Revision 1

#98322

Store at -20C

CST Logo
Orders:

877-616-CELL (2355)

[email protected]

Support:

877-678-TECH (8324)

3 Trask Lane | Danvers | Massachusetts | 01923 | USA

For Research Use Only. Not for Use in Diagnostic Procedures.

Product Includes Product # Quantity Mol. Wt Isotype/Source
Bax (D2E11) Rabbit Monoclonal Antibody502320 µl20 kDaRabbit IgG
Bak (D4E4) Rabbit Monoclonal Antibody1210520 µl25 kDaRabbit IgG
Bok (D7V2N) Rabbit Monoclonal Antibody8687520 µl22 kDaRabbit IgG
Bim (C34C5) Rabbit Monoclonal Antibody293320 µl12, 15, 23 kDaRabbit IgG
Bad (D24A9) Rabbit Monoclonal Antibody923920 µl23 kDaRabbit IgG
BID Antibody200220 µl15, 22 kDaRabbit
Puma (D30C10) Rabbit Monoclonal Antibody1245020 µl23 kDaRabbit IgG
Noxa (D8L7U) Rabbit Monoclonal Antibody1476620 µl10 kDaRabbit IgG
Bik Antibody459220 µl20 kDaRabbit
Anti-rabbit IgG, HRP-linked Antibody7074100 µlGoat

Please visit cellsignal.com for individual component applications, species cross-reactivity, dilutions, protocols, and additional product information.

Description

The Pro-Apoptosis Bcl-2 Family Antibody Sampler Kit II provides an economical means to examine several members of the Bcl-2 family. The kit contains enough primary antibody to perform two western blot experiments.

Storage

Supplied in 10 mM sodium HEPES (pH 7.5), 150 mM NaCl, 100 µg/ml BSA, 50% glycerol and less than 0.02% sodium azide. Store at –20°C. Do not aliquot the antibodies.

Background

The Bcl-2 family consists of a number of evolutionarily conserved proteins containing Bcl-2 homology domains (BH) that regulate apoptosis through control of mitochondrial membrane permeability and release of cytochrome c (1-3). Four BH domains have been identified (BH1-4) that mediate protein interactions. The family can be separated into three groups based upon function and sequence homology: pro-survival members include Bcl-2, Bcl-xL, Mcl-1, A1 and Bcl-w; pro-apoptotic proteins include Bax, Bak and Bok; and "BH3 only" proteins Bad, Bik, Bid, Puma, Bim, Bmf, Noxa and Hrk. Interactions between death-promoting and death-suppressing Bcl-2 family members has led to a rheostat model in which the ratio of pro-apoptotic and anti-apoptotic proteins controls cell fate (4). Thus, pro-survival members exert their behavior by binding to and antagonizing death-promoting members. In general, the "BH3-only members" can bind to and antagonize the pro-survival proteins leading to increased apoptosis (5). While some redundancy of this system likely exists, tissue specificity, transcriptional and post-translational regulation of many of these family members can account for distinct physiological roles.

Trademarks and Patents

Cell Signaling Technology is a trademark of Cell Signaling Technology, Inc.

U.S. Patent No. 7,429,487, foreign equivalents, and child patents deriving therefrom.

All other trademarks are the property of their respective owners. Visit cellsignal.com/trademarks for more information.

Limited Uses

Except as otherwise expressly agreed in a writing signed by a legally authorized representative of CST, the following terms apply to Products provided by CST, its affiliates or its distributors. Any Customer's terms and conditions that are in addition to, or different from, those contained herein, unless separately accepted in writing by a legally authorized representative of CST, are rejected and are of no force or effect.

