Revision 1

#49662

Store at -20C

CST Logo
Orders:

877-616-CELL (2355)

[email protected]

Support:

877-678-TECH (8324)

3 Trask Lane | Danvers | Massachusetts | 01923 | USA

For Research Use Only. Not for Use in Diagnostic Procedures.

Applications:
W, IHC-P

Reactivity:
M

Sensitivity:
Endogenous (IHC-P), Transfected (W)

MW (kDa):
58

Source/Isotype:
Rabbit IgG

UniProt ID:
#Q91WW7

Entrez-Gene Id:
116939

Product Usage Information

This product is the carrier free version of product #95546. All data were generated using the same antibody clone in the standard formulation which contains BSA and glycerol.

This formulation is ideal for use with technologies requiring specialized or custom antibody labeling, including fluorophores, metals, lanthanides, and oligonucleotides. It is not recommended for ChIP, ChIP-seq, CUT&RUN or CUT&Tag assays. If you require a carrier free formulation for chromatin profiling, please contact us. Optimal dilutions/concentrations should be determined by the end user.

BSA and Azide Free antibodies are quality control tested by size exclusion chromatography (SEC) to determine antibody integrity.

Formulation

Supplied in 1X PBS (10 mM Na2HPO4, 3 mM KCl, 2 mM KH2PO4, and 140 mM NaCl (pH 7.8)). BSA and Azide Free.

For standard formulation of this product see product #95546.

Storage

Store at -20°C. This product will freeze at -20°C so it is recommended to aliquot into single-use vials to avoid multiple freeze/thaw cycles. A slight precipitate may be present and can be dissolved by gently vortexing. This will not interfere with antibody performance.

Specificity/Sensitivity

PNPLA3 (E7N6O) Rabbit Monoclonal Antibody (BSA and Azide Free) recognizes transfected levels of total PNPLA3 protein by western blot and endogenous levels of total PNPLA3 protein by immunohistochemistry.

Species predicted to react based on 100% sequence homology

Rat

Source / Purification

Monoclonal antibody is produced by immunizing animals with a synthetic peptide corresponding to residues surrounding Val184 of murine PNPLA3 protein.

Background

PNPLA3, also known as adiponutrin, is a protein encoded by the PNPLA3 gene. It is a member of the patatin-like phospholipase domain (PNPLA) family of proteins, which are involved in various lipid metabolic processes. PNPLA3 is expressed primarily in the liver and adipose tissue, where it is localized to lipid droplets (1). PNPLA3 is also associated with several diseases, including nonalcoholic fatty liver disease (NAFLD). NAFLD is a spectrum of liver diseases that can range from simple steatosis (fatty liver) to nonalcoholic steatohepatitis (NASH), cirrhosis, and hepatocellular carcinoma (HCC) (2). PNPLA3 is the strongest genetic risk factor for NAFLD and its associated complications (3). Mouse PNPLA3 is a valuable tool for studying the role of PNPLA3 in human health and disease (4).

Species Reactivity

Species reactivity is determined by testing in at least one approved application (e.g., western blot).

Applications Key

W: Western Blotting IHC-P: Immunohistochemistry (Paraffin)

Cross-Reactivity Key

M: Mouse

Trademarks and Patents

Cell Signaling Technology is a trademark of Cell Signaling Technology, Inc.

All other trademarks are the property of their respective owners. Visit cellsignal.com/trademarks for more information.

Limited Uses

Except as otherwise expressly agreed in a writing signed by a legally authorized representative of CST, the following terms apply to Products provided by CST, its affiliates or its distributors. Any Customer's terms and conditions that are in addition to, or different from, those contained herein, unless separately accepted in writing by a legally authorized representative of CST, are rejected and are of no force or effect.

