Revision 2

#98632

Store at -20C

CST Logo
Orders:

877-616-CELL (2355)

[email protected]

Support:

877-678-TECH (8324)

3 Trask Lane | Danvers | Massachusetts | 01923 | USA

For Research Use Only. Not for Use in Diagnostic Procedures.

Applications:
W, IHC-Bond, IHC-P

Reactivity:
H M R Mk

Sensitivity:
Endogenous

MW (kDa):
54

Source/Isotype:
Rabbit IgG

UniProt ID:
#P60484

Entrez-Gene Id:
5728

Product Usage Information

This product is the carrier-free version of product #9559. All data were generated using the same antibody clone in the standard formulation which contains BSA and glycerol.

This formulation is ideal for use with technologies requiring specialized or custom antibody labeling, including fluorophores, metals, lanthanides, and oligonucleotides. It is not recommended for ChIP, ChIP-seq, CUT&RUN, or CUT&Tag assays. If you require a carrier-free formulation for chromatin profiling, please contact us. Optimal dilutions/concentrations should be determined by the end user.

BSA and Azide Free antibodies are quality control tested by size exclusion chromatography (SEC) to determine antibody integrity.

Formulation

Supplied in 1X PBS (10 mM Na2HPO4, 3 mM KCl, 2 mM KH2PO4, and 140 mM NaCl (pH 7.8)). BSA and Azide Free.

For standard formulation of this product see product #9559.

Storage

Store at -20°C. This product will freeze at -20°C so it is recommended to aliquot into single-use vials to avoid multiple freeze/thaw cycles. A slight precipitate may be present and can be dissolved by gently vortexing. This will not interfere with antibody performance.

Specificity/Sensitivity

PTEN (138G6) Rabbit Monoclonal Antibody (BSA and Azide Free) detects endogenous levels of total PTEN protein.

Source / Purification

Monoclonal antibody is produced by immunizing animals with a synthetic peptide corresponding to the carboxy-terminal sequence of human PTEN.

Background

PTEN (phosphatase and tensin homologue deleted on chromosome ten), also referred to as MMAC (mutated in multiple advanced cancers) phosphatase, is a tumor suppressor implicated in a wide variety of human cancers (1). PTEN encodes a 403 amino acid polypeptide originally described as a dual-specificity protein phosphatase (2). The main substrates of PTEN are inositol phospholipids generated by the activation of the phosphoinositide 3-kinase (PI3K) (3). PTEN is a major negative regulator of the PI3K/Akt signaling pathway (1,4,5). PTEN possesses a carboxy-terminal, noncatalytic regulatory domain with three phosphorylation sites (Ser380, Thr382, and Thr383) that regulate PTEN stability and may affect its biological activity (6,7). PTEN regulates p53 protein levels and activity (8) and is involved in G protein-coupled signaling during chemotaxis (9,10).

Species Reactivity

Species reactivity is determined by testing in at least one approved application (e.g., western blot).

Applications Key

W: Western Blotting IHC-Bond: IHC Leica Bond IHC-P: Immunohistochemistry (Paraffin)

Cross-Reactivity Key

H: Human M: Mouse R: Rat Mk: Monkey

Trademarks and Patents

Cell Signaling Technology is a trademark of Cell Signaling Technology, Inc.

All other trademarks are the property of their respective owners. Visit cellsignal.com/trademarks for more information.

Limited Uses

Except as otherwise expressly agreed in a writing signed by a legally authorized representative of CST, the following terms apply to Products provided by CST, its affiliates or its distributors. Any Customer's terms and conditions that are in addition to, or different from, those contained herein, unless separately accepted in writing by a legally authorized representative of CST, are rejected and are of no force or effect.

Products are labeled with For Research Use Only or a similar labeling statement and have not been approved, cleared, or licensed by the FDA or other regulatory foreign or domestic entity, for any purpose. Customer shall not use any Product for any diagnostic or therapeutic purpose, or otherwise in any manner that conflicts with its labeling statement. Products sold or licensed by CST are provided for Customer as the end-user and solely for research and development uses. Any use of Product for diagnostic, prophylactic or therapeutic purposes, or any purchase of Product for resale (alone or as a component) or other commercial purpose, requires a separate license from CST. Customer shall (a) not sell, license, loan, donate or otherwise transfer or make available any Product to any third party, whether alone or in combination with other materials, or use the Products to manufacture any commercial products, (b) not copy, modify, reverse engineer, decompile, disassemble or otherwise attempt to discover the underlying structure or technology of the Products, or use the Products for the purpose of developing any products or services that would compete with CST products or services, (c) not alter or remove from the Products any trademarks, trade names, logos, patent or copyright notices or markings, (d) use the Products solely in accordance with CST Product Terms of Sale and any applicable documentation, and (e) comply with any license, terms of service or similar agreement with respect to any third party products or services used by Customer in connection with the Products.

Orders: 877-616-CELL (2355) [email protected] Support: 877-678-TECH (8324) [email protected] Web: cellsignal.com
For Research Use Only. Not for Use in Diagnostic Procedures.

