Revision 1

#33738

Store at -20C

CST Logo
Orders:

877-616-CELL (2355)

[email protected]

Support:

877-678-TECH (8324)

3 Trask Lane | Danvers | Massachusetts | 01923 | USA

For Research Use Only. Not for Use in Diagnostic Procedures.

Product Includes Product # Quantity Mol. Wt Isotype/Source
Complexin-1 (D5Q5H) Rabbit Monoclonal Antibody1770020 µl14 kDaRabbit IgG
Complexin-1/2 (D8A6E) Rabbit Monoclonal Antibody2807020 µl14-16 kDaRabbit IgG
Munc18-1 (D4O6V) Rabbit Monoclonal Antibody1341420 µl70 kDaRabbit IgG
SNAP25 (D7B4) Rabbit Monoclonal Antibody530820 µl25 kDaRabbit IgG
Synaptophysin (D8F6H) Rabbit Monoclonal Antibody3640620 µl38 kDaRabbit IgG
Synaptotagmin-1 (D33B7) Rabbit Monoclonal Antibody1455820 µl60 kDaRabbit IgG
Synapsin-1 (D12G5) Rabbit Monoclonal Antibody529720 µl77 kDaRabbit IgG
Syntaxin 1A (D4E2W) Rabbit Monoclonal Antibody1857220 µl33 kDaRabbit IgG
VAMP2 (D6O1A) Rabbit Monoclonal Antibody1350820 µl13 kDaRabbit
Anti-rabbit IgG, HRP-linked Antibody7074100 µlGoat

Please visit cellsignal.com for individual component applications, species cross-reactivity, dilutions, protocols, and additional product information.

Description

The Presynaptic Vesicle Cycle Antibody Sampler Kit provides an economical means of detecting expression of key synaptic vesicle proteins. The kit includes enough antibodies to perform two western blot experiments with each primary antibody.

Storage

Supplied in 10 mM sodium HEPES (pH 7.5), 150 mM NaCl, 100 µg/ml BSA, 50% glycerol and less than 0.02% sodium azide. Store at –20°C. Do not aliquot the antibodies.

Background

The synapse is the unit of information transfer in the brain between neurons (1). Synaptic transfer is initiated by action potential-initiated synaptic vesicles fusion at the presynaptic terminal to release neurotransmitters. The basic molecular machinery that drives all membrane fusion events in all cells include N-ethylmaleimide-sensitive factor attachment protein receptor (SNARE) proteins that form a trans-ternary complex between to-be-fused membranes. The zippering up of SNARE proteins provides the energy required for membrane fusion. At the synapse, the SNARE proteins include 25 kDa synaptosome-associated protein (SNAP25), syntaxin 1A (STX1A), and vesicle-associated membrane protein 2 (VAMP2, also called synaptobrevin). Neurotransmitter release, however, is a highly regulated process that occurs in response to action potential-initiated Ca2+-influx. Regulation of synaptic vesicle fusion is mediated by SNARE-binding proteins like complexin and the Ca2+-associated vesicle protein, synaptotagmin-1, that cooperatively function to initiate Ca2+-induced synaptic vesicle fusion. The synaptic vesicle cycle represents a cycle of events that prime the synaptic vesicle before fusion and retrieve fused membrane after full fusion. Synaptic vesicle-associated proteins like synaptophysin and synapsin-1, as well as target membrane proteins like Munc18-1, play a complex role in priming synaptic vesicles to be fusion competent.   

Trademarks and Patents

Cell Signaling Technology is a trademark of Cell Signaling Technology, Inc.

All other trademarks are the property of their respective owners. Visit cellsignal.com/trademarks for more information.

Limited Uses

Except as otherwise expressly agreed in a writing signed by a legally authorized representative of CST, the following terms apply to Products provided by CST, its affiliates or its distributors. Any Customer's terms and conditions that are in addition to, or different from, those contained herein, unless separately accepted in writing by a legally authorized representative of CST, are rejected and are of no force or effect.