Products are labeled with For Research Use Only or a similar labeling statement and have not been approved, cleared, or licensed by the FDA or other regulatory foreign or domestic entity, for any purpose. Customer shall not use any Product for any diagnostic or therapeutic purpose, or otherwise in any manner that conflicts with its labeling statement. Products sold or licensed by CST are provided for Customer as the end-user and solely for research and development uses. Any use of Product for diagnostic, prophylactic or therapeutic purposes, or any purchase of Product for resale (alone or as a component) or other commercial purpose, requires a separate license from CST. Customer shall (a) not sell, license, loan, donate or otherwise transfer or make available any Product to any third party, whether alone or in combination with other materials, or use the Products to manufacture any commercial products, (b) not copy, modify, reverse engineer, decompile, disassemble or otherwise attempt to discover the underlying structure or technology of the Products, or use the Products for the purpose of developing any products or services that would compete with CST products or services, (c) not alter or remove from the Products any trademarks, trade names, logos, patent or copyright notices or markings, (d) use the Products solely in accordance with CST Product Terms of Sale and any applicable documentation, and (e) comply with any license, terms of service or similar agreement with respect to any third party products or services used by Customer in connection with the Products.

Orders: 877-616-CELL (2355) [email protected] Support: 877-678-TECH (8324) [email protected] Web: cellsignal.com
For Research Use Only. Not for Use in Diagnostic Procedures.

Revision 1

Cell Signaling Technology Logo
Western blot analysis of extracts from various cell lines using Bak (D4E4) Rabbit mAb.
undefined Image 1: Pro-Apoptosis Bcl-2 Family Antibody Sampler Kit II
Flow cytometric analysis of OVCAR8 cells using Bak (D4E4) Rabbit mAb (solid line) compared to concentration-matched Rabbit (DA1E) mAb IgG XP® Isotype Control #3900 (dashed line). Anti-rabbit IgG (H+L), F(ab')2 Fragment (Alexa Fluor® 488 Conjugate) #4412 was used as a secondary antibody.
undefined Image 2: Pro-Apoptosis Bcl-2 Family Antibody Sampler Kit II
Western blot analysis of extracts from A549 cells, untreated (-) or treated with Doxorubicin #5927 (500 nM, overnight; +), using Puma (D30C10) Rabbit mAb (upper) or β-Actin (D6A8) Rabbit mAb #8457 (lower).
undefined Image 3: Pro-Apoptosis Bcl-2 Family Antibody Sampler Kit II
Orders: 877-616-CELL (2355) [email protected] Support: 877-678-TECH (8324) [email protected] Web: cellsignal.com
For Research Use Only. Not for Use in Diagnostic Procedures.

Revision 1

Cell Signaling Technology Logo
Western blot analysis of extracts from KARPAS-299, RL, and L-540 cells lines using Noxa (D8L7U) Rabbit mAb. Cell Line Source: Dr. Abraham Karpas at the University of Cambridge.
undefined Image 4: Pro-Apoptosis Bcl-2 Family Antibody Sampler Kit II
Western blot analysis of extracts from various cell lines using BID Antibody #2002 (upper) or B-Tubulin (9F3) Rabbit mAb #2128 (lower).
undefined Image 5: Pro-Apoptosis Bcl-2 Family Antibody Sampler Kit II
Western blot analysis of extracts from Raji, A20 and RL cells using Bim (C34C5) Rabbit mAb.
undefined Image 6: Pro-Apoptosis Bcl-2 Family Antibody Sampler Kit II
Orders: 877-616-CELL (2355) [email protected] Support: 877-678-TECH (8324) [email protected] Web: cellsignal.com
For Research Use Only. Not for Use in Diagnostic Procedures.