Products are labeled with For Research Use Only or a similar labeling statement and have not been approved, cleared, or licensed by the FDA or other regulatory foreign or domestic entity, for any purpose. Customer shall not use any Product for any diagnostic or therapeutic purpose, or otherwise in any manner that conflicts with its labeling statement. Products sold or licensed by CST are provided for Customer as the end-user and solely for research and development uses. Any use of Product for diagnostic, prophylactic or therapeutic purposes, or any purchase of Product for resale (alone or as a component) or other commercial purpose, requires a separate license from CST. Customer shall (a) not sell, license, loan, donate or otherwise transfer or make available any Product to any third party, whether alone or in combination with other materials, or use the Products to manufacture any commercial products, (b) not copy, modify, reverse engineer, decompile, disassemble or otherwise attempt to discover the underlying structure or technology of the Products, or use the Products for the purpose of developing any products or services that would compete with CST products or services, (c) not alter or remove from the Products any trademarks, trade names, logos, patent or copyright notices or markings, (d) use the Products solely in accordance with CST Product Terms of Sale and any applicable documentation, and (e) comply with any license, terms of service or similar agreement with respect to any third party products or services used by Customer in connection with the Products.

Orders: 877-616-CELL (2355) [email protected] Support: 877-678-TECH (8324) [email protected] Web: cellsignal.com
For Research Use Only. Not for Use in Diagnostic Procedures.

Revision 1

Cell Signaling Technology Logo
Western blot analysis of extracts from 293T cells, mock transfected (lane 1) or transiently transfected with an expression construct encoding Myc/DDK-tagged PNPLA3 (lane 2), using PNPLA3 (E7N6O) Rabbit mAb (upper), DYKDDDDK Tag (D6W5B) Rabbit mAb #14793 (middle), or β-Actin (D6A8) Rabbit mAb #8457 (lower). Data were generated using the standard formulation of this product.
Western Blotting Image 1: PNPLA3 (E7N6O) Rabbit Monoclonal Antibody (BSA and Azide Free)
Immunohistochemical analysis of paraffin-embedded mouse stomach using PNPLA3 (E7N6O) Rabbit mAb. Data were generated using the standard formulation of this product.
Immunohistochemistry Image 1: PNPLA3 (E7N6O) Rabbit Monoclonal Antibody (BSA and Azide Free)
Immunohistochemical analysis of paraffin-embedded mouse brown fat using PNPLA3 (E7N6O) Rabbit mAb. Data were generated using the standard formulation of this product.
Immunohistochemistry Image 2: PNPLA3 (E7N6O) Rabbit Monoclonal Antibody (BSA and Azide Free)
Orders: 877-616-CELL (2355) [email protected] Support: 877-678-TECH (8324) [email protected] Web: cellsignal.com
For Research Use Only. Not for Use in Diagnostic Procedures.