Products are labeled with For Research Use Only or a similar labeling statement and have not been approved, cleared, or licensed by the FDA or other regulatory foreign or domestic entity, for any purpose. Customer shall not use any Product for any diagnostic or therapeutic purpose, or otherwise in any manner that conflicts with its labeling statement. Products sold or licensed by CST are provided for Customer as the end-user and solely for research and development uses. Any use of Product for diagnostic, prophylactic or therapeutic purposes, or any purchase of Product for resale (alone or as a component) or other commercial purpose, requires a separate license from CST. Customer shall (a) not sell, license, loan, donate or otherwise transfer or make available any Product to any third party, whether alone or in combination with other materials, or use the Products to manufacture any commercial products, (b) not copy, modify, reverse engineer, decompile, disassemble or otherwise attempt to discover the underlying structure or technology of the Products, or use the Products for the purpose of developing any products or services that would compete with CST products or services, (c) not alter or remove from the Products any trademarks, trade names, logos, patent or copyright notices or markings, (d) use the Products solely in accordance with CST Product Terms of Sale and any applicable documentation, and (e) comply with any license, terms of service or similar agreement with respect to any third party products or services used by Customer in connection with the Products.

Orders: 877-616-CELL (2355) [email protected] Support: 877-678-TECH (8324) [email protected] Web: cellsignal.com
For Research Use Only. Not for Use in Diagnostic Procedures.

Revision 1

Cell Signaling Technology Logo
Western blot analysis of extracts from mouse brain, rat brain, and human cortex using Munc18-1 (D4O6V) Rabbit mAb.
undefined Image 1: Presynaptic Vesicle Cycle Antibody Sampler Kit
Western blot analysis of extracts from various cell lines and tissues using VAMP2 (D6O1A) Rabbit mAb.
undefined Image 2: Presynaptic Vesicle Cycle Antibody Sampler Kit
Western blot analysis of extracts from mouse and rat brain using Synaptotagmin-1 (D33B7) Rabbit mAb.
undefined Image 3: Presynaptic Vesicle Cycle Antibody Sampler Kit
Orders: 877-616-CELL (2355) [email protected] Support: 877-678-TECH (8324) [email protected] Web: cellsignal.com
For Research Use Only. Not for Use in Diagnostic Procedures.

Revision 1

Cell Signaling Technology Logo
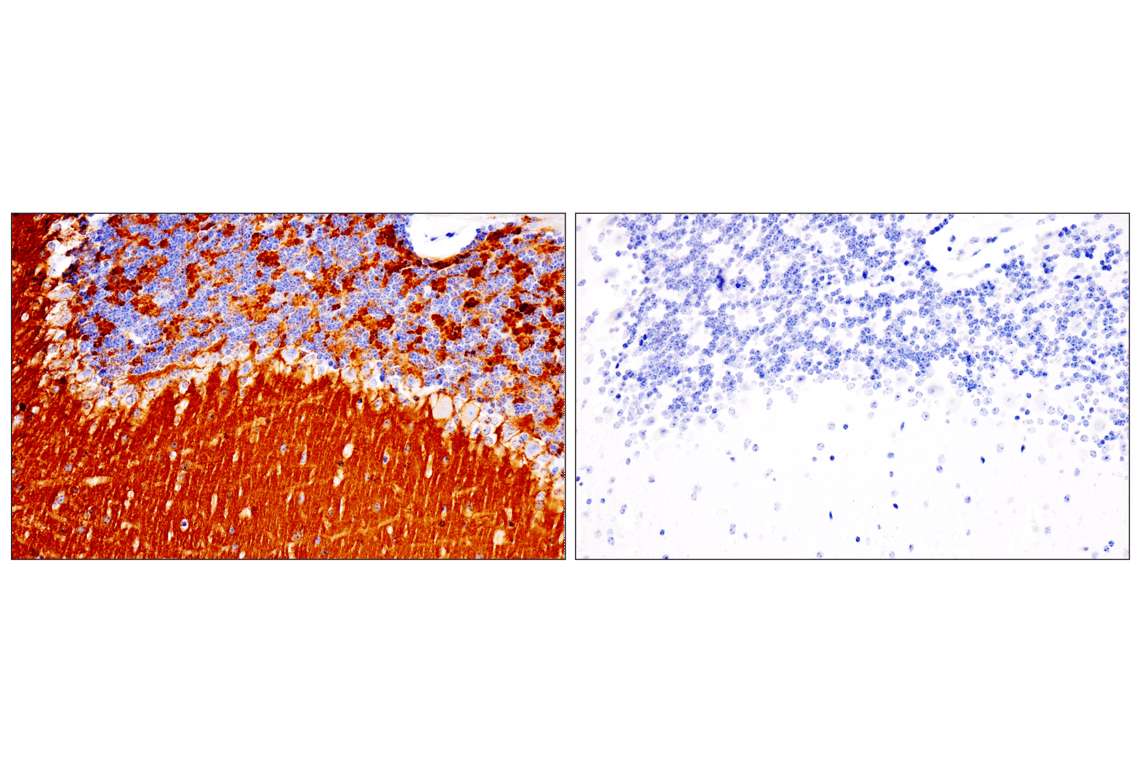
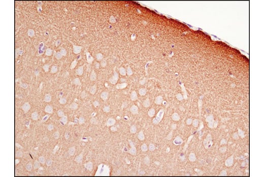
Immunohistochemical analysis of paraffin-embedded mouse brain using Synaptotagmin-1 (D33B7) Rabbit mAb.
undefined Image 4: Presynaptic Vesicle Cycle Antibody Sampler Kit
Western blot analysis of extracts from various cells lines and tissues using Complexin-1 (D5Q5H) Rabbit mAb (upper) or β-Actin (D6A8) Rabbit mAb #8457 (lower).
undefined Image 5: Presynaptic Vesicle Cycle Antibody Sampler Kit
Western blot analysis of extracts from mouse brain, mouse lung, and rat brain using Syntaxin 1A (D4E2W) Rabbit mAb (upper) or β-Actin (D6A8) Rabbit mAb #8457 (lower).
undefined Image 6: Presynaptic Vesicle Cycle Antibody Sampler Kit
Orders: 877-616-CELL (2355) [email protected] Support: 877-678-TECH (8324) [email protected] Web: cellsignal.com
For Research Use Only. Not for Use in Diagnostic Procedures.

