Revision 1

#8660

Store at -20C

CST Logo
Orders:

877-616-CELL (2355)

[email protected]

Support:

877-678-TECH (8324)

3 Trask Lane | Danvers | Massachusetts | 01923 | USA

For Research Use Only. Not for Use in Diagnostic Procedures.

Product Includes Product # Quantity Mol. Wt Isotype/Source
Phospho-AMPK alpha (Thr172) (40H9) Rabbit Monoclonal Antibody253520 µl62 kDaRabbit IgG
AMPK alpha (D5A2) Rabbit Monoclonal Antibody583120 µl62 kDaRabbit IgG
CBP (D6C5) Rabbit Monoclonal Antibody738920 µl300 kDaRabbit IgG
GCN5L2 (C26A10) Rabbit Monoclonal Antibody330520 µl94 kDaRabbit IgG
PPAR gamma (C26H12) Rabbit Monoclonal Antibody243520 µl53, 57 kDaRabbit IgG
SirT1 (C14H4) Rabbit Monoclonal Antibody249620 µl120 kDaRabbit
RXR alpha (D6H10) Rabbit Monoclonal Antibody308520 µl53 kDaRabbit IgG
Anti-rabbit IgG, HRP-linked Antibody7074100 µlGoat

Please visit cellsignal.com for individual component applications, species cross-reactivity, dilutions, protocols, and additional product information.

Description

PPARγ Regulated Fatty Acid Metabolism Antibody Sampler Kit provides an economical means to evaluate PPARγ and related proteins involved in lipid metabolism. This kit contains enough primary antibody to perform two western blots per primary.

Storage

Supplied in 10 mM sodium HEPES (pH 7.5), 150 mM NaCl, 100 µg/ml BSA, 50% glycerol and less than 0.02% sodium azide. Store at –20°C. Do not aliquot the antibody.

Background

AMPK is a heterotrimeric complex composed of a catalytic α subunit and regulatory β and γ subunits, each of which is encoded by two or three distinct genes (α1, 2; β1, 2; γ1, 2, 3) (1). The kinase is activated by an elevated AMP/ATP ratio due to cellular and environmental stress, such as heat shock, hypoxia, and ischemia (1). The tumor suppressor LKB1 phosphorylates AMPKα at Thr172 in the activation loop, and this phosphorylation is required for AMPK activation (2-4). Accumulating evidence indicates that AMPK not only regulates the metabolism of fatty acids and glycogen, but also modulates protein synthesis and cell growth through EF2 and TSC2/mTOR pathways, as well as blood flow via eNOS/nNOS (5).
CBP (CREB-binding protein) is a transcriptional co-activator that associates with PPARγ (6,7). CBP also contains histone acetyltransferase (HAT) activity, allowing it to acetylate histones and other proteins (7).
General Control of Amino Acid Synthesis Yeast Homolog Like 2 (GCN5L2) is a transcription adaptor protein and a histone acetyltransferase (HAT) that functions as the catalytic subunit of the STAGA and TFTC transcription coactivator complexes (8). GCN5L2 is 73% homologous to the p300/CBP-associated factor PCAF, another HAT protein found in similar complexes (9). GCN5L2 acetylates non-histone proteins such as the transcription co-activator PGC1-α (10).
Peroxisome proliferator-activated receptor γ (PPARγ) is a member of the ligand-activated nuclear receptor superfamily and functions as a transcriptional activator (11). PPARγ is preferentially expressed in adipocytes as well as in vascular smooth muscle cells and macrophage (12).
The Silent Information Regulator (SIR2) family of genes is a highly conserved group of genes that encode nicotinamide adenine dinucleotide (NAD)-dependent protein deacetylases, also known as class III histone deacetylases (13). SirT1, the mammalian ortholog of Sir2, is a nuclear protein implicated in the regulation of many cellular processes, including apoptosis, cellular senescence, endocrine signaling, glucose homeostasis, aging, and longevity. Targets of SirT1 include PPARγ (14), and the PPARγ coactivator-1α (PGC-1α) protein (15). Deacetylation of PPARγ and PGC-1α regulates the gluconeogenic/glycolytic pathways in the liver and fat mobilization in white adipocytes in response to fasting (14,15).
The human retinoid X receptors (RXRs) are type-II nuclear hormone receptors encoded by three distinct genes (RXRα, RXRβ, and RXRγ) and bind selectively and with high affinity to the vitamin A derivative, 9-cis-retinoic acid. Nuclear RXRs form heterodimers with PPAR to help regulate transcription during lipid metabolism (16).

