Revision 1

#13378

Store at -20C

CST Logo
Orders:

877-616-CELL (2355)

[email protected]

Support:

877-678-TECH (8324)

3 Trask Lane | Danvers | Massachusetts | 01923 | USA

For Research Use Only. Not for Use in Diagnostic Procedures.

Applications:
W, IP

Reactivity:
H Mk

Sensitivity:
Endogenous

MW (kDa):
30

Source/Isotype:
Rabbit

UniProt ID:
#O95456

Entrez-Gene Id:
8624

Product Usage Information

Application Dilution
Western Blotting 1:1000
Immunoprecipitation 1:200

Storage

Supplied in 10 mM sodium HEPES (pH 7.5), 150 mM NaCl, 100 µg/ml BSA and 50% glycerol. Store at –20°C. Do not aliquot the antibody.

Specificity/Sensitivity

PSMG1/PAC1 Antibody recognizes endogenous levels of total PSMG1 (PAC1) protein in human and monkey cells. This antibody weakly cross-reacts with murine and rat PSMG1 (PAC1) protein. This antibody does not cross-react with PSMG2 (PAC2) protein.

Source / Purification

Polyclonal antibodies are produced by immunizing animals with a synthetic peptide corresponding to residues near the amino terminus of human PSMG1 (PAC1) protein. Antibodies are purified by protein A and peptide affinity chromatography.

Background

The 26S proteasome is a highly abundant proteolytic complex involved in the degradation of ubiquitinated substrate proteins. It consists largely of two sub-complexes, the 20S catalytic core particle (CP) and the 19S/PA700 regulatory particle (RP) that can cap either end of the CP. The CP consists of two stacked heteroheptameric β-rings (β1-7) that contain three catalytic β-subunits and are flanked on either side by two heteroheptameric α-rings (α1-7). The RP includes a base and a lid, each having multiple subunits. The base, in part, is composed of a heterohexameric ring of ATPase subunits belonging to the AAA (ATPases Associated with diverse cellular Activities) family. The ATPase subunits function to unfold the substrate and open the gate formed by the α-subunits, thus exposing the unfolded substrate to the catalytic β-subunits. The lid consists of ubiquitin receptors and DUBs that function in recruitment of ubiquitinated substrates and modification of ubiquitin chain topology (1,2). Other modulators of proteasome activity, such as PA28/11S REG, can also bind to the end of the 20S CP and activate it (1,2).
Proteasome assembly chaperone 1 (PSMG1, PAC1) is an evolutionarily conserved, ubiquitously expressed chaperone protein that promotes proper biogenesis of the α-ring of the 20S CP of the eukaryotic proteasome (3,4). PSMG1 (PAC1) functions in a heterodimeric complex with PSMG2 (PAC2) and was originally identified as a proteasome subunit binding partner (4). Intact PSMG1-PSMG2 heterodimers both promote heteroheptameric α-ring assembly and/or stability and prevent accumulation of non-productive α-ring dimers (4). Research studies targeting the disruption of the murine Psmg1 locus have substantiated the importance of proteasome chaperones in contributing to normal proteasome maturation and cellular homeostasis by demonstrating that loss of Psmg1/Pac1 function leads to embryonic lethality (5).

Species Reactivity

Species reactivity is determined by testing in at least one approved application (e.g., western blot).

Western Blot Buffer

IMPORTANT: For western blots, incubate membrane with diluted primary antibody in 5% w/v nonfat dry milk, 1X TBS, 0.1% Tween® 20 at 4°C with gentle shaking, overnight.

Applications Key

W: Western Blotting IP: Immunoprecipitation

Cross-Reactivity Key

H: Human Mk: Monkey

Trademarks and Patents

Cell Signaling Technology is a trademark of Cell Signaling Technology, Inc.

All other trademarks are the property of their respective owners. Visit cellsignal.com/trademarks for more information.

Limited Uses

Except as otherwise expressly agreed in a writing signed by a legally authorized representative of CST, the following terms apply to Products provided by CST, its affiliates or its distributors. Any Customer's terms and conditions that are in addition to, or different from, those contained herein, unless separately accepted in writing by a legally authorized representative of CST, are rejected and are of no force or effect.

Products are labeled with For Research Use Only or a similar labeling statement and have not been approved, cleared, or licensed by the FDA or other regulatory foreign or domestic entity, for any purpose. Customer shall not use any Product for any diagnostic or therapeutic purpose, or otherwise in any manner that conflicts with its labeling statement. Products sold or licensed by CST are provided for Customer as the end-user and solely for research and development uses. Any use of Product for diagnostic, prophylactic or therapeutic purposes, or any purchase of Product for resale (alone or as a component) or other commercial purpose, requires a separate license from CST. Customer shall (a) not sell, license, loan, donate or otherwise transfer or make available any Product to any third party, whether alone or in combination with other materials, or use the Products to manufacture any commercial products, (b) not copy, modify, reverse engineer, decompile, disassemble or otherwise attempt to discover the underlying structure or technology of the Products, or use the Products for the purpose of developing any products or services that would compete with CST products or services, (c) not alter or remove from the Products any trademarks, trade names, logos, patent or copyright notices or markings, (d) use the Products solely in accordance with CST Product Terms of Sale and any applicable documentation, and (e) comply with any license, terms of service or similar agreement with respect to any third party products or services used by Customer in connection with the Products.

Orders: 877-616-CELL (2355) [email protected] Support: 877-678-TECH (8324) [email protected] Web: cellsignal.com
For Research Use Only. Not for Use in Diagnostic Procedures.

Revision 1

Cell Signaling Technology Logo
Western blot analysis of extracts from various cell lines using PSMG1/PAC1 Antibody.
Western Blotting Image 1: PSMG1/PAC1 Antibody
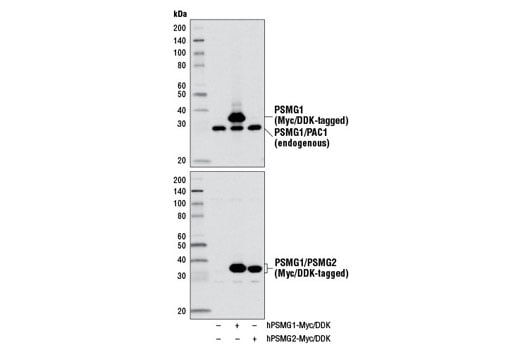
Western blot analysis of extracts from 293T cells, mock transfected (-) or transfected with constructs expressing Myc/DDK-tagged full-length human PSMG1 protein (hPSMG1-Myc/DDK; +) or Myc/DDK-tagged full-length human PSMG2 protein (hPSMG2-Myc/DDK; +), using PSMG1/PAC1 Antibody (upper) and DYKDDDDK Tag Antibody #2368 (lower).
Western Blotting Image 2: PSMG1/PAC1 Antibody
Immunoprecipitation of PSMG1 from 293T cell extracts using Normal Rabbit IgG #2729 (lane 2) or PSMG1/PAC1 Antibody (lane 3). Lane 1 is 10% input. Western blot analysis was performed using PSMG1/PAC1 Antibody.
Immunoprecipitation Image 1: PSMG1/PAC1 Antibody
Orders: 877-616-CELL (2355) [email protected] Support: 877-678-TECH (8324) [email protected] Web: cellsignal.com
For Research Use Only. Not for Use in Diagnostic Procedures.