Revision 5

#55601

Store at -20C

CST Logo
Orders:

877-616-CELL (2355)

[email protected]

Support:

877-678-TECH (8324)

3 Trask Lane | Danvers | Massachusetts | 01923 | USA

For Research Use Only. Not for Use in Diagnostic Procedures.

Applications:
W, IP, IHC-P, IF-IC

Reactivity:
H

Sensitivity:
Endogenous

MW (kDa):
200

Source/Isotype:
Rabbit IgG

UniProt ID:
#O00592

Entrez-Gene Id:
5420

Product Usage Information

Application Dilution
Western Blotting 1:1000
Immunoprecipitation 1:200
Immunohistochemistry (Paraffin) 1:200 - 1:800
Immunofluorescence (Immunocytochemistry) 1:200 - 1:800

Storage

Supplied in 10 mM sodium HEPES (pH 7.5), 150 mM NaCl, 100 µg/ml BSA, 50% glycerol and less than 0.02% sodium azide. Store at –20°C. Do not aliquot the antibody.

For a carrier free (BSA and azide free) version of this product see product #66798.

Specificity/Sensitivity

PODXL (E8O1S) Rabbit Monoclonal Antibody recognizes endogenous levels of total PODXL protein.

Source / Purification

Monoclonal antibody is produced by immunizing animals with recombinant protein specific to the carboxy terminus of human PODXL protein.

Background

Podocalyxin is an O-glycosylated and sialylated membrane protein that is closely similar to CD34, the well characterized marker for hematopoietic stem cells (1). In association with several intracellular binding partners, podocalyxin contributes to adhesion and cell morphology (2-4). Podocalyxin is expressed in hematopoietic tissues during stages of active hematopoietic expansion in embryonic development and in more restricted, mainly megakaryocytic lineages in the adult (1,4). Expression also occurs in kidney podocytes, both in embryo and adult, where podocalyxin is essential for organ development and proper kidney function (5-7). A few other cell types that express podocalyxin include some specialized vascular endothelia (8,9) and a subset of neurons (10). It is also aberrantly expressed in a diverse number of cancers, including breast, testicular, pancreatic cancers, and in leukemia (11). Expression is often correlated with poor outcome (11).

Species Reactivity

Species reactivity is determined by testing in at least one approved application (e.g., western blot).

Western Blot Buffer

IMPORTANT: For western blots, incubate membrane with diluted primary antibody in 5% w/v BSA, 1X TBS, 0.1% Tween® 20 at 4°C with gentle shaking, overnight.

Applications Key

W: Western Blotting IP: Immunoprecipitation IHC-P: Immunohistochemistry (Paraffin) IF-IC: Immunofluorescence (Immunocytochemistry)

Cross-Reactivity Key

H: Human

Trademarks and Patents

Cell Signaling Technology is a trademark of Cell Signaling Technology, Inc.

All other trademarks are the property of their respective owners. Visit cellsignal.com/trademarks for more information.

Limited Uses

Except as otherwise expressly agreed in a writing signed by a legally authorized representative of CST, the following terms apply to Products provided by CST, its affiliates or its distributors. Any Customer's terms and conditions that are in addition to, or different from, those contained herein, unless separately accepted in writing by a legally authorized representative of CST, are rejected and are of no force or effect.

Products are labeled with For Research Use Only or a similar labeling statement and have not been approved, cleared, or licensed by the FDA or other regulatory foreign or domestic entity, for any purpose. Customer shall not use any Product for any diagnostic or therapeutic purpose, or otherwise in any manner that conflicts with its labeling statement. Products sold or licensed by CST are provided for Customer as the end-user and solely for research and development uses. Any use of Product for diagnostic, prophylactic or therapeutic purposes, or any purchase of Product for resale (alone or as a component) or other commercial purpose, requires a separate license from CST. Customer shall (a) not sell, license, loan, donate or otherwise transfer or make available any Product to any third party, whether alone or in combination with other materials, or use the Products to manufacture any commercial products, (b) not copy, modify, reverse engineer, decompile, disassemble or otherwise attempt to discover the underlying structure or technology of the Products, or use the Products for the purpose of developing any products or services that would compete with CST products or services, (c) not alter or remove from the Products any trademarks, trade names, logos, patent or copyright notices or markings, (d) use the Products solely in accordance with CST Product Terms of Sale and any applicable documentation, and (e) comply with any license, terms of service or similar agreement with respect to any third party products or services used by Customer in connection with the Products.