Revision 1

Cell Signaling Technology Logo
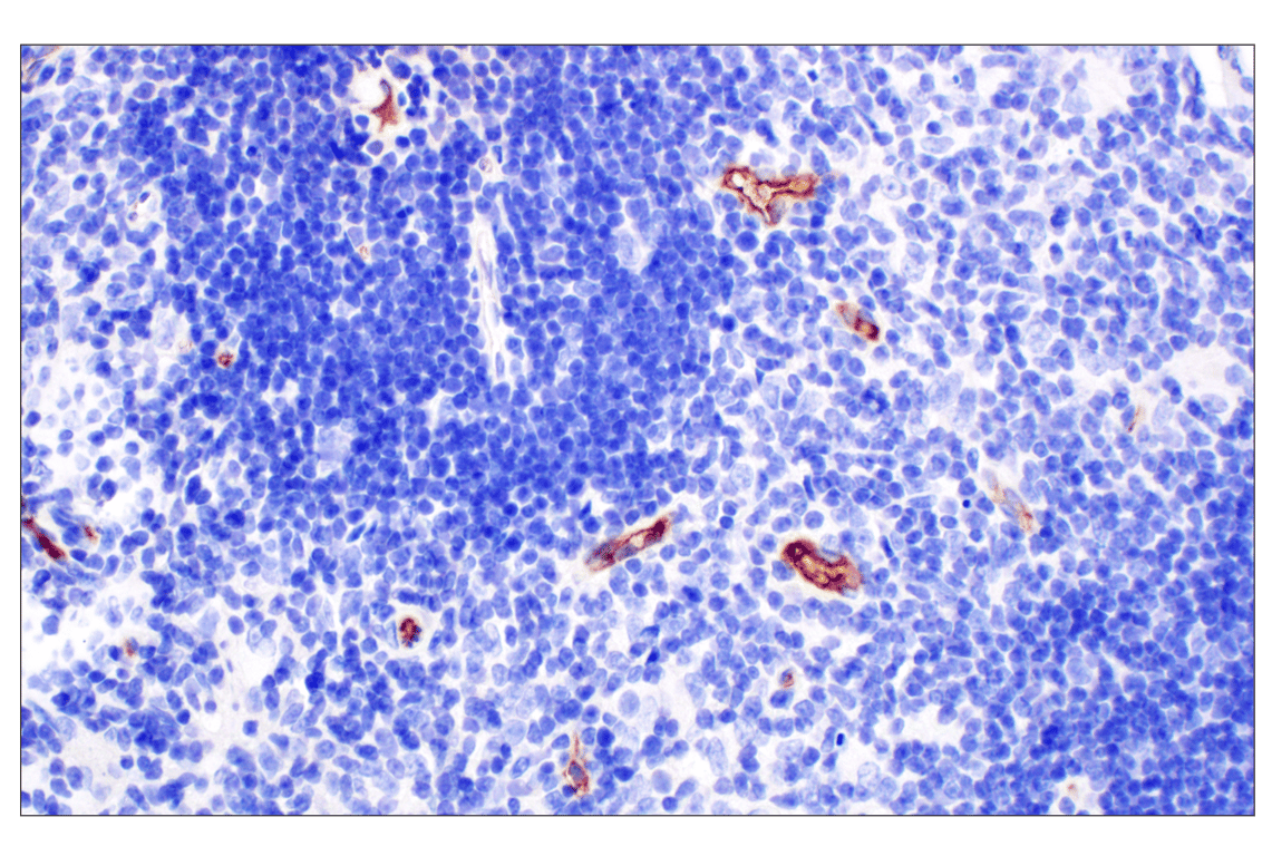
Immunohistochemical analysis of paraffin-embedded mouse thymus using PNPLA3 (E7N6O) Rabbit mAb. Data were generated using the standard formulation of this product.
Immunohistochemistry Image 3: PNPLA3 (E7N6O) Rabbit Monoclonal Antibody (BSA and Azide Free)
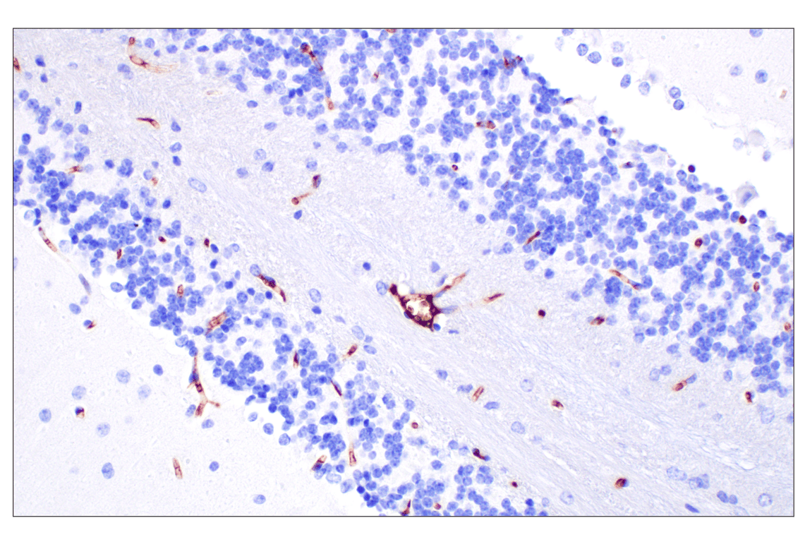
Immunohistochemical analysis of paraffin-embedded mouse cerebellum using PNPLA3 (E7N6O) Rabbit mAb. Data were generated using the standard formulation of this product.
Immunohistochemistry Image 4: PNPLA3 (E7N6O) Rabbit Monoclonal Antibody (BSA and Azide Free)
Immunohistochemical analysis of paraffin-embedded mouse lung using PNPLA3 (E7N6O) Rabbit mAb. Data were generated using the standard formulation of this product.
Immunohistochemistry Image 5: PNPLA3 (E7N6O) Rabbit Monoclonal Antibody (BSA and Azide Free)
Orders: 877-616-CELL (2355) [email protected] Support: 877-678-TECH (8324) [email protected] Web: cellsignal.com
For Research Use Only. Not for Use in Diagnostic Procedures.