Revision 2

Cell Signaling Technology Logo
Western blot analysis of extracts from HeLa cells, transfected with 100 nM SignalSilence® Control siRNA (Fluorescein Conjugate) #6201 (-) or SignalSilence® PTEN siRNA II (+), using PTEN (138G6) Rabbit mAb and β-Actin (13E5) Rabbit mAb #4970. PTEN (138G6) Rabbit mAb confirms silencing of PTEN expression, while the β-Actin (13E5) Rabbit mAb is used to control for loading and specificity of PTEN siRNA. Data were generated using the standard formulation of this product.
Western Blotting Image 1: PTEN (138G6) Rabbit Monoclonal Antibody (BSA and Azide Free)
Western blot analysis of extracts from HeLa cells, transfected with 100 nM SignalSilence® Control siRNA (Fluorescein Conjugate) #6201 (-) or SignalSilence® PTEN siRNA I (+), using PTEN Antibody #9552 and p42 MAPK (Erk2) Antibody #9108. PTEN Antibody confirms silencing of PTEN expression, while the p42 MAPK (Erk2) Antibody is used to control for loading and specificity of PTEN siRNA. Data were generated using the standard formulation of this product.
Western Blotting Image 2: PTEN (138G6) Rabbit Monoclonal Antibody (BSA and Azide Free)
Western blot analysis of extracts from various cell lines using PTEN (138G6) Rabbit mAb. Data were generated using the standard formulation of this product.
Western Blotting Image 3: PTEN (138G6) Rabbit Monoclonal Antibody (BSA and Azide Free)
Orders: 877-616-CELL (2355) [email protected] Support: 877-678-TECH (8324) [email protected] Web: cellsignal.com
For Research Use Only. Not for Use in Diagnostic Procedures.

Revision 2

Cell Signaling Technology Logo
Immunohistochemical analysis of paraffin-embedded human squamous cell lung carcinoma using PTEN (138G6) Rabbit mAb performed on the Leica BOND RX. Data were generated using the standard formulation of this product.
Immunohistochemistry Image 1: PTEN (138G6) Rabbit Monoclonal Antibody (BSA and Azide Free)
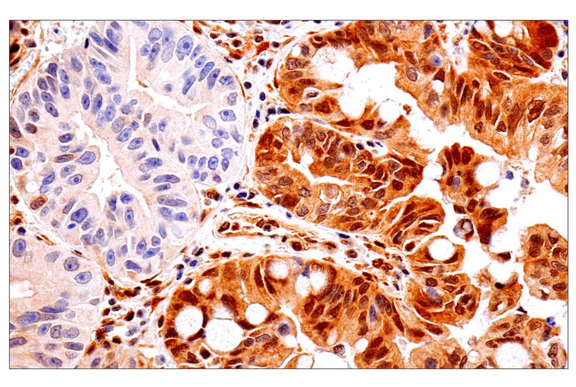
Immunohistochemical analysis of paraffin-embedded human esophageal adenocarcinoma using PTEN (138G6) Rabbit mAb performed on the Leica BOND RX. Data were generated using the standard formulation of this product.
Immunohistochemistry Image 2: PTEN (138G6) Rabbit Monoclonal Antibody (BSA and Azide Free)
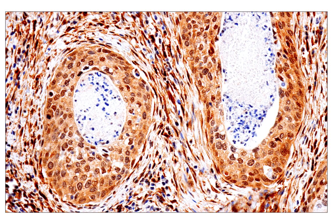
Immunohistochemical analysis of paraffin-embedded human squamous cell carcinoma of the cervix using PTEN (138G6) Rabbit mAb performed on the Leica BOND RX. Data were generated using the standard formulation of this product.
Immunohistochemistry Image 3: PTEN (138G6) Rabbit Monoclonal Antibody (BSA and Azide Free)
Orders: 877-616-CELL (2355) [email protected] Support: 877-678-TECH (8324) [email protected] Web: cellsignal.com
For Research Use Only. Not for Use in Diagnostic Procedures.

