Revision 1

#9941

Store at -20C

CST Logo
Orders:

877-616-CELL (2355)

[email protected]

Support:

877-678-TECH (8324)

3 Trask Lane | Danvers | Massachusetts | 01923 | USA

For Research Use Only. Not for Use in Diagnostic Procedures.

Product Includes Product # Quantity Mol. Wt Isotype/Source
Phospho-Bcl-2 (Ser70) (5H2) Rabbit Monoclonal Antibody282720 µl28 kDaRabbit IgG
Phospho-Bcl-2 (Thr56) Antibody287520 µl28 kDaRabbit
Bcl-2 (D55G8) Rabbit Monoclonal Antibody422320 µl26 kDaRabbit IgG
Bcl-xL (54H6) Rabbit Monoclonal Antibody276420 µl30 kDaRabbit IgG
Mcl-1 (D35A5) Rabbit Monoclonal Antibody545320 µl40 (human), 35 (mouse) kDaRabbit IgG
Anti-rabbit IgG, HRP-linked Antibody7074100 µlGoat

Please visit cellsignal.com for individual component applications, species cross-reactivity, dilutions, protocols, and additional product information.

Description

The Pro-Survival Bcl-2 Family Antibody Sampler Kit provides an economical means to examine several members of the Bcl-2 family. The kit contains enough primary and secondary antibodies to perform two western blot experiments.

Storage

Supplied in 10 mM sodium HEPES (pH 7.5), 150 mM NaCl, 100 µg/ml BSA, 50% glycerol and less than 0.02% sodium azide. Store at –20°C. Do not aliquot the antibody.

Background

The Bcl-2 family consists of a number of evolutionarily conserved proteins containing Bcl-2 homology domains (BH) that regulate apoptosis through control of mitochondrial membrane permeability and release of cytochrome c (1-3). Four BH domains have been identified (BH1-4) that mediate protein interactions. The family can be separated into three groups based upon function and sequence homology: pro-survival members include Bcl-2, Bcl-xL, Mcl-1, A1 and Bcl-w; pro-apoptotic proteins include Bax, Bak and Bok; and "BH3 only" proteins Bad, Bik, Bid, Puma, Bim, Bmf, Noxa and Hrk. Interactions between death-promoting and death-suppressing Bcl-2 family members has led to a rheostat model in which the ratio of pro-apoptotic and anti-apoptotic proteins controls cell fate (4). Thus, pro-survival members exert their behavior by binding to and antagonizing death-promoting members. In general, the "BH3-only members" can bind to and antagonize the pro-survival proteins leading to increased apoptosis (5). While some redundancy of this system likely exists, tissue specificity, transcriptional and post-translational regulation of many of these family members can account for distinct physiological roles.
Several phosphorylation sites have been identified within Bcl-2 including Thr56, Ser70, Thr74 and Ser87 (6). These phosphorylation sites may be targets of the ASK1/MKK7/JNK1 pathway, and phosphorylation of Bcl-2 may be a marker for mitotic events (7,8). Mutation of Bcl-2 at Thr56 or Ser87 inhibits its anti-apoptotic activity during glucocorticoid-induced apoptosis of T lymphocytes (9). Interleukin 3 and JNK-induced Bcl-2 phosphorylation at Ser70 may be required for its enhanced antiapoptotic functions (10).

Trademarks and Patents

Cell Signaling Technology is a trademark of Cell Signaling Technology, Inc.

All other trademarks are the property of their respective owners. Visit cellsignal.com/trademarks for more information.

Limited Uses

Except as otherwise expressly agreed in a writing signed by a legally authorized representative of CST, the following terms apply to Products provided by CST, its affiliates or its distributors. Any Customer's terms and conditions that are in addition to, or different from, those contained herein, unless separately accepted in writing by a legally authorized representative of CST, are rejected and are of no force or effect.

