Revision 1

#66798

Store at -20C

CST Logo
Orders:

877-616-CELL (2355)

[email protected]

Support:

877-678-TECH (8324)

3 Trask Lane | Danvers | Massachusetts | 01923 | USA

For Research Use Only. Not for Use in Diagnostic Procedures.

Applications:
W, IHC-P, IF-IC

Reactivity:
H

Sensitivity:
Endogenous

MW (kDa):
200

Source/Isotype:
Rabbit IgG

UniProt ID:
#O00592

Entrez-Gene Id:
5420

Product Usage Information

This product is the carrier free version of product #55601. All data were generated using the same antibody clone in the standard formulation which contains BSA and glycerol.

This formulation is ideal for use with technologies requiring specialized or custom antibody labeling, including fluorophores, metals, lanthanides, and oligonucleotides. It is not recommended for ChIP, ChIP-seq, CUT&RUN or CUT&Tag assays. If you require a carrier free formulation for chromatin profiling, please contact us. Optimal dilutions/concentrations should be determined by the end user.

BSA and Azide Free antibodies are quality control tested by size exclusion chromatography (SEC) to determine antibody integrity.

Formulation

Supplied in 1X PBS (10 mM Na2HPO4, 3 mM KCl, 2 mM KH2PO4, and 140 mM NaCl (pH 7.8)). BSA and Azide Free.

For standard formulation of this product see product #55601

Storage

Store at -20°C. This product will freeze at -20°C so it is recommended to aliquot into single-use vials to avoid multiple freeze/thaw cycles. A slight precipitate may be present and can be dissolved by gently vortexing. This will not interfere with antibody performance.

Specificity/Sensitivity

PODXL (E8O1S) Rabbit Monoclonal Antibody (BSA and Azide Free) recognizes endogenous levels of total PODXL protein.

Source / Purification

Monoclonal antibody is produced by immunizing animals with recombinant protein specific to the carboxy terminus of human PODXL protein.

Background

Podocalyxin is an O-glycosylated and sialylated membrane protein that is closely similar to CD34, the well characterized marker for hematopoietic stem cells (1). In association with several intracellular binding partners, podocalyxin contributes to adhesion and cell morphology (2-4). Podocalyxin is expressed in hematopoietic tissues during stages of active hematopoietic expansion in embryonic development and in more restricted, mainly megakaryocytic lineages in the adult (1,4). Expression also occurs in kidney podocytes, both in embryo and adult, where podocalyxin is essential for organ development and proper kidney function (5-7). A few other cell types that express podocalyxin include some specialized vascular endothelia (8,9) and a subset of neurons (10). It is also aberrantly expressed in a diverse number of cancers, including breast, testicular, pancreatic cancers, and in leukemia (11). Expression is often correlated with poor outcome (11).

Species Reactivity

Species reactivity is determined by testing in at least one approved application (e.g., western blot).

Applications Key

W: Western Blotting IHC-P: Immunohistochemistry (Paraffin) IF-IC: Immunofluorescence (Immunocytochemistry)

Cross-Reactivity Key

H: Human

Trademarks and Patents

Cell Signaling Technology is a trademark of Cell Signaling Technology, Inc.

All other trademarks are the property of their respective owners. Visit cellsignal.com/trademarks for more information.

Limited Uses

Except as otherwise expressly agreed in a writing signed by a legally authorized representative of CST, the following terms apply to Products provided by CST, its affiliates or its distributors. Any Customer's terms and conditions that are in addition to, or different from, those contained herein, unless separately accepted in writing by a legally authorized representative of CST, are rejected and are of no force or effect.

Products are labeled with For Research Use Only or a similar labeling statement and have not been approved, cleared, or licensed by the FDA or other regulatory foreign or domestic entity, for any purpose. Customer shall not use any Product for any diagnostic or therapeutic purpose, or otherwise in any manner that conflicts with its labeling statement. Products sold or licensed by CST are provided for Customer as the end-user and solely for research and development uses. Any use of Product for diagnostic, prophylactic or therapeutic purposes, or any purchase of Product for resale (alone or as a component) or other commercial purpose, requires a separate license from CST. Customer shall (a) not sell, license, loan, donate or otherwise transfer or make available any Product to any third party, whether alone or in combination with other materials, or use the Products to manufacture any commercial products, (b) not copy, modify, reverse engineer, decompile, disassemble or otherwise attempt to discover the underlying structure or technology of the Products, or use the Products for the purpose of developing any products or services that would compete with CST products or services, (c) not alter or remove from the Products any trademarks, trade names, logos, patent or copyright notices or markings, (d) use the Products solely in accordance with CST Product Terms of Sale and any applicable documentation, and (e) comply with any license, terms of service or similar agreement with respect to any third party products or services used by Customer in connection with the Products.