Revision 1

Cell Signaling Technology Logo
Flow cytometric analysis of fixed/permeabilized JeKo-1 cells (blue, negative) and Raji cells (green, positive) using Bim (C34C5) Rabbit mAb (solid lines) or concentration-matched Rabbit (DA1E) mAb IgG XP® Isotype Control #3900 (dashed lines). Anti-rabbit IgG F(ab')2 Fragment (Alexa Fluor® 488 Conjugate) #4412 was used as a secondary antibody.
undefined Image 7: Pro-Apoptosis Bcl-2 Family Antibody Sampler Kit II
Western blot analysis of extracts from Raji and Ramos cell lines using Bik Antibody.
undefined Image 8: Pro-Apoptosis Bcl-2 Family Antibody Sampler Kit II
Western blot analysis of extracts from control HeLa cells (lane 1) or Bax knockout HeLa cells (lane 2) using Bax (D2E11) Rabbit mAb #5023 (upper), or β-actin (13E5) Rabbit mAb #4970 (lower). The absence of signal in the Bax-knockout HeLa cells confirms specificity of the antibody for Bax.
undefined Image 9: Pro-Apoptosis Bcl-2 Family Antibody Sampler Kit II
Orders: 877-616-CELL (2355) [email protected] Support: 877-678-TECH (8324) [email protected] Web: cellsignal.com
For Research Use Only. Not for Use in Diagnostic Procedures.

Revision 1

Cell Signaling Technology Logo
After the primary antibody is bound to the target protein, a complex with HRP-linked secondary antibody is formed. The LumiGLO® is added and emits light during enzyme catalyzed decomposition.
undefined Image 10: Pro-Apoptosis Bcl-2 Family Antibody Sampler Kit II
Western blot analysis of extracts from various cell lines using Bok (D7V2N) Rabbit mAb.
undefined Image 11: Pro-Apoptosis Bcl-2 Family Antibody Sampler Kit II
Western blot analysis of extracts from various cell lines using Bad (D24A9) Rabbit mAb.
undefined Image 12: Pro-Apoptosis Bcl-2 Family Antibody Sampler Kit II
Orders: 877-616-CELL (2355) [email protected] Support: 877-678-TECH (8324) [email protected] Web: cellsignal.com
For Research Use Only. Not for Use in Diagnostic Procedures.

Revision 1

Cell Signaling Technology Logo
Immunohistochemical analysis of paraffin-embedded human breast carcinoma using Bak (D4E4) Rabbit mAb.
undefined Image 13: Pro-Apoptosis Bcl-2 Family Antibody Sampler Kit II
Western blot analysis of extracts from various cell lines using Puma (D30C10) Rabbit mAb.
undefined Image 14: Pro-Apoptosis Bcl-2 Family Antibody Sampler Kit II
Western blot analysis of extracts from serum starved Jurkat cells, untreated (-) or treated with TPA #4174 (10 ng/ml, 3 hr; +), using Noxa (D8L7U) Rabbit mAb (upper) and β-Actin (D6A8) Rabbit mAb #8457 (lower).
undefined Image 15: Pro-Apoptosis Bcl-2 Family Antibody Sampler Kit II
Orders: 877-616-CELL (2355) [email protected] Support: 877-678-TECH (8324) [email protected] Web: cellsignal.com
For Research Use Only. Not for Use in Diagnostic Procedures.

Revision 1

Cell Signaling Technology Logo
Western blot analysis of extracts from Jurkat cells, untreated or etoposide-treated (25 µM), and RS4;11 cells, untreated or okadaic acid-treated (1 µM), using BID Antibody.
undefined Image 16: Pro-Apoptosis Bcl-2 Family Antibody Sampler Kit II
Western blot analysis of extracts from HeLa cells, transfected with 100 nM SignalSilence® Control siRNA (Fluorescein Conjugate) #6201 (-) or SignalSilence® Bim siRNA I #6461 or SignalSilence® Bim siRNA II (+), using Bim (C34C5) Rabbit mAb #2933 and α-Tubulin (11H10) Rabbit mAb #2125. Bim (C34C5) Rabbit mAb confirms silencing of Bim expression and α-Tubulin (11H10) Rabbit mAb is used to control for loading and specificity of Bim siRNA.
undefined Image 17: Pro-Apoptosis Bcl-2 Family Antibody Sampler Kit II
Western blot analysis of extracts from various cell lines using Bax (D2E11) Rabbit mAb. Brimmel et al. demonstated that Jurkat cells lack Bax protein expression (10).
undefined Image 18: Pro-Apoptosis Bcl-2 Family Antibody Sampler Kit II
Orders: 877-616-CELL (2355) [email protected] Support: 877-678-TECH (8324) [email protected] Web: cellsignal.com
For Research Use Only. Not for Use in Diagnostic Procedures.