Products are labeled with For Research Use Only or a similar labeling statement and have not been approved, cleared, or licensed by the FDA or other regulatory foreign or domestic entity, for any purpose. Customer shall not use any Product for any diagnostic or therapeutic purpose, or otherwise in any manner that conflicts with its labeling statement. Products sold or licensed by CST are provided for Customer as the end-user and solely for research and development uses. Any use of Product for diagnostic, prophylactic or therapeutic purposes, or any purchase of Product for resale (alone or as a component) or other commercial purpose, requires a separate license from CST. Customer shall (a) not sell, license, loan, donate or otherwise transfer or make available any Product to any third party, whether alone or in combination with other materials, or use the Products to manufacture any commercial products, (b) not copy, modify, reverse engineer, decompile, disassemble or otherwise attempt to discover the underlying structure or technology of the Products, or use the Products for the purpose of developing any products or services that would compete with CST products or services, (c) not alter or remove from the Products any trademarks, trade names, logos, patent or copyright notices or markings, (d) use the Products solely in accordance with CST Product Terms of Sale and any applicable documentation, and (e) comply with any license, terms of service or similar agreement with respect to any third party products or services used by Customer in connection with the Products.

Orders: 877-616-CELL (2355) [email protected] Support: 877-678-TECH (8324) [email protected] Web: cellsignal.com
For Research Use Only. Not for Use in Diagnostic Procedures.

Revision 1

Cell Signaling Technology Logo
Western blot analysis of extracts from Jurkat and HeLa (human), COS (monkey), NIH/3T3 and L929 (mouse), and PC12 and C6 (rat) cells, using Bcl-xL (54H6) Rabbit mAb.
undefined Image 1: Pro-Survival Bcl-2 Family Antibody Sampler Kit
Flow cytometric analysis of THP-1 cells (blue, moderate expression) and K-562 cells (green, high expression) using Bcl-xL (54H6) Rabbit mAb (solid lines) or a concentration-matched Rabbit (DA1E) mAb IgG XP® Isotype Control #3900 (dashed lines). Anti-rabbit IgG (H+L), F(ab')2 Fragment (Alexa Fluor® 488 Conjugate) #4412 was used as a secondary antibody.
undefined Image 2: Pro-Survival Bcl-2 Family Antibody Sampler Kit
Western blot analysis of extracts from Jurkat cells, untreated or treated with paclitaxel (1 μM, overnight) and with or without λ phosphatase, using Phospho-Bcl-2 (Ser70) (5H2) Rabbit mAb (upper) or Bcl-2 (lower).
undefined Image 3: Pro-Survival Bcl-2 Family Antibody Sampler Kit
Orders: 877-616-CELL (2355) [email protected] Support: 877-678-TECH (8324) [email protected] Web: cellsignal.com
For Research Use Only. Not for Use in Diagnostic Procedures.

Revision 1

Cell Signaling Technology Logo
Western blot analysis of Jurkat cells, untreated or treated with paclitaxel for the indicated times, using Phospho-Bcl-2 (Thr56) Antibody (top) or Bcl-2 Antibody (bottom).
undefined Image 4: Pro-Survival Bcl-2 Family Antibody Sampler Kit
Western blot analysis of control HeLa cells (lane 1) or Bcl-2 knockout HeLa cells (lane 2) using Bcl-2 (D55G8) Rabbit mAb #4223 (upper), or β-actin (13E5) Rabbit mAb #4970 (lower). The absence of signal in the Bcl-2 knockout HeLa cells confirms the specificity of the antibody for Bcl-2.
undefined Image 5: Pro-Survival Bcl-2 Family Antibody Sampler Kit
Western blot analysis of extracts from various cell lines using Mcl-1 (D35A5) Rabbit mAb.
undefined Image 6: Pro-Survival Bcl-2 Family Antibody Sampler Kit
Orders: 877-616-CELL (2355) [email protected] Support: 877-678-TECH (8324) [email protected] Web: cellsignal.com
For Research Use Only. Not for Use in Diagnostic Procedures.

