Revision 3

#2266

Store at -20C

CST Logo
Orders:

877-616-CELL (2355)

[email protected]

Support:

877-678-TECH (8324)

3 Trask Lane | Danvers | Massachusetts | 01923 | USA

For Research Use Only. Not for Use in Diagnostic Procedures.

Applications:
W, IP, IHC-P, IF-IC, FC-FP, ChIP

Reactivity:
H

Sensitivity:
Endogenous

MW (kDa):
42

Source/Isotype:
Rabbit

UniProt ID:
#P17947

Entrez-Gene Id:
6688

Product Usage Information

For optimal ChIP results, use 20 μl of antibody and 10 μg of chromatin (approximately 4 x 106 cells) per IP. This antibody has been validated using SimpleChIP® Enzymatic Chromatin IP Kits.
Application Dilution
Western Blotting 1:1000
Immunoprecipitation 1:100
Immunohistochemistry (Paraffin) 1:400
Immunofluorescence (Immunocytochemistry) 1:100
Flow Cytometry (Fixed/Permeabilized) 1:50
Chromatin IP 1:25

Storage

Supplied in 10 mM sodium HEPES (pH 7.5), 150 mM NaCl, 100 µg/ml BSA and 50% glycerol. Store at –20°C. Do not aliquot the antibody.

Specificity/Sensitivity

PU.1 Antibody detects endogenous levels of total PU.1 protein. This antibody does not cross react with other Ets family members.

Species predicted to react based on 100% sequence homology

Monkey, Pig

Source / Purification

Polyclonal antibodies are produced by immunizing animals with a synthetic peptide corresponding to residues surrounding Asp26 of human PU.1 protein. Antibodies are purified by protein A and peptide affinity chromatography.

Background

PU.1 is a member of the Ets family of transcription factors and activates target genes through the purine-rich PU-box (1). PU.1 plays a pivotal role in the differentiation of myeloid cells and lymphocytes and is expressed in several hematopoietic cells, including B lymphocytes, macrophages, neutrophils, mast cells, early erythroid cells, and megakaryocytes (1,2). The concentration of PU.1 is critical for both the determination of hematopoietic cell lineage and the regulation of differentiation versus stem cell proliferation (3,4). In addition, PU.1 activity is influenced by phosphorylation and interactions with other hematopoietic transcription factors. Phosphorylation of PU.1 at Ser146 by CK2 promotes binding to IRF-4 and synergistic activation through the immunoglobulin κ 3' enhancer (5). Treatment of pro-B cells with IL-3 leads to phosphorylation of PU.1 at Ser140, resulting in increased PU.1 activity and activation of the anti-apoptotic gene MCL-1 (6). GATA1 binding blocks PU.1 activity during erythroid cell development (7). Overexpression of PU.1 resulting from proviral insertion during Friend virus infection can induce erythroleukemia, while reduced expression has been associated with acute myeloid leukemia (8).

Species Reactivity

Species reactivity is determined by testing in at least one approved application (e.g., western blot).

Western Blot Buffer

IMPORTANT: For western blots, incubate membrane with diluted primary antibody in 5% w/v BSA, 1X TBS, 0.1% Tween® 20 at 4°C with gentle shaking, overnight.

Applications Key

W: Western Blotting IP: Immunoprecipitation IHC-P: Immunohistochemistry (Paraffin) IF-IC: Immunofluorescence (Immunocytochemistry) FC-FP: Flow Cytometry (Fixed/Permeabilized) ChIP: Chromatin IP

Cross-Reactivity Key

H: Human

Trademarks and Patents

Cell Signaling Technology is a trademark of Cell Signaling Technology, Inc.

All other trademarks are the property of their respective owners. Visit cellsignal.com/trademarks for more information.

Limited Uses

Except as otherwise expressly agreed in a writing signed by a legally authorized representative of CST, the following terms apply to Products provided by CST, its affiliates or its distributors. Any Customer's terms and conditions that are in addition to, or different from, those contained herein, unless separately accepted in writing by a legally authorized representative of CST, are rejected and are of no force or effect.

Products are labeled with For Research Use Only or a similar labeling statement and have not been approved, cleared, or licensed by the FDA or other regulatory foreign or domestic entity, for any purpose. Customer shall not use any Product for any diagnostic or therapeutic purpose, or otherwise in any manner that conflicts with its labeling statement. Products sold or licensed by CST are provided for Customer as the end-user and solely for research and development uses. Any use of Product for diagnostic, prophylactic or therapeutic purposes, or any purchase of Product for resale (alone or as a component) or other commercial purpose, requires a separate license from CST. Customer shall (a) not sell, license, loan, donate or otherwise transfer or make available any Product to any third party, whether alone or in combination with other materials, or use the Products to manufacture any commercial products, (b) not copy, modify, reverse engineer, decompile, disassemble or otherwise attempt to discover the underlying structure or technology of the Products, or use the Products for the purpose of developing any products or services that would compete with CST products or services, (c) not alter or remove from the Products any trademarks, trade names, logos, patent or copyright notices or markings, (d) use the Products solely in accordance with CST Product Terms of Sale and any applicable documentation, and (e) comply with any license, terms of service or similar agreement with respect to any third party products or services used by Customer in connection with the Products.