Orders: 877-616-CELL (2355) [email protected] Support: 877-678-TECH (8324) [email protected] Web: cellsignal.com
For Research Use Only. Not for Use in Diagnostic Procedures.

Revision 1

Cell Signaling Technology Logo
Western blot analysis of extracts from HT-29, HeLa, and A-204 cells using PODXL (E8O1S) Rabbit mAb (upper) and β-Actin (D6A8) Rabbit mAb #8457 (lower). Differential expression of PODXL in HT-29, HeLa, and A-204 cells is consistent with their reported molecular expression profiles (BioGPS.org, Proteinatlas.org), confirming the specificity of the antibody for PODXL. Data were generated using the standard formulation of this product.
Western Blotting Image 1: PODXL (E8O1S) Rabbit Monoclonal Antibody (BSA and Azide Free)
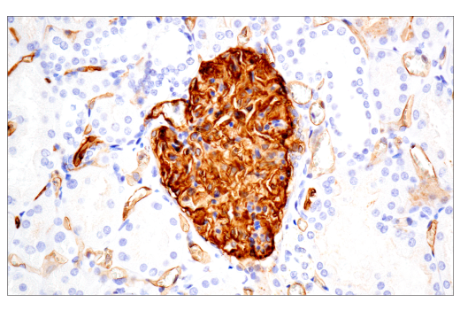
Immunohistochemical analysis of paraffin-embedded human renal cell carcinoma using PODXL (E8O1S) Rabbit mAb. Data were generated using the standard formulation of this product.
Immunohistochemistry Image 1: PODXL (E8O1S) Rabbit Monoclonal Antibody (BSA and Azide Free)
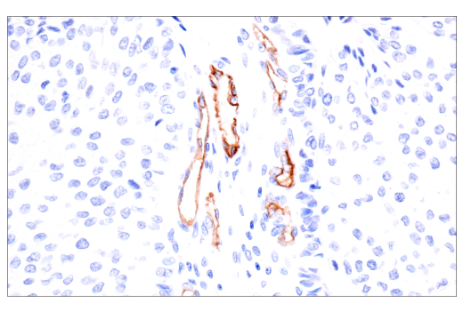
Immunohistochemical analysis of paraffin-embedded human ductal breast carcinoma using PODXL (E8O1S) Rabbit mAb. Data were generated using the standard formulation of this product.
Immunohistochemistry Image 2: PODXL (E8O1S) Rabbit Monoclonal Antibody (BSA and Azide Free)
Orders: 877-616-CELL (2355) [email protected] Support: 877-678-TECH (8324) [email protected] Web: cellsignal.com
For Research Use Only. Not for Use in Diagnostic Procedures.

Revision 1

Cell Signaling Technology Logo
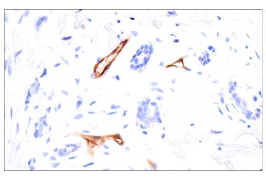
Immunohistochemical analysis of paraffin-embedded human urothelial carcinoma using PODXL (E8O1S) Rabbit mAb. Data were generated using the standard formulation of this product.
Immunohistochemistry Image 3: PODXL (E8O1S) Rabbit Monoclonal Antibody (BSA and Azide Free)
Immunohistochemical analysis of paraffin-embedded human esophageal carcinoma using PODXL (E8O1S) Rabbit mAb. Data were generated using the standard formulation of this product.
Immunohistochemistry Image 4: PODXL (E8O1S) Rabbit Monoclonal Antibody (BSA and Azide Free)
Immunohistochemical analysis of paraffin-embedded human colon carcinoma using PODXL (E8O1S) Rabbit mAb. Data were generated using the standard formulation of this product.
Immunohistochemistry Image 5: PODXL (E8O1S) Rabbit Monoclonal Antibody (BSA and Azide Free)
Orders: 877-616-CELL (2355) [email protected] Support: 877-678-TECH (8324) [email protected] Web: cellsignal.com
For Research Use Only. Not for Use in Diagnostic Procedures.