Revision 1

Cell Signaling Technology Logo
After the primary antibody is bound to the target protein, a complex with HRP-linked secondary antibody is formed. The LumiGLO® is added and emits light during enzyme catalyzed decomposition.
undefined Image 7: Pro-Survival Bcl-2 Family Antibody Sampler Kit
Western blot analysis of extracts from HeLa cells, transfected with 100 nM SignalSilence® Control siRNA (Unconjugated) #6568 (-), SignalSilence® BcL-xL siRNA I (+) or SignalSilence® Bcl-xL siRNA II #6363 (+), using Bcl-xL (54H6) Rabbit mAb #2764 (upper) or α-Tubulin (11H10) Rabbit mAb #2125 (lower). The Bcl-xL (54H6) Rabbit mAb confirms silencing of Bcl-xL expression, while the α-Tubulin (11H10) Rabbit mAb is used as a loading control.
undefined Image 8: Pro-Survival Bcl-2 Family Antibody Sampler Kit
Western blot analysis of extracts from various cell lines using Bcl-2 (D55G8) Rabbit mAb.
undefined Image 9: Pro-Survival Bcl-2 Family Antibody Sampler Kit
Orders: 877-616-CELL (2355) [email protected] Support: 877-678-TECH (8324) [email protected] Web: cellsignal.com
For Research Use Only. Not for Use in Diagnostic Procedures.

Revision 1

Cell Signaling Technology Logo
Western blot analysis of extracts from 293T cells, mock transfected or transfected with human or mouse Mcl-1 constructs, using Mcl-1 (D35A5) Rabbit mAb.
undefined Image 10: Pro-Survival Bcl-2 Family Antibody Sampler Kit
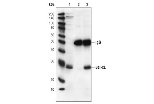
Immunoprecipitation of Bcl-xL from Jurkat cell extracts, using Bcl-xL (54H6) Rabbit mAb. Lane 1 is the lysate control, lane 2 is antibody alone and lane 3 is antibody plus lysate.
undefined Image 11: Pro-Survival Bcl-2 Family Antibody Sampler Kit
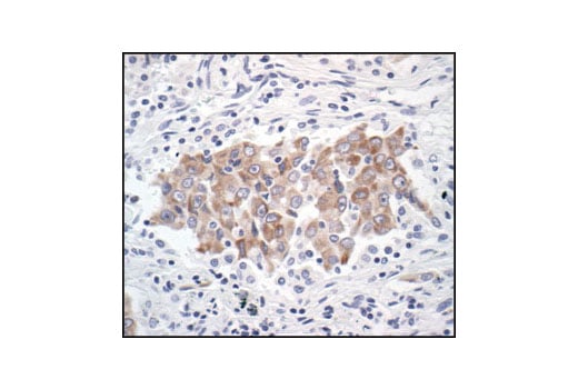
Immunohistochemical analysis of paraffin-embedded human lung carcinoma, using Bcl-xL (54H6) Rabbit mAb.
undefined Image 12: Pro-Survival Bcl-2 Family Antibody Sampler Kit
Orders: 877-616-CELL (2355) [email protected] Support: 877-678-TECH (8324) [email protected] Web: cellsignal.com
For Research Use Only. Not for Use in Diagnostic Procedures.

Revision 1

Cell Signaling Technology Logo
Flow cytometric analysis of Jurkat cells using Phospho-Bcl-2 (Ser70) (5H2) Rabbit mAb and Propidium Iodide (PI)/RNase Staining Solution #4087 to measure DNA content. Anti-rabbit IgG (H+L), F(ab')2 Fragment (Alexa Fluor® 488 Conjugate) #4412 was used as a secondary antibody.
undefined Image 13: Pro-Survival Bcl-2 Family Antibody Sampler Kit
Immunohistochemical analysis of paraffin-embedded human colon carcinoma, using Bcl-xL (54H6) Rabbit mAb in the presence of control peptide (left) or Bcl-xL Blocking Peptide #1225 (right).
undefined Image 14: Pro-Survival Bcl-2 Family Antibody Sampler Kit
Immunohistochemical analysis of paraffin-embedded human prostate carcinoma, showing cytoplasmic localization, using Bcl-xL (54H6) Rabbit mAb.
undefined Image 15: Pro-Survival Bcl-2 Family Antibody Sampler Kit
Orders: 877-616-CELL (2355) [email protected] Support: 877-678-TECH (8324) [email protected] Web: cellsignal.com
For Research Use Only. Not for Use in Diagnostic Procedures.

