Revision 7

#36135

Store at -20C

CST Logo
Orders:

877-616-CELL (2355)

[email protected]

Support:

877-678-TECH (8324)

3 Trask Lane | Danvers | Massachusetts | 01923 | USA

For Research Use Only. Not for Use in Diagnostic Procedures.

Applications:
W, IHC-Bond, IHC-P, ChIP, ChIP-seq, C&R

Reactivity:
H

Sensitivity:
Endogenous

MW (kDa):
45-60

Source/Isotype:
Rabbit IgG

UniProt ID:
#Q9UKI9

Entrez-Gene Id:
25833

Product Usage Information

For optimal ChIP and ChIP-seq results, use 10 μl of antibody and 10 μg of chromatin (approximately 4 x 106 cells) per IP. This antibody has been validated using SimpleChIP® Enzymatic Chromatin IP Kits.

The CUT&RUN dilution was determined using CUT&RUN Assay Kit #86652.
Application Dilution
Western Blotting 1:1000
IHC Leica Bond 1:100 - 1:400
Immunohistochemistry (Paraffin) 1:50 - 1:200
Chromatin IP 1:50
Chromatin IP-seq 1:50
CUT&RUN 1:100

Storage

Supplied in 10 mM sodium HEPES (pH 7.5), 150 mM NaCl, 100 µg/mL BSA, 50% glycerol, and less than 0.02% sodium azide. Store at –20°C. Do not aliquot the antibody.

For a carrier free (BSA and azide free) version of this product see product #38561.

Specificity/Sensitivity

POU2F3 (E5N2D) Rabbit Monoclonal Antibody recognizes endogenous levels of total POU2F3 protein.

Source / Purification

Monoclonal antibody is produced by immunizing animals with a synthetic peptide corresponding to residues surrounding Leu160 of human POU2F3 protein.

Background

POU2F3 (also known as OCT-11 and SKN-1) belongs to the OCT family of octamer motif-binding transcription factors, members of which play varied, diverse roles in animal development. POU2F3 is a lineage-defining transcription factor, responsible for driving differentiation of specialized chemosensory cells in the gastrointestinal and respiratory tracts (1-3). Tuft cells are a subtype of chemosensory cell, defined by POU2F3 expression, and which are hypothesized to be the origin of a distinct, non-neuroendocrine subtype of small cell lung cancer (SCLC) known as tuft cell-like SCLC (4). Consistent with its lineage-defining role in tuft cell development, POU2F3 was identified through a Crispr/Cas9 screen as a master regulator of tuft cell-like SCLC (5).

Species Reactivity

Species reactivity is determined by testing in at least one approved application (e.g., western blot).

Western Blot Buffer

IMPORTANT: For western blots, incubate membrane with diluted primary antibody in 5% w/v BSA, 1X TBS, 0.1% Tween® 20 at 4°C with gentle shaking, overnight.

Applications Key

W: Western Blotting IHC-Bond: IHC Leica Bond IHC-P: Immunohistochemistry (Paraffin) ChIP: Chromatin IP ChIP-seq: Chromatin IP-seq C&R: CUT&RUN

Cross-Reactivity Key

H: Human

Trademarks and Patents

Cell Signaling Technology is a trademark of Cell Signaling Technology, Inc.

SignalStain is a registered trademark of Cell Signaling Technology, Inc.

All other trademarks are the property of their respective owners. Visit cellsignal.com/trademarks for more information.

Limited Uses

Except as otherwise expressly agreed in a writing signed by a legally authorized representative of CST, the following terms apply to Products provided by CST, its affiliates or its distributors. Any Customer's terms and conditions that are in addition to, or different from, those contained herein, unless separately accepted in writing by a legally authorized representative of CST, are rejected and are of no force or effect.