Trademarks and Patents

Cell Signaling Technology is a trademark of Cell Signaling Technology, Inc.

U.S. Patent No. 7,429,487, foreign equivalents, and child patents deriving therefrom.

All other trademarks are the property of their respective owners. Visit cellsignal.com/trademarks for more information.

Limited Uses

Except as otherwise expressly agreed in a writing signed by a legally authorized representative of CST, the following terms apply to Products provided by CST, its affiliates or its distributors. Any Customer's terms and conditions that are in addition to, or different from, those contained herein, unless separately accepted in writing by a legally authorized representative of CST, are rejected and are of no force or effect.

Products are labeled with For Research Use Only or a similar labeling statement and have not been approved, cleared, or licensed by the FDA or other regulatory foreign or domestic entity, for any purpose. Customer shall not use any Product for any diagnostic or therapeutic purpose, or otherwise in any manner that conflicts with its labeling statement. Products sold or licensed by CST are provided for Customer as the end-user and solely for research and development uses. Any use of Product for diagnostic, prophylactic or therapeutic purposes, or any purchase of Product for resale (alone or as a component) or other commercial purpose, requires a separate license from CST. Customer shall (a) not sell, license, loan, donate or otherwise transfer or make available any Product to any third party, whether alone or in combination with other materials, or use the Products to manufacture any commercial products, (b) not copy, modify, reverse engineer, decompile, disassemble or otherwise attempt to discover the underlying structure or technology of the Products, or use the Products for the purpose of developing any products or services that would compete with CST products or services, (c) not alter or remove from the Products any trademarks, trade names, logos, patent or copyright notices or markings, (d) use the Products solely in accordance with CST Product Terms of Sale and any applicable documentation, and (e) comply with any license, terms of service or similar agreement with respect to any third party products or services used by Customer in connection with the Products.

Orders: 877-616-CELL (2355) [email protected] Support: 877-678-TECH (8324) [email protected] Web: cellsignal.com
For Research Use Only. Not for Use in Diagnostic Procedures.

Revision 1

Cell Signaling Technology Logo
Chromatin immunoprecipitations were performed with cross-linked chromatin from untreated HDLM-2 cells and PPARγ (C26H12) Rabbit mAb using SimpleChIP® Plus Enzymatic Chromatin IP Kit (Magnetic Beads) #9005. DNA Library was prepared using DNA Library Prep Kit for Illumina (ChIP-seq, CUT&RUN) #56795. The figure shows binding across FOXN3, a known target gene of PPARγ.
undefined Image 1: PPAR gamma Regulated Fatty Acid Metabolism Antibody Sampler Kit
Western blot analysis of extracts from various cell types using SirT1 (C14H4) Rabbit mAb.
undefined Image 2: PPAR gamma Regulated Fatty Acid Metabolism Antibody Sampler Kit
Western blot analysis of extracts from C2C12 cells, untreated or oligomycin-treated (0.5 µM), using Phospho-AMPKα (Thr172) (40H9) Rabbit mAb (upper) or AMPKα Antibody #2532 (lower).
undefined Image 3: PPAR gamma Regulated Fatty Acid Metabolism Antibody Sampler Kit
Orders: 877-616-CELL (2355) [email protected] Support: 877-678-TECH (8324) [email protected] Web: cellsignal.com
For Research Use Only. Not for Use in Diagnostic Procedures.

Revision 1

Cell Signaling Technology Logo
Western blot analysis of extracts from various cell lines using RXRα (D6H10) Rabbit mAb.
undefined Image 4: PPAR gamma Regulated Fatty Acid Metabolism Antibody Sampler Kit
Western blot analysis of extracts from various cell lines using GCN5L2 (C26A10) Rabbit mAb.
undefined Image 5: PPAR gamma Regulated Fatty Acid Metabolism Antibody Sampler Kit
Western blot analysis of extracts from HeLa, K-562, C6, and Neuro-2a cells using AMPKα (D5A2) Rabbit mAb.
undefined Image 6: PPAR gamma Regulated Fatty Acid Metabolism Antibody Sampler Kit
Orders: 877-616-CELL (2355) [email protected] Support: 877-678-TECH (8324) [email protected] Web: cellsignal.com
For Research Use Only. Not for Use in Diagnostic Procedures.

