Revision 9

#26981

Store at -20C

CST Logo
Orders:

877-616-CELL (2355)

[email protected]

Support:

877-678-TECH (8324)

3 Trask Lane | Danvers | Massachusetts | 01923 | USA

For Research Use Only. Not for Use in Diagnostic Procedures.

Applications:
IHC-P, FC-FP, FC-L

Reactivity:
H

Sensitivity:
Endogenous

Source/Isotype:
Mouse IgG1

UniProt ID:
#Q86YL7

Entrez-Gene Id:
10630

Product Usage Information

Application Dilution
Immunohistochemistry (Paraffin) 1:125 - 1:500
Flow Cytometry (Fixed/Permeabilized) 1:400 - 1:1600
Flow Cytometry (Live) 1:400 - 1:1600

Storage

Supplied in 10 mM sodium HEPES (pH 7.5), 150 mM NaCl, 100 µg/ml BSA, 50% glycerol and less than 0.02% sodium azide. Store at –20°C. Do not aliquot the antibody.

Specificity/Sensitivity

Podoplanin (LpMab-12) Mouse Monoclonal Antibody recognizes endogenous levels of human podoplanin. The antibody specifically recognizes podoplanin that is sialylated on Thr52 in the third platelet aggregation domain (PLAG3) of human podoplanin (10).

Source / Purification

Monoclonal antibody is produced by immunizing animals with LN-229 glioma cells expressing human podoplanin.

Background

Podoplanin (aggrus, glycoprotein 36) is a single-pass transmembrane protein belonging to the type-1 family of sialomucin-like glycoproteins. Podoplanin was first described in the rat as a surface glycoprotein that regulated podocyte morphology (1). It is now commonly used as a marker of lymphatic endothelial cells, where its expression is associated with the process of lymphangiogenesis (2). Its role in this regard is presumably due to its putative involvement in regulating actin cytoskeleton dynamics (3). Research studies have shown that podoplanin expression is upregulated in a number of tumor types including colorectal cancers (4), oral squamous cell carcinomas (5), and germ cell tumors (6), with higher expression levels often associated with more aggressive tumors (7). Research studies have suggested a functional role for podoplanin in the stromal microenvironment of tumors. For example, it has been reported that podoplanin expression in cancer-associated fibroblasts (CAFs) is positively associated with a stromal environment that promotes cancer progression (8,9).
Podoplanin is O-glycosylated at multiple sites in the extracellular domain, including disialylation at Thr52 in the third platelet-aggregation (PLAG3) domain (10). Research studies have shown that glycoylation at this site is required for tumor cell-induced platelet aggregation activity (11).

Species Reactivity

Species reactivity is determined by testing in at least one approved application (e.g., western blot).

Applications Key

IHC-P: Immunohistochemistry (Paraffin) FC-FP: Flow Cytometry (Fixed/Permeabilized) FC-L: Flow Cytometry (Live)

Cross-Reactivity Key

H: Human

Trademarks and Patents

Cell Signaling Technology is a trademark of Cell Signaling Technology, Inc.

Alexa Fluor is a registered trademark of Life Technologies Corporation.

All other trademarks are the property of their respective owners. Visit cellsignal.com/trademarks for more information.

Limited Uses

Except as otherwise expressly agreed in a writing signed by a legally authorized representative of CST, the following terms apply to Products provided by CST, its affiliates or its distributors. Any Customer's terms and conditions that are in addition to, or different from, those contained herein, unless separately accepted in writing by a legally authorized representative of CST, are rejected and are of no force or effect.

Products are labeled with For Research Use Only or a similar labeling statement and have not been approved, cleared, or licensed by the FDA or other regulatory foreign or domestic entity, for any purpose. Customer shall not use any Product for any diagnostic or therapeutic purpose, or otherwise in any manner that conflicts with its labeling statement. Products sold or licensed by CST are provided for Customer as the end-user and solely for research and development uses. Any use of Product for diagnostic, prophylactic or therapeutic purposes, or any purchase of Product for resale (alone or as a component) or other commercial purpose, requires a separate license from CST. Customer shall (a) not sell, license, loan, donate or otherwise transfer or make available any Product to any third party, whether alone or in combination with other materials, or use the Products to manufacture any commercial products, (b) not copy, modify, reverse engineer, decompile, disassemble or otherwise attempt to discover the underlying structure or technology of the Products, or use the Products for the purpose of developing any products or services that would compete with CST products or services, (c) not alter or remove from the Products any trademarks, trade names, logos, patent or copyright notices or markings, (d) use the Products solely in accordance with CST Product Terms of Sale and any applicable documentation, and (e) comply with any license, terms of service or similar agreement with respect to any third party products or services used by Customer in connection with the Products.