Revision 1

Cell Signaling Technology Logo
Western blot analysis of extracts from 293T cells, mock transfected (-) or transfected with a construct expressing Myc/DDK-tagged full-length human Bok (hBok-Myc/DDK; +) using Bok (D7V2N) Rabbit mAb (upper) or Myc-Tag (71D10) Rabbit mAb #2278 (lower).
undefined Image 19: Pro-Apoptosis Bcl-2 Family Antibody Sampler Kit II
Immunohistochemical analysis of paraffin-embedded human colon carcinoma using Bak (D4E4) Rabbit mAb.
undefined Image 20: Pro-Apoptosis Bcl-2 Family Antibody Sampler Kit II
Immunoprecipitation of Puma from RL cell extracts using Rabbit (DA1E) mAb IgG XP® Isotype Control #3900 (lane 2) or Puma (D30C10) Rabbit mAb (lane 3). Lane 1 is 10% input. Western blot analysis was performed using Puma (D30C10) Rabbit mAb.
undefined Image 21: Pro-Apoptosis Bcl-2 Family Antibody Sampler Kit II
Orders: 877-616-CELL (2355) [email protected] Support: 877-678-TECH (8324) [email protected] Web: cellsignal.com
For Research Use Only. Not for Use in Diagnostic Procedures.

Revision 1

Cell Signaling Technology Logo
Western blot analysis of extracts from 293T cells, mock transfected (-) or transfected with a construct expressing full-length human Noxa protein (hNoxa; +), using Noxa (D8L7U) Rabbit mAb.
undefined Image 22: Pro-Apoptosis Bcl-2 Family Antibody Sampler Kit II
Immunohistochemical analysis of paraffin-embedded human colon adenocarcinoma using Bim (C34C5) Rabbit mAb performed on the Leica® BOND™ Rx.
undefined Image 23: Pro-Apoptosis Bcl-2 Family Antibody Sampler Kit II
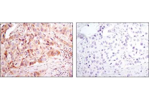
Immunohistochemical analysis of paraffin-embedded human breast caricnoma using Bax (D2E11) Rabbit mAb in the presence of control peptide (upper) or antigen-specific peptide (lower).
undefined Image 24: Pro-Apoptosis Bcl-2 Family Antibody Sampler Kit II
Orders: 877-616-CELL (2355) [email protected] Support: 877-678-TECH (8324) [email protected] Web: cellsignal.com
For Research Use Only. Not for Use in Diagnostic Procedures.

Revision 1

Cell Signaling Technology Logo
Immunohistochemical analysis of paraffin-embedded mouse prostate using Bak (D4E4) Rabbit mAb.
undefined Image 25: Pro-Apoptosis Bcl-2 Family Antibody Sampler Kit II
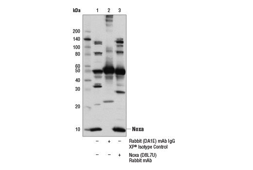
Immunoprecipitation of Noxa protein from KARPAS-299 cells using Rabbit (DA1E) mAb XP® Isotype Control #3900 (lane 2) or Noxa (D8L7U) Rabbit mAb (lane 3). Lane 1 is 10% input. Western blot was performed using Noxa (D8L7U) Rabbit mAb. Cell Line Source: Dr. Abraham Karpas at the University of Cambridge.
undefined Image 26: Pro-Apoptosis Bcl-2 Family Antibody Sampler Kit II
Immunohistochemical analysis of paraffin-embedded human non-small cell lung carcinoma using Bim (C34C5) Rabbit mAb performed on the Leica® BOND™ Rx.
undefined Image 27: Pro-Apoptosis Bcl-2 Family Antibody Sampler Kit II
Orders: 877-616-CELL (2355) [email protected] Support: 877-678-TECH (8324) [email protected] Web: cellsignal.com
For Research Use Only. Not for Use in Diagnostic Procedures.

