Revision 4

#12861

Store at -20C

CST Logo
Orders:

877-616-CELL (2355)

[email protected]

Support:

877-678-TECH (8324)

3 Trask Lane | Danvers | Massachusetts | 01923 | USA

For Research Use Only. Not for Use in Diagnostic Procedures.

Applications:
W, IHC-P

Reactivity:
H

Sensitivity:
Endogenous

MW (kDa):
50

Source/Isotype:
Rabbit IgG

UniProt ID:
#P15309

Entrez-Gene Id:
55

Product Usage Information

Application Dilution
Western Blotting 1:1000
Immunohistochemistry (Paraffin) 1:600

Storage

Supplied in 10 mM sodium HEPES (pH 7.5), 150 mM NaCl, 100 µg/ml BSA, 50% glycerol and less than 0.02% sodium azide. Store at –20°C. Do not aliquot the antibody.

For a carrier free (BSA and azide free) version of this product see product #46134.

Specificity/Sensitivity

Prostatic Acid Phosphatase (D3Y5P) Rabbit Monoclonal Antibody recognizes endogenous levels of total ACPP protein. This antibody is predicted to detect both the cellular and secreted isoforms of ACPP.

Source / Purification

Monoclonal antibody is produced by immunizing animals with recombinant human full-length prostatic acid phosphatase.

Background

Prostatic Acid Phosphatase (ACPP or PAP) is a member of the histidine acid phosphatase family. It is a non-specific phosphatase that is capable of dephosphorylating tyrosine residues as well as phospholipids under mildly acidic conditions. ACPP has ecto-5'-nucleotidase activity in pain-sensing neurons where it converts AMP to adenosine, suppressing the pain response (1,2). ACPP occurs as two isoforms that are both heavily glycosylated. The secreted phosphatase (sPAP) is found predominantly in the prostate and seminal plasma, while the cellular isoform (cPAP) is broadly expressed at very low levels and is associated with the plasma and lysosomal membranes (3-5). Cellular PAP has been shown to dephosphorylate ErbB2 at various tyrosine residues effectively terminating signaling (6). Furthermore, the physical interaction between cPAP and ErbB2 appears to regulate androgen sensitivity in prostate cancer cells. Loss of cPAP in androgen-sensitive prostate cancer cells results in the development of a castration-resistant phenotype suggesting that ACPP plays a significant role in prostate cancer cell growth (7). ACPP is expressed in metastatic cells arising from prostate cancer - especially in prostate-derived bone metastasis - suggesting that it may be a relevant diagnostic indicator of prostate cancer re-emergence in bone (8).

Species Reactivity

Species reactivity is determined by testing in at least one approved application (e.g., western blot).

Western Blot Buffer

IMPORTANT: For western blots, incubate membrane with diluted primary antibody in 5% w/v BSA, 1X TBS, 0.1% Tween® 20 at 4°C with gentle shaking, overnight.

Applications Key

W: Western Blotting IHC-P: Immunohistochemistry (Paraffin)

Cross-Reactivity Key

H: Human

Trademarks and Patents

Cell Signaling Technology is a trademark of Cell Signaling Technology, Inc.

SignalStain is a registered trademark of Cell Signaling Technology, Inc.

All other trademarks are the property of their respective owners. Visit cellsignal.com/trademarks for more information.

Limited Uses

Except as otherwise expressly agreed in a writing signed by a legally authorized representative of CST, the following terms apply to Products provided by CST, its affiliates or its distributors. Any Customer's terms and conditions that are in addition to, or different from, those contained herein, unless separately accepted in writing by a legally authorized representative of CST, are rejected and are of no force or effect.

Products are labeled with For Research Use Only or a similar labeling statement and have not been approved, cleared, or licensed by the FDA or other regulatory foreign or domestic entity, for any purpose. Customer shall not use any Product for any diagnostic or therapeutic purpose, or otherwise in any manner that conflicts with its labeling statement. Products sold or licensed by CST are provided for Customer as the end-user and solely for research and development uses. Any use of Product for diagnostic, prophylactic or therapeutic purposes, or any purchase of Product for resale (alone or as a component) or other commercial purpose, requires a separate license from CST. Customer shall (a) not sell, license, loan, donate or otherwise transfer or make available any Product to any third party, whether alone or in combination with other materials, or use the Products to manufacture any commercial products, (b) not copy, modify, reverse engineer, decompile, disassemble or otherwise attempt to discover the underlying structure or technology of the Products, or use the Products for the purpose of developing any products or services that would compete with CST products or services, (c) not alter or remove from the Products any trademarks, trade names, logos, patent or copyright notices or markings, (d) use the Products solely in accordance with CST Product Terms of Sale and any applicable documentation, and (e) comply with any license, terms of service or similar agreement with respect to any third party products or services used by Customer in connection with the Products.

Orders: 877-616-CELL (2355) [email protected] Support: 877-678-TECH (8324) [email protected] Web: cellsignal.com
For Research Use Only. Not for Use in Diagnostic Procedures.

Revision 4

Cell Signaling Technology Logo
Western blot analysis of extracts from human prostate, testis, liver, and spinal cord using Prostatic Acid Phosphatase (D3Y5P) Rabbit mAb (upper) and GAPDH (D16H11) XP® Rabbit mAb #5174 (lower) demonstrating prostate-specific expression of ACPP.
Western Blotting Image 1: Prostatic Acid Phosphatase (D3Y5P) Rabbit Monoclonal Antibody
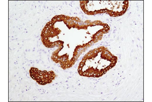
Immunohistochemical analysis of human prostate carcinoma using Prostatic Acid Phosphatase (D3Y5P) Rabbit mAb.
Immunohistochemistry Image 1: Prostatic Acid Phosphatase (D3Y5P) Rabbit Monoclonal Antibody
Orders: 877-616-CELL (2355) [email protected] Support: 877-678-TECH (8324) [email protected] Web: cellsignal.com
For Research Use Only. Not for Use in Diagnostic Procedures.