Revision 1

Cell Signaling Technology Logo
Immunohistochemical analysis of paraffin-embedded CT26 syngeneic tumor using PNPLA3 (E7N6O) Rabbit mAb. Data were generated using the standard formulation of this product.
Immunohistochemistry Image 6: PNPLA3 (E7N6O) Rabbit Monoclonal Antibody (BSA and Azide Free)
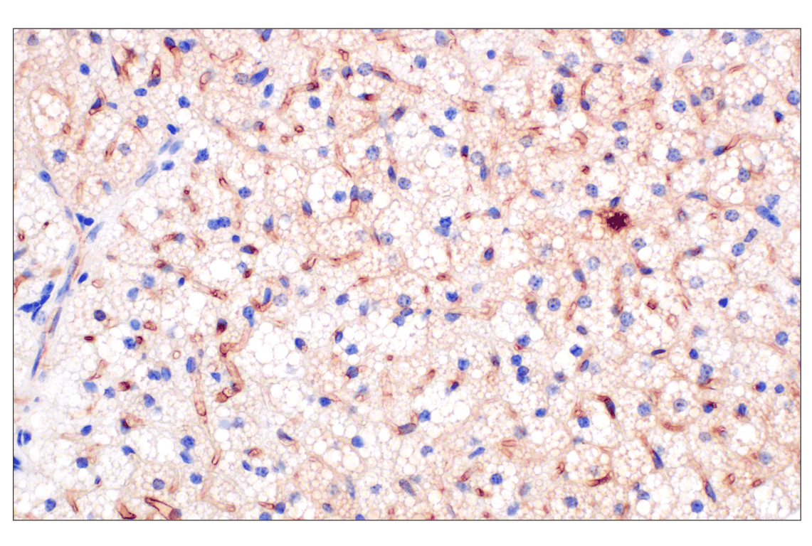
Immunohistochemical analysis of paraffin-embedded mouse liver using PNPLA3 (E7N6O) Rabbit mAb (left) compared to concentration-matched Rabbit (DA1E) mAb IgG XP® Isotype Control #3900 (right). Data were generated using the standard formulation of this product.
Immunohistochemistry Image 7: PNPLA3 (E7N6O) Rabbit Monoclonal Antibody (BSA and Azide Free)
Immunohistochemical analysis of paraffin-embedded 293T cell pellet, untransfected (left) or mouse pnpla3-transfected (right), using PNPLA3 (E7N6O) Rabbit mAb. Data were generated using the standard formulation of this product.
Immunohistochemistry Image 8: PNPLA3 (E7N6O) Rabbit Monoclonal Antibody (BSA and Azide Free)
Orders: 877-616-CELL (2355) [email protected] Support: 877-678-TECH (8324) [email protected] Web: cellsignal.com
For Research Use Only. Not for Use in Diagnostic Procedures.