Revision 1

Cell Signaling Technology Logo
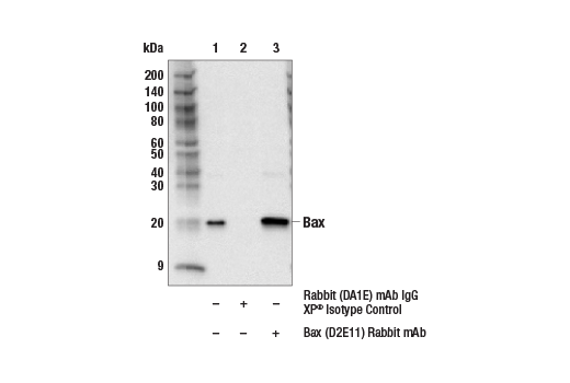
Immunoprecipitation of Bax from HepG2 cells. Lane 1 is 10% input, lane 2 is precipitated with Rabbit (DA1E) mAb IgG XP® Isotype Control #3900, and lane 3 is Bax (D2E11) Rabbit mAb, #5023. Western blot was performed using Bax (2D2) Mouse mAb to prevent heavy and light chain IgG masking.
undefined Image 28: Pro-Apoptosis Bcl-2 Family Antibody Sampler Kit II
Confocal immunofluorescent analysis of OVCAR8 cells using Bak (D4E4) Rabbit mAb (green; left) showing colocalization with mitochondria that were labeled with MitoTracker® Red CMXRos (red; center). Blue pseudocolor = DRAQ5® #4084 (fluorescent DNA dye).
undefined Image 29: Pro-Apoptosis Bcl-2 Family Antibody Sampler Kit II
Immunohistochemical analysis of paraffin-embedded human lung carcinoma using Bim (C34C5) Rabbit mAb.
undefined Image 30: Pro-Apoptosis Bcl-2 Family Antibody Sampler Kit II
Orders: 877-616-CELL (2355) [email protected] Support: 877-678-TECH (8324) [email protected] Web: cellsignal.com
For Research Use Only. Not for Use in Diagnostic Procedures.

Revision 1

Cell Signaling Technology Logo
Immunohistochemical analysis of paraffin-embedded human lymphoma using Bim (C34C5) Rabbit mAb.
undefined Image 31: Pro-Apoptosis Bcl-2 Family Antibody Sampler Kit II
Immunohistochemical analysis of paraffin-embedded human breast carcinoma using Bim (C34C5) Rabbit mAb in the presence of control peptide (left) or antigen specific peptide (right).
undefined Image 32: Pro-Apoptosis Bcl-2 Family Antibody Sampler Kit II
Immunohistochemical analysis of paraffin-embedded 4T1 syngeneic tumor using Bim (C34C5) Rabbit mAb.
undefined Image 33: Pro-Apoptosis Bcl-2 Family Antibody Sampler Kit II
Orders: 877-616-CELL (2355) [email protected] Support: 877-678-TECH (8324) [email protected] Web: cellsignal.com
For Research Use Only. Not for Use in Diagnostic Procedures.