Revision 1

Cell Signaling Technology Logo
After the primary antibody is bound to the target protein, a complex with HRP-linked secondary antibody is formed. The LumiGLO® is added and emits light during enzyme catalyzed decomposition.
undefined Image 7: PPAR gamma Regulated Fatty Acid Metabolism Antibody Sampler Kit
Chromatin immunoprecipitations were performed with cross-linked chromatin from 293 cells treated with Forskolin #3828 (30 μM, 1h) and CBP (D6C5) Rabbit mAb, using SimpleChIP® Plus Enzymatic Chromatin IP Kit (Magnetic Beads) #9005. DNA Libraries were prepared using DNA Library Prep Kit for Illumina® (ChIP-seq, CUT&RUN) #56795. The figure shows binding across NR4A3, a known target gene of CBP (see additional figure containing ChIP-qPCR data). For additional ChIP-seq tracks, please download the product datasheet.
undefined Image 8: PPAR gamma Regulated Fatty Acid Metabolism Antibody Sampler Kit
Western blot analysis of extracts from control HEK293T cells (Lane 1) or HEK293T cells with a targeted mutation in the gene encoding CBP (Lane 2) using CBP (D6C5) Rabbit mAb (upper) or GAPDH (D16H11) XP® Rabbit mAb #5174 (lower). The change in CBP molecular weight in the mutated HEK293T cells confirms the specificity of the antibody for CBP.
undefined Image 9: PPAR gamma Regulated Fatty Acid Metabolism Antibody Sampler Kit
Orders: 877-616-CELL (2355) [email protected] Support: 877-678-TECH (8324) [email protected] Web: cellsignal.com
For Research Use Only. Not for Use in Diagnostic Procedures.

Revision 1

Cell Signaling Technology Logo
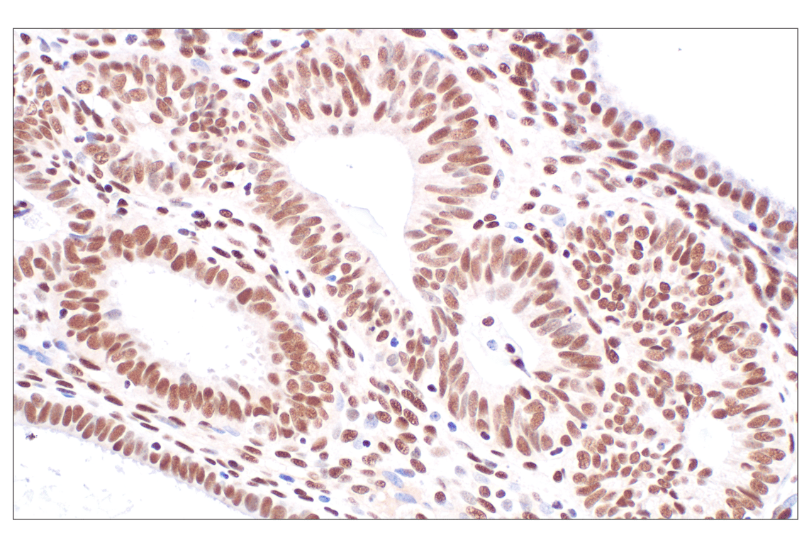
Immunohistochemical analysis of paraffin-embedded human endometrioid adenocarcinoma using CBP (D6C5) Rabbit mAb.
undefined Image 10: PPAR gamma Regulated Fatty Acid Metabolism Antibody Sampler Kit
Chromatin immunoprecipitations were performed with cross-linked chromatin from untreated HDLM-2 cells and PPARγ (C26H12) Rabbit mAb, using SimpleChIP® Plus Enzymatic Chromatin IP Kit (Magnetic Beads) #9005. DNA Library was prepared using DNA Library Prep Kit for Illumina (ChIP-seq, CUT&RUN) #56795. The figures show binding across chromosome 14 (upper), including FOXN3 (lower), a known target gene of PPARγ.
undefined Image 11: PPAR gamma Regulated Fatty Acid Metabolism Antibody Sampler Kit
Western blot analysis of extracts from 293T and C6 cells, untreated (-) or treated with Oligomycin (5uM, 30mins; +) using Phospho-AMPKα (Thr172) (40H9) Rabbit mAb (upper) or AMPKα (D5A2) Rabbit mAb #5831 (lower). Phospho-AMPKα (Thr172) is induced by Oligomycin treatment as expected.
undefined Image 12: PPAR gamma Regulated Fatty Acid Metabolism Antibody Sampler Kit
Orders: 877-616-CELL (2355) [email protected] Support: 877-678-TECH (8324) [email protected] Web: cellsignal.com
For Research Use Only. Not for Use in Diagnostic Procedures.