Revision 1

Cell Signaling Technology Logo
Western blot analysis of extracts from Neuro-2a, NIH/3T3, and mouse brain, using Complexin-1/2 (D8A6E) Rabbit mAb (upper) and β-Actin (D6A8) Rabbit mAb #8457 (lower).
undefined Image 7: Presynaptic Vesicle Cycle Antibody Sampler Kit
Western blot analysis of extracts from mouse and rat tissue using Synaptophysin (D8F6H) XP® Rabbit mAb (upper) and B-Actin (D6A8) Rabbit mAb #8457 (lower).
undefined Image 8: Presynaptic Vesicle Cycle Antibody Sampler Kit
Western blot analysis of extracts from CAD cells and neonatal mouse brain using Synapsin-1 (D12G5) XP® Rabbit mAb.
undefined Image 9: Presynaptic Vesicle Cycle Antibody Sampler Kit
Orders: 877-616-CELL (2355) [email protected] Support: 877-678-TECH (8324) [email protected] Web: cellsignal.com
For Research Use Only. Not for Use in Diagnostic Procedures.

Revision 1

Cell Signaling Technology Logo
Western blot analysis of extracts from mouse and rat brain using SNAP25 (D7B4) Rabbit mAb.
undefined Image 10: Presynaptic Vesicle Cycle Antibody Sampler Kit
After the primary antibody is bound to the target protein, a complex with HRP-linked secondary antibody is formed. The LumiGLO® is added and emits light during enzyme catalyzed decomposition.
undefined Image 11: Presynaptic Vesicle Cycle Antibody Sampler Kit
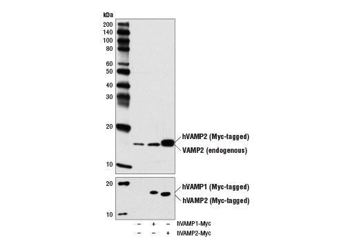
Western blot analysis of extracts from 293T cells, mock transfected (-) or transfected with a construct expressing Myc-tagged full-length human VAMP1 (hVAMP1-Myc; +) or VAMP2 (hVAMP2-Myc; +), using VAMP2 (D6O1A) Rabbit mAb (upper) and Myc-Tag (71D10) Rabbit mAb #2278 (lower).
undefined Image 12: Presynaptic Vesicle Cycle Antibody Sampler Kit
Orders: 877-616-CELL (2355) [email protected] Support: 877-678-TECH (8324) [email protected] Web: cellsignal.com
For Research Use Only. Not for Use in Diagnostic Procedures.