Revision 1

Cell Signaling Technology Logo
Confocal immunofluorescent analysis of MCF-7 cells using Bim Antibody (green) showing colocalization with mitochondria that have been labeled with MitoTracker® Red CMXRos (red). Blue pseudocolor = DRAQ5® #4084 (fluorescent DNA dye).
undefined Image 34: Pro-Apoptosis Bcl-2 Family Antibody Sampler Kit II
Flow cytometric analysis of Raji cells using Bim (C34C5) Rabbit mAb (solid line) compared to concentration-matched Rabbit (DA1E) mAb IgG XP® Isotype Control #3900 (dashed line). Anti-rabbit IgG (H+L), F(ab')2 Fragment (Alexa Fluor® 488 Conjugate) #4412 was used as a secondary antibody.
undefined Image 35: Pro-Apoptosis Bcl-2 Family Antibody Sampler Kit II
Simple Western™ analysis of lysates (0.1 mg/mL) from Jurkat cells treated with cytochrome c (250 μM, 45 min) using BID Antibody #2002. The virtual lane view (left) shows two target bands (as indicated) at 1:10 and 1:50 dilutions of primary antibody. The corresponding electropherogram view (right) plots chemiluminescence by molecular weight along the capillary at 1:10 (blue line) and 1:50 (green line) dilutions of primary antibody. This experiment was performed under reducing conditions on the Jess™ Simple Western instrument from ProteinSimple, a BioTechne brand, using the 12-230 kDa separation module.
undefined Image 36: Pro-Apoptosis Bcl-2 Family Antibody Sampler Kit II
Orders: 877-616-CELL (2355) [email protected] Support: 877-678-TECH (8324) [email protected] Web: cellsignal.com
For Research Use Only. Not for Use in Diagnostic Procedures.

Revision 1

Cell Signaling Technology Logo
Immunoprecipitation of RL cell lysate using Bim (C34C5) Rabbit mAb (lane 1) or Rabbit (DA1E) mAb IgG XP® Isotype Control (lane 2). Western blot was performed using Bim (C34C5) Rabbit mAb. Protein A (HRP Conjugate) #12291 was used for secondary detection.
undefined Image 37: Pro-Apoptosis Bcl-2 Family Antibody Sampler Kit II
Simple Western™ analysis of lysates (1.0 mg/mL) from Raji cells using Bim (C34C5) Rabbit mAb #2933. The virtual lane view (left) shows three target bands (as indicated) at 1:50 and 1:250 dilutions of primary antibody. The corresponding electropherogram view (right) plots chemiluminescence by molecular weight along the capillary at 1:50 (blue line) and 1:250 (green line) dilutions of primary antibody. This experiment was performed under reducing conditions on the Jess™ Simple Western instrument from ProteinSimple, a BioTechne brand, using the 12-230 kDa separation module.
undefined Image 38: Pro-Apoptosis Bcl-2 Family Antibody Sampler Kit II
Simple Western™ analysis of lysates (1 mg/mL) from HepG2 cells using Bax (D2E11) Rabbit mAb #5023. The virtual lane view (left) shows the target band (as indicated) at 1:10 and 1:50 dilutions of primary antibody. The corresponding electropherogram view (right) plots chemiluminescence by molecular weight along the capillary at 1:10 (blue line) and 1:50 (green line) dilutions of primary antibody. This experiment was performed under reducing conditions on the Jess™ Simple Western instrument from ProteinSimple, a BioTechne brand, using the 12-230 kDa separation module.
undefined Image 39: Pro-Apoptosis Bcl-2 Family Antibody Sampler Kit II
Orders: 877-616-CELL (2355) [email protected] Support: 877-678-TECH (8324) [email protected] Web: cellsignal.com
For Research Use Only. Not for Use in Diagnostic Procedures.

Revision 1

Cell Signaling Technology Logo
Simple Western™ analysis of lysates (1 mg/mL) from OVCAR8 cells using Bad (D24A9) Rabbit mAb #9239. The virtual lane view (left) shows the target band (as indicated) at 1:10 and 1:50 dilutions of primary antibody. The corresponding electropherogram view (right) plots chemiluminescence by molecular weight along the capillary at 1:10 (blue line) and 1:50 (green line) dilutions of primary antibody. This experiment was performed under reducing conditions on the Jess™ Simple Western instrument from ProteinSimple, a BioTechne brand, using the 12-230 kDa separation module.
undefined Image 40: Pro-Apoptosis Bcl-2 Family Antibody Sampler Kit II
Orders: 877-616-CELL (2355) [email protected] Support: 877-678-TECH (8324) [email protected] Web: cellsignal.com
For Research Use Only. Not for Use in Diagnostic Procedures.