Revision 6

#2259

Store at -20C

CST Logo
Orders:

877-616-CELL (2355)

[email protected]

Support:

877-678-TECH (8324)

3 Trask Lane | Danvers | Massachusetts | 01923 | USA

For Research Use Only. Not for Use in Diagnostic Procedures.

Applications:
W, IP, IHC-P

Reactivity:
H M R Mk Dm

Sensitivity:
Endogenous

MW (kDa):
36, 38

Source/Isotype:
Rabbit IgG

UniProt ID:
#P67775

Entrez-Gene Id:
5515

Product Usage Information

Application Dilution
Western Blotting 1:1000
Immunoprecipitation 1:50
Immunohistochemistry (Paraffin) 1:50 - 1:200

Storage

Supplied in 10 mM sodium HEPES (pH 7.5), 150 mM NaCl, 100 µg/ml BSA, 50% glycerol and less than 0.02% sodium azide. Store at –20°C. Do not aliquot the antibody.

Specificity/Sensitivity

PP2A C Subunit (52F8) Rabbit Monoclonal Antibody detects endogenous levels of PP2A catalytic subunit protein (both alpha and beta isoforms). This antibody does not cross-react with other PP2A subunits.

Species predicted to react based on 100% sequence homology

Chicken, Pig

Source / Purification

Monoclonal antibody is produced by immunizing animals with a synthetic peptide corresponding to the sequence of human PP2A C subunit protein.

Background

Protein phosphatase type 2A (PP2A) is an essential protein serine/threonine phosphatase that is conserved in all eukaryotes. PP2A is a key enzyme within various signal transduction pathways as it regulates fundamental cellular activities such as DNA replication, transcription, translation, metabolism, cell cycle progression, cell division, apoptosis and development (1-3). The core enzyme consists of catalytic C and regulatory A (or PR65) subunits, with each subunit represented by α and β isoforms (1). Additional regulatory subunits belong to four different families of unrelated proteins. Both the B (or PR55) and B' regulatory protein families contain α, β, γ and δ isoforms, with the B' family also including an ε protein. B'' family proteins include PR72, PR130, PR59 and PR48 isoforms, while striatin (PR110) and SG2NA (PR93) are both members of the B''' regulatory protein family. These B subunits competitively bind to a shared binding site on the core A subunit (1). This variable array of holoenzyme components, particularly regulatory B subunits, allows PP2A to act in a diverse set of functions. PP2A function is regulated by expression, localization, holoenzyme composition and post-translational modification. Phosphorylation of PP2A at Tyr307 by Src occurs in response to EGF or insulin and results in a substantial reduction of PP2A activity (4). Reversible methylation on the carboxyl group of Leu309 of PP2A has been observed (5,6). Methylation alters the conformation of PP2A, as well as its localization and association with B regulatory subunits (6-8).

Species Reactivity

Species reactivity is determined by testing in at least one approved application (e.g., western blot).

Western Blot Buffer

IMPORTANT: For western blots, incubate membrane with diluted primary antibody in 5% w/v nonfat dry milk, 1X TBS, 0.1% Tween® 20 at 4°C with gentle shaking, overnight.

Applications Key

W: Western Blotting IP: Immunoprecipitation IHC-P: Immunohistochemistry (Paraffin)

Cross-Reactivity Key

H: Human M: Mouse R: Rat Mk: Monkey Dm: D. melanogaster

Trademarks and Patents

Cell Signaling Technology is a trademark of Cell Signaling Technology, Inc.

All other trademarks are the property of their respective owners. Visit cellsignal.com/trademarks for more information.

Limited Uses

Except as otherwise expressly agreed in a writing signed by a legally authorized representative of CST, the following terms apply to Products provided by CST, its affiliates or its distributors. Any Customer's terms and conditions that are in addition to, or different from, those contained herein, unless separately accepted in writing by a legally authorized representative of CST, are rejected and are of no force or effect.