Products are labeled with For Research Use Only or a similar labeling statement and have not been approved, cleared, or licensed by the FDA or other regulatory foreign or domestic entity, for any purpose. Customer shall not use any Product for any diagnostic or therapeutic purpose, or otherwise in any manner that conflicts with its labeling statement. Products sold or licensed by CST are provided for Customer as the end-user and solely for research and development uses. Any use of Product for diagnostic, prophylactic or therapeutic purposes, or any purchase of Product for resale (alone or as a component) or other commercial purpose, requires a separate license from CST. Customer shall (a) not sell, license, loan, donate or otherwise transfer or make available any Product to any third party, whether alone or in combination with other materials, or use the Products to manufacture any commercial products, (b) not copy, modify, reverse engineer, decompile, disassemble or otherwise attempt to discover the underlying structure or technology of the Products, or use the Products for the purpose of developing any products or services that would compete with CST products or services, (c) not alter or remove from the Products any trademarks, trade names, logos, patent or copyright notices or markings, (d) use the Products solely in accordance with CST Product Terms of Sale and any applicable documentation, and (e) comply with any license, terms of service or similar agreement with respect to any third party products or services used by Customer in connection with the Products.

Orders: 877-616-CELL (2355) [email protected] Support: 877-678-TECH (8324) [email protected] Web: cellsignal.com
For Research Use Only. Not for Use in Diagnostic Procedures.

Revision 7

Cell Signaling Technology Logo
Western blot analysis of extracts from NCI-H526, MDA-MB-453, and HCT 116 cells using POU2F3 (E5N2D) XP® Rabbit mAb (upper) and GAPDH (D16H11) XP® Rabbit mAb #5174 (lower). Expression levels of POU2F3 among cell lines are consistent with expectations based on publicly available bioinformatic databases, confirming specificity of the antibody for POU2F3.
Western Blotting Image 1: POU2F3 (E5N2D) Rabbit Monoclonal Antibody
Western blot analysis of extracts from 293T cells, mock transfected (lane 1) or transiently transfected with plasmid encoding Myc/DDK-tagged POU2F3 protein (lane 2), using POU2F3 (E5N2D) XP® Rabbit mAb (upper), Myc-Tag (71D10) Rabbit mAb #2278 (middle), and GAPDH (D16H11) XP® Rabbit mAb #5174 (lower).
Western Blotting Image 2: POU2F3 (E5N2D) Rabbit Monoclonal Antibody
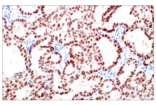
Immunohistochemical analysis of paraffin-embedded human small cell lung carcinoma using POU2F3 (E5N2D) XP® Rabbit mAb performed on the Leica® BOND™ Rx.  
Immunohistochemistry Image 1: POU2F3 (E5N2D) Rabbit Monoclonal Antibody
Orders: 877-616-CELL (2355) [email protected] Support: 877-678-TECH (8324) [email protected] Web: cellsignal.com
For Research Use Only. Not for Use in Diagnostic Procedures.

Revision 7

Cell Signaling Technology Logo
Immunohistochemical analysis of paraffin-embedded human ovarian clear cell carcinoma using POU2F3 (E5N2D) XP® Rabbit mAb performed on the Leica® BOND™ Rx.  
Immunohistochemistry Image 2: POU2F3 (E5N2D) Rabbit Monoclonal Antibody
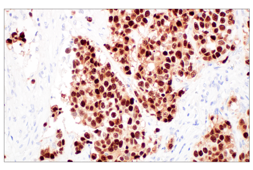
Immunohistochemical analysis of paraffin-embedded human small cell lung carcinoma using POU2F3 (E5N2D) XP® Rabbit mAb.
Immunohistochemistry Image 1: POU2F3 (E5N2D) Rabbit Monoclonal Antibody
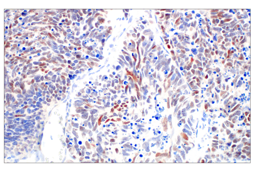
Immunohistochemical analysis of paraffin-embedded human large cell neuroendocrine lung carcinoma using POU2F3 (E5N2D) XP® Rabbit mAb.
Immunohistochemistry Image 2: POU2F3 (E5N2D) Rabbit Monoclonal Antibody
Orders: 877-616-CELL (2355) [email protected] Support: 877-678-TECH (8324) [email protected] Web: cellsignal.com
For Research Use Only. Not for Use in Diagnostic Procedures.

