Revision 1

#72669

Store at -20C

CST Logo
Orders:

877-616-CELL (2355)

[email protected]

Support:

877-678-TECH (8324)

3 Trask Lane | Danvers | Massachusetts | 01923 | USA

For Research Use Only. Not for Use in Diagnostic Procedures.

Applications:
W, IP, IHC-P

Reactivity:
H M R Mk

Sensitivity:
Endogenous

MW (kDa):
57, 59

Source/Isotype:
Rabbit IgG

UniProt ID:
#P26599-1

Entrez-Gene Id:
5725

Product Usage Information

Application Dilution
Western Blotting 1:1000
Immunoprecipitation 1:50
Immunohistochemistry (Paraffin) 1:1000

Storage

Supplied in 10 mM sodium HEPES (pH 7.5), 150 mM NaCl, 100 µg/ml BSA, 50% glycerol and less than 0.02% sodium azide. Store at –20°C. Do not aliquot the antibody.

Specificity/Sensitivity

PTBP1 (E5O2S) Rabbit Monoclonal Antibody recognizes endogenous levels of total PTBP1 protein. This antibody does not cross-react with PTBP2 protein.

Source / Purification

Monoclonal antibody is produced by immunizing animals with a synthetic peptide corresponding to residues surrounding Val10 of human PTBP1 protein.

Background

PTBP1 and PTBP2 are highly related pre-mRNA binding proteins that silence the splicing of alternative exons (1,2). While PTBP1 is widely expressed, PTBP2, also known as neural PTB or nPTB, is expressed in post-mitotic neurons. In other cell types, PTBP2 transcripts are alternatively spliced by PTBP1, which leads to nonsense-mediated decay (3). PTBP1 and 2 bind to similar regions across the transcriptome, but PTBP1 has a stronger repressive property likely due to cofactors such as Raver1 and Matrin3 (4-6). Overexpression of PTBPs in various cancers has been observed, leading to alternative splicing of key proteins in oncogenic pathways (6-9).

Species Reactivity

Species reactivity is determined by testing in at least one approved application (e.g., western blot).

Western Blot Buffer

IMPORTANT: For western blots, incubate membrane with diluted primary antibody in 5% w/v BSA, 1X TBS, 0.1% Tween® 20 at 4°C with gentle shaking, overnight.

Applications Key

W: Western Blotting IP: Immunoprecipitation IHC-P: Immunohistochemistry (Paraffin)

Cross-Reactivity Key

H: Human M: Mouse R: Rat Mk: Monkey

Trademarks and Patents

Cell Signaling Technology is a trademark of Cell Signaling Technology, Inc.

SignalStain is a registered trademark of Cell Signaling Technology, Inc.

All other trademarks are the property of their respective owners. Visit cellsignal.com/trademarks for more information.

Limited Uses

Except as otherwise expressly agreed in a writing signed by a legally authorized representative of CST, the following terms apply to Products provided by CST, its affiliates or its distributors. Any Customer's terms and conditions that are in addition to, or different from, those contained herein, unless separately accepted in writing by a legally authorized representative of CST, are rejected and are of no force or effect.

Products are labeled with For Research Use Only or a similar labeling statement and have not been approved, cleared, or licensed by the FDA or other regulatory foreign or domestic entity, for any purpose. Customer shall not use any Product for any diagnostic or therapeutic purpose, or otherwise in any manner that conflicts with its labeling statement. Products sold or licensed by CST are provided for Customer as the end-user and solely for research and development uses. Any use of Product for diagnostic, prophylactic or therapeutic purposes, or any purchase of Product for resale (alone or as a component) or other commercial purpose, requires a separate license from CST. Customer shall (a) not sell, license, loan, donate or otherwise transfer or make available any Product to any third party, whether alone or in combination with other materials, or use the Products to manufacture any commercial products, (b) not copy, modify, reverse engineer, decompile, disassemble or otherwise attempt to discover the underlying structure or technology of the Products, or use the Products for the purpose of developing any products or services that would compete with CST products or services, (c) not alter or remove from the Products any trademarks, trade names, logos, patent or copyright notices or markings, (d) use the Products solely in accordance with CST Product Terms of Sale and any applicable documentation, and (e) comply with any license, terms of service or similar agreement with respect to any third party products or services used by Customer in connection with the Products.

Orders: 877-616-CELL (2355) [email protected] Support: 877-678-TECH (8324) [email protected] Web: cellsignal.com
For Research Use Only. Not for Use in Diagnostic Procedures.

