Revision 8

#8757

Store at -20C

CST Logo
Orders:

877-616-CELL (2355)

[email protected]

Support:

877-678-TECH (8324)

3 Trask Lane | Danvers | Massachusetts | 01923 | USA

For Research Use Only. Not for Use in Diagnostic Procedures.

Applications:
W, IP, IHC-P, IF-IC, FC-FP, ChIP, ChIP-seq, C&R

Reactivity:
H

Sensitivity:
Endogenous

MW (kDa):
90 (PR-A), 118 (PR-B)

Source/Isotype:
Rabbit IgG

UniProt ID:
#P06401

Entrez-Gene Id:
5241

Product Usage Information

For optimal ChIP and ChIP-seq results, use 5 μl of antibody and 10 μg of chromatin (approximately 4 x 106 cells) per IP. This antibody has been validated using SimpleChIP® Enzymatic Chromatin IP Kits.

The CUT&RUN dilution was determined using CUT&RUN Assay Kit #86652.
Application Dilution
Western Blotting 1:1000
Immunoprecipitation 1:50
Immunohistochemistry (Paraffin) 1:500 - 1:2000
Immunofluorescence (Immunocytochemistry) 1:800 - 1:1600
Flow Cytometry (Fixed/Permeabilized) 1:400 - 1:1600
Chromatin IP 1:100
Chromatin IP-seq 1:100
CUT&RUN 1:100

Storage

Supplied in 10 mM sodium HEPES (pH 7.5), 150 mM NaCl, 100 µg/ml BSA, 50% glycerol and less than 0.02% sodium azide. Store at –20°C. Do not aliquot the antibody.

For a carrier free (BSA and azide free) version of this product see product #18444.

Specificity/Sensitivity

Progesterone Receptor A/B (D8Q2J) Rabbit Monoclonal Antibody recognizes endogenous levels of total progesterone receptor A and B proteins. This antibody does not cross-react with either the glucocorticoid receptor or the mineralocorticoid receptor.

Species predicted to react based on 100% sequence homology

Monkey

Source / Purification

Monoclonal antibody is produced by immunizing animals with a synthetic peptide corresponding to residues surrounding Tyr541 of human progesterone receptor protein.

Background

Human progesterone receptor (PR) is expressed as two forms: the full length PR-B and the short form PR-A. PR-A lacks the first 164 amino acid residues of PR-B (1,2). Both PR-A and PR-B are ligand activated, but differ in their relative ability to activate target gene transcription (3,4). The activity of PR is regulated by phosphorylation; at least seven serine residues are phosphorylated in its amino-terminal domain. Three sites (Ser81, Ser102, and Ser162) are unique to full length PR-B, while other sites (Ser190, Ser294, Ser345, and Ser400) are shared by both isoforms (5). Phosphorylation of PR-B at Ser190 (equivalent to Ser26 of PR-A) is catalyzed by CDK2 (6). Mutation of Ser190 results in decreased activity of PR (7), suggesting that the phosphorylation at Ser190 may be critical to its biological function.

Species Reactivity

Species reactivity is determined by testing in at least one approved application (e.g., western blot).

Western Blot Buffer

IMPORTANT: For western blots, incubate membrane with diluted primary antibody in 5% w/v nonfat dry milk, 1X TBS, 0.1% Tween® 20 at 4°C with gentle shaking, overnight.

Applications Key

W: Western Blotting IP: Immunoprecipitation IHC-P: Immunohistochemistry (Paraffin) IF-IC: Immunofluorescence (Immunocytochemistry) FC-FP: Flow Cytometry (Fixed/Permeabilized) ChIP: Chromatin IP ChIP-seq: Chromatin IP-seq C&R: CUT&RUN

Cross-Reactivity Key

H: Human

Trademarks and Patents

Cell Signaling Technology is a trademark of Cell Signaling Technology, Inc.

All other trademarks are the property of their respective owners. Visit cellsignal.com/trademarks for more information.

Limited Uses

Except as otherwise expressly agreed in a writing signed by a legally authorized representative of CST, the following terms apply to Products provided by CST, its affiliates or its distributors. Any Customer's terms and conditions that are in addition to, or different from, those contained herein, unless separately accepted in writing by a legally authorized representative of CST, are rejected and are of no force or effect.

Products are labeled with For Research Use Only or a similar labeling statement and have not been approved, cleared, or licensed by the FDA or other regulatory foreign or domestic entity, for any purpose. Customer shall not use any Product for any diagnostic or therapeutic purpose, or otherwise in any manner that conflicts with its labeling statement. Products sold or licensed by CST are provided for Customer as the end-user and solely for research and development uses. Any use of Product for diagnostic, prophylactic or therapeutic purposes, or any purchase of Product for resale (alone or as a component) or other commercial purpose, requires a separate license from CST. Customer shall (a) not sell, license, loan, donate or otherwise transfer or make available any Product to any third party, whether alone or in combination with other materials, or use the Products to manufacture any commercial products, (b) not copy, modify, reverse engineer, decompile, disassemble or otherwise attempt to discover the underlying structure or technology of the Products, or use the Products for the purpose of developing any products or services that would compete with CST products or services, (c) not alter or remove from the Products any trademarks, trade names, logos, patent or copyright notices or markings, (d) use the Products solely in accordance with CST Product Terms of Sale and any applicable documentation, and (e) comply with any license, terms of service or similar agreement with respect to any third party products or services used by Customer in connection with the Products.