Revision 7

Cell Signaling Technology Logo
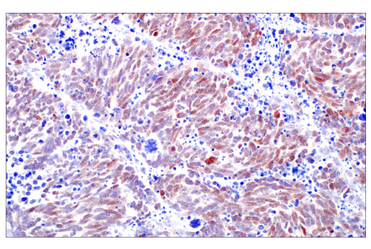
Immunohistochemical analysis of paraffin-embedded human small cell lung carcinoma using POU2F3 (E5N2D) XP® Rabbit mAb.
Immunohistochemistry Image 3: POU2F3 (E5N2D) Rabbit Monoclonal Antibody
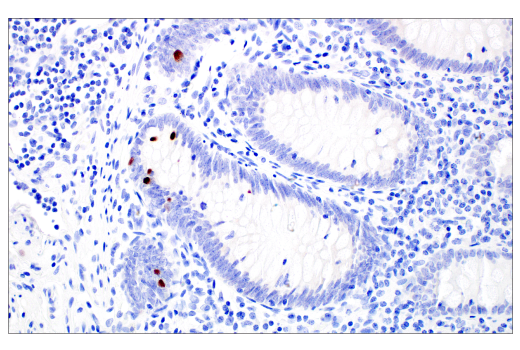
Immunohistochemical analysis of paraffin-embedded human gastric carcinoma using POU2F3 (E5N2D) XP® Rabbit mAb.
Immunohistochemistry Image 4: POU2F3 (E5N2D) Rabbit Monoclonal Antibody
Immunohistochemical analysis of paraffin-embedded normal human skin using POU2F3 (E5N2D) XP® Rabbit mAb.
Immunohistochemistry Image 5: POU2F3 (E5N2D) Rabbit Monoclonal Antibody
Orders: 877-616-CELL (2355) [email protected] Support: 877-678-TECH (8324) [email protected] Web: cellsignal.com
For Research Use Only. Not for Use in Diagnostic Procedures.

Revision 7

Cell Signaling Technology Logo
Immunohistochemical analysis of paraffin-embedded normal human appendix using POU2F3 (E5N2D) XP® Rabbit mAb.
Immunohistochemistry Image 6: POU2F3 (E5N2D) Rabbit Monoclonal Antibody
Immunohistochemical analysis of paraffin-embedded normal human parathyroid gland using POU2F3 (E5N2D) XP® Rabbit mAb.
Immunohistochemistry Image 7: POU2F3 (E5N2D) Rabbit Monoclonal Antibody
Immunohistochemical analysis of paraffin-embedded normal human kidney using POU2F3 (E5N2D) XP® Rabbit mAb (left) compared to concentration-matched Rabbit (DA1E) mAb IgG XP® Isotype Control #3900 (right). 
Immunohistochemistry Image 8: POU2F3 (E5N2D) Rabbit Monoclonal Antibody
Orders: 877-616-CELL (2355) [email protected] Support: 877-678-TECH (8324) [email protected] Web: cellsignal.com
For Research Use Only. Not for Use in Diagnostic Procedures.