Orders: 877-616-CELL (2355) [email protected] Support: 877-678-TECH (8324) [email protected] Web: cellsignal.com
For Research Use Only. Not for Use in Diagnostic Procedures.

Revision 9

Cell Signaling Technology Logo
Immunohistochemical analysis of paraffin-embedded U-2 OS cell pellet (left, positive) or Saos-2 cell pellet (right, negative) using Podoplanin (LpMab-12) Mouse mAb.
Immunohistochemistry Image 1: Podoplanin (LpMab-12) Mouse Monoclonal Antibody
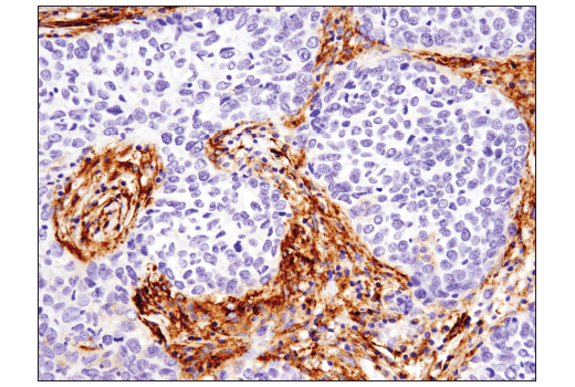
Immunohistochemical analysis of paraffin-embedded human colon carcinoma using Podoplanin (LpMab-12) Mouse mAb.
Immunohistochemistry Image 2: Podoplanin (LpMab-12) Mouse Monoclonal Antibody
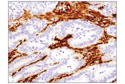
Immunohistochemical analysis of paraffin-embedded human endometrioid adenocarcinoma using Podoplanin (LpMab-12) Mouse mAb.
Immunohistochemistry Image 3: Podoplanin (LpMab-12) Mouse Monoclonal Antibody
Orders: 877-616-CELL (2355) [email protected] Support: 877-678-TECH (8324) [email protected] Web: cellsignal.com
For Research Use Only. Not for Use in Diagnostic Procedures.

Revision 9

Cell Signaling Technology Logo
Immunohistochemical analysis of paraffin-embedded human squamous cell lung carcinoma using Podoplanin (LpMab-12) Mouse mAb.
Immunohistochemistry Image 4: Podoplanin (LpMab-12) Mouse Monoclonal Antibody
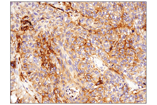
Immunohistochemical analysis of paraffin-embedded human prostate carcinoma using Podoplanin (LpMab-12) Mouse mAb.
Immunohistochemistry Image 5: Podoplanin (LpMab-12) Mouse Monoclonal Antibody
Flow cytometric analysis of fixed and permeabilized Saos-2 cells (blue, negative) and U-2 OS cells (green, positive) using Podoplanin (LpMab-12) Mouse mAb (solid lines) or concentration-matched Mouse (G3A1) mAb IgG Isotype Control #5415 (dashed lines). Anti-mouse IgG (H+L), F(ab')2 Fragment (Alexa Fluor® 488 Conjugate) #4408 was used as a secondary antibody.
Flow Cytometry Image 1: Podoplanin (LpMab-12) Mouse Monoclonal Antibody
Orders: 877-616-CELL (2355) [email protected] Support: 877-678-TECH (8324) [email protected] Web: cellsignal.com
For Research Use Only. Not for Use in Diagnostic Procedures.

Revision 9

Cell Signaling Technology Logo

Flow cytometric analysis of live Saos-2 cells (blue, negative) and U-2 0S cells (green, positive) using Podoplanin (LpMab-12) Mouse mAb (solid lines) or a concentration matched Mouse (G3A1) mAb IgG Isotype Control #5415 (dashed lines). Anti-mouse IgG (H+L), F(ab')2 Fragment (Alexa Fluor® 488 Conjugate) #4408 was used as a secondary antibody.

Flow Cytometry Image 1: Podoplanin (LpMab-12) Mouse Monoclonal Antibody
Orders: 877-616-CELL (2355) [email protected] Support: 877-678-TECH (8324) [email protected] Web: cellsignal.com
For Research Use Only. Not for Use in Diagnostic Procedures.