Orders: 877-616-CELL (2355) [email protected] Support: 877-678-TECH (8324) [email protected] Web: cellsignal.com
For Research Use Only. Not for Use in Diagnostic Procedures.

Revision 8

Cell Signaling Technology Logo
Western blot analysis of extracts from T-47D (PR positive) and MDA-MB-231 (PR negative) cells using Progesterone Receptor A/B (D8Q2J) XP® Rabbit mAb (upper) or GAPDH (D16H11) XP® Rabbit mAb #5174 (lower).
Western Blotting Image 1: Progesterone Receptor A/B (D8Q2J) Rabbit Monoclonal Antibody
Western blot analysis of extracts from T-47D cells, grown for 48 hr in phenol red-free medium supplemented with 5% charcoal-stripped FBS and then treated with either a vehicle control (-) or promegestone (R5020, 100 nM, 16 hr; +), using Progesterone Receptor A/B (D8Q2J) XP® Rabbit mAb (upper) or GAPDH (D16H11) XP® Rabbit mAb #5174 (lower). Prolonged treatment of PR-expressing cells with R5020 is known to induce PR downregulation and hyperphosphorylation, which is reflected by slower migration on SDS-PAGE.
Western Blotting Image 2: Progesterone Receptor A/B (D8Q2J) Rabbit Monoclonal Antibody
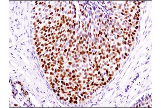
Immunohistochemical analysis of paraffin-embedded human infiltrating ductal breast carcinoma using Progesterone Receptor A/B (D8Q2J) XP® Rabbit mAb.
Immunohistochemistry Image 1: Progesterone Receptor A/B (D8Q2J) Rabbit Monoclonal Antibody
Orders: 877-616-CELL (2355) [email protected] Support: 877-678-TECH (8324) [email protected] Web: cellsignal.com
For Research Use Only. Not for Use in Diagnostic Procedures.

Revision 8

Cell Signaling Technology Logo
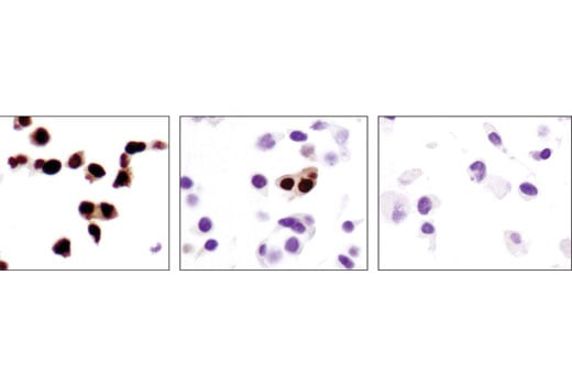
Immunohistochemical analysis of paraffin-embedded cell pellets, T-47D (high PR, left), MCF-7 (low PR, middle) and MDA-MB-231 (PR negative, right), using Progesterone Receptor A/B (D8Q2J) XP® Rabbit mAb.
Immunohistochemistry Image 2: Progesterone Receptor A/B (D8Q2J) Rabbit Monoclonal Antibody
Confocal immunofluorescent analysis of T-47D (PR positive, left) and MDA-MB-231 (PR negative, right) cells using Progesterone Receptor A/B (D8Q2J) XP® Rabbit mAb (green). Actin filaments were labeled with DY-554 phalloidin (red).
Immunofluorescence Image 1: Progesterone Receptor A/B (D8Q2J) Rabbit Monoclonal Antibody
Flow cytometric analysis of MDA-MB-231 cells (blue, negative) and T47D cells (green, positive) using Progesterone Receptor A/B (D8Q2J) XP® Rabbit mAb (solid lines) or concentration-matched Rabbit (DA1E) mAb IgG XP® Isotype Control #3900 (dashed lines). Anti-rabbit IgG (H+L), F(ab')2 Fragment (Alexa Fluor® 488 Conjugate) #4412 was used as a secondary antibody.
Flow Cytometry Image 1: Progesterone Receptor A/B (D8Q2J) Rabbit Monoclonal Antibody
Orders: 877-616-CELL (2355) [email protected] Support: 877-678-TECH (8324) [email protected] Web: cellsignal.com
For Research Use Only. Not for Use in Diagnostic Procedures.