Revision 1

Cell Signaling Technology Logo
Simple Western™ analysis of lysates (0.5 mg/mL) from IMR-32 cells using Synaptotagmin-1 (D33B7) Rabbit mAb #14558. The virtual lane view (left) shows the target band (as indicated) at 1:10 and 1:50 dilutions of primary antibody. The corresponding electropherogram view (right) plots chemiluminescence by molecular weight along the capillary at 1:10 (blue line) and 1:50 (green line) dilutions of primary antibody. This experiment was performed under reducing conditions on the Jess™ Simple Western instrument from ProteinSimple, a BioTechne brand, using the 12-230 kDa separation module.
undefined Image 13: Presynaptic Vesicle Cycle Antibody Sampler Kit
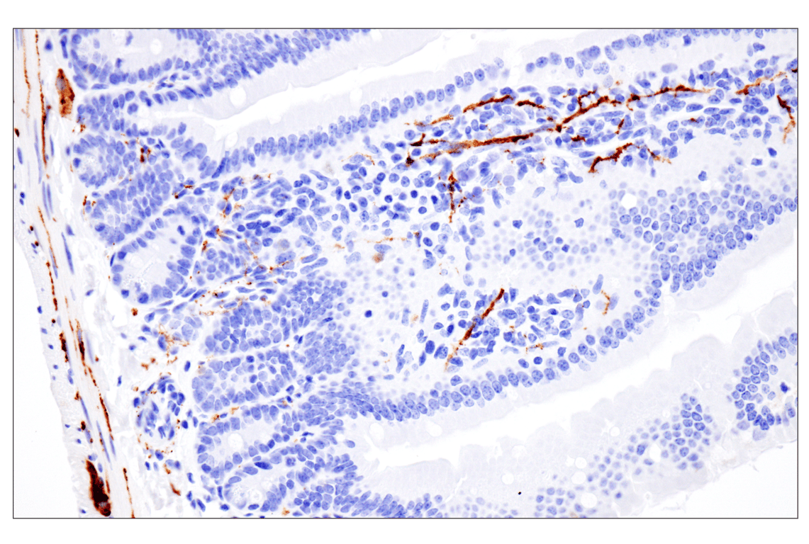
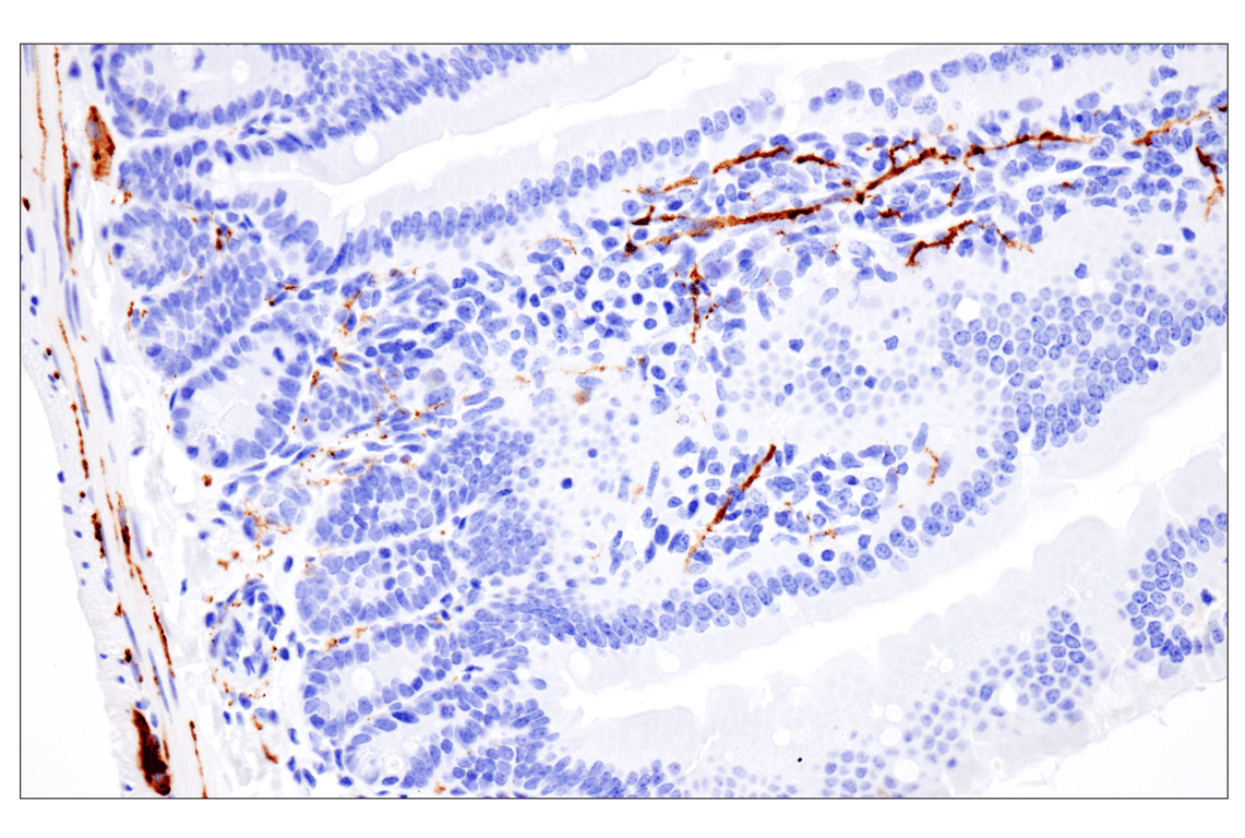
Immunohistochemical analysis of paraffin-embedded mouse small intestine using Synaptotagmin-1 (D33B7) Rabbit mAb.
undefined Image 14: Presynaptic Vesicle Cycle Antibody Sampler Kit
Western blot analysis of extracts from 293T cells, mock transfected (-) or transfected with a construct expressing Myc-tagged full length human complexin-1 (hCPLX-1-Myc; +) or complexin-2 (hCPLX-2-Myc; +), using Complexin-1 (D5Q5H) Rabbit mAb (upper), and Myc-Tag (71D10) Rabbit mAb #2278 (lower).
undefined Image 15: Presynaptic Vesicle Cycle Antibody Sampler Kit
Orders: 877-616-CELL (2355) [email protected] Support: 877-678-TECH (8324) [email protected] Web: cellsignal.com
For Research Use Only. Not for Use in Diagnostic Procedures.