Orders: 877-616-CELL (2355) [email protected] Support: 877-678-TECH (8324) [email protected] Web: cellsignal.com
For Research Use Only. Not for Use in Diagnostic Procedures.

Revision 5

Cell Signaling Technology Logo
Western blot analysis of extracts from HT-29, HeLa, and A-204 cells using PODXL (E8O1S) Rabbit mAb (upper) and β-Actin (D6A8) Rabbit mAb #8457 (lower). Differential expression of PODXL in HT-29, HeLa, and A-204 cells is consistent with their reported molecular expression profiles (BioGPS.org, Proteinatlas.org), confirming the specificity of the antibody for PODXL.
Western Blotting Image 1: PODXL (E8O1S) Rabbit Monoclonal Antibody
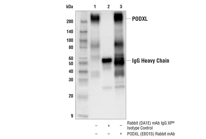
Immunoprecipitation of PODXL protein from A-172 cell extracts. Lane 1 is 10% input, lane 2 is Rabbit (DA1E) mAb IgG XP® Isotype Control #3900, and lane 3 is PODXL (E8O1S) Rabbit mAb. Western blot analysis was performed using PODXL (E8O1S) Rabbit mAb. Anti-rabbit IgG, HRP-linked Antibody #7074 was used as the secondary antibody.
Immunoprecipitation Image 1: PODXL (E8O1S) Rabbit Monoclonal Antibody
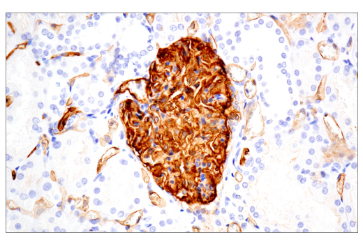
Immunohistochemical analysis of paraffin-embedded human renal cell carcinoma using PODXL (E8O1S) Rabbit mAb.
Immunohistochemistry Image 1: PODXL (E8O1S) Rabbit Monoclonal Antibody
Orders: 877-616-CELL (2355) [email protected] Support: 877-678-TECH (8324) [email protected] Web: cellsignal.com
For Research Use Only. Not for Use in Diagnostic Procedures.

Revision 5

Cell Signaling Technology Logo
Immunohistochemical analysis of paraffin-embedded human ductal breast carcinoma using PODXL (E8O1S) Rabbit mAb.
Immunohistochemistry Image 2: PODXL (E8O1S) Rabbit Monoclonal Antibody
Immunohistochemical analysis of paraffin-embedded human urothelial carcinoma using PODXL (E8O1S) Rabbit mAb.
Immunohistochemistry Image 3: PODXL (E8O1S) Rabbit Monoclonal Antibody
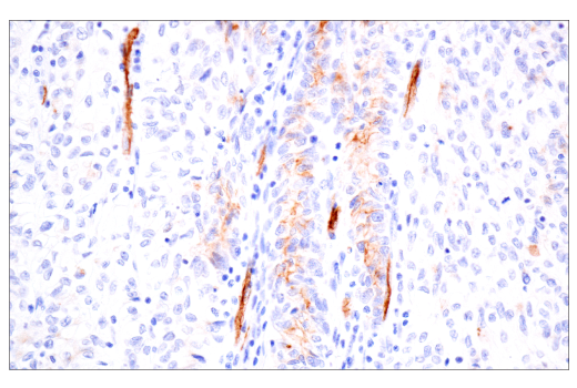
Immunohistochemical analysis of paraffin-embedded human esophageal carcinoma using PODXL (E8O1S) Rabbit mAb.
Immunohistochemistry Image 4: PODXL (E8O1S) Rabbit Monoclonal Antibody
Orders: 877-616-CELL (2355) [email protected] Support: 877-678-TECH (8324) [email protected] Web: cellsignal.com
For Research Use Only. Not for Use in Diagnostic Procedures.

Revision 5

Cell Signaling Technology Logo
Immunohistochemical analysis of paraffin-embedded human colon carcinoma using PODXL (E8O1S) Rabbit mAb.
Immunohistochemistry Image 5: PODXL (E8O1S) Rabbit Monoclonal Antibody
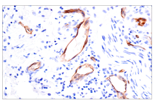
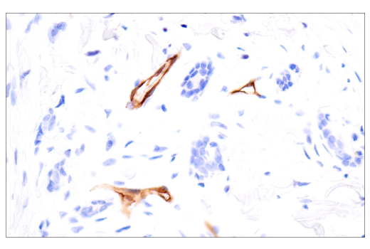
Immunohistochemical analysis of paraffin-embedded human small cell carcinoma of the salivary gland using PODXL (E8O1S) Rabbit mAb.
Immunohistochemistry Image 6: PODXL (E8O1S) Rabbit Monoclonal Antibody
Immunohistochemical analysis of paraffin-embedded human prostate carcinoma using PODXL (E8O1S) Rabbit mAb.
Immunohistochemistry Image 7: PODXL (E8O1S) Rabbit Monoclonal Antibody
Orders: 877-616-CELL (2355) [email protected] Support: 877-678-TECH (8324) [email protected] Web: cellsignal.com
For Research Use Only. Not for Use in Diagnostic Procedures.