Revision 1

Cell Signaling Technology Logo
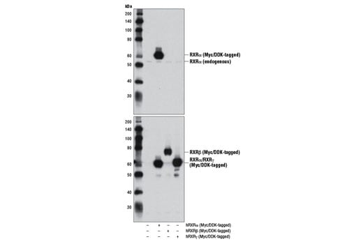
Western blot analysis of extracts from 293T cells, either mock transfected (-) or transfected with Myc/DDK-tagged cDNA expression constructs encoding full-length human RXRα (hRXRα; +), RXRβ (hRXRβ; +), or RXRγ (hRXRγ; +), using RXRα (D6H10) Rabbit mAb (upper) and DYKDDDDK Tag Antibody (Binds to same epitope as Sigma's Anti-FLAG® M2 Antibody) #2368 (lower).
undefined Image 13: PPAR gamma Regulated Fatty Acid Metabolism Antibody Sampler Kit
Confocal immunofluorescent analysis of HeLa cells using GCN5L2 (C26A10) Rabbit mAb (green). Actin filaments have been labeled with DY554 phalloidin (red). Blue pseudocolor = DRAQ5™ (fluorescent DNA dye).
undefined Image 14: PPAR gamma Regulated Fatty Acid Metabolism Antibody Sampler Kit
Chromatin immunoprecipitations were performed with cross-linked chromatin from 293 cells treated with Forskolin #3828 (30 μM, 1h) and CBP (D6C5) Rabbit mAb, using SimpleChIP® Plus Enzymatic Chromatin IP Kit (Magnetic Beads) #9005. DNA Libraries were prepared using DNA Library Prep Kit for Illumina® (ChIP-seq, CUT&RUN) #56795. The figure shows binding across chromosome 9 (upper), including NR4A3 (lower), a known target gene of CBP (see additional figure containing ChIP-qPCR data).
undefined Image 15: PPAR gamma Regulated Fatty Acid Metabolism Antibody Sampler Kit
Orders: 877-616-CELL (2355) [email protected] Support: 877-678-TECH (8324) [email protected] Web: cellsignal.com
For Research Use Only. Not for Use in Diagnostic Procedures.

Revision 1

Cell Signaling Technology Logo
Western blot analysis of extracts from various cell lines using CBP (D6C5) Rabbit mAb.
undefined Image 16: PPAR gamma Regulated Fatty Acid Metabolism Antibody Sampler Kit
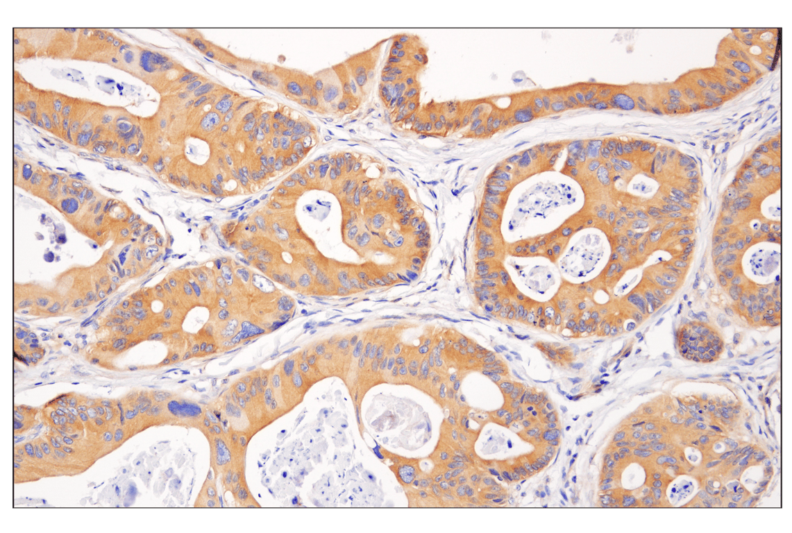
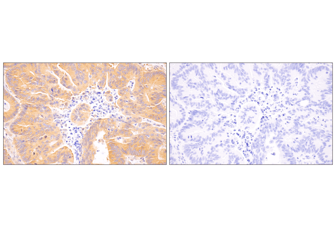
Immunohistochemical analysis of paraffin-embedded human adenocarcinoma of the colon using CBP (D6C5) Rabbit mAb.
undefined Image 17: PPAR gamma Regulated Fatty Acid Metabolism Antibody Sampler Kit
Chromatin immunoprecipitations were performed with cross-linked chromatin from HDLM-2 cells and either PPARγ (C26H12) Rabbit mAb or Normal Rabbit IgG #2729 using SimpleChIP® Plus Enzymatic Chromatin IP Kit (Magnetic Beads) #9005. The enriched DNA was quantified by real-time PCR using SimpleChIP® Human FOXN3 Intron 3 Primers #95568, human STON2 intron 4 primers, and SimpleChIP® Human α Satellite Repeat Primers #4486. The amount of immunoprecipitated DNA in each sample is represented as signal relative to the total amount of input chromatin, which is equivalent to one.
undefined Image 18: PPAR gamma Regulated Fatty Acid Metabolism Antibody Sampler Kit
Orders: 877-616-CELL (2355) [email protected] Support: 877-678-TECH (8324) [email protected] Web: cellsignal.com
For Research Use Only. Not for Use in Diagnostic Procedures.