Revision 1

Cell Signaling Technology Logo
Western blot analysis of extracts from 293T cells, mock transfected (-) or transfected with a construct expressing Myc-tagged full-length human complexin-1 (hCPLX-1-Myc; +) or complexin-2 (hCPLX-2-Myc; +), using Complexin-1/2 (D8A6E) Rabbit mAb (upper), and Myc-Tag (71D10) Rabbit mAb #2278 (lower).
undefined Image 16: Presynaptic Vesicle Cycle Antibody Sampler Kit
Immunohistochemical analysis of paraffin-embedded Neuro-2a cell pellet (left, positive) or C2C12 cell pellet (right, negative) using Synaptophysin (D8F6H) XP® Rabbit mAb.
undefined Image 17: Presynaptic Vesicle Cycle Antibody Sampler Kit
Immunohistochemical analysis of paraffin-embedded human cerebellum using Synapsin-1 (D12G5) XP® Rabbit mAb.
undefined Image 18: Presynaptic Vesicle Cycle Antibody Sampler Kit
Orders: 877-616-CELL (2355) [email protected] Support: 877-678-TECH (8324) [email protected] Web: cellsignal.com
For Research Use Only. Not for Use in Diagnostic Procedures.

Revision 1

Cell Signaling Technology Logo
Immunoprecipitation of VAMP2 from Neuro-2a cell extracts using Rabbit (DA1E) mAb IgG XP® Isotype Control #3900 (lane 2) or VAMP2 (D6O1A) Rabbit mAb (lane 3). Lane 1 is 10% input. Western blot analysis was performed using VAMP2 (D6O1A) Rabbit mAb.
undefined Image 19: Presynaptic Vesicle Cycle Antibody Sampler Kit
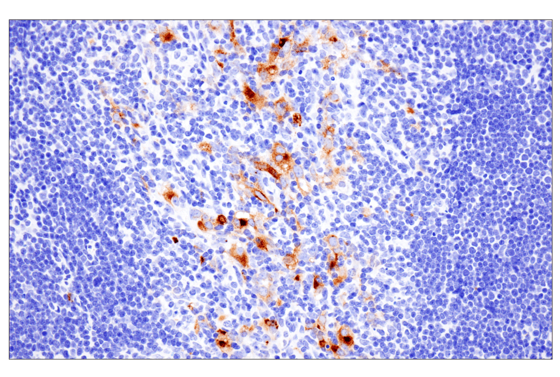
mmunohistochemical analysis of paraffin-embedded mouse thymus using Synaptotagmin-1 (D33B7) Rabbit mAb.
undefined Image 20: Presynaptic Vesicle Cycle Antibody Sampler Kit
Immunoprecipitation of Complexin-1 from Neuro-2a cell extracts. Lane 1 is 10% input, lane 2 is Rabbit (DA1E) mAb IgG XP® Isotype Control #3900 and lane 3 is Complexin-1 (D5Q5H) Rabbit mAb. Western blot was performed using Complexin-1 (D5Q5H) Rabbit mAb.
undefined Image 21: Presynaptic Vesicle Cycle Antibody Sampler Kit
Orders: 877-616-CELL (2355) [email protected] Support: 877-678-TECH (8324) [email protected] Web: cellsignal.com
For Research Use Only. Not for Use in Diagnostic Procedures.

Revision 1

Cell Signaling Technology Logo
Immunoprecipitation of complexin-1/2 from Neuro-2A cell extracts. Lane 1 is 10% input, lane 2 is Rabbit (DA1E) mAb IgG XP® Isotype Control #3900, and lane 3 is Complexin-1/2 (D8A6E) Rabbit mAb. Western blot analysis was performed using Complexin-1/2 (D8A6E) Rabbit mAb.