Revision 8

Cell Signaling Technology Logo
Chromatin immunoprecipitations were performed with cross-linked chromatin from T-47D cells cultured in phenol red-free media supplemented with 5% charcoal-stripped FBS for 48 hr and then treated with promegestone (R5020, 10 nM, 1 hr) and Progesterone Receptor A/B (D8Q2J) XP® Rabbit mAb, using SimpleChIP® Plus Enzymatic Chromatin IP Kit (Magnetic Beads) #9005. DNA Library Prep Kit for Illumina® (ChIP-seq, CUT&RUN) #56795. The figure shows binding across FKBP5/FKBP51, a known target gene of Progesterone Receptor A/B (see additional figure containing ChIP-qPCR data). For additional ChIP-seq tracks, please download the product datasheet.
Chromatin Immunoprecipitation Image 1: Progesterone Receptor A/B (D8Q2J) Rabbit Monoclonal Antibody
Chromatin immunoprecipitations were performed with cross-linked chromatin from T-47D cells cultured in phenol red-free media supplemented with 5% charcoal-stripped FBS for 48 hr and then promegestone-treated (R5020, 10 nM, 1 hr) and Progesterone Receptor A/B (D8Q2J) XP® Rabbit mAb, using SimpleChIP® Plus Enzymatic Chromatin IP Kit (Magnetic Beads) #9005. DNA Library Prep Kit for Illumina® (ChIP-seq, CUT&RUN) #56795. The figure shows binding across chromosome 6 (upper), including FKBP5/ FKBP51 (lower), a known target gene of Progesterone Receptor A/B (see additional figure containing ChIP-qPCR data).
Chromatin Immunoprecipitation Image 2: Progesterone Receptor A/B (D8Q2J) Rabbit Monoclonal Antibody
T-47D cells were cultured in phenol red-free media supplemented with 5% charcoal-stripped FBS for 48 hr and then either untreated (left panel) or promegestone-treated (R5020, 10 nM, 1 hr; right panel). Chromatin immunoprecipitations were performed with cross-linked chromatin cells and Progesterone Receptor A/B (D8Q2J) XP® Rabbit mAb or Normal Rabbit IgG #2729 using SimpleChIP® Enzymatic Chromatin IP Kit (Magnetic Beads) #9003. The enriched DNA was quantified by real-time PCR using SimpleChIP® Human FKBP51 Intron 5 Primers #7859, human E2F-1 proximal enhancer site #1 primers, and SimpleChIP® Human α Satellite Repeat Primers #4486. The amount of immunoprecipitated DNA in each sample is represented as signal relative to the total amount of input chromatin, which is equivalent to one.
Chromatin Immunoprecipitation Image 3: Progesterone Receptor A/B (D8Q2J) Rabbit Monoclonal Antibody
Orders: 877-616-CELL (2355) [email protected] Support: 877-678-TECH (8324) [email protected] Web: cellsignal.com
For Research Use Only. Not for Use in Diagnostic Procedures.

Revision 8

Cell Signaling Technology Logo
CUT&RUN was performed with T-47D cells cultured in phenol red-free media supplemented with 5% charcoal-stripped FBS for 48 hr and then treated with promegestone (R5020, 10 nM, 1 hr) and Progesterone Receptor A/B (D8Q2J) XP® Rabbit mAb, using CUT&RUN Assay Kit #86652. DNA library was prepared using DNA Library Prep Kit for Illumina Systems (ChIP-seq, CUT&RUN) #56795. The figure shows binding across SETD9 gene.
CUT & RUN Image 1: Progesterone Receptor A/B (D8Q2J) Rabbit Monoclonal Antibody
CUT&RUN was performed with T-47D cells cultured in phenol red-free media supplemented with 5% charcoal-stripped FBS for 48 hr and then treated with promegestone (R5020, 10 nM, 1 hr) and Progesterone Receptor A/B (D8Q2J) XP® Rabbit mAb, using CUT&RUN Assay Kit #86652. DNA library was prepared using DNA Library Prep Kit for Illumina Systems (ChIP-seq, CUT&RUN) #56795. The figures show binding across chromosome 5 (upper), including SETD9 (lower).
CUT & RUN Image 2: Progesterone Receptor A/B (D8Q2J) Rabbit Monoclonal Antibody
CUT&RUN was performed with T-47D cells cultured in phenol red-free media supplemented with 5% charcoal-stripped FBS for 48 hr and then treated with promegestone (R5020, 10 nM, 1 hr) and either Progesterone Receptor A/B (D8Q2J) XP® Rabbit mAb or Rabbit (DA1E) mAb IgG XP® Isotype Control (CUT&RUN) #66362, using CUT&RUN Assay Kit #86652. The enriched DNA was quantified by real-time PCR using human TBL2 promoter primers and human OCM2 exon 1 primers. The amount of immunoprecipitated DNA in each sample is represented as signal relative to the total amount of input chromatin, which is equivalent to one.
CUT & RUN Image 3: Progesterone Receptor A/B (D8Q2J) Rabbit Monoclonal Antibody
Orders: 877-616-CELL (2355) [email protected] Support: 877-678-TECH (8324) [email protected] Web: cellsignal.com
For Research Use Only. Not for Use in Diagnostic Procedures.