Revision 1

Cell Signaling Technology Logo
Immunohistochemical analysis of paraffin-embedded human esophageal carcinoma using Phospho-AMPKα (Thr172) (40H9) Rabbit mAb performed on the Leica BOND RX.
undefined Image 19: PPAR gamma Regulated Fatty Acid Metabolism Antibody Sampler Kit
Western blot analysis of HCT116 extracts from WT (left) or RXRA KO (right) using RXRα (D6H10) Rabbit mAb. Membranes stained with Ponceau S for total protein normalization (lower). These data were provided by YCharOS Inc., an open science company with the mission of characterizing commercially available antibodies, as a companion to validation data generated by CST scientists.
undefined Image 20: PPAR gamma Regulated Fatty Acid Metabolism Antibody Sampler Kit
Chromatin immunoprecipitations were performed with cross-linked chromatin from 293 cells, treated with Forskolin #3828 (30 μM, 1h) and either CBP (D6C5) Rabbit mAb or Normal Rabbit IgG #2729, using SimpleChIP® Enzymatic Chromatin IP Kit (Magnetic Beads) #9003. The enriched DNA was quantified by real-time PCR using human ALS2 exon 1 primers, SimpleChIP® Human NR4A3 Promoter Primers #4829, and SimpleChIP® Human α Satellite Repeat Primers #4486. The amount of immunoprecipitated DNA in each sample is represented as signal relative to the total amount of input chromatin, which is equivalent to one.
undefined Image 21: PPAR gamma Regulated Fatty Acid Metabolism Antibody Sampler Kit
Orders: 877-616-CELL (2355) [email protected] Support: 877-678-TECH (8324) [email protected] Web: cellsignal.com
For Research Use Only. Not for Use in Diagnostic Procedures.