Revision 5

Cell Signaling Technology Logo
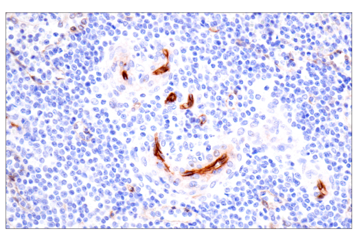
Immunohistochemical analysis of paraffin-embedded human non-Hodgkin lymphoma using PODXL (E8O1S) Rabbit mAb.
Immunohistochemistry Image 8: PODXL (E8O1S) Rabbit Monoclonal Antibody
Immunohistochemical analysis of paraffin-embedded human papillary thyroid carcinoma using PODXL (E8O1S) Rabbit mAb.
Immunohistochemistry Image 9: PODXL (E8O1S) Rabbit Monoclonal Antibody
Immunohistochemical analysis of paraffin-embedded normal human kidney using PODXL (E8O1S) Rabbit mAb.
Immunohistochemistry Image 10: PODXL (E8O1S) Rabbit Monoclonal Antibody
Orders: 877-616-CELL (2355) [email protected] Support: 877-678-TECH (8324) [email protected] Web: cellsignal.com
For Research Use Only. Not for Use in Diagnostic Procedures.

Revision 5

Cell Signaling Technology Logo
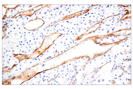
Immunohistochemical analysis of paraffin-embedded normal human esophagus using PODXL (E8O1S) Rabbit mAb.
Immunohistochemistry Image 11: PODXL (E8O1S) Rabbit Monoclonal Antibody
Immunohistochemical analysis of paraffin-embedded human appendix using PODXL (E8O1S) Rabbit mAb.
Immunohistochemistry Image 12: PODXL (E8O1S) Rabbit Monoclonal Antibody
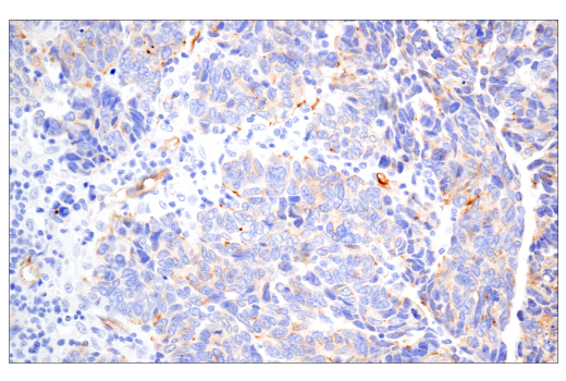
Immunohistochemical analysis of paraffin-embedded human serous papillary carcinoma of the ovary using PODXL (E8O1S) Rabbit mAb (left) compared to concentration-matched Rabbit (DA1E) mAb IgG XP® Isotype Control #3900 (right).
Immunohistochemistry Image 13: PODXL (E8O1S) Rabbit Monoclonal Antibody
Orders: 877-616-CELL (2355) [email protected] Support: 877-678-TECH (8324) [email protected] Web: cellsignal.com
For Research Use Only. Not for Use in Diagnostic Procedures.

Revision 5

Cell Signaling Technology Logo
Immunohistochemical analysis of paraffin-embedded A-172 cell pellet (left, positive) or Daudi cell pellet (right, negative) using PODXL (E8O1S) Rabbit mAb.
Immunohistochemistry Image 14: PODXL (E8O1S) Rabbit Monoclonal Antibody
Confocal immunofluorescent analysis of A-172 cells (left, positive) and A-204 cells (right, negative) using PODXL (E8O1S) Rabbit mAb (green) and β-Actin (8H10D10) Mouse mAb #3700 (red). Blue = DAPI #4083 (fluorescent DNA dye).
Immunofluorescence Image 1: PODXL (E8O1S) Rabbit Monoclonal Antibody
Orders: 877-616-CELL (2355) [email protected] Support: 877-678-TECH (8324) [email protected] Web: cellsignal.com
For Research Use Only. Not for Use in Diagnostic Procedures.