Products are labeled with For Research Use Only or a similar labeling statement and have not been approved, cleared, or licensed by the FDA or other regulatory foreign or domestic entity, for any purpose. Customer shall not use any Product for any diagnostic or therapeutic purpose, or otherwise in any manner that conflicts with its labeling statement. Products sold or licensed by CST are provided for Customer as the end-user and solely for research and development uses. Any use of Product for diagnostic, prophylactic or therapeutic purposes, or any purchase of Product for resale (alone or as a component) or other commercial purpose, requires a separate license from CST. Customer shall (a) not sell, license, loan, donate or otherwise transfer or make available any Product to any third party, whether alone or in combination with other materials, or use the Products to manufacture any commercial products, (b) not copy, modify, reverse engineer, decompile, disassemble or otherwise attempt to discover the underlying structure or technology of the Products, or use the Products for the purpose of developing any products or services that would compete with CST products or services, (c) not alter or remove from the Products any trademarks, trade names, logos, patent or copyright notices or markings, (d) use the Products solely in accordance with CST Product Terms of Sale and any applicable documentation, and (e) comply with any license, terms of service or similar agreement with respect to any third party products or services used by Customer in connection with the Products.

Orders: 877-616-CELL (2355) [email protected] Support: 877-678-TECH (8324) [email protected] Web: cellsignal.com
For Research Use Only. Not for Use in Diagnostic Procedures.

Revision 6

Cell Signaling Technology Logo
Western blot analysis of extracts from HeLa, NIH/3T3, C6 and COS cells, using PP2A C (52F8D8) Rabbit mAb.
Western Blotting Image 1: PP2A C Subunit (52F8) Rabbit Monoclonal Antibody
Immunoprecipitation of PP2A C Subunit from HeLa cell extracts. Lane 1 is 10% input, lane 2 is Rabbit (DA1E) mAb IgG XP® Isotype Control #3900, and lane 3 is PP2A C Subunit (52F8) Rabbit mAb. Western blot analysis was performed using PP2A C Subunit (52F8) Rabbit mAb. Mouse Anti-rabbit IgG (Conformation Specific) (L27A9) mAb #3678 was used as a secondary antibody.
Immunoprecipitation Image 1: PP2A C Subunit (52F8) Rabbit Monoclonal Antibody
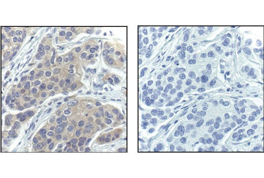
Immunohistochemical analysis of paraffin-embedded human breast carcinoma, using PP2A C Subunit (52F8D8) Rabbit mAb in the presence of an irrelevant control peptide (left) or PP2A C Subunit Blocking Peptide #1067 (right).
Immunohistochemistry Image 1: PP2A C Subunit (52F8) Rabbit Monoclonal Antibody
Orders: 877-616-CELL (2355) [email protected] Support: 877-678-TECH (8324) [email protected] Web: cellsignal.com
For Research Use Only. Not for Use in Diagnostic Procedures.

Revision 6

Cell Signaling Technology Logo
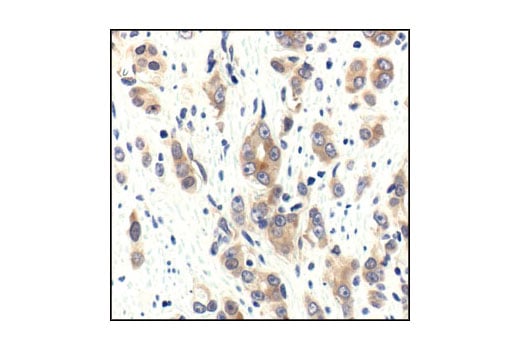
Immunohistochemical analysis of paraffin-embedded human colon carcinoma, using PP2A C Subunit (52F8D8) Rabbit mAb.
Immunohistochemistry Image 2: PP2A C Subunit (52F8) Rabbit Monoclonal Antibody
Immunohistochemical analysis of paraffin-embedded human prostate carcinoma, using PP2A C Subunit (52F8D8) Rabbit mAb.
Immunohistochemistry Image 3: PP2A C Subunit (52F8) Rabbit Monoclonal Antibody
Orders: 877-616-CELL (2355) [email protected] Support: 877-678-TECH (8324) [email protected] Web: cellsignal.com
For Research Use Only. Not for Use in Diagnostic Procedures.