Revision 1

Cell Signaling Technology Logo
Confocal immunofluorescent analysis of HeLa cells using CBP (D6C5) Rabbit mAb (green) and DyLight™ 554 Phalloidin #13054 (red).
undefined Image 22: PPAR gamma Regulated Fatty Acid Metabolism Antibody Sampler Kit
Immunohistochemical analysis of paraffin-embedded human gastric adenocarcinoma using CBP (D6C5) Rabbit mAb.
undefined Image 23: PPAR gamma Regulated Fatty Acid Metabolism Antibody Sampler Kit
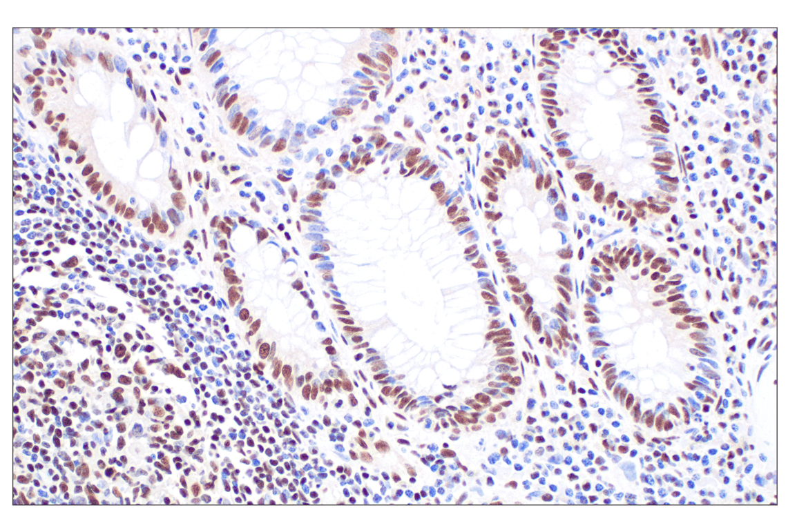
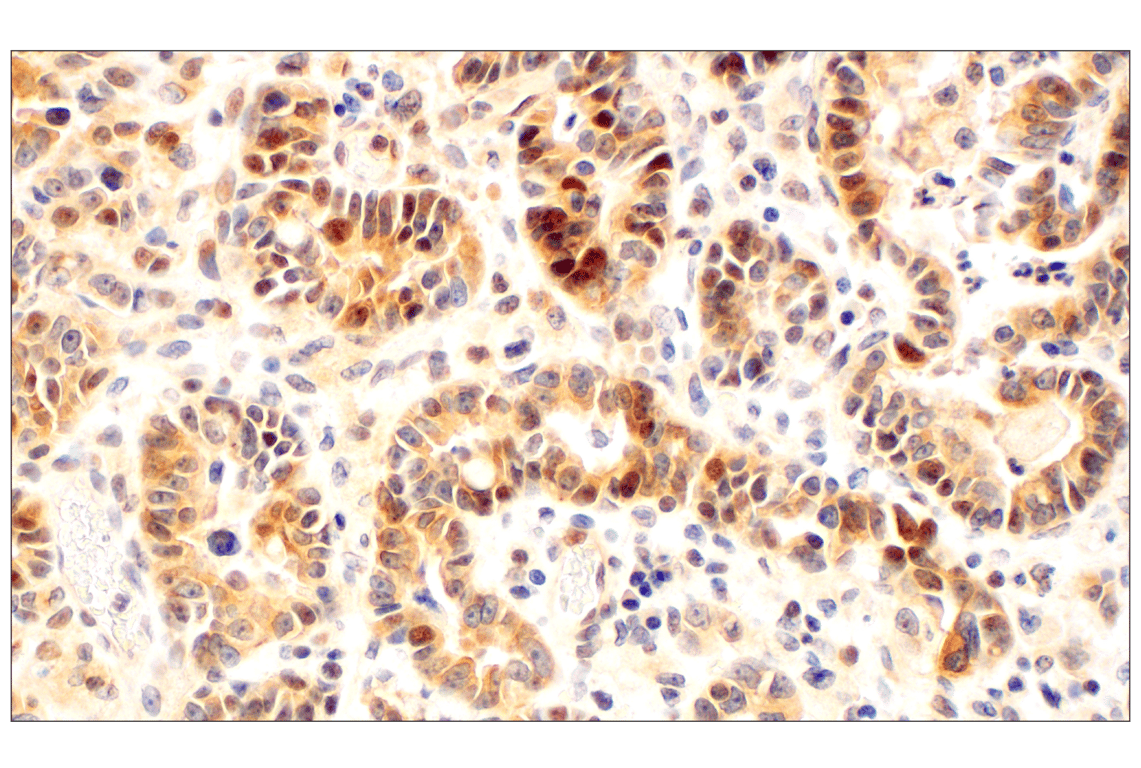
Immunohistochemical analysis of paraffin-embedded human colon carcinoma using Phospho-AMPKα (Thr172) (40H9) Rabbit mAb.
undefined Image 24: PPAR gamma Regulated Fatty Acid Metabolism Antibody Sampler Kit
Orders: 877-616-CELL (2355) [email protected] Support: 877-678-TECH (8324) [email protected] Web: cellsignal.com
For Research Use Only. Not for Use in Diagnostic Procedures.

Revision 1

Cell Signaling Technology Logo
Chromatin immunoprecipitations were performed with cross-linked chromatin from LS-180 cells treated with Vitamin D (10nM) for 3 hours and either RXRα (D6H10) Rabbit mAb or Normal Rabbit IgG #2729 using SimpleChIP® Plus Enzymatic Chromatin IP Kit (Magnetic Beads) #9005. The enriched DNA was quantified by real-time PCR using SimpleChIP® Human c-Fos Upstream Primers #25661, human UCA1 promoter primers, and SimpleChIP® Human α Satellite Repeat Primers #4486. The amount of immunoprecipitated DNA in each sample is represented as signal relative to the total amount of input chromatin, which is equivalent to one.
undefined Image 25: PPAR gamma Regulated Fatty Acid Metabolism Antibody Sampler Kit
Immunohistochemical analysis of paraffin-embedded mouse ovary using CBP (D6C5) Rabbit mAb.
undefined Image 26: PPAR gamma Regulated Fatty Acid Metabolism Antibody Sampler Kit
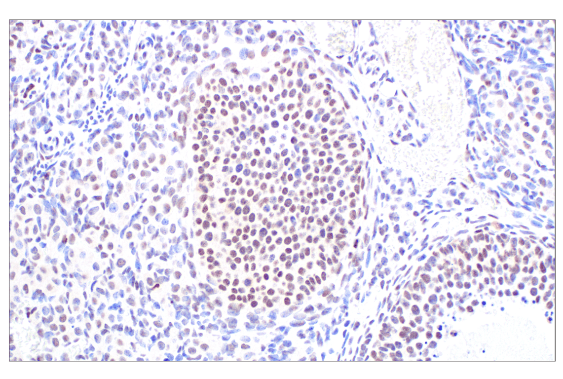
Immunohistochemical analysis of paraffin-embedded human breast carcinoma using Phospho-AMPKα (Thr172) (40H9) Rabbit mAb.
undefined Image 27: PPAR gamma Regulated Fatty Acid Metabolism Antibody Sampler Kit
Orders: 877-616-CELL (2355) [email protected] Support: 877-678-TECH (8324) [email protected] Web: cellsignal.com
For Research Use Only. Not for Use in Diagnostic Procedures.