Revision 7

Cell Signaling Technology Logo
Immunohistochemical analysis of paraffin-embedded NCI-H526 cell pellet (left, positive) or HCT 116 cell pellet (right, negative) using POU2F3 (E5N2D) XP® Rabbit mAb.
Immunohistochemistry Image 9: POU2F3 (E5N2D) Rabbit Monoclonal Antibody
Chromatin immunoprecipitations were performed with cross-linked chromatin from NCI-H526 cells and POU2F3 (E5N2D) XP® Rabbit mAb, using SimpleChIP® Plus Enzymatic Chromatin IP Kit (Magnetic Beads) #9005. DNA library was prepared using DNA Library Prep Kit for Illumina Systems (ChIP-seq, CUT&RUN) #56795. The figure shows binding across TRPM5, a known target gene of POU2F3 (see additional figure containing ChIP-qPCR data).
Chromatin Immunoprecipitation Image 1: POU2F3 (E5N2D) Rabbit Monoclonal Antibody
Chromatin immunoprecipitations were performed with cross-linked chromatin from NCI-H526 cells and POU2F3 (E5N2D) XP® Rabbit mAb, using SimpleChIP® Plus Enzymatic Chromatin IP Kit (Magnetic Beads) #9005. DNA library was prepared using DNA Library Prep Kit for Illumina Systems (ChIP-seq, CUT&RUN) #56795. The figures show binding across chromosome 11 (upper), including TRPM5 (lower), a known target gene of POU2F3 (see additional figure containing ChIP-qPCR data).
Chromatin Immunoprecipitation Image 2: POU2F3 (E5N2D) Rabbit Monoclonal Antibody
Orders: 877-616-CELL (2355) [email protected] Support: 877-678-TECH (8324) [email protected] Web: cellsignal.com
For Research Use Only. Not for Use in Diagnostic Procedures.

Revision 7

Cell Signaling Technology Logo
Chromatin immunoprecipitations were performed with cross-linked chromatin from NCI-H526 cells and either POU2F3 (E5N2D) XP® Rabbit mAb or Normal Rabbit IgG #2729, using SimpleChIP® Plus Enzymatic Chromatin IP Kit (Magnetic Beads) #9005. The enriched DNA was quantified by real-time PCR, using human TRPM5 intron 4 primers, human ASCL2 upstream primers, human GFI-B upstream primers, and human IGFBP2 Intron 1 primers. The amount of immunoprecipitated DNA in each sample is represented as signal relative to the total amount of input chromatin, which is equivalent to one.
Chromatin Immunoprecipitation Image 3: POU2F3 (E5N2D) Rabbit Monoclonal Antibody
CUT&RUN was performed with HCT116 cells and POU2F3 (E5N2D) XP® Rabbit mAb, using CUT&RUN Assay Kit #86652. DNA library was prepared using DNA Library Prep Kit for Illumina Systems (ChIP-seq, CUT&RUN) #56795. The figure shows binding across RPLP1 gene, a known target gene of POU2F3 (see additional figure containing CUT&RUN-qPCR data).
CUT & RUN Image 1: POU2F3 (E5N2D) Rabbit Monoclonal Antibody
CUT&RUN was performed with HCT116 cells and POU2F3 (E5N2D) XP® Rabbit mAb, using CUT&RUN Assay Kit #86652. DNA library was prepared using DNA Library Prep Kit for Illumina Systems (ChIP-seq, CUT&RUN) #56795. The figures show binding across chromosome 15 (upper), including RPLP1 (lower), a known target gene of POU2F3 (see additional figure containing CUT&RUN-qPCR data).
CUT & RUN Image 2: POU2F3 (E5N2D) Rabbit Monoclonal Antibody
Orders: 877-616-CELL (2355) [email protected] Support: 877-678-TECH (8324) [email protected] Web: cellsignal.com
For Research Use Only. Not for Use in Diagnostic Procedures.

Revision 7

Cell Signaling Technology Logo
CUT&RUN was performed with HCT116 cells and either POU2F3 (E5N2D) XP® Rabbit mAb or Rabbit (DA1E) mAb IgG XP® Isotype Control (CUT&RUN) #66362, using CUT&RUN Assay Kit #86652. The enriched DNA was quantified by real-time PCR using human RPLP1 promoter primers, human LPCAT3 promoter primers, and human IQCF1 intron 2 primers. The amount of immunoprecipitated DNA in each sample is represented as signal relative to the total amount of input chromatin, which is equivalent to one.
CUT & RUN Image 3: POU2F3 (E5N2D) Rabbit Monoclonal Antibody
Orders: 877-616-CELL (2355) [email protected] Support: 877-678-TECH (8324) [email protected] Web: cellsignal.com
For Research Use Only. Not for Use in Diagnostic Procedures.