Revision 1

Cell Signaling Technology Logo
Confocal immunofluorescent analysis of HeLa cells using Bcl-xL (54H6) Rabbit mAb (green). Blue pseudocolor = DRAQ5® #4084 (fluorescent DNA dye).
undefined Image 16: Pro-Survival Bcl-2 Family Antibody Sampler Kit
Orders: 877-616-CELL (2355) [email protected] Support: 877-678-TECH (8324) [email protected] Web: cellsignal.com
For Research Use Only. Not for Use in Diagnostic Procedures.

Revision 1

Cell Signaling Technology Logo
Flow cytometric analysis of THP-1 cells (blue, moderate expression) and K-562 cells (green, high expression) using Bcl-xL (54H6) Rabbit mAb (solid lines) or concentration-matched Rabbit (DA1E) mAb IgG XP® Isotype Control #3900 (dashed lines). Anti-rabbit IgG (H+L), F(ab')2 Fragment (Alexa Fluor® 488 Conjugate) #4412 was used as a secondary antibody.
undefined Image 17: Pro-Survival Bcl-2 Family Antibody Sampler Kit
Orders: 877-616-CELL (2355) [email protected] Support: 877-678-TECH (8324) [email protected] Web: cellsignal.com
For Research Use Only. Not for Use in Diagnostic Procedures.

Revision 1

Cell Signaling Technology Logo
Simple Western™ analysis of lysates (1.0 mg/mL) from HeLa cells using Bcl-xL (54H6) Rabbit mAb #2764. The virtual lane view (left) shows a single target band (as indicated) at 1:10 and 1:50 dilutions of primary antibody. The corresponding electropherogram view (right) plots chemiluminescence by molecular weight along the capillary at 1:10 (blue line) and 1:50 (green line) dilutions of primary antibody. This experiment was performed under reducing conditions on the Jess™ Simple Western instrument from ProteinSimple, a BioTechne brand, using the 12-230 kDa separation module.
undefined Image 18: Pro-Survival Bcl-2 Family Antibody Sampler Kit
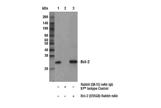
Immunoprecipitation of Bcl-2 from ACHN extracts. Lane 1 is 10% input, lane 2 is Rabbit (DA1E) mAb IgG XP® Isotype Control #3900, and lane 3 is Bcl-2 (D55G8) Rabbit mAb. Western blot analysis was performed using Bcl-2 (124) Mouse mAb #15071. Anti-mouse IgG, HRP-linked Antibody #7076 was used as a secondary antibody.
undefined Image 19: Pro-Survival Bcl-2 Family Antibody Sampler Kit
Simple Western™ analysis of lysates (0.1 mg/mL) from Raji cells using Mcl-1 (D35A5) Rabbit mAb #5453. The virtual lane view (left) shows a single target band (as indicated) at 1:10 and 1:50 dilutions of primary antibody. The corresponding electropherogram view (right) plots chemiluminescence by molecular weight along the capillary at 1:10 (blue line) and 1:50 (green line) dilutions of primary antibody. This experiment was performed under reducing conditions on the Jess™ Simple Western instrument from ProteinSimple, a BioTechne brand, using the 12-230 kDa separation module.
undefined Image 20: Pro-Survival Bcl-2 Family Antibody Sampler Kit
Orders: 877-616-CELL (2355) [email protected] Support: 877-678-TECH (8324) [email protected] Web: cellsignal.com
For Research Use Only. Not for Use in Diagnostic Procedures.