undefined Image 22: Presynaptic Vesicle Cycle Antibody Sampler Kit
Immunohistochemical analysis of paraffin-embedded mouse cerebellum using Synaptophysin (D8F6H) XP® Rabbit mAb.
undefined Image 23: Presynaptic Vesicle Cycle Antibody Sampler Kit
Immunohistochemical analysis of paraffin-embedded mouse cortex using Synapsin-1 (D12G5) XP® Rabbit mAb.
undefined Image 24: Presynaptic Vesicle Cycle Antibody Sampler Kit
Orders: 877-616-CELL (2355) [email protected] Support: 877-678-TECH (8324) [email protected] Web: cellsignal.com
For Research Use Only. Not for Use in Diagnostic Procedures.

Revision 1

Cell Signaling Technology Logo
Immunohistochemical analysis of paraffin-embedded human colon using VAMP2 (D6O1A) Rabbit mAb.
undefined Image 25: Presynaptic Vesicle Cycle Antibody Sampler Kit
Immunohistochemical analysis of paraffin-embedded mouse spleen using Synaptotagmin-1 (D33B7) Rabbit mAb.
undefined Image 26: Presynaptic Vesicle Cycle Antibody Sampler Kit
Confocal immunofluorescent analysis of Neuro-2a (positive, left panels) and NIH/3T3 (negative, right panels) using Complexin-1 (D5Q5H) Rabbit mAb (green). Actin filaments were labeled with DyLight™ 554 Phalloidin #13054 (red, upper panels). Blue pseudocolor = DRAQ5® #4084 (fluorescent DNA dye).
undefined Image 27: Presynaptic Vesicle Cycle Antibody Sampler Kit
Orders: 877-616-CELL (2355) [email protected] Support: 877-678-TECH (8324) [email protected] Web: cellsignal.com
For Research Use Only. Not for Use in Diagnostic Procedures.

Revision 1

Cell Signaling Technology Logo
Confocal immunofluorescent analysis of Neuro-2a (left) and NIH/3T3 (right) cells, using Complexin-1/2 (D8A6E) Rabbit mAb (green). Blue pseudocolor = DRAQ5® #4084 (fluorescent DNA dye).
undefined Image 28: Presynaptic Vesicle Cycle Antibody Sampler Kit
Immunohistochemical analysis of paraffin-embedded mouse colon using Synaptophysin (D8F6H) XP® Rabbit mAb.
undefined Image 29: Presynaptic Vesicle Cycle Antibody Sampler Kit
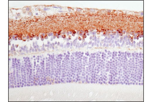
Immunohistochemical analysis of paraffin-embedded rat retina using Synapsin-1 (D12G5) XP® Rabbit mAb.
undefined Image 30: Presynaptic Vesicle Cycle Antibody Sampler Kit
Orders: 877-616-CELL (2355) [email protected] Support: 877-678-TECH (8324) [email protected] Web: cellsignal.com
For Research Use Only. Not for Use in Diagnostic Procedures.