Revision 1

Cell Signaling Technology Logo
Immunohistochemical analysis of paraffin-embedded human small cell carcinoma of the salivary gland using PODXL (E8O1S) Rabbit mAb. Data were generated using the standard formulation of this product.
Immunohistochemistry Image 6: PODXL (E8O1S) Rabbit Monoclonal Antibody (BSA and Azide Free)
Immunohistochemical analysis of paraffin-embedded human prostate carcinoma using PODXL (E8O1S) Rabbit mAb. Data were generated using the standard formulation of this product.
Immunohistochemistry Image 7: PODXL (E8O1S) Rabbit Monoclonal Antibody (BSA and Azide Free)
Immunohistochemical analysis of paraffin-embedded human non-Hodgkin lymphoma using PODXL (E8O1S) Rabbit mAb. Data were generated using the standard formulation of this product.
Immunohistochemistry Image 8: PODXL (E8O1S) Rabbit Monoclonal Antibody (BSA and Azide Free)
Orders: 877-616-CELL (2355) [email protected] Support: 877-678-TECH (8324) [email protected] Web: cellsignal.com
For Research Use Only. Not for Use in Diagnostic Procedures.

Revision 1

Cell Signaling Technology Logo
Immunohistochemical analysis of paraffin-embedded human papillary thyroid carcinoma using PODXL (E8O1S) Rabbit mAb. Data were generated using the standard formulation of this product.
Immunohistochemistry Image 9: PODXL (E8O1S) Rabbit Monoclonal Antibody (BSA and Azide Free)
Immunohistochemical analysis of paraffin-embedded normal human kidney using PODXL (E8O1S) Rabbit mAb. Data were generated using the standard formulation of this product.
Immunohistochemistry Image 10: PODXL (E8O1S) Rabbit Monoclonal Antibody (BSA and Azide Free)
Immunohistochemical analysis of paraffin-embedded normal human esophagus using PODXL (E8O1S) Rabbit mAb. Data were generated using the standard formulation of this product.
Immunohistochemistry Image 11: PODXL (E8O1S) Rabbit Monoclonal Antibody (BSA and Azide Free)
Orders: 877-616-CELL (2355) [email protected] Support: 877-678-TECH (8324) [email protected] Web: cellsignal.com
For Research Use Only. Not for Use in Diagnostic Procedures.

Revision 1

Cell Signaling Technology Logo
Immunohistochemical analysis of paraffin-embedded human appendix using PODXL (E8O1S) Rabbit mAb. Data were generated using the standard formulation of this product.
Immunohistochemistry Image 12: PODXL (E8O1S) Rabbit Monoclonal Antibody (BSA and Azide Free)
Immunohistochemical analysis of paraffin-embedded human serous papillary carcinoma of the ovary using PODXL (E8O1S) Rabbit mAb (left) compared to concentration-matched Rabbit (DA1E) mAb IgG XP® Isotype Control #3900 (right). Data were generated using the standard formulation of this product.
Immunohistochemistry Image 13: PODXL (E8O1S) Rabbit Monoclonal Antibody (BSA and Azide Free)
Immunohistochemical analysis of paraffin-embedded A-172 cell pellet (left, positive) or Daudi cell pellet (right, negative) using PODXL (E8O1S) Rabbit mAb. Data were generated using the standard formulation of this product.
Immunohistochemistry Image 14: PODXL (E8O1S) Rabbit Monoclonal Antibody (BSA and Azide Free)
Orders: 877-616-CELL (2355) [email protected] Support: 877-678-TECH (8324) [email protected] Web: cellsignal.com
For Research Use Only. Not for Use in Diagnostic Procedures.

Revision 1

Cell Signaling Technology Logo
Confocal immunofluorescent analysis of A-172 cells (left, positive) and A-204 cells (right, negative) using PODXL (E8O1S) Rabbit mAb (green) and β-Actin (8H10D10) Mouse mAb #3700 (red). Blue = DAPI #4083 (fluorescent DNA dye). Data were generated using the standard formulation of this product.
Immunofluorescence Image 1: PODXL (E8O1S) Rabbit Monoclonal Antibody (BSA and Azide Free)
Orders: 877-616-CELL (2355) [email protected] Support: 877-678-TECH (8324) [email protected] Web: cellsignal.com
For Research Use Only. Not for Use in Diagnostic Procedures.