Revision 1

Cell Signaling Technology Logo
Western blot analysis of extracts from various cell lines using PTBP1 (E5O2S) Rabbit mAb.
Western Blotting Image 1: PTBP1 (E5O2S) Rabbit Monoclonal Antibody
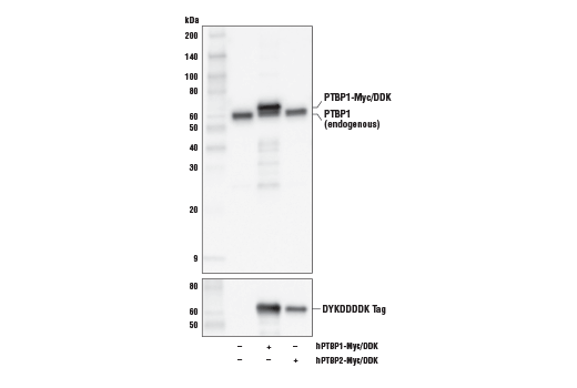
Western blot analysis of extracts from 293T cells, either mock transfected (-), transfected (+) with constructs expressing Myc/DDK-tagged full-length human PTBP1 (hPTBP1-Myc/DDK) or Myc/DDK-tagged full-length human PTBP2 (hPTBP2-Myc/DDK), using PTBP1 (E5O2S) Rabbit mAb (upper) or DYKDDDDK Tag (D6W5B) Rabbit mAb #14793 (lower).
Western Blotting Image 2: PTBP1 (E5O2S) Rabbit Monoclonal Antibody
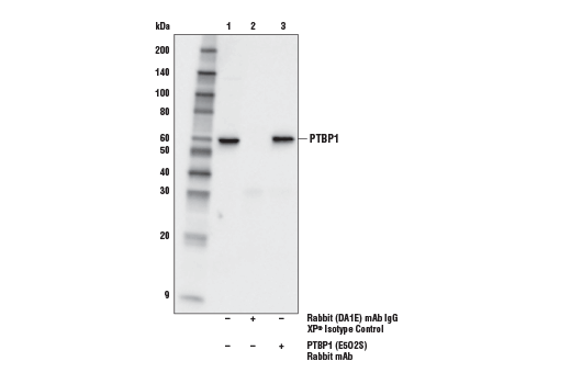
Immunoprecipitation of PTBP1 from HeLa cell extracts. Lane 1 is 10% input, lane 2 is Rabbit (DA1E) mAb IgG XP® Isotype Control #3900, and lane 3 is PTBP1 (E5O2S) Rabbit mAb. Western blot analysis was performed using PTBP1 (E5O2S) Rabbit mAb.
Immunoprecipitation Image 1: PTBP1 (E5O2S) Rabbit Monoclonal Antibody
Orders: 877-616-CELL (2355) [email protected] Support: 877-678-TECH (8324) [email protected] Web: cellsignal.com
For Research Use Only. Not for Use in Diagnostic Procedures.

Revision 1

Cell Signaling Technology Logo
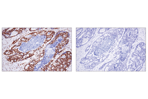
Immunohistochemical analysis of paraffin-embedded human colon carcinoma using PTBP1 (E5O2S) Rabbit mAb (left) compared to concentration matched Rabbit (DA1E) mAb IgG XP® Isotype Control #3900 (right).
Immunohistochemistry Image 1: PTBP1 (E5O2S) Rabbit Monoclonal Antibody
Immunohistochemical analysis of paraffin-embedded mouse endometrium (left, high-expressing) and skeletal muscle (right, low-expressing) using PTBP1 (E5O2S) Rabbit mAb.
Immunohistochemistry Image 2: PTBP1 (E5O2S) Rabbit Monoclonal Antibody
Immunohistochemical analysis of paraffin-embedded squamous cell lung carcinoma using PTBP1 (E5O2S) Rabbit mAb.
Immunohistochemistry Image 3: PTBP1 (E5O2S) Rabbit Monoclonal Antibody
Orders: 877-616-CELL (2355) [email protected] Support: 877-678-TECH (8324) [email protected] Web: cellsignal.com
For Research Use Only. Not for Use in Diagnostic Procedures.

Revision 1

Cell Signaling Technology Logo
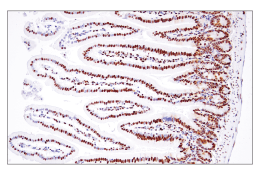
Immunohistochemical analysis of paraffin-embedded mouse small intestine using PTBP1 (E5O2S) Rabbit mAb.
Immunohistochemistry Image 4: PTBP1 (E5O2S) Rabbit Monoclonal Antibody
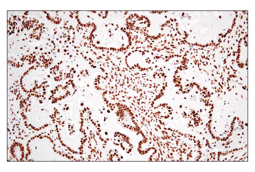
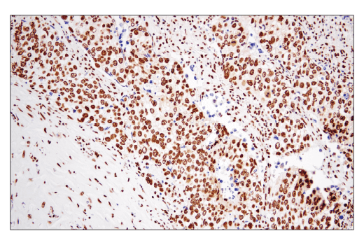
Immunohistochemical analysis of paraffin-embedded ovarian serous carcinoma using PTBP1 (E5O2S) Rabbit mAb.
Immunohistochemistry Image 5: PTBP1 (E5O2S) Rabbit Monoclonal Antibody
Orders: 877-616-CELL (2355) [email protected] Support: 877-678-TECH (8324) [email protected] Web: cellsignal.com
For Research Use Only. Not for Use in Diagnostic Procedures.