Revision 1

Cell Signaling Technology Logo
Immunohistochemical analysis of paraffin-embedded normal human esophagus using CBP (D6C5) Rabbit mAb.
undefined Image 28: PPAR gamma Regulated Fatty Acid Metabolism Antibody Sampler Kit
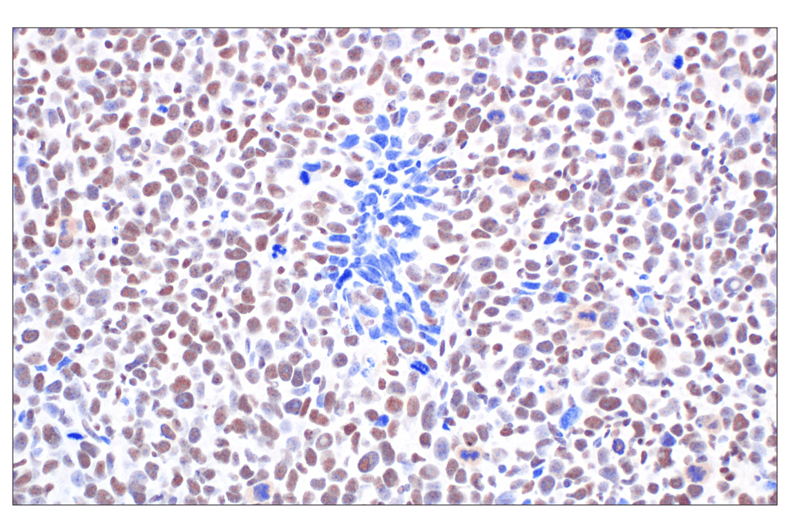
Immunohistochemical analysis of paraffin-embedded human ovarian carcinoma using Phospho-AMPKα (Thr172) (40H9) Rabbit mAb.
undefined Image 29: PPAR gamma Regulated Fatty Acid Metabolism Antibody Sampler Kit
Immunohistochemical analysis of paraffin-embedded human colon carcinoma, untreated (left) or lambda phosphatase treated (right), using Phospho-AMPKα (Thr172) (40H9) Rabbit mAb.
undefined Image 30: PPAR gamma Regulated Fatty Acid Metabolism Antibody Sampler Kit
Orders: 877-616-CELL (2355) [email protected] Support: 877-678-TECH (8324) [email protected] Web: cellsignal.com
For Research Use Only. Not for Use in Diagnostic Procedures.

Revision 1

Cell Signaling Technology Logo
Immunohistochemical analysis of paraffin-embedded LL2 syngeneic tumor using CBP (D6C5) Rabbit mAb.
undefined Image 31: PPAR gamma Regulated Fatty Acid Metabolism Antibody Sampler Kit
Immunohistochemical analysis of paraffin-embedded NCI-H228 cell pellets, control (left) or phenformin-treated (right), using Phospho-AMPKalpha (T172) (40H9) Rabbit mAb.
undefined Image 32: PPAR gamma Regulated Fatty Acid Metabolism Antibody Sampler Kit
Immunohistochemical analysis of paraffin-embedded mouse colon using CBP (D6C5) Rabbit mAb.
undefined Image 33: PPAR gamma Regulated Fatty Acid Metabolism Antibody Sampler Kit
Orders: 877-616-CELL (2355) [email protected] Support: 877-678-TECH (8324) [email protected] Web: cellsignal.com
For Research Use Only. Not for Use in Diagnostic Procedures.