Orders: 877-616-CELL (2355) [email protected] Support: 877-678-TECH (8324) [email protected] Web: cellsignal.com
For Research Use Only. Not for Use in Diagnostic Procedures.

Revision 3

Cell Signaling Technology Logo
Western blot analysis of extracts from THP-1, HL-60, and U-937 cells using #2266.
Western Blotting Image 1: PU.1 Antibody
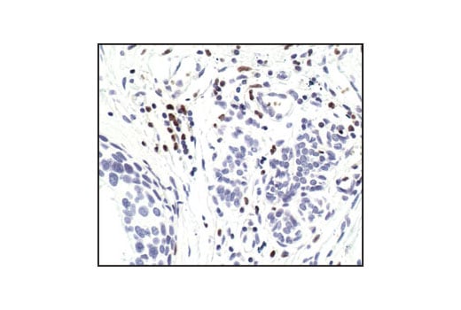
Immunohistochemical analysis of paraffin-embedded human breast carcinoma, showing nuclear localization in lymphocytes, using PU.1 Antibody.
Immunohistochemistry Image 1: PU.1 Antibody
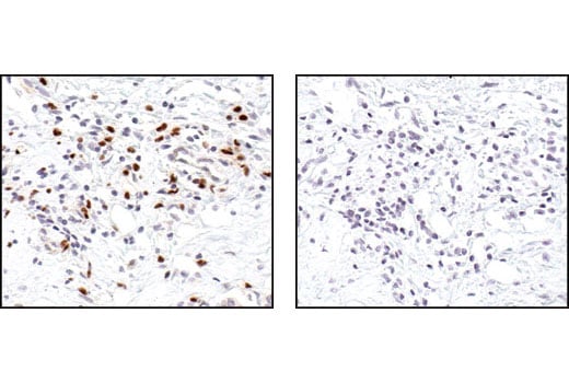
Immunohistochemical analysis of paraffin-embedded human breast carcinoma (infiltrating cells), using PU.1 Antibody in the presence of control peptide (left) or PU.1 Blocking Peptide #1036 (right).
Immunohistochemistry Image 2: PU.1 Antibody
Orders: 877-616-CELL (2355) [email protected] Support: 877-678-TECH (8324) [email protected] Web: cellsignal.com
For Research Use Only. Not for Use in Diagnostic Procedures.

Revision 3

Cell Signaling Technology Logo
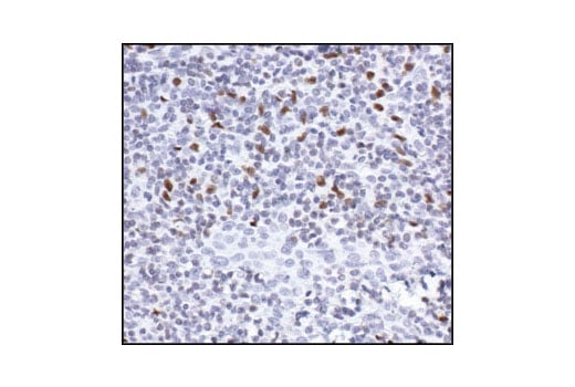
Immunohistochemical analysis of paraffin-embedded human tonsil, showing nuclear localization, using PU.1 Antibody.
Immunohistochemistry Image 3: PU.1 Antibody
Confocal immunofluorescent analysis of THP-1 (left, positive) and HeLa cells (right, negative) using PU.1 Antibody (green). Actin filaments were labeled with DY-554 phalloidin.
Immunofluorescence Image 1: PU.1 Antibody
Flow cytometric analysis of THP-1 cells using PU.1 (solid line) compared to concentration-matched Rabbit (DA1E) mAb IgG XP® Isotype Control #3900 (dashed line). Anti-rabbit (Alexa Fluor® 488 Conjugate) #4412 was used as a secondary antibody.
Flow Cytometry Image 1: PU.1 Antibody
Orders: 877-616-CELL (2355) [email protected] Support: 877-678-TECH (8324) [email protected] Web: cellsignal.com
For Research Use Only. Not for Use in Diagnostic Procedures.

Revision 3

Cell Signaling Technology Logo
Chromatin immunoprecipitations were performed with cross-linked chromatin from U-937 cells and either PU.1 Antibody or Normal Rabbit IgG #2729 using SimpleChIP® Enzymatic Chromatin IP Kit (Magnetic Beads) #9003. The enriched DNA was quantified by real-time PCR using human CD11b promoter primers, human CD18 intron 1 primers, and SimpleChIP® Human α Satellite Repeat Primers #4486. The amount of immunoprecipitated DNA in each sample is represented as signal relative to the total amount of input chromatin, which is equivalent to one.
Chromatin Immunoprecipitation Image 1: PU.1 Antibody
Orders: 877-616-CELL (2355) [email protected] Support: 877-678-TECH (8324) [email protected] Web: cellsignal.com
For Research Use Only. Not for Use in Diagnostic Procedures.