 877-678-TECH (8324) [email protected] Web: cellsignal.com
For Research Use Only. Not for Use in Diagnostic Procedures.

Revision 3

Cell Signaling Technology Logo
Flow cytometric analysis of HeLa cells (blue) and NTERA-2 cells (green) using Nanog (D73G4) XP® Rabbit mAb.
undefined Image 9: StemLight<sup>™</sup> Pluripotency Transcription Factor IF Antibody Sampler Kit
Orders: 877-616-CELL (2355) [email protected] Support: 877-678-TECH (8324) [email protected] Web: cellsignal.com
For Research Use Only. Not for Use in Diagnostic Procedures.

Revision 3

Cell Signaling Technology Logo
Flow cytometric analysis of HeLa cells (blue) and NTERA2 cells (green) using Sox2 (D6D9) XP® Rabbit mAb.
undefined Image 10: StemLight<sup>™</sup> Pluripotency Transcription Factor IF Antibody Sampler Kit
Orders: 877-616-CELL (2355) [email protected] Support: 877-678-TECH (8324) [email protected] Web: cellsignal.com
For Research Use Only. Not for Use in Diagnostic Procedures.

Revision 3

Cell Signaling Technology Logo
Simple Western™ analysis of lysates (0.1 mg/mL) from NTERA2 cells using Nanog (D73G4) XP® Rabbit mAb #4903. The virtual lane view (left) shows the target band (as indicated) at 1:10 and 1:50 dilutions of primary antibody. The corresponding electropherogram view (right) plots chemiluminescence by molecular weight along the capillary at 1:10 (blue line) and 1:50 (green line) dilutions of primary antibody. This experiment was performed under reducing conditions on the Jess™ ​​​​​​​Simple Western instrument from ProteinSimple, a BioTechne brand, using the 12-230 kDa separation module.
undefined Image 11: StemLight<sup>™</sup> Pluripotency Transcription Factor IF Antibody Sampler Kit
Orders: 877-616-CELL (2355) [email protected] Support: 877-678-TECH (8324) [email protected] Web: cellsignal.com
For Research Use Only. Not for Use in Diagnostic Procedures.