Revision 1

Cell Signaling Technology Logo
Immunohistochemical analysis of paraffin-embedded rat kidney using VAMP2 (D6O1A) Rabbit mAb.
undefined Image 31: Presynaptic Vesicle Cycle Antibody Sampler Kit
Immunohistochemical analysis of paraffin-embedded mouse brain (left), colon (middle), or ovary (right) using Synaptotagmin-1 (D33B7) Rabbit mAb (top) or a Synaptotagmin-1 Rabbit mAb (bottom). These two antibodies detect unique, non-overlapping epitopes on mouse Synaptotagmin-1. The similar staining patterns obtained with both antibodies help to confirm the specificity of the staining.
undefined Image 32: Presynaptic Vesicle Cycle Antibody Sampler Kit
Immunohistochemical analysis of paraffin-embedded human non-small cell lung carcinoma using Synaptophysin (D8F6H) XP® Rabbit mAb.
undefined Image 33: Presynaptic Vesicle Cycle Antibody Sampler Kit
Orders: 877-616-CELL (2355) [email protected] Support: 877-678-TECH (8324) [email protected] Web: cellsignal.com
For Research Use Only. Not for Use in Diagnostic Procedures.

Revision 1

Cell Signaling Technology Logo
Confocal immunofluorescent analysis of mouse brain using Synapsin-1 (D12G5) XP® Rabbit mAb (green) and β3-Tubulin (TU-20) Mouse mAb #4466 (red). Blue pseudocolor = DRAQ5® #4084 (fluorescent DNA dye).
undefined Image 34: Presynaptic Vesicle Cycle Antibody Sampler Kit
Immunohistochemical analysis of paraffin-embedded mouse pancreas using VAMP2 (D6O1A) Rabbit mAb.
undefined Image 35: Presynaptic Vesicle Cycle Antibody Sampler Kit
Immunohistochemical analysis of paraffin-embedded mouse cerebellum using Synaptotagmin-1 (D33B7) Rabbit Monoclonal Antibody (left) compared to concentration-matched Rabbit (DA1E) mAb IgG Isotype Control #3900 (right).
undefined Image 36: Presynaptic Vesicle Cycle Antibody Sampler Kit
Orders: 877-616-CELL (2355) [email protected] Support: 877-678-TECH (8324) [email protected] Web: cellsignal.com
For Research Use Only. Not for Use in Diagnostic Procedures.

Revision 1

Cell Signaling Technology Logo
Immunohistochemical analysis of paraffin-embedded human endometrioid adenocarcinoma using Synaptophysin (D8F6H) XP® Rabbit mAb.
undefined Image 37: Presynaptic Vesicle Cycle Antibody Sampler Kit
Confocal immunofluorescent analysis of normal rat retina using VAMP2 (D6O1A) Rabbit mAb (green) and GFAP (GA5) Mouse mAb (Alexa Fluor® 555 Conjugate) #3656 (red). Blue pseudocolor = DRAQ5® #4084 (fluorescent DNA dye).
undefined Image 38: Presynaptic Vesicle Cycle Antibody Sampler Kit
Immunohistochemical analysis of paraffin-embedded mouse pancreas using Synaptophysin (D8F6H) XP® Rabbit mAb.
undefined Image 39: Presynaptic Vesicle Cycle Antibody Sampler Kit
Orders: 877-616-CELL (2355) [email protected] Support: 877-678-TECH (8324) [email protected] Web: cellsignal.com
For Research Use Only. Not for Use in Diagnostic Procedures.