Revision 1

Cell Signaling Technology Logo
Immunohistochemical analysis of paraffin-embedded mouse cortex using CBP (D6C5) Rabbit mAb.
undefined Image 34: PPAR gamma Regulated Fatty Acid Metabolism Antibody Sampler Kit
Immunohistochemical analysis of paraffin-embedded mouse ovary using CBP (D6C5) Rabbit mAb.
undefined Image 35: PPAR gamma Regulated Fatty Acid Metabolism Antibody Sampler Kit
Immunohistochemical analysis of paraffin-embedded human adenoid cystic carcinoma of the salivary gland using CBP (D6C5) Rabbit mAb (left) compared to concentration-matched Rabbit (DA1E) mAb IgG XP® Isotype Control #3900 (right).
undefined Image 36: PPAR gamma Regulated Fatty Acid Metabolism Antibody Sampler Kit
Orders: 877-616-CELL (2355) [email protected] Support: 877-678-TECH (8324) [email protected] Web: cellsignal.com
For Research Use Only. Not for Use in Diagnostic Procedures.

Revision 1

Cell Signaling Technology Logo
Immunoprecipitation of CBP from HeLa cell extracts using Rabbit (DA1E) mAb IgG XP® Isotype Control #3900 (lane 2) or CBP (D6C5) Rabbit mAb (lane 3). Lane 1 is 10% input. Western blot analysis was performed using CBP (D6C5) Rabbit mAb.
undefined Image 37: PPAR gamma Regulated Fatty Acid Metabolism Antibody Sampler Kit
Western blot analysis of extracts from NIH/3T3 and 3T3-L1 cells (differentiated 6 days into adipocytes) using PPARγ (C26H12) Rabbit mAb.
undefined Image 38: PPAR gamma Regulated Fatty Acid Metabolism Antibody Sampler Kit
Immunohistochemical analysis of 3T3-L1 cells, undifferentiated (left) or differentiated (right) , using PPARγ (C26H12) Rabbit mAb.
undefined Image 39: PPAR gamma Regulated Fatty Acid Metabolism Antibody Sampler Kit
Orders: 877-616-CELL (2355) [email protected] Support: 877-678-TECH (8324) [email protected] Web: cellsignal.com
For Research Use Only. Not for Use in Diagnostic Procedures.

Revision 1

Cell Signaling Technology Logo
Immunohistochemical analysis of paraffin-embedded mouse brown fat using PPARγ (C26H12) Rabbit mAb.
undefined Image 40: PPAR gamma Regulated Fatty Acid Metabolism Antibody Sampler Kit
Confocal immunofluorescent analysis of 3T3-L1 cells using PPARγ (C26H12A8) Rabbit mAb (red) showing nuclear localization in differentiated cells. Lipid droplets have been labeled with BODIPY 493/503 (green). Blue pseudocolor = DRAQ5™ (fluorescent DNA dye).
undefined Image 41: PPAR gamma Regulated Fatty Acid Metabolism Antibody Sampler Kit
Simple Western™ analysis of lysates (1 mg/mL) from HeLa cells using AMPKα (D5A2) Rabbit mAb #5831. The virtual lane view (left) shows the target band (as indicated) at 1:10 and 1:50 dilutions of primary antibody. The corresponding electropherogram view (right) plots chemiluminescence by molecular weight along the capillary at 1:10 (blue line) and 1:50 (green line) dilutions of primary antibody. This experiment was performed under reducing conditions on the Jess™ ​​​​​​​ Simple Western instrument from ProteinSimple, a BioTechne brand, using the 12-230 kDa separation module.
undefined Image 42: PPAR gamma Regulated Fatty Acid Metabolism Antibody Sampler Kit
Orders: 877-616-CELL (2355) [email protected] Support: 877-678-TECH (8324) [email protected] Web: cellsignal.com
For Research Use Only. Not for Use in Diagnostic Procedures.

Revision 1

Cell Signaling Technology Logo
Simple Western™ analysis of lysates (0.1 mg/mL) from 293T cells using CBP (D6C5) Rabbit mAb #7389. The virtual lane view (left) shows the target band (as indicated) at 1:50 and 1:250 dilutions of primary antibody. The corresponding electropherogram view (right) plots chemiluminescence by molecular weight along the capillary at 1:50 (blue line) and 1:250 (green line) dilutions of primary antibody. This experiment was performed under reducing conditions on the Jess™ Simple Western instrument from ProteinSimple, a BioTechne brand, using the 66 - 440 kDa separation module.
undefined Image 43: PPAR gamma Regulated Fatty Acid Metabolism Antibody Sampler Kit
Orders: 877-616-CELL (2355) [email protected] Support: 877-678-TECH (8324) [email protected] Web: cellsignal.com
For Research Use Only. Not for Use in Diagnostic Procedures.