Revision 2

Cell Signaling Technology Logo
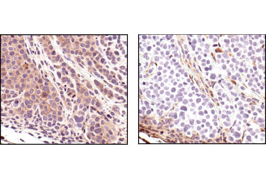
Immunohistochemical analysis of paraffin-embedded MDA-MB-468 xenograft using Phospho-Akt (Ser473) (D9E) Rabbit mAb #4060 (left) or PTEN (138G6) Rabbit mAb (right). Note the presence of P-Akt staining in the PTEN deficient MDA-MB-468 cells. Data were generated using the standard formulation of this product.
Immunohistochemistry Image 1: PTEN (138G6) Rabbit Monoclonal Antibody (BSA and Azide Free)
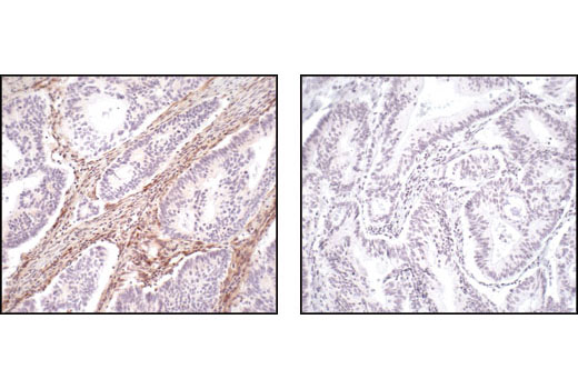
Immunohistochemical analysis of paraffin-embedded human colon carcinoma, using PTEN (138G6) Rabbit mAb in the presence of control peptide (left) or PTEN Blocking Peptide #1250 (right). Data were generated using the standard formulation of this product.
Immunohistochemistry Image 2: PTEN (138G6) Rabbit Monoclonal Antibody (BSA and Azide Free)
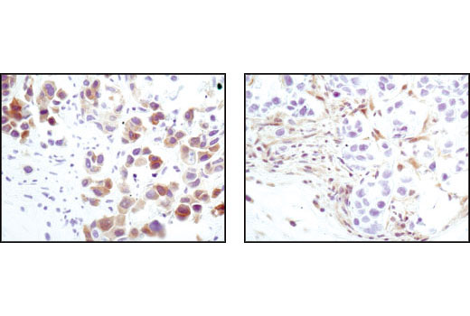
Immunohistochemical analysis of paraffin-embedded MDA-MB-468 xenograft, using Phospho-Akt (Ser473) (736E11) Rabbit mAb #3787 (left) or PTEN (138G6) Rabbit mAb (right). MDA-MB-468 cells lack PTEN. Note the lack of PTEN staining in the Phospho-Akt positive cells. Data were generated using the standard formulation of this product.
Immunohistochemistry Image 3: PTEN (138G6) Rabbit Monoclonal Antibody (BSA and Azide Free)
Orders: 877-616-CELL (2355) [email protected] Support: 877-678-TECH (8324) [email protected] Web: cellsignal.com
For Research Use Only. Not for Use in Diagnostic Procedures.

Revision 2

Cell Signaling Technology Logo
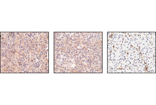
Immunohistochemical analysis of paraffin-embedded xenografts using PTEN (138G6) Rabbit mAb. DU 145 (left) and A549 (middle) are PTEN positive cell lines, while U-87 MG (right) is PTEN negative. Data were generated using the standard formulation of this product.
Immunohistochemistry Image 4: PTEN (138G6) Rabbit Monoclonal Antibody (BSA and Azide Free)
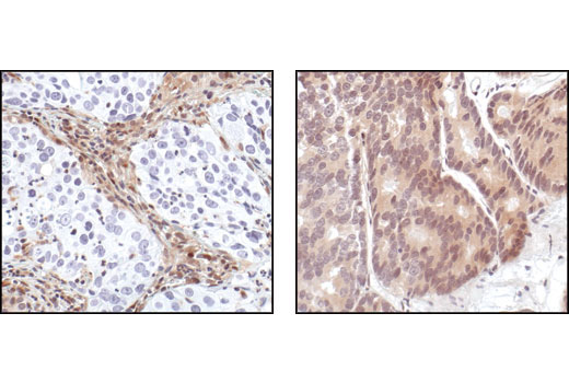
Immunohistochemical analysis of paraffin-embedded human lung carcinoma (left) and prostate carcinoma (right), using PTEN (138G6) Rabbit mAb. Note the stromal cell staining in the PTEN negative lung carcinoma, and the cancer cell staining in the PTEN positive prostate carcinoma. Data were generated using the standard formulation of this product.
Immunohistochemistry Image 5: PTEN (138G6) Rabbit Monoclonal Antibody (BSA and Azide Free)
Immunohistochemical analysis of paraffin-embedded cell pellets demonstrating the specificity of PTEN (138G6) Rabbit mAb: DU 145, HT-29, and MCF7 (PTEN positive) and Jurkat, MDA-MB-468, and LNCaP (PTEN negative). Data were generated using the standard formulation of this product.
Immunohistochemistry Image 6: PTEN (138G6) Rabbit Monoclonal Antibody (BSA and Azide Free)
Orders: 877-616-CELL (2355) [email protected] Support: 877-678-TECH (8324) [email protected] Web: cellsignal.com
For Research Use Only. Not for Use in Diagnostic Procedures.

Revision 2

Cell Signaling Technology Logo
Immunohistochemical analysis of paraffin-embedded human ovarian clear cell carcinoma using PTEN (138G6) Rabbit mAb. Data were generated using the standard formulation of this product.
Immunohistochemistry Image 7: PTEN (138G6) Rabbit Monoclonal Antibody (BSA and Azide Free)
Immunohistochemical analysis of paraffin-embedded human ovarian serous carcinoma using PTEN (138G6) Rabbit mAb. Data were generated using the standard formulation of this product.
Immunohistochemistry Image 8: PTEN (138G6) Rabbit Monoclonal Antibody (BSA and Azide Free)
Orders: 877-616-CELL (2355) [email protected] Support: 877-678-TECH (8324) [email protected] Web: cellsignal.com
For Research Use Only. Not for Use in Diagnostic Procedures.