Revision 1

Cell Signaling Technology Logo
Confocal immunofluorescent analysis of PC-12 cells using VAMP2 (D6O1A) Rabbit mAb (green). Actin filaments were labeled with DyLight™ 554 Phalloidin #13054 (red). Blue pseudocolor = DRAQ5® #4084 (fluorescent DNA dye).
undefined Image 40: Presynaptic Vesicle Cycle Antibody Sampler Kit
Confocal immunofluorescent analysis of mouse retina using Synaptophysin (D8F6H) XP® Rabbit mAb (green), Neurofilament-L (DA2) Mouse mAb #2835 (yellow) and Lamin A/C (4C11) Mouse mAb #4777 (red). Samples were mounted in ProLong® Gold Antifade Reagent with DAPI #8961 (blue).
undefined Image 41: Presynaptic Vesicle Cycle Antibody Sampler Kit
Confocal immunofluorescent analysis of mouse brain using Synaptophysin (D8F6H) XP® Rabbit mAb (green), Neurofilament-L (DA2) Mouse mAb #2835 (yellow) and Lamin A/C (4C11) Mouse #4777 (red). Samples were mounted in ProLong® Gold Antifade Reagent with DAPI #8961 (blue).
undefined Image 42: Presynaptic Vesicle Cycle Antibody Sampler Kit
Orders: 877-616-CELL (2355) [email protected] Support: 877-678-TECH (8324) [email protected] Web: cellsignal.com
For Research Use Only. Not for Use in Diagnostic Procedures.

Revision 1

Cell Signaling Technology Logo
Simple Western™ analysis of lysates (0.1 mg/mL) from rat brain using Munc18-1 (D4O6V) Rabbit mAb #13414. The virtual lane view (left) shows the target band (as indicated) at 1:50 and 1:250 dilutions of primary antibody. The corresponding electropherogram view (right) plots chemiluminescence by molecular weight along the capillary at 1:50 (blue line) and 1:250 (green line) dilutions of primary antibody. This experiment was performed under reducing conditions on the Jess™ Simple Western instrument from ProteinSimple, a BioTechne brand, using the 12-230 kDa separation module.
undefined Image 43: Presynaptic Vesicle Cycle Antibody Sampler Kit
Simple Western™ analysis of lysates (0.1 mg/mL) from mouse brain using Synaptophysin (D8F6H) XP® Rabbit mAb #36406. The virtual lane view (left) shows the target band (as indicated) at 1:10 and 1:50 dilutions of primary antibody. The corresponding electropherogram view (right) plots chemiluminescence by molecular weight along the capillary at 1:10 (blue line) and 1:50 (green line) dilutions of primary antibody. This experiment was performed under reducing conditions on the Jess™ Simple Western instrument from ProteinSimple, a BioTechne brand, using the 12-230 kDa separation module.
undefined Image 44: Presynaptic Vesicle Cycle Antibody Sampler Kit
Simple Western™ analysis of lysates (0.1 mg/mL) from CAD cells using Synapsin-1 (D12G5) XP Rabbit mAb #5297. The virtual lane view (left) shows the target band (as indicated) at 1:10 and 1:50 dilutions of primary antibody. The corresponding electropherogram view (right) plots chemiluminescence by molecular weight along the capillary at 1:10 (blue line) and 1:50 (green line) dilutions of primary antibody. This experiment was performed under reducing conditions on the Jess™ Simple Western instrument from ProteinSimple, a BioTechne brand, using the 12-230 kDa separation module.
undefined Image 45: Presynaptic Vesicle Cycle Antibody Sampler Kit
Orders: 877-616-CELL (2355) [email protected] Support: 877-678-TECH (8324) [email protected] Web: cellsignal.com
For Research Use Only. Not for Use in Diagnostic Procedures.

Revision 1

Cell Signaling Technology Logo
Simple WesternTM analysis of lysates (0.1 mg/mL) from Mouse Brain Tissue Extracts using SNAP25 (D7B4) Rabbit mAb #5308.  The virtual lane view (left) shows a single target band (as indicated) at 1:50 and 1:250 dilutions of primary antibody.  The corresponding electropherogram view (right) plots chemiluminescence by molecular weight along the capillary at 1:50 (blue line) and 1:250 (green line) dilutions of primary antibody.  This experiment was performed under reducing conditions on the JessTM Simple Western instrument from ProteinSimple, a BioTechne brand, using the 12-230 kDa separation module.
undefined Image 46: Presynaptic Vesicle Cycle Antibody Sampler Kit
Orders: 877-616-CELL (2355) [email protected] Support: 877-678-TECH (8324) [email protected] Web: cellsignal.com
For Research Use Only. Not for Use in Diagnostic Procedures.